JavaScript is disabled in your browser. Please enable JavaScript to view this website.
AB218046

Anti-GPCR GPR126 antibody

4

(1 Review)

|

(1 Publication)

Rabbit Polyclonal GPCR GPR126 antibody. Suitable for IHC-P and reacts with Mouse, Human samples. Cited in 1 publication. Immunogen corresponding to Synthetic Peptide within Human ADGRG6 aa 750-850 conjugated to Keyhole Limpet Haemocyanin.

View Alternative Names

DREG, GPR126, VIGR, ADGRG6, Adhesion G-protein coupled receptor G6, Developmentally regulated G-protein-coupled receptor, G-protein coupled receptor 126, Vascular inducible G protein-coupled receptor

2 Images
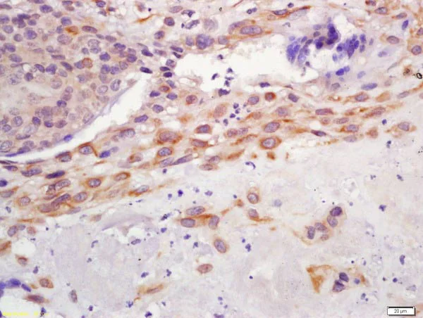
Immunohistochemistry (Formalin/PFA-fixed paraffin-embedded sections) - Anti-GPCR GPR126 antibody (AB218046)
  • IHC-P

Supplier Data

Immunohistochemistry (Formalin/PFA-fixed paraffin-embedded sections) - Anti-GPCR GPR126 antibody (AB218046)

Immunohistochemical analysis of formalin-fixed, paraffin embedded Human placenta tissue labeling GPCR GPR126 with ab218046 at 1/200 dilution, followed by conjugation to the secondary antibody and DAB staining.

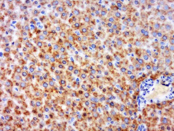
Immunohistochemistry (Formalin/PFA-fixed paraffin-embedded sections) - Anti-GPCR GPR126 antibody (AB218046)
  • IHC-P

Supplier Data

Immunohistochemistry (Formalin/PFA-fixed paraffin-embedded sections) - Anti-GPCR GPR126 antibody (AB218046)

Immunohistochemical analysis of formalin-fixed, paraffin embedded mouse liver tissue labeling GPCR GPR126 with ab218046 at 1/600 dilution, followed by conjugation to the secondary antibody and DAB staining.

After antigen retrieval, endogenous peroxidase was blocked by 3% hydrogen peroxide for 30 minutes. Blocking buffer (normal goat serum) at 37°C for 20 minutes. Antibody incubation with ab218046 was done overnight at 4°C.

Key facts

Host species

Rabbit

Clonality

Polyclonal

Isotype

IgG

Carrier free

No

Reacts with

Mouse, Human

Applications

IHC-P

applications

Immunogen

Synthetic Peptide within Human ADGRG6 aa 750-850 conjugated to Keyhole Limpet Haemocyanin. The exact immunogen used to generate this antibody is proprietary information.

Q86SQ4

Reactivity data

{ "title": "Reactivity Data", "filters": { "stats": ["", "Species", "Dilution Info", "Notes"], "tabs": { "all-applications": {"fullname" : "All Applications", "shortname": "All Applications"}, "IHCP" : {"fullname" : "Immunohistochemistry (Formalin/PFA-fixed paraffin-embedded sections)", "shortname":"IHC-P"} }, "product-promise": { "all": "all", "testedAndGuaranteed": "tested", "guaranteed": "expected", "predicted": "predicted", "notRecommended": "not-recommended" } }, "values": { "Human": { "IHCP-species-checked": "testedAndGuaranteed", "IHCP-species-dilution-info": "1/100 - 1/600", "IHCP-species-notes": "<p></p> Perform heat-mediated antigen retrieval with citrate buffer pH 6 before commencing with IHC staining protocol." }, "Mouse": { "IHCP-species-checked": "testedAndGuaranteed", "IHCP-species-dilution-info": "1/100 - 1/600", "IHCP-species-notes": "<p></p> Perform heat-mediated antigen retrieval with citrate buffer pH 6 before commencing with IHC staining protocol." }, "Rat": { "IHCP-species-checked": "predicted", "IHCP-species-dilution-info": "", "IHCP-species-notes": "" } } }

