JavaScript is disabled in your browser. Please enable JavaScript to view this website.
AB326056

Anti-GPC2 antibody [EPR30350-627] - BSA and Azide free

Be the first to review this product! Submit a review

|

(0 Publication)

Rabbit Recombinant Monoclonal GPC2 antibody. Carrier free. Suitable for I-ELISA, IHC-P, mIHC and reacts with Recombinant full length protein - Human, Human samples.

View Alternative Names

Glypican-2, GPC2

6 Images
Immunohistochemistry (Formalin/PFA-fixed paraffin-embedded sections) - Anti-GPC2 antibody [EPR30350-627] - BSA and Azide free (AB326056)
  • IHC-P

Supplier Data

Immunohistochemistry (Formalin/PFA-fixed paraffin-embedded sections) - Anti-GPC2 antibody [EPR30350-627] - BSA and Azide free (AB326056)

This data was developed using ab324378, the same antibody clone in a different buffer formulation.

Immunohistochemical analysis of paraffin-embedded (A) IMR-32 (human neuroblastoma neuroblast) cell pellet and (B) HeLa (human cervical adenocarcinoma epithelial cell) cell pellet labeling GPC2 with ab324378 at 1/200 (2.555 ug/ml) dilution, followed by a ready to use Goat Anti-Rabbit IgG H&L (HRP polymer) (ab214880).

Positive staining on (A) IMR-32 cell pellet, no staining on (B) HeLa cell pellet.
The primary antibody was incubated overnight at 4°C.

Counterstained with Hematoxylin.

Secondary antibody only control : Secondary antibody is a ready to use Goat Anti-Rabbit IgG H&L (HRP polymer) (ab214880).

Heat mediated antigen retrieval was performed with Tris-EDTA buffer (pH 9.0, Epitope Retrieval Solution2) for 20 mins

Multiplex immunohistochemistry - Anti-GPC2 antibody [EPR30350-627] - BSA and Azide free (AB326056)
  • mIHC

Lab

Multiplex immunohistochemistry - Anti-GPC2 antibody [EPR30350-627] - BSA and Azide free (AB326056)

This data was developed using ab324378, the same antibody clone in a different buffer formulation.

Multiplex immunohistochemistry analysis of formalin/PFA-fixed paraffin-embedded human testis tissue staining GPC2 with ab324378 at a 1/200 dilution ab323317 anti-Oligodendrocyte Specific Protein used at 1/500 dilution and ab323802 anti-MAGEA4 used at a 1/1000 dilution.

Panel A : anti-GPC2 (green; Opal™520) anti-Oligodendrocyte Specific Protein (magenta; Opal™690) and anti-MAGEA4 (gray; Opal™570) on human testis.

Panel B : anti-GPC2 staining early spermatids in human testis.

Panel C : anti-Oligodendrocyte Specific Protein staining apical Sertoli cell crypts in human testis.

Panel D : anti-MAGEA4 staining spermatogonia in human testis.

Nuclear DNA was labeled with DAPI (shown in blue).

The section was incubated in three rounds of staining : in the order of ab324378 ab323317 and ab323802 for 30 mins at room temperature. Each round was followed by a separate fluorescent tyramide signal amplification system.

The immunostaining was performed on a Leica Biosystems BOND® RX instrument with an Opal™ 4-color kit. Image acquisition was performed with Leica SP8 confocal microscope.

Heat mediated antigen retrieval was performed with Tris-EDTA buffer (pH 9.0 Epitope Retrieval Solution2) for 20 mins.

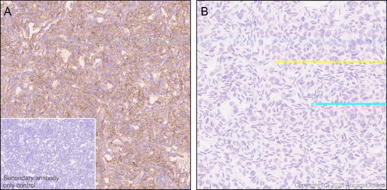
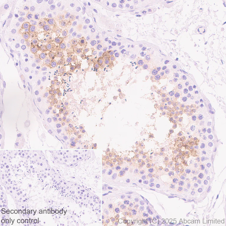
Immunohistochemistry (Formalin/PFA-fixed paraffin-embedded sections) - Anti-GPC2 antibody [EPR30350-627] - BSA and Azide free (AB326056)
  • IHC-P

Supplier Data

Immunohistochemistry (Formalin/PFA-fixed paraffin-embedded sections) - Anti-GPC2 antibody [EPR30350-627] - BSA and Azide free (AB326056)

This data was developed using ab324378, the same antibody clone in a different buffer formulation.

Immunohistochemical analysis of paraffin-embedded Human testis tissue labeling GPC2 with ab324378 at 1/200 (2.555 ug/ml) dilution followed by a ready to use Goat Anti-Rabbit IgG H&L (HRP polymer) (ab214880).

Positive staining on human testis.
The primary antibody was incubated overnight at 4°C.

