JavaScript is disabled in your browser. Please enable JavaScript to view this website.
AB314307

Anti-GPCR GPR17 antibody [EPR26422-118]

  • BOND RX™ Validated
  • 20ul selling size
  • Recombinant
  • Advanced Validation
  • RabMAb
  • What is this?

Be the first to review this product! Submit a review

|

(0 Publication)

Rabbit Recombinant Monoclonal GPCR GPR17 antibody. Suitable for IHC-P, IP, ICC/IF, mIHC and reacts with Human, Mouse, Rat samples.

View Alternative Names

Uracil nucleotide/cysteinyl leukotriene receptor, UDP/CysLT receptor, G-protein coupled receptor 17, P2Y-like receptor, R12, GPR17

23 Images
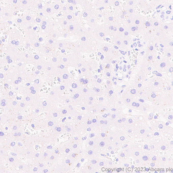
Immunohistochemistry (Formalin/PFA-fixed paraffin-embedded sections) - Anti-GPCR GPR17 antibody [EPR26422-118] (AB314307)
  • IHC-P

Supplier Data

Immunohistochemistry (Formalin/PFA-fixed paraffin-embedded sections) - Anti-GPCR GPR17 antibody [EPR26422-118] (AB314307)

Immunohistochemical analysis of paraffin-embedded human liver tissue labeling GPCR GPR17 with ab314307 at 1/500 (1.034 ug/ml) followed by a ready to use LeicaDS9800 (Bond™ Polymer Refine Detection). Negative control : no staining on human liver. The section was incubated with ab314307 for 30 mins at room temperature. The immunostaining was performed on a Leica Biosystems BOND® RX instrument. Counterstained with Hematoxylin. Secondary antibody only control : Secondary antibody is a ready to use LeicaDS9800 (Bond™ Polymer Refine Detection). Heat mediated antigen retrieval was performed with Tris-EDTA buffer (pH 9.0, Epitope Retrieval Solution2) for 20 mins.

Immunohistochemistry (Formalin/PFA-fixed paraffin-embedded sections) - Anti-GPCR GPR17 antibody [EPR26422-118] (AB314307)
  • IHC-P

Supplier Data

Immunohistochemistry (Formalin/PFA-fixed paraffin-embedded sections) - Anti-GPCR GPR17 antibody [EPR26422-118] (AB314307)

Immunohistochemical analysis of paraffin-embedded human skeletal muscle tissue labeling GPCR GPR17 with ab314307 at 1/500 (1.034 ug/ml) followed by a ready to use LeicaDS9800 (Bond™ Polymer Refine Detection). Negative control : no staining on human skeletal muscle. The section was incubated with ab314307 for 30 mins at room temperature. The immunostaining was performed on a Leica Biosystems BOND® RX instrument. Counterstained with Hematoxylin. Secondary antibody only control : Secondary antibody is a ready to use LeicaDS9800 (Bond™ Polymer Refine Detection). Heat mediated antigen retrieval was performed with Tris-EDTA buffer (pH 9.0, Epitope Retrieval Solution2) for 20 mins.

Immunohistochemistry (Formalin/PFA-fixed paraffin-embedded sections) - Anti-GPCR GPR17 antibody [EPR26422-118] (AB314307)
  • IHC-P

Supplier Data

Immunohistochemistry (Formalin/PFA-fixed paraffin-embedded sections) - Anti-GPCR GPR17 antibody [EPR26422-118] (AB314307)

Immunohistochemical analysis of paraffin-embedded human cerebrum tissue labeling GPCR GPR17 with ab314307 at 1/500 (1.034 ug/ml) followed by a ready to use LeicaDS9800 (Bond™ Polymer Refine Detection). Positive staining on oligodendrocytes of human cerebrum. The section was incubated with ab314307 for 30 mins at room temperature. The immunostaining was performed on a Leica Biosystems BOND® RX instrument. Counterstained with Hematoxylin. Secondary antibody only control : Secondary antibody is a ready to use LeicaDS9800 (Bond™ Polymer Refine Detection). Heat mediated antigen retrieval was performed with Tris-EDTA buffer (pH 9.0, Epitope Retrieval Solution2) for 20 mins.

Immunohistochemistry (Formalin/PFA-fixed paraffin-embedded sections) - Anti-GPCR GPR17 antibody [EPR26422-118] (AB314307)
  • IHC-P

Supplier Data

Immunohistochemistry (Formalin/PFA-fixed paraffin-embedded sections) - Anti-GPCR GPR17 antibody [EPR26422-118] (AB314307)

Immunohistochemical analysis of paraffin-embedded human spinal cord tissue labeling GPCR GPR17 with ab314307 at 1/500 (1.034 ug/ml) followed by a ready to use LeicaDS9800 (Bond™ Polymer Refine Detection). Positive staining on oligodendrocytes of human spinal cord. The section was incubated with ab314307 for 30 mins at room temperature. The immunostaining was performed on a Leica Biosystems BOND® RX instrument. Counterstained with Hematoxylin. Secondary antibody only control : Secondary antibody is a ready to use LeicaDS9800 (Bond™ Polymer Refine Detection). Heat mediated antigen retrieval was performed with Tris-EDTA buffer (pH 9.0, Epitope Retrieval Solution2) for 20 mins.

