JavaScript is disabled in your browser. Please enable JavaScript to view this website.
AB108938

Anti-GPA33 antibody [EPR4240]

5

(2 Reviews)

|

(7 Publications)

Rabbit Recombinant Monoclonal GPA33 antibody. Suitable for Flow Cyt (Intra), IHC-P, IP, WB, ICC/IF and reacts with Human samples. Cited in 7 publications.

View Alternative Names

Cell surface A33 antigen, Glycoprotein A33, GPA33

14 Images
Immunohistochemistry (Formalin/PFA-fixed paraffin-embedded sections) - Anti-GPA33 antibody [EPR4240] (AB108938)
  • IHC-P

Unknown

Immunohistochemistry (Formalin/PFA-fixed paraffin-embedded sections) - Anti-GPA33 antibody [EPR4240] (AB108938)

Unpurified ab108938 showing positive staining in Ovarian carcinoma tissue.

Perform heat mediated antigen retrieval with citrate buffer pH 6 before commencing with IHC staining protocol.

Immunohistochemistry (Formalin/PFA-fixed paraffin-embedded sections) - Anti-GPA33 antibody [EPR4240] (AB108938)
  • IHC-P

Lab

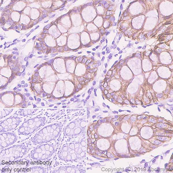
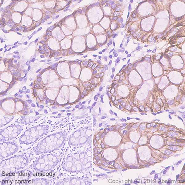
Immunohistochemistry (Formalin/PFA-fixed paraffin-embedded sections) - Anti-GPA33 antibody [EPR4240] (AB108938)

Immunohistochemistry (Formalin/PFA-fixed paraffin-embedded sections) analysis of human colon cancer tissue sections labeling GPA33 with Purified ab108938 at 1 : 400 dilution (0.25 μg/ml). Perform heat mediated antigen retrieval using ab93684 (Tris/EDTA buffer, pH 9.0). ImmunoHistoProbe one step HRP Polymer (ready to use) was used as the secondary antibody. Negative control : PBS instead of the primary antibody. Hematoxylin was used as a counterstain.

Immunohistochemistry (Formalin/PFA-fixed paraffin-embedded sections) - Anti-GPA33 antibody [EPR4240] (AB108938)
  • IHC-P

Unknown

Immunohistochemistry (Formalin/PFA-fixed paraffin-embedded sections) - Anti-GPA33 antibody [EPR4240] (AB108938)

Unpurified ab108938 at 1/250 dilution staining GPA33 in paraffin-embedded Human colon tissue by Immunohistochemistry (Formalin/PFA-fixed paraffin-embedded sections).

Perform heat mediated antigen retrieval with citrate buffer pH 6 before commencing with IHC staining protocol.

Immunohistochemistry (Formalin/PFA-fixed paraffin-embedded sections) - Anti-GPA33 antibody [EPR4240] (AB108938)
  • IHC-P

Unknown

Immunohistochemistry (Formalin/PFA-fixed paraffin-embedded sections) - Anti-GPA33 antibody [EPR4240] (AB108938)

Unpurified ab108938 at 1/250 dilution staining GPA33 in paraffin-embedded Human colonic adenocarcinoma tissue by Immunohistochemistry (Formalin/PFA-fixed paraffin-embedded sections).

Perform heat mediated antigen retrieval with citrate buffer pH 6 before commencing with IHC staining protocol.

Immunohistochemistry (Formalin/PFA-fixed paraffin-embedded sections) - Anti-GPA33 antibody [EPR4240] (AB108938)
  • IHC-P

Unknown

Immunohistochemistry (Formalin/PFA-fixed paraffin-embedded sections) - Anti-GPA33 antibody [EPR4240] (AB108938)

Unpurified ab108938 showing negative staining in Breast carcinoma tissue.

Perform heat mediated antigen retrieval with citrate buffer pH 6 before commencing with IHC staining protocol.

Immunohistochemistry (Formalin/PFA-fixed paraffin-embedded sections) - Anti-GPA33 antibody [EPR4240] (AB108938)
  • IHC-P

Unknown

Immunohistochemistry (Formalin/PFA-fixed paraffin-embedded sections) - Anti-GPA33 antibody [EPR4240] (AB108938)

Unpurified ab108938 showing negative staining in Normal tonsil tissue.

Perform heat mediated antigen retrieval with citrate buffer pH 6 before commencing with IHC staining protocol.

