JavaScript is disabled in your browser. Please enable JavaScript to view this website.
AB267390

Anti-GPA33 antibody [EPR23115-67] - BSA and Azide free

Be the first to review this product! Submit a review

|

(0 Publication)

Rabbit Recombinant Monoclonal GPA33 antibody. Carrier free. Suitable for IHC-P and reacts with Human samples.

View Alternative Names

Cell surface A33 antigen, Glycoprotein A33, GPA33

3 Images
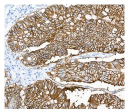
Immunohistochemistry (Formalin/PFA-fixed paraffin-embedded sections) - Anti-GPA33 antibody [EPR23115-67] - BSA and Azide free (AB267390)
  • IHC-P

Unknown

Immunohistochemistry (Formalin/PFA-fixed paraffin-embedded sections) - Anti-GPA33 antibody [EPR23115-67] - BSA and Azide free (AB267390)

Immunohistochemical analysis of paraffin-embedded Human colon tissue labeling GPA33 with ab267387 at 1/500 followed by a ready to use Goat Anti-Rabbit IgG H&L (HRP). Positive staining in human colon (PMID : 9012807, 18360720, 29866746) is oobserved. Counterstained with Hematoxylin.

Secondary antibody only control : Secondary antibody is a ready to use Goat Anti-Rabbit IgG H&L (HRP).

Heat mediated antigen retrieval using ab93684 (Tris/EDTA buffer, pH 9.0).

This data was developed using the same antibody clone in a different buffer formulation containing PBS, BSA, glycerol, and sodium azide (ab267387).

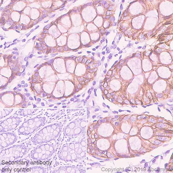
Immunohistochemistry (Formalin/PFA-fixed paraffin-embedded sections) - Anti-GPA33 antibody [EPR23115-67] - BSA and Azide free (AB267390)
  • IHC-P

Unknown

Immunohistochemistry (Formalin/PFA-fixed paraffin-embedded sections) - Anti-GPA33 antibody [EPR23115-67] - BSA and Azide free (AB267390)

Immunohistochemical analysis of paraffin-embedded Human colon cancer tissue labeling GPA33 with ab267387 at 1/500 followed by a ready to use Goat Anti-Rabbit IgG H&L (HRP). Positive staining in human colon cancer (PMID : 9012807, 18360720, 29866746) is observed. Counterstained with Hematoxylin.

Secondary antibody only control : Secondary antibody is a ready to use Goat Anti-Rabbit IgG H&L (HRP).

Heat mediated antigen retrieval using ab93684 (Tris/EDTA buffer, pH 9.0).

This data was developed using the same antibody clone in a different buffer formulation containing PBS, BSA, glycerol, and sodium azide (ab267387).

Immunohistochemistry (Formalin/PFA-fixed paraffin-embedded sections) - Anti-GPA33 antibody [EPR23115-67] - BSA and Azide free (AB267390)
  • IHC-P

Unknown

Immunohistochemistry (Formalin/PFA-fixed paraffin-embedded sections) - Anti-GPA33 antibody [EPR23115-67] - BSA and Azide free (AB267390)

Immunohistochemical analysis of paraffin-embedded Human liver tissue labeling GPA33 with ab267387 at 1/500 followed by a ready to use Goat Anti-Rabbit IgG H&L (HRP). Negative control : no staining in human liver (PMID : 9012807, 18360720). Counterstained with Hematoxylin.

Secondary antibody only control : Secondary antibody is a ready to use Goat Anti-Rabbit IgG H&L (HRP).

Heat mediated antigen retrieval using ab93684 (Tris/EDTA buffer, pH 9.0).

This data was developed using the same antibody clone in a different buffer formulation containing PBS, BSA, glycerol, and sodium azide (ab267387).

Key facts

Host species

Rabbit

Clonality

Monoclonal

Clone number

EPR23115-67

Isotype

IgG

Carrier free

Yes

Reacts with

Human

Applications

IHC-P

applications

Immunogen

The exact immunogen used to generate this antibody is proprietary information.