Multiplex immunohistochemistry - Anti-GPCR GPR17 antibody [EPR26422-118] (AB314307)
  • mIHC

Supplier Data

Multiplex immunohistochemistry - Anti-GPCR GPR17 antibody [EPR26422-118] (AB314307)

Multiplex immunohistochemical analysis of formalin/PFA-fixed paraffin-embedded human cerebrum tissue section labelling Noradrenaline transporter with ab254361 at a 1/100 dilution (B), GPCR GPR17 with ab314307 at a 1/500 dilution (C), and ARMET/ARP with ab316935 at a 1/1000 dilution (D). Nuclear DNA was labeled with DAPI (shown in blue).

Panel A : merged staining of anti-Noradrenaline transporter (magenta; Opal™ 690), anti-GPCR GPR17 (green; Opal™ 520) and anti-ARMET/ARP (gray; Opal™ 570) on human cerebrum.
Panel B : anti-Noradrenaline transporter staining nerves in human cerebrum.
Panel C : anti-GPCR GPR17 staining oligodendrocytes in human cerebrum.
Panel D : anti-ARMET/ARP staining neurons in human cerebrum.

Heat mediated antigen retrieval with Tris-EDTA buffer (pH 9.0, epitope retrieval solution2) for 20 mins.

The section was incubated in three rounds of staining : in the order of ab254361, ab314307 and ab316935 for 30 mins at room temperature. Each round was followed by a separate fluorescent tyramide signal amplification system.

The immunostaining was performed on a Leica Biosystems BOND® RX instrument with an Opal™ 4-color kit. Image acquisition was performed with Leica SP8 confocal microscope.

Multiplex immunohistochemistry - Anti-GPCR GPR17 antibody [EPR26422-118] (AB314307)
  • mIHC

Supplier Data

Multiplex immunohistochemistry - Anti-GPCR GPR17 antibody [EPR26422-118] (AB314307)

Fluorescence multiplex immunohistochemical analysis of the human cerebrum (Formalin/PFA-fixed paraffin-embedded sections). Panel A : merged staining of anti-GFAP (magenta; Opal™690), anti-MAP2 (green; Opal™520) and anti-GPCR GPR17 (red; Opal™570) on human cerebrum. Panel B : anti-MAP2 staining neurons. Panel C : anti-GPCR GPR17 staining oligodendrocytes. Panel D : anti-GFAP staining astrocytes. The section was incubated in three rounds of staining : in the order of ab254263, ab314307, and ab68428 for 30 mins at room temperature. Each round was followed by a separate fluorescent tyramide signal amplification system. The immunostaining was performed on a Leica Biosystems BOND® RX instrument with an Opal™ 4-color kit. Image acquisition was performed with Leica SP8 confocal microscope. Heat mediated antigen retrieval with Tris-EDTA buffer (pH 9.0, epitope retrieval solution2) for 20 mins

Immunoprecipitation - Anti-GPCR GPR17 antibody [EPR26422-118] (AB314307)
  • IP

Supplier Data

Immunoprecipitation - Anti-GPCR GPR17 antibody [EPR26422-118] (AB314307)

GPCR GPR17 was immunoprecipitated from 0.35 mg human spinal cord tissue lysate with ab314307 at 1/30 dilution (2ug in 0.35mg lysates). Western blot was performed on the immunoprecipitate using ab314307 at 1/1000 dilution.

VeriBlot for IP secondary antibody(HRP)(ab131366) was used at 1/5000 dilution.

Lane 1 : Human spinal cord tissue lysate

Lane 2 : ab314307 IP in Human spinal cord tissue lysate

Lane 3 : Rabbit monoclonal IgG (ab172730) instead of ab314307 in human spinal cord tissue lysate

Blocking and dilution buffer and concentration : 5% NFDM/TBST

This blot was developed using a high sensitivity ECL substrate. The high-sensitivity ECL substrate used allows for the detection of proteins in the mid-femtogram range.

All lanes:

Immunoprecipitation - Anti-GPCR GPR17 antibody [EPR26422-118] (ab314307) at 1/30 dilution

All lanes:

Human spinal cord tissue lysate

Secondary

All lanes:

Immunoprecipitation - VeriBlot for IP Detection Reagent (HRP) (<a href='/en-us/products/reagents/veriblot-for-ip-detection-reagent-hrp-ab131366'>ab131366</a>) at 1/5000 dilution

true

Exposure time: 180s

Multiplex immunohistochemistry - Anti-GPCR GPR17 antibody [EPR26422-118] (AB314307)
  • mIHC

Supplier Data

Multiplex immunohistochemistry - Anti-GPCR GPR17 antibody [EPR26422-118] (AB314307)

Immunohistochemistry (Formalin/PFA-fixed paraffin-embedded sections) analysis of rat cerebrum labelling Noradrenaline transporter with ab254361 at 1/100 (B), GPCR GPR17 with ab314307 at 1/2000 dilution (C) and FMRP with ab259335 at 1/10000 dilution (D). Opal Polymer HRP Ms + Rb was used as a secondary antibody, and Nuclear DNA was labeled with DAPI (shown in blue). Heat mediated antigen retrieval with Tris-EDTA buffer (pH 9.0, epitope retrieval solution2) for 20 mins.