Immunocytochemistry/ Immunofluorescence - Anti-GPA33 antibody [EPR4240] (AB108938)
  • ICC/IF

Lab

Immunocytochemistry/ Immunofluorescence - Anti-GPA33 antibody [EPR4240] (AB108938)

Immunofluorescent analysis of 4% Paraformaldehyde-fixed, 0.1% TritonX-100 permeabilized LoVo (human colorectal adenocarcinoma epithelial cell) cells labelling GPA33 with ab108938 at 1/50 dilution, followed by Goat Anti-Rabbit IgG H&L (Alexa Fluor® 488) preadsorbed (ab150081) antibody at 1/1000 dilution (Green).

Confocal image showing membrane and weak cytoplasmic staining in LoVo cell line (shown in green). The counterstain was observed in magenta. Nuclear DNA was labelled with DAPI (shown in blue).

Low expression : Caco2.

Image was taken with a confocal microscope (Leica-Microsystems, TCS SP8).

Anti-alpha Tubulin mouse monoclonal antibody (ab7291) was used to counterstain tubulin at 1/1000 dilution (Magenta). The Nuclear counterstain was DAPI (Blue).

Secondary antibody only control : Secondary antibody is Goat Anti-Rabbit IgG H&L (Alexa Fluor® 488) preadsorbed (ab150081) at 1/1000 dilution.

Immunoprecipitation - Anti-GPA33 antibody [EPR4240] (AB108938)
  • IP

Lab

Immunoprecipitation - Anti-GPA33 antibody [EPR4240] (AB108938)

Purified ab108938 at 1 : 20 dilution (0.5ug) immunoprecipitating GPA33 in HT-29 whole cell lysate.

Lane 1 (input) : HT-29 (Human colorectal adenocarcinoma epithelial cell) whole cell lysate (10μg)

Lane 2 (+) : ab108938 + HT-29 whole cell lysate.

Lane 3 (-) : Rabbit monoclonal IgG (ab172730) instead of ab108938 in HT-29 whole cell lysate.

VeriBlot for IP Detection Reagent (HRP) (ab131366) (1/1000) was used for Western blotting.

Blocking Buffer and concentration : 5% NFDM/TBST.

Diluting buffer and concentration : 5% NFDM/TBST.

Observed band size : 50 kDa

All lanes:

Immunoprecipitation - Anti-GPA33 antibody [EPR4240] (ab108938)

Predicted band size: 36 kDa

false

Western blot - Anti-GPA33 antibody [EPR4240] (AB108938)
  • WB

Unknown

Western blot - Anti-GPA33 antibody [EPR4240] (AB108938)

Blocking/Diluting buffer : 5% NFDM/TBST

All lanes:

Western blot - Anti-GPA33 antibody [EPR4240] (ab108938) at 1/1000 dilution

Lane 1:

Human colon lysates at 20 µg

Lane 2:

HT-29 (Human colorectal adenocarcinoma epithelial cell) whole cell lysates at 20 µg

Lane 3:

MOLT-4 (Human lymphoblastic leukemia T lymphoblast) whole cell lysates at 20 µg

Secondary

All lanes:

Goat Anti-Rabbit IgG (HRP) with minimal cross-reactivity with human IgG at 1/2000 dilution

Predicted band size: 36 kDa

Observed band size: 50 kDa

false

Western blot - Anti-GPA33 antibody [EPR4240] (AB108938)
  • WB

Lab

Western blot - Anti-GPA33 antibody [EPR4240] (AB108938)

Blocking and diluting buffer and concentration : 5% NFDM/TBST.

In Western blot, Anti-GAPDH antibody [EPR16891] - Loading Control (ab181602) staining at 1/200000 dilution.

Low expression : Caco-2.

The identity of the lower MW bands at approximately 25 kDa (in lane 1 and 3) are unknown.

All lanes:

Western blot - Anti-GPA33 antibody [EPR4240] (ab108938) at 1/1000 dilution

Lane 1:

Caco-2 (human colorectal adenocarcinoma epithelial cell) whole cell lysate at 20 µg

Lane 2:

HCT 116 (human colorectal carcinoma epithelial cell) whole cell lysate at 20 µg

Lane 3:

LoVo (human colorectal adenocarcinoma epithelial cell) whole cell lysate at 20 µg

Lane 4:

THP-1 (human monocytic leukemia monocyte) whole cell lysate at 20 µg

Secondary

All lanes:

Western blot - Goat Anti-Rabbit IgG H&L (HRP) (<a href='/en-us/products/secondary-antibodies/goat-rabbit-igg-h-l-hrp-ab97051'>ab97051</a>) at 1/20000 dilution