Counterstained with Hematoxylin.

Secondary antibody only control : Secondary antibody is a ready to use Goat Anti-Rabbit IgG H&L (HRP polymer) (ab214880).

Heat mediated antigen retrieval was performed with Tris-EDTA buffer (pH 9.0 Epitope Retrieval Solution2) for 20 mins

Immunohistochemistry (Formalin/PFA-fixed paraffin-embedded sections) - Anti-GPC2 antibody [EPR30350-627] - BSA and Azide free (AB326056)
  • IHC-P

Supplier Data

Immunohistochemistry (Formalin/PFA-fixed paraffin-embedded sections) - Anti-GPC2 antibody [EPR30350-627] - BSA and Azide free (AB326056)

This data was developed using ab324378, the same antibody clone in a different buffer formulation.

Immunohistochemical analysis of paraffin-embedded Human colon tissue labeling GPC2 with ab324378 at 1/200 (2.555 ug/ml) dilution followed by a ready to use LeicaDS9800 (Bond™ Polymer Refine Detection).

Negative control : No staining on human colon (PMID : 28739923).
The primary antibody was incubated overnight at 4°C.

Counterstained with Hematoxylin.

Secondary antibody only control : Secondary antibody is a ready to use LeicaDS9800 (Bond™ Polymer Refine Detection).

Heat mediated antigen retrieval was performed with Tris-EDTA buffer (pH 9.0 Epitope Retrieval Solution2) for 20 mins

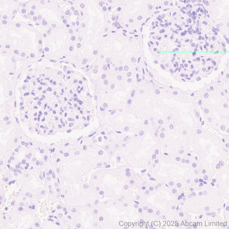
Immunohistochemistry (Formalin/PFA-fixed paraffin-embedded sections) - Anti-GPC2 antibody [EPR30350-627] - BSA and Azide free (AB326056)
  • IHC-P

Supplier Data

Immunohistochemistry (Formalin/PFA-fixed paraffin-embedded sections) - Anti-GPC2 antibody [EPR30350-627] - BSA and Azide free (AB326056)

This data was developed using ab324378, the same antibody clone in a different buffer formulation.

Immunohistochemical analysis of paraffin-embedded Human kidney tissue labeling GPC2 with ab324378 at 1/200 (2.555 ug/ml) dilution followed by a ready to use Goat Anti-Rabbit IgG H&L (HRP polymer) (ab214880).

Negative control : No staining on human kidney (PMID : 28739923).
The primary antibody was incubated overnight at 4°C.

Counterstained with Hematoxylin.

Secondary antibody only control : Secondary antibody is a ready to use Goat Anti-Rabbit IgG H&L (HRP polymer) (ab214880).

Heat mediated antigen retrieval was performed with Tris-EDTA buffer (pH 9.0 Epitope Retrieval Solution2) for 20 mins

Indirect ELISA - Anti-GPC2 antibody [EPR30350-627] - BSA and Azide free (AB326056)
  • I-ELISA

Supplier Data

Indirect ELISA - Anti-GPC2 antibody [EPR30350-627] - BSA and Azide free (AB326056)

This data was developed using ab324378, the same antibody clone in a different buffer formulation.

Indirect ELISA analysis of ab324378 at 1000-0 ng/ml. The Secondary antibody used was Peroxidase AffiniPure Goat Anti-Rabbit IgG, Fc fragment specific at 1 : 20000 dilution dilution.

Antigen : Human GPC2 protein, Human GPC6 protein, Human GPC1 protein.

Antigen concentration : 1000 ng/ml

This antibody does not cross-react with human GPC1 and GPC6.

Key facts

Host species

Rabbit

Clonality

Monoclonal

Clone number

EPR30350-627

Isotype

IgG

Carrier free

Yes

Reacts with

Human

Applications

IHC-P, I-ELISA, mIHC

applications

Immunogen

The exact immunogen used to generate this antibody is proprietary information.