Panel A : merged staining of anti-Noradrenaline transporter (magenta; Opal™690), anti-GPCR GPR17 (green; Opal™520) and anti-FMRP (gray; Opal™570) on rat cerebrum.
Panel B : anti-Noradrenaline transporter staining nerves in rat cerebrum.
Panel C : anti-GPCR GPR17 staining oligodendrocytes in rat cerebrum.
Panel D : anti-FMRP staining neurons in rat cerebrum.

The section was incubated in three rounds of staining : in the order of ab254361, ab314307 and ab259335 for 30 mins at room temperature. Each round was followed by a separate fluorescent tyramide signal amplification system.

The immunostaining was performed on a Leica Biosystems BOND® RX instrument with an Opal™ 4-color kit. Image acquisition was performed with Leica SP8 confocal microscope.

Immunocytochemistry/ Immunofluorescence - Anti-GPCR GPR17 antibody [EPR26422-118] (AB314307)
  • ICC/IF

Supplier Data

Immunocytochemistry/ Immunofluorescence - Anti-GPCR GPR17 antibody [EPR26422-118] (AB314307)

Immunofluorescent analysis of 4% Paraformaldehyde-fixed, 0.1% TritonX-100 permeabilized mouse primary neural/glia cell cells labelling GPCR GPR17 with ab314307 at 1/100 (5.17 ug/ml) dilution, followed by ab150081 Goat Anti-Rabbit IgG H&L (Alexa Fluor® 488) preadsorbed antibody at 1/1000 (2 ug/ml) dilution (Green). Confocal image showing cytoplasmic staining in partial mouse primary neural/glia cell. Confocal scanning Z step was set as 0.3 μm followed by image processing with maximum Z projection. Image was taken with a confocal microscope(Leica-Microsystems, TCS SP8). ab11267 Anti-MAP2 mouse monoclonal antibody was used to counterstain at 1/500 (4ug/ml) dilution (Red). The Nuclear counterstain was DAPI (Blue). Secondary antibody only control : Secondary antibody is ab150081 Goat Anti-Rabbit IgG H&L (Alexa Fluor® 488) preadsorbed at 1/1000 (2 ug/ml) dilution.

Immunocytochemistry/ Immunofluorescence - Anti-GPCR GPR17 antibody [EPR26422-118] (AB314307)
  • ICC/IF

Supplier Data

Immunocytochemistry/ Immunofluorescence - Anti-GPCR GPR17 antibody [EPR26422-118] (AB314307)

Immunofluorescent analysis of 4% Paraformaldehyde-fixed, 0.1% TritonX-100 permeabilized rat primary neural/glia cell cells labelling GPCR GPR17 with ab314307 at 1/100 (5.17 ug/ml) dilution, followed by ab150081 Goat Anti-Rabbit IgG H&L (Alexa Fluor® 488) preadsorbed antibody at 1/1000 (2 ug/ml) dilution (Green). Confocal image showing cytoplasmic staining in partial rat primary neural/glia cell. Confocal scanning Z step was set as 0.3 μm followed by image processing with maximum Z projection. Image was taken with a confocal microscope(Leica-Microsystems, TCS SP8). ab11267 Anti-MAP2 mouse monoclonal antibody was used to counterstain at 1/500 (4ug/ml) dilution (Red). The Nuclear counterstain was DAPI (Blue). Secondary antibody only control : Secondary antibody is ab150081 Goat Anti-Rabbit IgG H&L (Alexa Fluor® 488) preadsorbed at 1/1000 (2 ug/ml) dilution.

Multiplex immunohistochemistry - Anti-GPCR GPR17 antibody [EPR26422-118] (AB314307)
  • mIHC

Supplier Data

Multiplex immunohistochemistry - Anti-GPCR GPR17 antibody [EPR26422-118] (AB314307)

Multiplex immunohistochemistry analysis of formalin/PFA-fixed paraffin-embedded rat spinal cord tissue section labelling GPCR GPR17 with ab314307 at 1/2000 dilution (B), TAC1 with ab307138 at 1/500 dilution (C), and ARMET/ARP with ab316935 at 1/20000 dilution (D). Nuclear DNA was labeled with DAPI (shown in blue). Heat mediated antigen retrieval with Tris-EDTA buffer (pH 9.0, epitope retrieval solution2) for 20 mins.

Panel A : merged staining of anti-GPCR GPR17 (magenta; Opal™ 690), anti-TAC1 (green; Opal™ 520) and anti-ARMET/ARP (yellow; Opal™ 570) on rat spinal cord.
Panel B : anti-GPCR GPR17 staining oligodendrocytes in rat spinal cord.
Panel C : anti-TAC1 staining posterior horns (sensory) in rat spinal cord.
Panel D : anti-ARMET/ARP staining neurons in rat spinal cord.

The section was incubated in three rounds of staining : in the order of ab314307, ab307138 and ab316935 for 30 mins at room temperature. Each round was followed by a separate fluorescent tyramide signal amplification system.

