JavaScript is disabled in your browser. Please enable JavaScript to view this website.
AB188976

Anti-GPCR GPR103 antibody - N-terminal

Be the first to review this product! Submit a review

|

(1 Publication)

Rabbit Polyclonal GPCR GPR103 antibody. N-terminal. Suitable for IHC-P and reacts with Human samples. Cited in 1 publication. Immunogen corresponding to Synthetic Peptide within Human QRFPR.

View Alternative Names

GPR103, QRFPR, Pyroglutamylated RF-amide peptide receptor, AQ27, G-protein coupled receptor 103, Orexigenic neuropeptide QRFP receptor, SP9155

1 Images
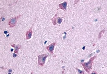
Immunohistochemistry (Formalin/PFA-fixed paraffin-embedded sections) - Anti-GPCR GPR103 antibody - N-terminal (AB188976)
  • IHC-P

Supplier Data

Immunohistochemistry (Formalin/PFA-fixed paraffin-embedded sections) - Anti-GPCR GPR103 antibody - N-terminal (AB188976)

Immunohistochemical analysis of formalin-fixed, paraffin-embedded Human brain tissue (neurons and glia) labeling GPCR GPR103 with ab188976 at 8 μg/ml.

Key facts

Host species

Rabbit

Clonality

Polyclonal

Isotype

IgG

Carrier free

No

Reacts with

Human

Applications

IHC-P

applications

Immunogen

Synthetic Peptide within Human QRFPR. The exact immunogen used to generate this antibody is proprietary information.

Q96P65

Specificity

BLAST analysis of the peptide immunogen showed no homology with other Human proteins.

Reactivity data

{ "title": "Reactivity Data", "filters": { "stats": ["", "Species", "Dilution Info", "Notes"], "tabs": { "all-applications": {"fullname" : "All Applications", "shortname": "All Applications"}, "IHCP" : {"fullname" : "Immunohistochemistry (Formalin/PFA-fixed paraffin-embedded sections)", "shortname":"IHC-P"} }, "product-promise": { "all": "all", "testedAndGuaranteed": "tested", "guaranteed": "expected", "predicted": "predicted", "notRecommended": "not-recommended" } }, "values": { "Human": { "IHCP-species-checked": "testedAndGuaranteed", "IHCP-species-dilution-info": "8 µg/mL", "IHCP-species-notes": "<p></p> Perform heat-mediated antigen retrieval before commencing with IHC staining protocol." }, "Mouse": { "IHCP-species-checked": "predicted", "IHCP-species-dilution-info": "", "IHCP-species-notes": "" }, "Rat": { "IHCP-species-checked": "predicted", "IHCP-species-dilution-info": "", "IHCP-species-notes": "" }, "Cow": { "IHCP-species-checked": "predicted", "IHCP-species-dilution-info": "", "IHCP-species-notes": "" }, "Dog": { "IHCP-species-checked": "predicted", "IHCP-species-dilution-info": "", "IHCP-species-notes": "" }, "Gorilla": { "IHCP-species-checked": "predicted", "IHCP-species-dilution-info": "", "IHCP-species-notes": "" }, "Horse": { "IHCP-species-checked": "predicted", "IHCP-species-dilution-info": "", "IHCP-species-notes": "" }, "Monkey": { "IHCP-species-checked": "predicted", "IHCP-species-dilution-info": "", "IHCP-species-notes": "" }, "Pig": { "IHCP-species-checked": "predicted", "IHCP-species-dilution-info": "", "IHCP-species-notes": "" }, "Rabbit": { "IHCP-species-checked": "predicted", "IHCP-species-dilution-info": "", "IHCP-species-notes": "" } } }

Properties and storage information

Form
Liquid
Purification technique
Affinity purification Immunogen
Storage buffer
pH: 7.4 Preservative: 0.1% Sodium azide Constituents: PBS
Shipped at conditions
Blue Ice
Appropriate short-term storage duration
1-2 weeks
Appropriate short-term storage conditions
+4°C
Appropriate long-term storage conditions
-20°C
Aliquoting information
Upon delivery aliquot
Storage information
Avoid freeze / thaw cycle

Supplementary information

This supplementary information is collated from multiple sources and compiled automatically.

G protein-coupled receptor 103 (GPR103) also known as AQ27 is a protein encoded by the QRFPR gene. It is part of the GPCR family characterized by having seven transmembrane domains. This protein has a molecular mass of approximately 45 kDa. GPR103 is commonly expressed in the brain particularly found in the hypothalamus and brainstem. Some expression is also considered in peripheral tissues like adipose tissue. It plays an essential role in various signaling mechanisms triggered by its endogenous ligand 26RFa or QRFP.
Biological function summary

GPR103 influences energy balance and metabolism by modulating the release of hormones involved in food intake and energy expenditure. It interacts with neuropeptides and influences several bodily functions including control of blood pressure and reproductive hormone regulation. GPR103 does not function in isolation; it often acts together with other receptors and proteins to execute biological signals impacting physiological responses.

Pathways

GPR103 participates in neuropeptide signaling pathways which impact feeding behavior and energy homeostasis. It is directly associated with pathways such as the MAPK/ERK signaling pathway connecting it to the regulation of cell proliferation and differentiation. In these processes GPR103 interacts with related proteins like GPR39 and GPR40 influencing various physiological outcomes.

Studies associate GPR103 with obesity and hypertension. Dysregulation of this receptor can affect appetite control and energy homeostasis contributing to obesity. It also plays a role in cardiovascular diseases by influencing blood pressure levels. Through its involvement in these conditions GPR103 interacts with proteins like leptin which is significant in the regulation of body weight and energy balance. Researchers continue to explore the therapeutic potential of targeting GPR103 in relevant diseases.

Product protocols

For this product, it's our understanding that no specific protocols are required. You can visit:

Target data

Receptor for the orexigenic neuropeptide QRFP. The activity of this receptor is mediated by G proteins that modulate adenylate cyclase activity and intracellular calcium levels.
See full target information QRFPR

Publications (1)

Recent publications for all applications. Explore the full list and refine your search

Cellular and molecular life sciences : CMLS 77:4631-4662 PubMed31900623

2020

Frizzled 1 and Wnt1 as new potential therapeutic targets in the traumatically injured spinal cord.

Applications

Unspecified application

Species

Unspecified reactive species

Pau González,Carlos González-Fernández,Yolanda Campos-Martín,Manuela Mollejo,Melissa Carballosa-Gautam,Alexander Marcillo,Michael Norenberg,Francisco Javier Rodríguez
View all publications

Product promise

We are committed to supporting your work with high-quality reagents, and we're here for you every step of the way. In the unlikely event that one of our products does not perform as expected, you're protected by our Product Promise.
For full details, please see our Terms & Conditions

Please note: All products are 'FOR RESEARCH USE ONLY. NOT FOR USE IN DIAGNOSTIC OR THERAPEUTIC PROCEDURES'.

For licensing inquiries, please contact partnerships@abcam.com