Observed band size: 35 kDa

false

Exposure time: 92s

Western blot - Anti-GPA33 antibody [EPR4240] (AB108938)
  • WB

Unknown

Western blot - Anti-GPA33 antibody [EPR4240] (AB108938)

All lanes:

Western blot - Anti-GPA33 antibody [EPR4240] (ab108938) at 1/1000 dilution

Lane 1:

HT-29 lysate at 10 µg

Lane 2:

Human small intestine lysate at 10 µg

Lane 3:

Human fetal colon lysates at 10 µg

Secondary

All lanes:

HRP-labelled goat anti-rabbit at 1/2000 dilution

Predicted band size: 36 kDa

false

Immunohistochemistry (Formalin/PFA-fixed paraffin-embedded sections) - Anti-GPA33 antibody [EPR4240] (AB108938)
  • IHC-P

Unknown

Immunohistochemistry (Formalin/PFA-fixed paraffin-embedded sections) - Anti-GPA33 antibody [EPR4240] (AB108938)

Unpurified ab108938 showing negative staining in Normal liver tissue.

Perform heat mediated antigen retrieval with citrate buffer pH 6 before commencing with IHC staining protocol.

Immunohistochemistry (Formalin/PFA-fixed paraffin-embedded sections) - Anti-GPA33 antibody [EPR4240] (AB108938)
  • IHC-P

Unknown

Immunohistochemistry (Formalin/PFA-fixed paraffin-embedded sections) - Anti-GPA33 antibody [EPR4240] (AB108938)

Unpurified ab108938 showing negative staining in Thyroid gland carcinoma tissue.

Perform heat mediated antigen retrieval with citrate buffer pH 6 before commencing with IHC staining protocol.

Western blot - Anti-GPA33 antibody [EPR4240] (AB108938)
  • WB

CiteAb

Western blot - Anti-GPA33 antibody [EPR4240] (AB108938)

GPA33 western blot using anti-GPA33 antibody [EPR4240] ab108938. Publication image and figure legend from Gotanda, K., Hirota, T., et al., 2016, Sci Rep, PubMed 27571936.

ab108938 was used in this publication in western blot. This may not be the same as the application(s) guaranteed by Abcam. For a full list of applications guaranteed by Abcam for ab108938 please see the product overview.

Immunoprecipitation experiments confirming the identification of intestine-derived exosomes.(A) GPA33 proteins in total exosomes and intestine-derived exosomes were detected by Western blot. CD9 is a marker of exosomes. (B) Tissue-specific miRNA levels in intestine-derived exosomes. MiR-192 and miR-215 are intestine-specific miRNAs and miR-122 is a liver-specific miRNA. Relative miRNA levels were determined by qRT-PCR. Each column represents the mean ± S.D. (n = 3). *p < 0.05, significantly different from the input. Input : total exosome samples, IP : Immunoprecipitated samples.

false

Key facts

Host species

Rabbit

Clonality

Monoclonal

Clone number

EPR4240

Isotype

IgG

Carrier free

No

Reacts with

Human

Applications

IHC-P, ICC/IF, Flow Cyt (Intra), WB, IP

applications

Immunogen

The exact immunogen used to generate this antibody is proprietary information.

Reactivity data

{ "title": "Reactivity Data", "filters": { "stats": ["", "Species", "Dilution Info", "Notes"], "tabs": { "all-applications": {"fullname" : "All Applications", "shortname": "All Applications"}, "FlowCytIntra" : {"fullname" : "Flow Cytometry (Intracellular)", "shortname":"Flow Cyt (Intra)"}, "IHCP" : {"fullname" : "Immunohistochemistry (Formalin/PFA-fixed paraffin-embedded sections)", "shortname":"IHC-P"}, "IP" : {"fullname" : "Immunoprecipitation", "shortname":"IP"}, "WB" : {"fullname" : "Western blot", "shortname":"WB"}, "ICCIF" : {"fullname" : "Immunocytochemistry/ Immunofluorescence", "shortname":"ICC/IF"} }, "product-promise": { "all": "all", "testedAndGuaranteed": "tested", "guaranteed": "expected", "predicted": "predicted", "notRecommended": "not-recommended" } }, "values": { "Human": { "FlowCytIntra-species-checked": "guaranteed", "FlowCytIntra-species-dilution-info": "", "FlowCytIntra-species-notes": "<p></p>", "IHCP-species-checked": "testedAndGuaranteed", "IHCP-species-dilution-info": "1/400", "IHCP-species-notes": "<p>Antigen retrieval recommended; heat up to 98 degrees C, below boiling, and then let cool for 10-20 min.</p><p><strong>For unpurified use at 1/250 - 1/500.</strong></p> Perform heat-mediated antigen retrieval with citrate buffer pH 6 before commencing with IHC staining protocol.", "IP-species-checked": "testedAndGuaranteed", "IP-species-dilution-info": "1/20", "IP-species-notes": "<p><strong>For unpurified use at 1/10 - 1/100.</strong></p>", "WB-species-checked": "testedAndGuaranteed", "WB-species-dilution-info": "1/1000", "WB-species-notes": "<p><strong>For unpurified use at 1/1000 - 1/10000.</strong></p>", "ICCIF-species-checked": "testedAndGuaranteed", "ICCIF-species-dilution-info": "1/50", "ICCIF-species-notes": "<p></p>" } } }