The immunostaining was performed on a Leica Biosystems BOND® RX instrument with an Opal™ 4-color kit. Image acquisition was performed with Leica SP8 confocal microscope.

Multiplex immunohistochemistry - Anti-GPCR GPR17 antibody [EPR26422-118] (AB314307)
  • mIHC

Supplier Data

Multiplex immunohistochemistry - Anti-GPCR GPR17 antibody [EPR26422-118] (AB314307)

Multiplex immunohistochemistry analysis of formalin/PFA-fixed paraffin-embedded mouse spinal cord tissue section labelling GPCR GPR17 with ab314307 at 1/2000 dilution (B), TAC1 with ab307138 at 1/500 dilution (C), and ARMET/ARP with ab316935 at 1/20000 (D). Nuclear DNA was labeled with DAPI (shown in blue). Heat mediated antigen retrieval with Tris-EDTA buffer (pH 9.0, epitope retrieval solution2) for 20 mins.

Panel A : merged staining of anti-GPCR GPR17 (magenta; Opal™ 690), anti-TAC1 (green; Opal™ 520) and anti-ARMET/ARP (yellow; Opal™ 570) on mouse spinal cord.
Panel B : anti-GPCR GPR17 staining oligodendrocytes in mouse spinal cord.
Panel C : anti-TAC1 staining posterior horns (sensory) in mouse spinal cord.
Panel D : anti-ARMET/ARP staining neurons in mouse spinal cord.

The section was incubated in three rounds of staining : in the order of ab314307, ab307138 and ab316935 for 30 mins at room temperature. Each round was followed by a separate fluorescent tyramide signal amplification system.

The immunostaining was performed on a Leica Biosystems BOND® RX instrument with an Opal™ 4-color kit. Image acquisition was performed with Leica SP8 confocal microscope.

Multiplex immunohistochemistry - Anti-GPCR GPR17 antibody [EPR26422-118] (AB314307)
  • mIHC

Supplier Data

Multiplex immunohistochemistry - Anti-GPCR GPR17 antibody [EPR26422-118] (AB314307)

Multiplex immunohistochemical analysis of formalin/PFA-fixed paraffin-embedded mouse cerebrum tissue section labelling Noradrenaline transporter with ab254361 at a 1/100 dilution (B), GPCR GPR17 with ab314307 at a 1/2000 dilution (C), and ARMET/ARP with ab316935 at a 1/20000 dilution (D). Nuclear DNA was labeled with DAPI (shown in blue).

Panel A : merged staining of anti-Noradrenaline transporter (magenta; Opal™ 690), anti-GPCR GPR17 (green; Opal™ 520) and anti-ARMET/ARP (gray; Opal™ 570) on mouse cerebrum.
Panel B : anti-Noradrenaline transporter staining nerves in mouse cerebrum.
Panel C : anti-GPCR GPR17 staining oligodendrocytes in mouse cerebrum.
Panel D : anti-ARMET/ARP staining neurons in mouse cerebrum.

Heat mediated antigen retrieval with Tris-EDTA buffer (pH 9.0, epitope retrieval solution2) for 20 mins.

The section was incubated in three rounds of staining : in the order of ab254361, ab314307 and ab316935 for 30 mins at room temperature. Each round was followed by a separate fluorescent tyramide signal amplification system.

The immunostaining was performed on a Leica Biosystems BOND® RX instrument with an Opal™ 4-color kit. Image acquisition was performed with Leica SP8 confocal microscope.

Multiplex immunohistochemistry - Anti-GPCR GPR17 antibody [EPR26422-118] (AB314307)
  • mIHC

Supplier Data

Multiplex immunohistochemistry - Anti-GPCR GPR17 antibody [EPR26422-118] (AB314307)

Multiplex immunohistochemical analysis of formalin/PFA-fixed paraffin-embedded rat cerebellum tissue section labelling Noradrenaline transporter with ab254361 at a 1/100 dilution (B), GPCR GPR17 with ab314307 at a 1/2000 dilution (C), and ARMET/ARP with ab316935 at a 1/20000 dilution (D). Nuclear DNA was labeled with DAPI (shown in blue).

Panel A : merged staining of anti-Noradrenaline transporter (magenta; Opal™ 690), anti-GPCR GPR17 (green; Opal™ 520) and anti-ARMET/ARP (gray; Opal™ 570) on rat cerebellum.
Panel B : anti-Noradrenaline transporter staining nerves in rat cerebellum.
Panel C : anti-GPCR GPR17 staining oligodendrocytes in rat cerebellum.
Panel D : anti-ARMET/ARP staining neurons in rat cerebellum.

Heat mediated antigen retrieval with Tris-EDTA buffer (pH 9.0, epitope retrieval solution2) for 20 mins.

The section was incubated in three rounds of staining : in the order of ab254361, ab314307 and ab316935 for 30 mins at room temperature. Each round was followed by a separate fluorescent tyramide signal amplification system.

The immunostaining was performed on a Leica Biosystems BOND® RX instrument with an Opal™ 4-color kit. Image acquisition was performed with Leica SP8 confocal microscope.