Reactivity data

{ "title": "Reactivity Data", "filters": { "stats": ["", "Species", "Dilution Info", "Notes"], "tabs": { "all-applications": {"fullname" : "All Applications", "shortname": "All Applications"}, "FlowCyt" : {"fullname" : "Flow Cytometry", "shortname":"Flow Cyt"}, "WB" : {"fullname" : "Western blot", "shortname":"WB"}, "IHCP" : {"fullname" : "Immunohistochemistry (Formalin/PFA-fixed paraffin-embedded sections)", "shortname":"IHC-P"}, "ICCIF" : {"fullname" : "Immunocytochemistry/ Immunofluorescence", "shortname":"ICC/IF"} }, "product-promise": { "all": "all", "testedAndGuaranteed": "tested", "guaranteed": "expected", "predicted": "predicted", "notRecommended": "not-recommended" } }, "values": { "Human": { "FlowCyt-species-checked": "notRecommended", "FlowCyt-species-dilution-info": "", "FlowCyt-species-notes": "<p></p>", "WB-species-checked": "notRecommended", "WB-species-dilution-info": "", "WB-species-notes": "<p></p>", "IHCP-species-checked": "testedAndGuaranteed", "IHCP-species-dilution-info": "", "IHCP-species-notes": "<p></p>", "ICCIF-species-checked": "notRecommended", "ICCIF-species-dilution-info": "", "ICCIF-species-notes": "<p></p>" } } }

Product details

ab267390 is the carrier-free version of ab267387.

Patented technology
Our RabMAb® technology is a patented hybridoma-based technology for making rabbit monoclonal antibodies. For details on our patents, please refer to RabMAb® patents.

What are the advantages of a recombinant monoclonal antibody?
This product is a recombinant monoclonal antibody, which offers several advantages including:

  • - High batch-to-batch consistency and reproducibility
  • - Improved sensitivity and specificity
  • - Long-term security of supply
  • - Animal-free batch production

For more information, read more on recombinant antibodies.

Conjugation ready
Our carrier-free antibodies are typically supplied in a PBS-only formulation, purified and free of BSA, sodium azide and glycerol. This conjugation-ready format is designed for use with fluorochromes, metal isotopes, oligonucleotides, and enzymes, which makes them ideal for antibody labelling, functional and cell-based assays, flow-based assays (e.g. mass cytometry) and Multiplex Imaging applications.

Use our conjugation kits for antibody conjugates that are ready-to-use in as little as 20 minutes with 1 minute hands-on-time and 100% antibody recovery: available for fluorescent dyes, HRP, biotin and gold.

Compatibility
This product is compatible with the Maxpar® Antibody Labeling Kit from Fluidigm, without the need for antibody preparation. Maxpar® is a trademark of Fluidigm Canada Inc.

Properties and storage information

Form
Liquid
Purification technique
Affinity purification Protein A
Storage buffer
pH: 7.2 - 7.4 Constituents: PBS
Shipped at conditions
Blue Ice
Appropriate short-term storage conditions
+4°C
Appropriate long-term storage conditions
+4°C
Storage information
Do Not Freeze

Supplementary information

This supplementary information is collated from multiple sources and compiled automatically.

GPA33 also known as Glycoprotein A33 is a cell surface antigen with a molecular mass of approximately 43 kDa. The protein is primarily expressed in the gastrointestinal tract especially in epithelial cells of the colon and small intestine. GPA33 is known for its role in cellular adhesion and maintaining epithelial integrity. It features as a single-pass transmembrane protein hinting at its involvement in cell signaling processes.
Biological function summary

The GPA33 protein plays a role in cell-cell adhesion and is implicated in forming stable cell-community networks. It is associated with the epithelial membrane complexes contributing to the structural integrity vital for epithelial tissue health. GPA33 does not function in isolation but interacts with other cell surface molecules to mediate its effects supporting epithelial tissue resistance and injury repair.

Pathways

The GPA33 antigen engages in signaling pathways important for epithelial cell adhesion and communication. It is involved in the Wnt signaling pathway which is pivotal in colon epithelial homeostasis and tumor suppression. Through this pathway GPA33 interacts with proteins such as β-catenin facilitating signal transduction that governs cell proliferation and differentiation.

GPA33 has strong associations with colorectal cancer and inflammatory bowel disease. Overexpression of GPA33 occurs frequently in colorectal cancer providing a target for therapeutic intervention and diagnostic imaging. GPA33's role in colorectal cancer also links it to proteins like carcinoembryonic antigen (CEA) which are vital in cancer progression and metastasis. Understanding GPA33's involvement in these diseases is important for developing targeted therapies and improving patient outcomes.

Product protocols

For this product, it's our understanding that no specific protocols are required. You can visit:

Target data

May play a role in cell-cell recognition and signaling.
See full target information GPA33

Product promise

We are committed to supporting your work with high-quality reagents, and we're here for you every step of the way. In the unlikely event that one of our products does not perform as expected, you're protected by our Product Promise.
For full details, please see our Terms & Conditions

Please note: All products are 'FOR RESEARCH USE ONLY. NOT FOR USE IN DIAGNOSTIC OR THERAPEUTIC PROCEDURES'.

For licensing inquiries, please contact partnerships@abcam.com