Product details

Species reactivity
Mouse, Rat: We have preliminary internal testing data to indicate this antibody may not react with these species.
Please contact us for more information.

Patented technology
Our RabMAb® technology is a patented hybridoma-based technology for making rabbit monoclonal antibodies. For details on our patents, please refer to RabMAb® patents.

What are the advantages of a recombinant monoclonal antibody?
This product is a recombinant monoclonal antibody, which offers several advantages including:

  • - High batch-to-batch consistency and reproducibility
  • - Improved sensitivity and specificity
  • - Long-term security of supply
  • - Animal-free batch production

For more information, read more on recombinant antibodies.

Properties and storage information

Form
Liquid
Purification technique
Affinity purification Protein A
Storage buffer
pH: 7.2 - 7.4 Preservative: 0.01% Sodium azide Constituents: PBS, 40% Glycerol (glycerin, glycerine), 0.05% BSA
Shipped at conditions
Blue Ice
Appropriate short-term storage duration
1-2 weeks
Appropriate short-term storage conditions
+4°C
Appropriate long-term storage conditions
-20°C
Aliquoting information
Upon delivery aliquot
Storage information
Avoid freeze / thaw cycle

Supplementary information

This supplementary information is collated from multiple sources and compiled automatically.

GPA33 also known as Glycoprotein A33 is a cell surface antigen with a molecular mass of approximately 43 kDa. The protein is primarily expressed in the gastrointestinal tract especially in epithelial cells of the colon and small intestine. GPA33 is known for its role in cellular adhesion and maintaining epithelial integrity. It features as a single-pass transmembrane protein hinting at its involvement in cell signaling processes.
Biological function summary

The GPA33 protein plays a role in cell-cell adhesion and is implicated in forming stable cell-community networks. It is associated with the epithelial membrane complexes contributing to the structural integrity vital for epithelial tissue health. GPA33 does not function in isolation but interacts with other cell surface molecules to mediate its effects supporting epithelial tissue resistance and injury repair.

Pathways

The GPA33 antigen engages in signaling pathways important for epithelial cell adhesion and communication. It is involved in the Wnt signaling pathway which is pivotal in colon epithelial homeostasis and tumor suppression. Through this pathway GPA33 interacts with proteins such as β-catenin facilitating signal transduction that governs cell proliferation and differentiation.

GPA33 has strong associations with colorectal cancer and inflammatory bowel disease. Overexpression of GPA33 occurs frequently in colorectal cancer providing a target for therapeutic intervention and diagnostic imaging. GPA33's role in colorectal cancer also links it to proteins like carcinoembryonic antigen (CEA) which are vital in cancer progression and metastasis. Understanding GPA33's involvement in these diseases is important for developing targeted therapies and improving patient outcomes.

Product protocols

For this product, it's our understanding that no specific protocols are required. You can visit:

Target data

May play a role in cell-cell recognition and signaling.
See full target information GPA33

Publications (7)

Recent publications for all applications. Explore the full list and refine your search

Molecular & cellular proteomics : MCP 23:100764 PubMed38604503

2024

Multi-Omic Analysis of Esophageal Adenocarcinoma Uncovers Candidate Therapeutic Targets and Cancer-Selective Posttranscriptional Regulation.

Applications

Unspecified application

Species

Unspecified reactive species

J Robert O'Neill,Marcos Yébenes Mayordomo,Goran Mitulović,Sofian Al Shboul,Georges Bedran,Jakub Faktor,Lenka Hernychova,Lukas Uhrik,Maria Gómez-Herranz,Mikołaj Kocikowski,Vicki Save,Bořivoj Vojtěšek,Mark J Arends,Ted Hupp,Javier Antonio Alfaro

American journal of physiology. Gastrointestinal and liver physiology 323:G61-G70 PubMed35638693

2022

Abnormal intestinal milieu in posttraumatic stress disorder is not impacted by treatment that improves symptoms.