Reactivity data

{ "title": "Reactivity Data", "filters": { "stats": ["", "Species", "Dilution Info", "Notes"], "tabs": { "all-applications": {"fullname" : "All Applications", "shortname": "All Applications"}, "IELISA" : {"fullname" : "Indirect ELISA", "shortname":"I-ELISA"}, "IHCP" : {"fullname" : "Immunohistochemistry (Formalin/PFA-fixed paraffin-embedded sections)", "shortname":"IHC-P"}, "ICCIF" : {"fullname" : "Immunocytochemistry/ Immunofluorescence", "shortname":"ICC/IF"}, "WB" : {"fullname" : "Western blot", "shortname":"WB"}, "mIHC" : {"fullname" : "Multiplex immunohistochemistry", "shortname":"mIHC"} }, "product-promise": { "all": "all", "testedAndGuaranteed": "tested", "guaranteed": "expected", "predicted": "predicted", "notRecommended": "not-recommended" } }, "values": { "Human": { "IELISA-species-checked": "guaranteed", "IELISA-species-dilution-info": "", "IELISA-species-notes": "", "IHCP-species-checked": "testedAndGuaranteed", "IHCP-species-dilution-info": "", "IHCP-species-notes": "<p></p> Perform heat-mediated antigen retrieval with Tris/EDTA buffer pH 9.0 before commencing with IHC staining protocol.", "ICCIF-species-checked": "notRecommended", "ICCIF-species-dilution-info": "", "ICCIF-species-notes": "<p></p>", "WB-species-checked": "notRecommended", "WB-species-dilution-info": "", "WB-species-notes": "<p></p>", "mIHC-species-checked": "testedAndGuaranteed", "mIHC-species-dilution-info": "", "mIHC-species-notes": "<p></p> Perform heat-mediated antigen retrieval with Tris/EDTA buffer pH 9.0 before commencing with IHC staining protocol." }, "Mouse": { "IELISA-species-checked": "notRecommended", "IELISA-species-dilution-info": "", "IELISA-species-notes": "", "IHCP-species-checked": "notRecommended", "IHCP-species-dilution-info": "", "IHCP-species-notes": "<p></p>", "ICCIF-species-checked": "notRecommended", "ICCIF-species-dilution-info": "", "ICCIF-species-notes": "<p></p>", "WB-species-checked": "notRecommended", "WB-species-dilution-info": "", "WB-species-notes": "<p></p>", "mIHC-species-checked": "notRecommended", "mIHC-species-dilution-info": "", "mIHC-species-notes": "" }, "Recombinant full length protein - Human": { "IELISA-species-checked": "testedAndGuaranteed", "IELISA-species-dilution-info": "", "IELISA-species-notes": "<p></p>", "IHCP-species-checked": "notRecommended", "IHCP-species-dilution-info": "", "IHCP-species-notes": "", "ICCIF-species-checked": "notRecommended", "ICCIF-species-dilution-info": "", "ICCIF-species-notes": "", "WB-species-checked": "notRecommended", "WB-species-dilution-info": "", "WB-species-notes": "", "mIHC-species-checked": "notRecommended", "mIHC-species-dilution-info": "", "mIHC-species-notes": "" } } }

Product details

ab326056 is the carrier-free version of ab324378

Patented technology
Our RabMAb® technology is a patented hybridoma-based technology for making rabbit monoclonal antibodies. For details on our patents, please refer to RabMAb® patents.

What are the advantages of a recombinant monoclonal antibody?
This product is a recombinant monoclonal antibody, which offers several advantages including:

  • - High batch-to-batch consistency and reproducibility
  • - Improved sensitivity and specificity
  • - Long-term security of supply
  • - Animal-free batch production

For more information, read more on recombinant antibodies.

Conjugation ready
Our carrier-free antibodies are typically supplied in a PBS-only formulation, purified and free of BSA, sodium azide and glycerol. This conjugation-ready format is designed for use with fluorochromes, metal isotopes, oligonucleotides, and enzymes, which makes them ideal for antibody labelling, functional and cell-based assays, flow-based assays (e.g. mass cytometry) and Multiplex Imaging applications.

Use our conjugation kits for antibody conjugates that are ready-to-use in as little as 20 minutes with 1 minute hands-on-time and 100% antibody recovery: available for fluorescent dyes, HRP, biotin and gold.

Compatibility
This product is compatible with the Maxpar® Antibody Labeling Kit from Fluidigm, without the need for antibody preparation. Maxpar® is a trademark of Fluidigm Canada Inc.

Properties and storage information

Form
Liquid
Purification technique
Affinity purification Protein A
Storage buffer
pH: 7.2 - 7.4 Constituents: PBS
Shipped at conditions
Blue Ice
Appropriate short-term storage conditions
+4°C
Appropriate long-term storage conditions
+4°C
Storage information
Do Not Freeze

Product protocols

For this product, it's our understanding that no specific protocols are required. You can visit:

Target data

Cell surface proteoglycan that bears heparan sulfate. May fulfill a function related to the motile behaviors of developing neurons (By similarity).
See full target information GPC2

Product promise

We are committed to supporting your work with high-quality reagents, and we're here for you every step of the way. In the unlikely event that one of our products does not perform as expected, you're protected by our Product Promise.
For full details, please see our Terms & Conditions

Please note: All products are 'FOR RESEARCH USE ONLY. NOT FOR USE IN DIAGNOSTIC OR THERAPEUTIC PROCEDURES'.

For licensing inquiries, please contact partnerships@abcam.com