JavaScript is disabled in your browser. Please enable JavaScript to view this website.
AB116586

Anti-GPCR G2A antibody

Be the first to review this product! Submit a review

|

(3 Publications)

Rabbit Polyclonal GPCR G2A antibody. Suitable for IHC-P and reacts with Human samples. Cited in 3 publications. Immunogen corresponding to Synthetic Peptide within Human GPR132 conjugated to Keyhole Limpet Haemocyanin.

View Alternative Names

G2A, GPR132, Probable G-protein coupled receptor 132, G2 accumulation protein

1 Images
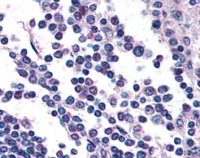
Immunohistochemistry (Formalin/PFA-fixed paraffin-embedded sections) - Anti-GPCR G2A antibody (AB116586)
  • IHC-P

Unknown

Immunohistochemistry (Formalin/PFA-fixed paraffin-embedded sections) - Anti-GPCR G2A antibody (AB116586)

Immunohistochemistry Image of Human Spleen (formalin-fixed, paraffin-embedded) stained with GPCRG2A antibody (ab116586)at 11 μg/ml followed by biotinylated goat anti-rabbit IgG secondary antibody, alkaline phosphatase-streptavidin and chromogen.

Key facts

Host species

Rabbit

Clonality

Polyclonal

Isotype

IgG

Carrier free

No

Reacts with

Human

Applications

IHC-P

applications

Immunogen

Synthetic Peptide within Human GPR132 conjugated to Keyhole Limpet Haemocyanin. The exact immunogen used to generate this antibody is proprietary information.

Q9UNW8

Reactivity data

{ "title": "Reactivity Data", "filters": { "stats": ["", "Species", "Dilution Info", "Notes"], "tabs": { "all-applications": {"fullname" : "All Applications", "shortname": "All Applications"}, "IHCP" : {"fullname" : "Immunohistochemistry (Formalin/PFA-fixed paraffin-embedded sections)", "shortname":"IHC-P"} }, "product-promise": { "all": "all", "testedAndGuaranteed": "tested", "guaranteed": "expected", "predicted": "predicted", "notRecommended": "not-recommended" } }, "values": { "Human": { "IHCP-species-checked": "testedAndGuaranteed", "IHCP-species-dilution-info": "12 µg/mL", "IHCP-species-notes": "<p></p> Perform heat-mediated antigen retrieval with citrate buffer pH 6 before commencing with IHC staining protocol." } } }

Properties and storage information

Form
Liquid
Purification technique
Affinity purification Immunogen
Storage buffer
pH: 7.4 Preservative: 0.1% Sodium azide Constituents: PBS
Shipped at conditions
Blue Ice
Appropriate short-term storage duration
1-2 weeks
Appropriate short-term storage conditions
+4°C
Appropriate long-term storage conditions
-20°C
Aliquoting information
Upon delivery aliquot
Storage information
Avoid freeze / thaw cycle

Supplementary information

This supplementary information is collated from multiple sources and compiled automatically.

GPCR G2A also known as GPR132 is a G protein-coupled receptor involved in various cellular functions. This receptor has a molecular mass of approximately 43 kDa and is expressed in a wide range of tissues including immune cells endothelial cells and certain types of cancer cells. The expression pattern suggests its involvement in diverse physiological processes. Researchers often refer to it using different names based on the context or geographical studies including G2A alternative and G2A Canada though these mainly reflect differences in study focus rather than the protein itself.
Biological function summary

The receptor contributes to cell signaling by detecting and responding to distinct lipid metabolites. While G2A is not typically part of a large multi-protein complex its activity influences the local cellular environment by altering signaling cascades involved in immune response and inflammation. Research indicates that G2A plays a role in lipid homeostasis and the positioning of immune cells like lymphocytes which are important for maintaining balanced immune activities.

Pathways

GPCR G2A integrates into the lysophosphatidylcholine (LPC) signaling pathway. This pathway is important for regulating immune cell migration and cellular responses to stress. G2A connects closely to downstream signaling molecules like G-proteins indicating its pivotal role in LPC signaling. Moreover it connects functionally with other receptors within the GPCR family facilitating crosstalk by interacting with various signaling molecules and receptors that modulate immune cell activities.

G2A has associations with cardiovascular diseases and autoimmune conditions. Its activity influences inflammatory responses which are central to these diseases. The receptor's function in immune regulation creates links with inflammation-related proteins such as chemokines and cytokines further impacting these health conditions. Understanding the role of G2A in these diseases opens opportunities for targeted therapies aiming to modulate its activity particularly in disorders where inflammation plays a significant role.

Product protocols

For this product, it's our understanding that no specific protocols are required. You can visit:

Target data

May be a receptor for oxidized free fatty acids derived from linoleic and arachidonic acids such as 9-hydroxyoctadecadienoic acid (9-HODE). Activates a G alpha protein, most likely G alpha(q). May be involved in apoptosis. Functions at the G2/M checkpoint to delay mitosis. May function as a sensor that monitors the oxidative states and mediates appropriate cellular responses such as secretion of paracrine signals and attenuation of proliferation. May mediate ths accumulation of intracellular inositol phosphates at acidic pH through proton-sensing activity.
See full target information GPR132

Publications (3)

Recent publications for all applications. Explore the full list and refine your search

Journal of clinical medicine 12: PubMed36902589

2023

Expression of pH-Sensitive GPCRs in Peritoneal Carcinomatosis of Colorectal Cancer-First Results.

Applications

Unspecified application

Species

Unspecified reactive species

Philipp von Breitenbuch,Bernadett Kurz,Susanne Wallner,Florian Zeman,Christoph Brochhausen,Hans-Jürgen Schlitt,Stephan Schreml

Scientific reports 10:15327 PubMed32948783

2020

Expression profiles of proton-sensing G-protein coupled receptors in common skin tumors.

Applications

Unspecified application

Species

Unspecified reactive species

Wybke Klatt,Susanne Wallner,Christoph Brochhausen,Judith A Stolwijk,Stephan Schreml

Experimental dermatology 28:66-71 PubMed30339292

2018

Expression of proton-sensing G-protein-coupled receptors in selected skin tumors.

Applications

Unspecified application

Species

Unspecified reactive species

Anaïs Nassios,Susanne Wallner,Sebastian Haferkamp,Christoph Klingelhöffer,Christoph Brochhausen,Stephan Schreml
View all publications

Product promise

We are committed to supporting your work with high-quality reagents, and we're here for you every step of the way. In the unlikely event that one of our products does not perform as expected, you're protected by our Product Promise.
For full details, please see our Terms & Conditions

Please note: All products are 'FOR RESEARCH USE ONLY. NOT FOR USE IN DIAGNOSTIC OR THERAPEUTIC PROCEDURES'.

For licensing inquiries, please contact partnerships@abcam.com