JavaScript is disabled in your browser. Please enable JavaScript to view this website.
AB316105

Anti-GPCR GPR17 antibody [EPR26423-34]

  • BOND RX™ Validated
  • 20ul selling size
  • Recombinant
  • Advanced Validation
  • RabMAb
  • What is this?

Be the first to review this product! Submit a review

|

(0 Publication)

Rabbit Recombinant Monoclonal GPCR GPR17 antibody. Suitable for mIHC, IHC-P, Flow Cyt (Intra), WB, IP, ICC/IF, IHC-Fr and reacts with Mouse, Rat, Human, Transfected cell line samples.

View Alternative Names

Uracil nucleotide/cysteinyl leukotriene receptor, UDP/CysLT receptor, G-protein coupled receptor 17, Vdac6, Vdac2

37 Images
Immunohistochemistry (Formalin/PFA-fixed paraffin-embedded sections) - Anti-GPCR GPR17 antibody [EPR26423-34] (AB316105)
  • IHC-P

Supplier Data

Immunohistochemistry (Formalin/PFA-fixed paraffin-embedded sections) - Anti-GPCR GPR17 antibody [EPR26423-34] (AB316105)

Immunohistochemical analysis of paraffin-embedded (A) HEK-293T (human epithelial cell line from embryonic kidney) transfected with a GPR17 expression vector containing a Myc-His tag. (B) HEK-293T transfected with empty vector containing a Myc-His tag. tissue labeling GPCR GPR17 with ab316105 at 1/5000 (0.102 ug/ml) dilution, followed by a ready to use LeicaDS9800 (Bond™ Polymer Refine Detection).

Positive staining on (A) HEK-293T (human epithelial cell line from embryonic kidney) transfected with a GPR17 expression vector containing a Myc-His tag, negative staining on (B) HEK-293T transfected with empty vector containing a Myc-His tag. The section was incubated with ab316105 for 30 mins at room temperature.
The immunostaining was performed on a Leica Biosystems BOND® RX instrument

Counterstained with Hematoxylin.

Secondary antibody only control : Secondary antibody is a ready to use LeicaDS9800 (Bond™ Polymer Refine Detection).

Heat mediated antigen retrieval was performed with Tris-EDTA buffer (pH 9.0, Epitope Retrieval Solution2) for 20 mins

Immunohistochemistry (Formalin/PFA-fixed paraffin-embedded sections) - Anti-GPCR GPR17 antibody [EPR26423-34] (AB316105)
  • IHC-P

Supplier Data

Immunohistochemistry (Formalin/PFA-fixed paraffin-embedded sections) - Anti-GPCR GPR17 antibody [EPR26423-34] (AB316105)

Immunohistochemical analysis of paraffin-embedded Human cerebrum tissue labeling GPCR GPR17 with ab316105 at 1/500 (1.018 ug/ml) dilution, followed by a ready to use Rabbit specific IHC polymer detection kit HRP/DAB (ab209101).

Positive staining on oligodendrocytes of human cerebrum (PMID : 28357182; PMID : 23801362). The section was incubated with ab316105 for 30 mins at room temperature.
The immunostaining was performed on a Leica Biosystems BOND® RX instrument

Counterstained with Hematoxylin.

Secondary antibody only control : Secondary antibody is a ready to use Rabbit specific IHC polymer detection kit HRP/DAB (ab209101).

Heat mediated antigen retrieval was performed with Tris-EDTA buffer (pH 9.0, Epitope Retrieval Solution2) for 20 mins

Immunohistochemistry (Formalin/PFA-fixed paraffin-embedded sections) - Anti-GPCR GPR17 antibody [EPR26423-34] (AB316105)
  • IHC-P

Supplier Data

Immunohistochemistry (Formalin/PFA-fixed paraffin-embedded sections) - Anti-GPCR GPR17 antibody [EPR26423-34] (AB316105)

Immunohistochemical analysis of paraffin-embedded Human cardiac muscle tissue labeling GPCR GPR17 with ab316105 at 1/500 (1.018 ug/ml) dilution, followed by a ready to use Rabbit specific IHC polymer detection kit HRP/DAB (ab209101).

