JavaScript is disabled in your browser. Please enable JavaScript to view this website.
AB324378

Anti-GPC2 antibody [EPR30350-627]

Be the first to review this product! Submit a review

|

(0 Publication)

Rabbit Recombinant Monoclonal GPC2 antibody. Suitable for I-ELISA, IHC-P and reacts with Recombinant full length protein - Human, Human samples.

View Alternative Names

Glypican-2, GPC2

5 Images
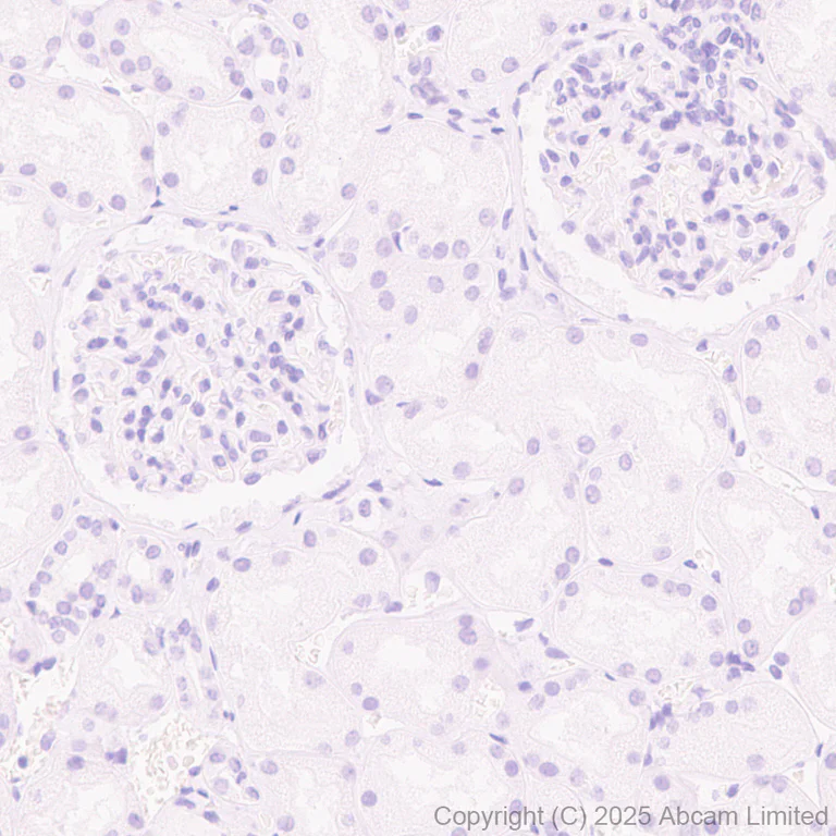
Immunohistochemistry (Formalin/PFA-fixed paraffin-embedded sections) - Anti-GPC2 antibody [EPR30350-627] (AB324378)
  • IHC-P

Supplier Data

Immunohistochemistry (Formalin/PFA-fixed paraffin-embedded sections) - Anti-GPC2 antibody [EPR30350-627] (AB324378)

Immunohistochemical analysis of paraffin-embedded Human kidney tissue labeling GPC2 with ab324378 at 1/200 (2.555 ug/ml) dilution, followed by a ready to use Goat Anti-Rabbit IgG H&L (HRP polymer) (ab214880).

Negative control : No staining on human kidney (PMID : 28739923).
The primary antibody was incubated overnight at 4°C.

Counterstained with Hematoxylin.

Secondary antibody only control : Secondary antibody is a ready to use Goat Anti-Rabbit IgG H&L (HRP polymer) (ab214880).

Heat mediated antigen retrieval was performed with Tris-EDTA buffer (pH 9.0, Epitope Retrieval Solution2) for 20 mins

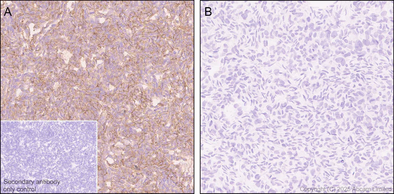
Immunohistochemistry (Formalin/PFA-fixed paraffin-embedded sections) - Anti-GPC2 antibody [EPR30350-627] (AB324378)
  • IHC-P

Supplier Data

Immunohistochemistry (Formalin/PFA-fixed paraffin-embedded sections) - Anti-GPC2 antibody [EPR30350-627] (AB324378)

Immunohistochemical analysis of paraffin-embedded (A) IMR-32 (human neuroblastoma neuroblast) cell pellet. (B) HeLa (human cervical adenocarcinoma epithelial cell) cell pellet. tissue labeling GPC2 with ab324378 at 1/200 (2.555 ug/ml) dilution, followed by a ready to use Goat Anti-Rabbit IgG H&L (HRP polymer) (ab214880).