Multiplex immunohistochemistry - Anti-GPCR GPR17 antibody [EPR26422-118] (AB314307)
  • mIHC

Supplier Data

Multiplex immunohistochemistry - Anti-GPCR GPR17 antibody [EPR26422-118] (AB314307)

Multiplex immunohistochemical analysis of formalin/PFA-fixed paraffin-embedded rat cerebrum tissue section labelling Noradrenaline transporter with ab254361 at a 1/100 dilution (B), GPCR GPR17 with ab314307 at a 1/2000 dilution (C), and ARMET/ARP with ab316935 at a 1/20000 dilution (D). Nuclear DNA was labeled with DAPI (shown in blue).

Panel A : merged staining of anti-Noradrenaline transporter (magenta; Opal™ 690), anti-GPCR GPR17 (green; Opal™ 520) and anti-ARMET/ARP (gray; Opal™ 570) on rat cerebrum.
Panel B : anti-Noradrenaline transporter staining nerves in rat cerebrum.
Panel C : anti-GPCR GPR17 staining oligodendrocytes in rat cerebrum.
Panel D : anti-ARMET/ARP staining neurons in rat cerebrum.

Heat mediated antigen retrieval with Tris-EDTA buffer (pH 9.0, epitope retrieval solution2) for 20 mins.

The section was incubated in three rounds of staining : in the order of ab254361, ab314307 and ab316935 for 30 mins at room temperature. Each round was followed by a separate fluorescent tyramide signal amplification system.

The immunostaining was performed on a Leica Biosystems BOND® RX instrument with an Opal™ 4-color kit. Image acquisition was performed with Leica SP8 confocal microscope.

Immunohistochemistry (Formalin/PFA-fixed paraffin-embedded sections) - Anti-GPCR GPR17 antibody [EPR26422-118] (AB314307)
  • IHC-P

Supplier Data

Immunohistochemistry (Formalin/PFA-fixed paraffin-embedded sections) - Anti-GPCR GPR17 antibody [EPR26422-118] (AB314307)

Immunohistochemical analysis of paraffin-embedded mouse liver tissue labeling GPCR GPR17 with ab314307 at 1/2000 (0.259 ug/ml) followed by a ready to use LeicaDS9800 (Bond™ Polymer Refine Detection). Negative control : no staining on mouse liver. The section was incubated with ab314307 for 30 mins at room temperature. The immunostaining was performed on a Leica Biosystems BOND® RX instrument. Counterstained with Hematoxylin. Secondary antibody only control : Secondary antibody is a ready to use LeicaDS9800 (Bond™ Polymer Refine Detection). Heat mediated antigen retrieval was performed with Tris-EDTA buffer (pH 9.0, Epitope Retrieval Solution2) for 20 mins.

Multiplex immunohistochemistry - Anti-GPCR GPR17 antibody [EPR26422-118] (AB314307)
  • mIHC

Supplier Data

Multiplex immunohistochemistry - Anti-GPCR GPR17 antibody [EPR26422-118] (AB314307)

Multiplex immunohistochemical analysis of formalin/PFA-fixed paraffin-embedded mouse cerebellum tissue section labelling Noradrenaline transporter with ab254361 at a 1/100 dilution (B), GPCR GPR17 with ab314307 at a 1/2000 dilution (C), and ARMET/ARP with ab316935 at a 1/20000 dilution (D). Nuclear DNA was labeled with DAPI (shown in blue).

Panel A : merged staining of anti-Noradrenaline transporter (magenta; Opal™ 690), anti-GPCR GPR17 (green; Opal™ 520) and anti-ARMET/ARP (gray; Opal™ 570) on mouse cerebellum.
Panel B : anti-Noradrenaline transporter staining nerves in mouse cerebellum.
Panel C : anti-GPCR GPR17 staining oligodendrocytes in mouse cerebellum.
Panel D : anti-ARMET/ARP staining neurons in mouse cerebellum.

Heat mediated antigen retrieval with Tris-EDTA buffer (pH 9.0, epitope retrieval solution2) for 20 mins.

The section was incubated in three rounds of staining : in the order of ab254361, ab314307 and ab316935 for 30 mins at room temperature. Each round was followed by a separate fluorescent tyramide signal amplification system.

The immunostaining was performed on a Leica Biosystems BOND® RX instrument with an Opal™ 4-color kit. Image acquisition was performed with Leica SP8 confocal microscope.

Immunohistochemistry (Formalin/PFA-fixed paraffin-embedded sections) - Anti-GPCR GPR17 antibody [EPR26422-118] (AB314307)
  • IHC-P

Supplier Data

Immunohistochemistry (Formalin/PFA-fixed paraffin-embedded sections) - Anti-GPCR GPR17 antibody [EPR26422-118] (AB314307)

Immunohistochemical analysis of paraffin-embedded rat liver tissue labeling GPCR GPR17 with ab314307 at 1/2000 (0.259 ug/ml) followed by a ready to use LeicaDS9800 (Bond™ Polymer Refine Detection). Negative control : no staining on rat liver. The section was incubated with ab314307 for 30 mins at room temperature. The immunostaining was performed on a Leica Biosystems BOND® RX instrument. Counterstained with Hematoxylin. Secondary antibody only control : Secondary antibody is a ready to use LeicaDS9800 (Bond™ Polymer Refine Detection). Heat mediated antigen retrieval was performed with Tris-EDTA buffer (pH 9.0, Epitope Retrieval Solution2) for 20 mins.

