JavaScript is disabled in your browser. Please enable JavaScript to view this website.
AB111169

Anti-GPCR GPR116 antibody

0

(1 Review)

|

(5 Publications)

Rabbit Polyclonal GPCR GPR116 antibody. Suitable for IHC-P, ICC/IF and reacts with Human samples. Cited in 5 publications. Immunogen corresponding to Synthetic Peptide within Human ADGRF5 aa 600-700.

View Alternative Names

GPR116, KIAA0758, ADGRF5, Adhesion G protein-coupled receptor F5, G-protein coupled receptor 116

2 Images
Immunocytochemistry/ Immunofluorescence - Anti-GPCR GPR116 antibody (AB111169)
  • ICC/IF

Unknown

Immunocytochemistry/ Immunofluorescence - Anti-GPCR GPR116 antibody (AB111169)

ab111169 at 1/100 dilution staining GPCR GPR116 in A549 cells by Immunofluorescence. The image on the right is treated with synthesized peptide.

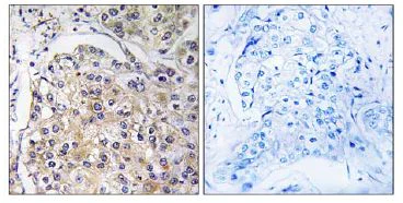
Immunohistochemistry (Formalin/PFA-fixed paraffin-embedded sections) - Anti-GPCR GPR116 antibody (AB111169)
  • IHC-P

Unknown

Immunohistochemistry (Formalin/PFA-fixed paraffin-embedded sections) - Anti-GPCR GPR116 antibody (AB111169)

ab111169 at 1/50 dilution staining GPCR GPR116 in paraffin-embedded Human breast carcinoma tissue by Immunohistochemistry. The image on the right is treated with synthesized peptide.

Key facts

Host species

Rabbit

Clonality

Polyclonal

Isotype

IgG

Carrier free

No

Reacts with

Human

Applications

ICC/IF, IHC-P

applications

Immunogen

Synthetic Peptide within Human ADGRF5 aa 600-700. The exact immunogen used to generate this antibody is proprietary information.

Q8IZF2

Reactivity data

{ "title": "Reactivity Data", "filters": { "stats": ["", "Species", "Dilution Info", "Notes"], "tabs": { "all-applications": {"fullname" : "All Applications", "shortname": "All Applications"}, "IHCP" : {"fullname" : "Immunohistochemistry (Formalin/PFA-fixed paraffin-embedded sections)", "shortname":"IHC-P"}, "ICCIF" : {"fullname" : "Immunocytochemistry/ Immunofluorescence", "shortname":"ICC/IF"} }, "product-promise": { "all": "all", "testedAndGuaranteed": "tested", "guaranteed": "expected", "predicted": "predicted", "notRecommended": "not-recommended" } }, "values": { "Human": { "IHCP-species-checked": "testedAndGuaranteed", "IHCP-species-dilution-info": "1/50 - 1/100", "IHCP-species-notes": "<p></p> Perform heat-mediated antigen retrieval with citrate buffer pH 6 before commencing with IHC staining protocol.", "ICCIF-species-checked": "testedAndGuaranteed", "ICCIF-species-dilution-info": "1/100 - 1/500", "ICCIF-species-notes": "<p></p>" } } }

Properties and storage information

Form
Liquid
Purification technique
Affinity purification Immunogen
Purification notes
ab111169 was affinity-purified from Rabbit antiserum by affinity-chromatography using epitope-specific immunogen.
Storage buffer
pH: 7.4 Preservative: 0.02% Sodium azide Constituents: PBS, 50% Glycerol (glycerin, glycerine), 0.88% Sodium chloride
Shipped at conditions
Blue Ice
Appropriate short-term storage conditions
+4°C
Appropriate long-term storage conditions
-20°C
Storage information
Stable for 12 months at -20°C

Supplementary information

This supplementary information is collated from multiple sources and compiled automatically.

GPCR GPR116 also known as adhesion G protein-coupled receptor F5 is a receptor protein that belongs to the large family of adhesion GPCRs. The GPR116 protein has an approximate mass of 140 kDa. It plays a role in regulating G protein signaling and interacts with other cellular proteins through its extracellular and intracellular domains. GPR116 is expressed in multiple tissues with high expression levels noted in endothelial cells lungs and adipose tissue.
Biological function summary

This receptor is involved in important processes like maintaining pulmonary surfactant homeostasis and regulating vascular integrity. GPR116 does not function alone but as part of larger receptor complexes interacting with various other proteins and molecules at the cellular membrane. Its activity influences the balance of signals within the cell impacting cellular responses and activities.

Pathways

GPR116 is an important component in the surfactant and vascular maintenance pathways. It is associated with the phosphatidylinositol signaling system and can influence phospholipase C activity. GPR116 also interacts with other proteins like thrombin which assists in mediating inflammatory responses via G protein-coupled signal transduction.