Positive staining on (A) IMR-32 cell pellet, no staining on (B) HeLa cell pellet.
The primary antibody was incubated overnight at 4°C.

Counterstained with Hematoxylin.

Secondary antibody only control : Secondary antibody is a ready to use Goat Anti-Rabbit IgG H&L (HRP polymer) (ab214880).

Heat mediated antigen retrieval was performed with Tris-EDTA buffer (pH 9.0, Epitope Retrieval Solution2) for 20 mins

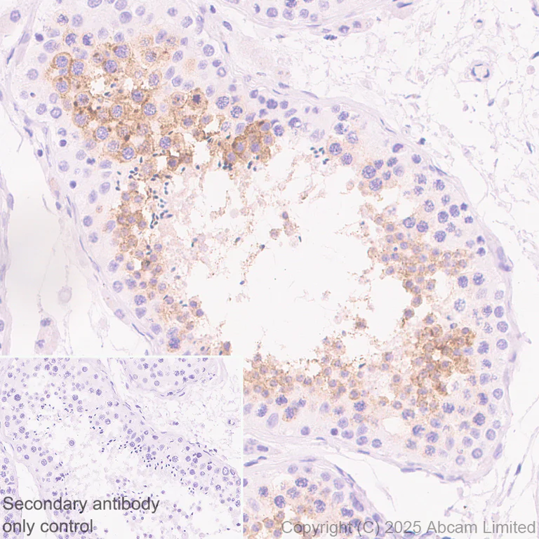
Immunohistochemistry (Formalin/PFA-fixed paraffin-embedded sections) - Anti-GPC2 antibody [EPR30350-627] (AB324378)
  • IHC-P

Supplier Data

Immunohistochemistry (Formalin/PFA-fixed paraffin-embedded sections) - Anti-GPC2 antibody [EPR30350-627] (AB324378)

Immunohistochemical analysis of paraffin-embedded Human testis tissue labeling GPC2 with ab324378 at 1/200 (2.555 ug/ml) dilution, followed by a ready to use Goat Anti-Rabbit IgG H&L (HRP polymer) (ab214880).

Positive staining on human testis.
The primary antibody was incubated overnight at 4°C.

Counterstained with Hematoxylin.

Secondary antibody only control : Secondary antibody is a ready to use Goat Anti-Rabbit IgG H&L (HRP polymer) (ab214880).

Heat mediated antigen retrieval was performed with Tris-EDTA buffer (pH 9.0, Epitope Retrieval Solution2) for 20 mins

Immunohistochemistry (Formalin/PFA-fixed paraffin-embedded sections) - Anti-GPC2 antibody [EPR30350-627] (AB324378)
  • IHC-P

Supplier Data

Immunohistochemistry (Formalin/PFA-fixed paraffin-embedded sections) - Anti-GPC2 antibody [EPR30350-627] (AB324378)

Immunohistochemical analysis of paraffin-embedded Human colon tissue labeling GPC2 with ab324378 at 1/200 (2.555 ug/ml) dilution, followed by a ready to use LeicaDS9800 (Bond™ Polymer Refine Detection).

Negative control : No staining on human colon (PMID : 28739923).
The primary antibody was incubated overnight at 4°C.

Counterstained with Hematoxylin.

Secondary antibody only control : Secondary antibody is a ready to use LeicaDS9800 (Bond™ Polymer Refine Detection).

Heat mediated antigen retrieval was performed with Tris-EDTA buffer (pH 9.0, Epitope Retrieval Solution2) for 20 mins

Indirect ELISA - Anti-GPC2 antibody [EPR30350-627] (AB324378)
  • I-ELISA

Supplier Data

Indirect ELISA - Anti-GPC2 antibody [EPR30350-627] (AB324378)

Indirect ELISA analysis of ab324378 at 1000-0 ng/ml. The Secondary antibody used was Peroxidase AffiniPure Goat Anti-Rabbit IgG, Fc fragment specific at 1 : 20000 dilution dilution.

Antigen : Human GPC2 protein, Human GPC6 protein, Human GPC1 protein.

Antigen concentration : 1000 ng/ml

This antibody does not cross-react with human GPC1 and GPC6.