Immunohistochemistry (Formalin/PFA-fixed paraffin-embedded sections) - Anti-GPCR GPR17 antibody [EPR26422-118] (AB314307)
  • IHC-P

Supplier Data

Immunohistochemistry (Formalin/PFA-fixed paraffin-embedded sections) - Anti-GPCR GPR17 antibody [EPR26422-118] (AB314307)

Immunohistochemical analysis of paraffin-embedded mouse cerebrum tissue labeling GPCR GPR17 with ab314307 at 1/2000 (0.259 ug/ml) followed by a ready to use LeicaDS9800 (Bond™ Polymer Refine Detection). Positive staining on oligodendrocytes of mouse cerebrum. The section was incubated with ab314307 for 30 mins at room temperature. The immunostaining was performed on a Leica Biosystems BOND® RX instrument. Counterstained with Hematoxylin. Secondary antibody only control : Secondary antibody is a ready to use LeicaDS9800 (Bond™ Polymer Refine Detection). Heat mediated antigen retrieval was performed with Tris-EDTA buffer (pH 9.0, Epitope Retrieval Solution2) for 20 mins.

Immunohistochemistry (Formalin/PFA-fixed paraffin-embedded sections) - Anti-GPCR GPR17 antibody [EPR26422-118] (AB314307)
  • IHC-P

Supplier Data

Immunohistochemistry (Formalin/PFA-fixed paraffin-embedded sections) - Anti-GPCR GPR17 antibody [EPR26422-118] (AB314307)

Immunohistochemical analysis of paraffin-embedded rat cerebrum tissue labeling GPCR GPR17 with ab314307 at 1/2000 (0.259 ug/ml) followed by a ready to use LeicaDS9800 (Bond™ Polymer Refine Detection). Positive staining on oligodendrocytes of rat cerebrum. The section was incubated with ab314307 for 30 mins at room temperature. The immunostaining was performed on a Leica Biosystems BOND® RX instrument. Counterstained with Hematoxylin. Secondary antibody only control : Secondary antibody is a ready to use LeicaDS9800 (Bond™ Polymer Refine Detection). Heat mediated antigen retrieval was performed with Tris-EDTA buffer (pH 9.0, Epitope Retrieval Solution2) for 20 mins.

Multiplex immunohistochemistry - Anti-GPCR GPR17 antibody [EPR26422-118] (AB314307)
  • mIHC

Supplier Data

Multiplex immunohistochemistry - Anti-GPCR GPR17 antibody [EPR26422-118] (AB314307)

Immunohistochemistry (Formalin/PFA-fixed paraffin-embedded sections) analysis of mouse cerebellum labelling Noradrenaline transporter with ab254361 at 1/100 (B), GPCR GPR17 with ab314307 at 1/2000 dilution (C) and FMRP with ab259335 at 1/10000 dilution (D). Opal Polymer HRP Ms + Rb was used as a secondary antibody, and Nuclear DNA was labeled with DAPI (shown in blue). Heat mediated antigen retrieval with Tris-EDTA buffer (pH 9.0, epitope retrieval solution2) for 20 mins.

Panel A : merged staining of anti-Noradrenaline transporter (magenta; Opal™690), anti-GPCR GPR17 (green; Opal™520) and anti-FMRP (gray; Opal™570) on mouse cerebellum.

Panel B : anti-Noradrenaline transporter staining nerves in mouse cerebellum.

Panel C : anti-GPCR GPR17 staining oligodendrocytes in mouse cerebellum.

Panel D : anti-FMRP staining neurons in mouse cerebellum.

The section was incubated in three rounds of staining : in the order of ab254361, ab314307 and ab259335 for 30 mins at room temperature. Each round was followed by a separate fluorescent tyramide signal amplification system.
The immunostaining was performed on a Leica Biosystems BOND® RX instrument with an Opal™ 4-color kit. Image acquisition was performed with Leica SP8 confocal microscope.

Multiplex immunohistochemistry - Anti-GPCR GPR17 antibody [EPR26422-118] (AB314307)
  • mIHC

Supplier Data

Multiplex immunohistochemistry - Anti-GPCR GPR17 antibody [EPR26422-118] (AB314307)

Immunohistochemistry (Formalin/PFA-fixed paraffin-embedded sections) analysis of mouse cerebrum labelling Noradrenaline transporter with ab254361 at 1/100 (B), GPCR GPR17 with ab314307 at 1/2000 dilution (C) and FMRP with ab259335 at 1/10000 dilution (D). Opal Polymer HRP Ms + Rb was used as a secondary antibody, and Nuclear DNA was labeled with DAPI (shown in blue). Heat mediated antigen retrieval with Tris-EDTA buffer (pH 9.0, epitope retrieval solution2) for 20 mins.

Panel A : merged staining of anti-Noradrenaline transporter (magenta; Opal™690), anti-GPCR GPR17 (green; Opal™520) and anti-FMRP (gray; Opal™570) on mouse cerebrum.