Dysfunction of GPR116 has implications in respiratory conditions like pulmonary alveolar proteinosis and cardiovascular diseases such as hypertension. In these disease contexts GPR116's relationship with proteins like surfactant protein A and B shows its role in regulating respiratory and cardiovascular conditions. Understanding these interactions might offer insights into targeting GPR116 for therapeutic interventions.

Product protocols

For this product, it's our understanding that no specific protocols are required. You can visit:

Target data

Adhesion G protein-coupled receptor (PubMed : 28570277). In alveolar type II (ATII or AT2) cells, required for normal lung surfactant homeostasis (PubMed : 28570277). Modulation of both surfactant secretion and uptake by ATII cells is mediated by the downstream activation of GNAQ/GNA11 proteins and may be a consequence of increased cortical F-actin assembly induced by ADGRF5 activation (PubMed : 28570277). In the kidney, may play a role in the regulation of acid excretion into the primary urine, possibly by regulating the surface expression of V-ATPase proton pump (By similarity). As a receptor for soluble FNDC4 (sFNDC4), required for proper systemic glucose tolerance, specifically sensitizing white adipose tissue to insulin. Plays also a role in sFNDC4-induced decrease of local inflammation in white adipose tissue (PubMed : 34016966).
See full target information ADGRF5

Publications (5)

Recent publications for all applications. Explore the full list and refine your search

Nature biomedical engineering 8:1285-1307 PubMed39085645

2024

Prevention and treatment of peri-implant fibrosis by functionally inhibiting skeletal cells expressing the leptin receptor.

Applications

Unspecified application

Species

Unspecified reactive species

Vincentius Jeremy Suhardi,Anastasia Oktarina,Mohammed Hammad,Yingzhen Niu,Qingdian Li,Andrew Thomson,Juan Lopez,Jason McCormick,Ugur M Ayturk,Matthew B Greenblatt,Lionel B Ivashkiv,Mathias P G Bostrom,Xu Yang

Cellular and molecular life sciences : CMLS 81:299 PubMed39001944

2024

GPR116 alleviates acetaminophen-induced liver injury in mice by inhibiting endoplasmic reticulum stress.

Applications

Unspecified application

Species

Unspecified reactive species

Qian Xiang,Na Li,Yan Zhang,Ting Wang,Ying Wang,Jinjun Bian

Nature communications 12:2999 PubMed34016966

2021

Orphan GPR116 mediates the insulin sensitizing effects of the hepatokine FNDC4 in adipose tissue.

Applications

Unspecified application

Species

Unspecified reactive species

Anastasia Georgiadi,Valeria Lopez-Salazar,Rabih El- Merahbi,Rhoda Anane Karikari,Xiaochuan Ma,André Mourão,Katarina Klepac,Lea Bühler,Ana Jimena Alfaro,Isabell Kaczmarek,Adam Linford,Madeleen Bosma,Olga Shilkova,Olli Ritvos,Nobuhiro Nakamura,Shigehisa Hirose,Maximilian Lassi,Raffaele Teperino,Juliano Machado,Marcel Scheideler,Arne Dietrich,Arie Geerlof,Annette Feuchtinger,Andreas Blutke,Katrin Fischer,Timo Dirk Müller,Katharina Kessler,Torsten Schöneberg,Doreen Thor,Silke Hornemann,Michael Kruse,Peter Nawroth,Olga Pivovarova-Ramich,Andreas Friedrich Hermann Pfeiffer,Michael Sattler,Matthias Blüher,Stephan Herzig

Modern pathology : an official journal of the Unit 33:1360-1368 PubMed32047233

2020

Recurrent novel THBS1-ADGRF5 gene fusion in a new tumor subtype "Acral FibroChondroMyxoid Tumors".

Applications

Unspecified application

Species

Unspecified reactive species

Corinne Bouvier,François Le Loarer,Nicolas Macagno,Sébastien Aubert,Virginie Audard,Damien Geneste,Anne Gomez-Brouchet,Jean-Marc Guinebretière,Frédérique Larousserie,Daniel Pissaloux,Béatrice Marie,Franck Tirode,Jessica Baud,Gonzague De Pinieux

Cancer research 73:6206-18 PubMed24008316

2013

GPR116, an adhesion G-protein-coupled receptor, promotes breast cancer metastasis via the Gαq-p63RhoGEF-Rho GTPase pathway.

Applications

IHC

Species

Human

Xiaolong Tang,Rongrong Jin,Guojun Qu,Xiu Wang,Zhenxi Li,Zengjin Yuan,Chen Zhao,Stefan Siwko,Tieliu Shi,Ping Wang,Jianru Xiao,Mingyao Liu,Jian Luo
View all publications

Product promise

We are committed to supporting your work with high-quality reagents, and we're here for you every step of the way. In the unlikely event that one of our products does not perform as expected, you're protected by our Product Promise.
For full details, please see our Terms & Conditions

Please note: All products are 'FOR RESEARCH USE ONLY. NOT FOR USE IN DIAGNOSTIC OR THERAPEUTIC PROCEDURES'.

For licensing inquiries, please contact partnerships@abcam.com