Key facts

Host species

Rabbit

Clonality

Monoclonal

Clone number

EPR30350-627

Isotype

IgG

Carrier free

No

Reacts with

Human

Applications

IHC-P, I-ELISA

applications

Immunogen

The exact immunogen used to generate this antibody is proprietary information.

Reactivity data

{ "title": "Reactivity Data", "filters": { "stats": ["", "Species", "Dilution Info", "Notes"], "tabs": { "all-applications": {"fullname" : "All Applications", "shortname": "All Applications"}, "IELISA" : {"fullname" : "Indirect ELISA", "shortname":"I-ELISA"}, "IHCP" : {"fullname" : "Immunohistochemistry (Formalin/PFA-fixed paraffin-embedded sections)", "shortname":"IHC-P"}, "ICCIF" : {"fullname" : "Immunocytochemistry/ Immunofluorescence", "shortname":"ICC/IF"}, "WB" : {"fullname" : "Western blot", "shortname":"WB"} }, "product-promise": { "all": "all", "testedAndGuaranteed": "tested", "guaranteed": "expected", "predicted": "predicted", "notRecommended": "not-recommended" } }, "values": { "Human": { "IELISA-species-checked": "guaranteed", "IELISA-species-dilution-info": "", "IELISA-species-notes": "", "IHCP-species-checked": "testedAndGuaranteed", "IHCP-species-dilution-info": "1/200", "IHCP-species-notes": "<p></p> Perform heat-mediated antigen retrieval with Tris/EDTA buffer pH 9.0 before commencing with IHC staining protocol.", "ICCIF-species-checked": "notRecommended", "ICCIF-species-dilution-info": "", "ICCIF-species-notes": "<p></p>", "WB-species-checked": "notRecommended", "WB-species-dilution-info": "", "WB-species-notes": "<p></p>" }, "Mouse": { "IELISA-species-checked": "notRecommended", "IELISA-species-dilution-info": "", "IELISA-species-notes": "", "IHCP-species-checked": "notRecommended", "IHCP-species-dilution-info": "", "IHCP-species-notes": "<p></p>", "ICCIF-species-checked": "notRecommended", "ICCIF-species-dilution-info": "", "ICCIF-species-notes": "<p></p>", "WB-species-checked": "notRecommended", "WB-species-dilution-info": "", "WB-species-notes": "<p></p>" }, "Recombinant full length protein - Human": { "IELISA-species-checked": "testedAndGuaranteed", "IELISA-species-dilution-info": "15.625 ng/mL", "IELISA-species-notes": "<p></p>", "IHCP-species-checked": "notRecommended", "IHCP-species-dilution-info": "", "IHCP-species-notes": "", "ICCIF-species-checked": "notRecommended", "ICCIF-species-dilution-info": "", "ICCIF-species-notes": "", "WB-species-checked": "notRecommended", "WB-species-dilution-info": "", "WB-species-notes": "" } } }

Product details

Patented technology
Our RabMAb® technology is a patented hybridoma-based technology for making rabbit monoclonal antibodies. For details on our patents, please refer to RabMAb® patents.

What are the advantages of a recombinant monoclonal antibody?
This product is a recombinant monoclonal antibody, which offers several advantages including:

  • - High batch-to-batch consistency and reproducibility
  • - Improved sensitivity and specificity
  • - Long-term security of supply
  • - Animal-free batch production

For more information, read more on recombinant antibodies.

Properties and storage information

Form
Liquid
Purification technique
Affinity purification Protein A
Storage buffer
pH: 7.2 - 7.4 Preservative: 0.01% Sodium azide Constituents: PBS, 40% Glycerol (glycerin, glycerine), 0.05% BSA
Shipped at conditions
Blue Ice
Appropriate short-term storage duration
1-2 weeks
Appropriate short-term storage conditions
+4°C
Appropriate long-term storage conditions
-20°C
Aliquoting information
Upon delivery aliquot
Storage information
Avoid freeze / thaw cycle

Product protocols

For this product, it's our understanding that no specific protocols are required. You can visit:

Product promise

We are committed to supporting your work with high-quality reagents, and we're here for you every step of the way. In the unlikely event that one of our products does not perform as expected, you're protected by our Product Promise.
For full details, please see our Terms & Conditions

Please note: All products are 'FOR RESEARCH USE ONLY. NOT FOR USE IN DIAGNOSTIC OR THERAPEUTIC PROCEDURES'.

For licensing inquiries, please contact partnerships@abcam.com