Panel B : anti-Noradrenaline transporter staining nerves in mouse cerebrum.

Panel C : anti-GPCR GPR17 staining oligodendrocytes in mouse cerebrum.

Panel D : anti-FMRP staining neurons in mouse cerebrum.

The section was incubated in three rounds of staining : in the order of ab254361, ab314307 and ab259335 for 30 mins at room temperature. Each round was followed by a separate fluorescent tyramide signal amplification system.

The immunostaining was performed on a Leica Biosystems BOND® RX instrument with an Opal™ 4-color kit. Image acquisition was performed with Leica SP8 confocal microscope.

Multiplex immunohistochemistry - Anti-GPCR GPR17 antibody [EPR26422-118] (AB314307)
  • mIHC

Supplier Data

Multiplex immunohistochemistry - Anti-GPCR GPR17 antibody [EPR26422-118] (AB314307)

Immunohistochemistry (Formalin/PFA-fixed paraffin-embedded sections) analysis of rat cerebellum labelling Noradrenaline transporter with ab254361 at 1/100 (B), GPCR GPR17 with ab314307 at 1/2000 dilution (C) and FMRP with ab259335 at 1/10000 dilution (D). Opal Polymer HRP Ms + Rb was used as a secondary antibody, and Nuclear DNA was labeled with DAPI (shown in blue). Heat mediated antigen retrieval with Tris-EDTA buffer (pH 9.0, epitope retrieval solution2) for 20 mins.

Panel A : merged staining of anti-Noradrenaline transporter (magenta; Opal™690), anti-GPCR GPR17 (green; Opal™520) and anti-FMRP (gray; Opal™570) on rat cerebellum.

Panel B : anti-Noradrenaline transporter staining nerves in rat cerebellum.

Panel C : anti-GPCR GPR17 staining oligodendrocytes in rat cerebellum.

Panel D : anti-FMRP staining neurons in rat cerebellum.

The section was incubated in three rounds of staining : in the order of ab254361, ab314307 and ab259335 for 30 mins at room temperature. Each round was followed by a separate fluorescent tyramide signal amplification system.

The immunostaining was performed on a Leica Biosystems BOND® RX instrument with an Opal™ 4-color kit. Image acquisition was performed with Leica SP8 confocal microscope.

  • Carrier free

    Anti-GPCR GPR17 antibody [EPR26422-118] - BSA and Azide free

Key facts

Host species

Rabbit

Clonality

Monoclonal

Clone number

EPR26422-118

Isotype

IgG

Carrier free

No

Reacts with

Human, Mouse, Rat

Applications

ICC/IF, mIHC, IP, IHC-P

applications

Immunogen

The exact immunogen used to generate this antibody is proprietary information.

Reactivity data

{ "title": "Reactivity Data", "filters": { "stats": ["", "Species", "Dilution Info", "Notes"], "tabs": { "all-applications": {"fullname" : "All Applications", "shortname": "All Applications"}, "IHCP" : {"fullname" : "Immunohistochemistry (Formalin/PFA-fixed paraffin-embedded sections)", "shortname":"IHC-P"}, "IP" : {"fullname" : "Immunoprecipitation", "shortname":"IP"}, "ICCIF" : {"fullname" : "Immunocytochemistry/ Immunofluorescence", "shortname":"ICC/IF"}, "mIHC" : {"fullname" : "Multiplex immunohistochemistry", "shortname":"mIHC"}, "WB" : {"fullname" : "Western blot", "shortname":"WB"}, "FlowCyt" : {"fullname" : "Flow Cytometry", "shortname":"Flow Cyt"} }, "product-promise": { "all": "all", "testedAndGuaranteed": "tested", "guaranteed": "expected", "predicted": "predicted", "notRecommended": "not-recommended" } }, "values": { "Human": { "IHCP-species-checked": "testedAndGuaranteed", "IHCP-species-dilution-info": "1/500", "IHCP-species-notes": "<p></p> Perform heat-mediated antigen retrieval with Tris/EDTA buffer pH 9.0 before commencing with IHC staining protocol.", "IP-species-checked": "testedAndGuaranteed", "IP-species-dilution-info": "1/30", "IP-species-notes": "<p></p>", "ICCIF-species-checked": "guaranteed", "ICCIF-species-dilution-info": "", "ICCIF-species-notes": "", "mIHC-species-checked": "testedAndGuaranteed", "mIHC-species-dilution-info": "1/500 - 1/20000", "mIHC-species-notes": "<p></p>", "WB-species-checked": "notRecommended", "WB-species-dilution-info": "", "WB-species-notes": "<p></p>", "FlowCyt-species-checked": "notRecommended", "FlowCyt-species-dilution-info": "", "FlowCyt-species-notes": "<p></p>" }, "Mouse": { "IHCP-species-checked": "testedAndGuaranteed", "IHCP-species-dilution-info": "1/2000", "IHCP-species-notes": "<p></p> Perform heat-mediated antigen retrieval with Tris/EDTA buffer pH 9.0 before commencing with IHC staining protocol.", "IP-species-checked": "guaranteed", "IP-species-dilution-info": "", "IP-species-notes": "", "ICCIF-species-checked": "testedAndGuaranteed", "ICCIF-species-dilution-info": "1/100", "ICCIF-species-notes": "<p></p>", "mIHC-species-checked": "testedAndGuaranteed", "mIHC-species-dilution-info": "1/500 - 1/20000", "mIHC-species-notes": "<p></p>", "WB-species-checked": "notRecommended", "WB-species-dilution-info": "", "WB-species-notes": "<p></p>", "FlowCyt-species-checked": "notRecommended", "FlowCyt-species-dilution-info": "", "FlowCyt-species-notes": "" }, "Rat": { "IHCP-species-checked": "testedAndGuaranteed", "IHCP-species-dilution-info": "1/2000", "IHCP-species-notes": "<p></p> Perform heat-mediated antigen retrieval with Tris/EDTA buffer pH 9.0 before commencing with IHC staining protocol.", "IP-species-checked": "guaranteed", "IP-species-dilution-info": "", "IP-species-notes": "", "ICCIF-species-checked": "testedAndGuaranteed", "ICCIF-species-dilution-info": "1/100", "ICCIF-species-notes": "<p></p>", "mIHC-species-checked": "testedAndGuaranteed", "mIHC-species-dilution-info": "1/500 - 1/20000", "mIHC-species-notes": "<p></p>", "WB-species-checked": "notRecommended", "WB-species-dilution-info": "", "WB-species-notes": "<p></p>", "FlowCyt-species-checked": "notRecommended", "FlowCyt-species-dilution-info": "", "FlowCyt-species-notes": "" } } }