Properties and storage information

Form
Liquid
Purification technique
Affinity purification Protein A
Storage buffer
pH: 7.4 Preservative: 0.02% Proclin 300 Constituents: 50% Glycerol (glycerin, glycerine), 48.98% TBS, 1X, 1% BSA
Shipped at conditions
Blue Ice
Appropriate short-term storage duration
1-2 weeks
Appropriate short-term storage conditions
+4°C
Appropriate long-term storage conditions
-20°C
Aliquoting information
Upon delivery aliquot
Storage information
Avoid freeze / thaw cycle

Supplementary information

This supplementary information is collated from multiple sources and compiled automatically.

GPR126 also known as ADGRG6 is a member of the adhesion G protein-coupled receptors (GPCRs) family. This protein is involved in various important cellular processes through its mechanical function. It acts as an important regulator of myelination in the peripheral nervous system and influences the development of Schwann cells. GPR126 plays a critical role in signal transmission across cell membranes via its involvement in signal transduction processes. This receptor has a mass of approximately 150 kDa and is widely expressed in various tissues including the nervous system heart and cartilage.
Biological function summary

GPR126 is critical for several developmental processes including myelination and cartilage formation. GPR126 functions within a protein complex that includes G proteins which are responsible for transmitting signals from outside the cell to its interior. This interplay allows Schwann cell differentiation and proliferation contributing to proper peripheral nerve development. Additionally GPR126 facilitates chondrogenesis supporting cartilage development by modulating cell signaling pathways relevant to skeletal growth.

Pathways

GPR126 is involved in the cAMP signaling pathway. This pathway is essential for various cellular functions such as cell growth and differentiation. GPR126 interacts with the adenylyl cyclase enzyme and G protein alpha subunits facilitating the conversion of ATP to cyclic AMP an important secondary messenger. Another significant pathway includes its participation in the Wnt signaling pathway which influences cell fate determination and proliferation. In these pathways GPR126's interactions with proteins like G protein-coupled receptors ensure proper cellular responses to diverse signals.

GPR126 has links to peripheral demyelinating neuropathies such as Charcot-Marie-Tooth disease type 1E characterized by Schwann cell abnormalities. Mutations in GPR126 affect its signaling capacity leading to impaired nerve function. Additionally GPR126 associates with idiopathic scoliosis where anomalies in musculoskeletal development occur. Altered expression or function of related proteins such as those involved in cartilage maintenance may also contribute to these disorders highlighting the importance of GPR126 in maintaining normal physiological processes.

Product protocols

For this product, it's our understanding that no specific protocols are required. You can visit:

Target data

G-protein coupled receptor which is activated by type IV collagen, a major constituent of the basement membrane (By similarity). Couples to G(i)-proteins as well as G(s)-proteins (PubMed : 24227709). Essential for normal differentiation of promyelinating Schwann cells and for normal myelination of axons (PubMed : 24227709). Regulates neural, cardiac and ear development via G-protein- and/or N-terminus-dependent signaling (By similarity). May act as a receptor for PRNP which may promote myelin homeostasis (By similarity).
See full target information ADGRG6

Publications (1)

Recent publications for all applications. Explore the full list and refine your search

Laboratory investigation; a journal of technical m 98:1211-1224 PubMed29884908

2018

Thioredoxin-interacting protein deficiency ameliorates kidney inflammation and fibrosis in mice with unilateral ureteral obstruction.

Applications

Unspecified application

Species

Unspecified reactive species

Ming Wu,Ruoyu Li,Yanjuan Hou,Shan Song,Weixia Han,Nan Chen,Yunxia Du,Yunzhuo Ren,Yonghong Shi
View all publications

Product promise

We are committed to supporting your work with high-quality reagents, and we're here for you every step of the way. In the unlikely event that one of our products does not perform as expected, you're protected by our Product Promise.
For full details, please see our Terms & Conditions

Please note: All products are 'FOR RESEARCH USE ONLY. NOT FOR USE IN DIAGNOSTIC OR THERAPEUTIC PROCEDURES'.

For licensing inquiries, please contact partnerships@abcam.com