Applications

Unspecified application

Species

Unspecified reactive species

Robin M Voigt,Alyson K Zalta,Shohreh Raeisi,Lijuan Zhang,J Mark Brown,Christopher B Forsyth,Randy A Boley,Philip Held,Mark H Pollack,Ali Keshavarzian

Cell death and differentiation 29:2288-2302 PubMed35606410

2022

Epithelial de-differentiation triggered by co-ordinate epigenetic inactivation of the EHF and CDX1 transcription factors drives colorectal cancer progression.

Applications

Unspecified application

Species

Unspecified reactive species

Ian Y Luk,Laura J Jenkins,Kael L Schoffer,Irvin Ng,Janson W T Tse,Dmitri Mouradov,Stanislaw Kaczmarczyk,Rebecca Nightingale,Allan D Burrows,Robin L Anderson,Diego Arango,Higinio Dopeso,Larry Croft,Mark F Richardson,Oliver M Sieber,Yang Liao,Jennifer K Mooi,Natalia Vukelic,Camilla M Reehorst,Shoukat Afshar-Sterle,Vicki L J Whitehall,Lochlan Fennell,Helen E Abud,Niall C Tebbutt,Wayne A Phillips,David S Williams,Wei Shi,Lisa A Mielke,Matthias Ernst,Amardeep S Dhillon,Nicholas J Clemons,John M Mariadason

Nature cell biology 23:1240-1254 PubMed34887515

2021

Supermeres are functional extracellular nanoparticles replete with disease biomarkers and therapeutic targets.

Applications

Unspecified application

Species

Unspecified reactive species

Qin Zhang,Dennis K Jeppesen,James N Higginbotham,Ramona Graves-Deal,Vincent Q Trinh,Marisol A Ramirez,Yoojin Sohn,Abigail C Neininger,Nilay Taneja,Eliot T McKinley,Hiroaki Niitsu,Zheng Cao,Rachel Evans,Sarah E Glass,Kevin C Ray,William H Fissell,Salisha Hill,Kristie Lindsey Rose,Won Jae Huh,Mary Kay Washington,Gregory Daniel Ayers,Dylan T Burnette,Shivani Sharma,Leonard H Rome,Jeffrey L Franklin,Youngmin A Lee,Qi Liu,Robert J Coffey

Gastric cancer : official journal of the International Gastric Cancer Association and the Japanese Gastric Cancer Association 23:811-823 PubMed32215766

2020

A panel of intestinal differentiation markers (CDX2, GPA33, and LI-cadherin) identifies gastric cancer patients with favourable prognosis.

Applications

Unspecified application

Species

Unspecified reactive species

Nair Lopes,Christian Bergsland,Jarle Bruun,Merete Bjørnslett,André Filipe Vieira,Patrícia Mesquita,Rita Pinto,Rosa Gomes,Bruno Cavadas,Eric Bennett,Luisa Pereira,Ragnhild A Lothe,Raquel Almeida,Leonor David

Nature communications 7:13045 PubMed27721471

2016

EpCAM-dependent extracellular vesicles from intestinal epithelial cells maintain intestinal tract immune balance.

Applications

Unspecified application

Species

Unspecified reactive species

Lingling Jiang,Yingying Shen,Danfeng Guo,Diya Yang,Jiajun Liu,Xuefeng Fei,Yunshan Yang,Buyi Zhang,Zhendong Lin,Fei Yang,Xiaojian Wang,Keyi Wang,Jianli Wang,Zhijian Cai

Scientific reports 6:32299 PubMed27571936

2016

Circulating intestine-derived exosomal miR-328 in plasma, a possible biomarker for estimating BCRP function in the human intestines.

Applications

IP, WB

Species

Unspecified reactive species, Unspecified reactive species

Keisuke Gotanda,Takeshi Hirota,Jumpei Saito,Masato Fukae,Yu Egashira,Noritomo Izumi,Mariko Deguchi,Miyuki Kimura,Shunji Matsuki,Shin Irie,Ichiro Ieiri
View all publications

Product promise

We are committed to supporting your work with high-quality reagents, and we're here for you every step of the way. In the unlikely event that one of our products does not perform as expected, you're protected by our Product Promise.
For full details, please see our Terms & Conditions

Please note: All products are 'FOR RESEARCH USE ONLY. NOT FOR USE IN DIAGNOSTIC OR THERAPEUTIC PROCEDURES'.

For licensing inquiries, please contact partnerships@abcam.com