Product details

Patented technology
Our RabMAb® technology is a patented hybridoma-based technology for making rabbit monoclonal antibodies. For details on our patents, please refer to RabMAb® patents.

What are the advantages of a recombinant monoclonal antibody?
This product is a recombinant monoclonal antibody, which offers several advantages including:

  • - High batch-to-batch consistency and reproducibility
  • - Improved sensitivity and specificity
  • - Long-term security of supply
  • - Animal-free batch production

For more information, read more on recombinant antibodies.

Properties and storage information

Form
Liquid
Purification technique
Affinity purification Protein A
Storage buffer
pH: 7.2 - 7.4 Preservative: 0.01% Sodium azide Constituents: PBS, 40% Glycerol (glycerin, glycerine), 0.05% BSA
Shipped at conditions
Blue Ice
Appropriate short-term storage duration
1-2 weeks
Appropriate short-term storage conditions
+4°C
Appropriate long-term storage conditions
-20°C
Aliquoting information
Upon delivery aliquot
Storage information
Avoid freeze / thaw cycle

Supplementary information

This supplementary information is collated from multiple sources and compiled automatically.

GPR17 also known as G protein-coupled receptor 17 is a member of the G protein-coupled receptor (GPCR) family. This receptor has a molecular weight of approximately 40 kDa. It is expressed in various tissues with significant levels found in the central nervous system including the brain and spinal cord. GPR17 also shows expression in kidneys liver and heart. It is classified under the class A Rhodopsin-like family and is an orphan receptor meaning its natural ligand is not completely established but is thought to be associated with uridine nucleotides and cysteinyl leukotrienes.
Biological function summary

GPR17 is involved in several physiological processes particularly in the regulation of inflammation and myelination within the central nervous system. It plays a critical role in the differentiation of oligodendrocyte precursor cells into mature oligodendrocytes which are essential for myelin sheath formation and repair of neural damage. GPR17 is not known to function as part of a larger receptor complex but it interacts with intracellular signaling pathways to modulate these cellular processes.

Pathways

GPR17 integrates into inflammatory response pathways and neural cell development pathways. It is actively involved in the nucleotide signaling pathway which is important for responses to tissue damage and initiating repair processes. GPR17 shares functional connections with proteins such as P2Y receptors which also respond to nucleotides and are involved in diverse cellular responses including muscle contraction and platelet aggregation.

GPR17's expression and role connect it to multiple sclerosis and brain ischemia. In multiple sclerosis dysregulation of GPR17 can affect the formation and maintenance of the myelin sheath contributing to neural degeneration. During brain ischemia GPR17 activation influences the extent of injury and subsequent recovery through its effects on inflammation and tissue repair. It is linked to proteins like CXCR7 which similarly influence neural damage and repair processes in ischemic conditions.

Product protocols

For this product, it's our understanding that no specific protocols are required. You can visit:

Target data

Dual specificity receptor for uracil nucleotides and cysteinyl leukotrienes (CysLTs). Signals through G(i) and inhibition of adenylyl cyclase. May mediate brain damage by nucleotides and CysLTs following ischemia.
See full target information GPR17

Product promise

We are committed to supporting your work with high-quality reagents, and we're here for you every step of the way. In the unlikely event that one of our products does not perform as expected, you're protected by our Product Promise.
For full details, please see our Terms & Conditions

Please note: All products are 'FOR RESEARCH USE ONLY. NOT FOR USE IN DIAGNOSTIC OR THERAPEUTIC PROCEDURES'.

For licensing inquiries, please contact partnerships@abcam.com