Negative control : no staining on human cardiac muscle. The section was incubated with ab316105 for 30 mins at room temperature.
The immunostaining was performed on a Leica Biosystems BOND® RX instrument

Counterstained with Hematoxylin.

Secondary antibody only control : Secondary antibody is a ready to use Rabbit specific IHC polymer detection kit HRP/DAB (ab209101).

Heat mediated antigen retrieval was performed with Tris-EDTA buffer (pH 9.0, Epitope Retrieval Solution2) for 20 mins

Flow Cytometry (Intracellular) - Anti-GPCR GPR17 antibody [EPR26423-34] (AB316105)
  • Flow Cyt (Intra)

Supplier Data

Flow Cytometry (Intracellular) - Anti-GPCR GPR17 antibody [EPR26423-34] (AB316105)

Flow cytometric analysis of 4% paraformaldehyde fixed 90% methanol permeabilized Isotype (Left) / 293T (human embryonic kidney epithelial cell) transfected with an empty expression vector containing a myc tag (Middle) / 293T transfected with a GPCR expression vector containing a myc tag (Right) cells labelling GPCR GPR17 with ab316105 at 1/500 dilution (0.1 ug)/Middle and Right compared with a Rabbit monoclonal IgG (ab172730) / Left isotype control.

Goat Anti-Rabbit IgG (Alexa Fluor® 488, ab150081) at 1/5000 dilution was used as the secondary antibody.

Cells are co-stained with Myc tag conjugated to Alexa Fluor®647.

Immunohistochemistry (Formalin/PFA-fixed paraffin-embedded sections) - Anti-GPCR GPR17 antibody [EPR26423-34] (AB316105)
  • IHC-P

Supplier Data

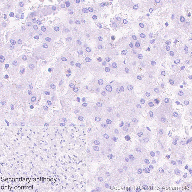
Immunohistochemistry (Formalin/PFA-fixed paraffin-embedded sections) - Anti-GPCR GPR17 antibody [EPR26423-34] (AB316105)

Immunohistochemical analysis of paraffin-embedded Human liver tissue labeling GPCR GPR17 with ab316105 at 1/500 (1.018 ug/ml) dilution, followed by a ready to use Rabbit specific IHC polymer detection kit HRP/DAB (ab209101).

Negative control : no staining on human liver (PMID : 16990797). The section was incubated with ab316105 for 30 mins at room temperature.
The immunostaining was performed on a Leica Biosystems BOND® RX instrument

Counterstained with Hematoxylin.

Secondary antibody only control : Secondary antibody is a ready to use Rabbit specific IHC polymer detection kit HRP/DAB (ab209101).

Heat mediated antigen retrieval was performed with Tris-EDTA buffer (pH 9.0, Epitope Retrieval Solution2) for 20 mins

Multiplex immunohistochemistry - Anti-GPCR GPR17 antibody [EPR26423-34] (AB316105)
  • mIHC

Lab

Multiplex immunohistochemistry - Anti-GPCR GPR17 antibody [EPR26423-34] (AB316105)

Fluorescence multiplex immunohistochemical analysis of formalin/PFA-fixed paraffin-embedded human cerebrum tissue sections.

Panel A : merged staining of anti-GPR17 (magenta; Opal™690), anti-TMEM119 (green; Opal™520) and anti-GFAP (red; Opal™570) on human cerebrum.

Panel B : anti-GPR17 staining oligodendrocytes in human cerebrum.

Panel C : anti-TMEM119 staining microglia in human cerebrum.

Panel D : anti-GFAP staining astrocytes in human cerebrum.

The section was incubated in three rounds of staining : in the order of ab316105 at a 1/500 dilution, ab306583 at a 1/2000 dilution, and ab218309 at a 1/1000 dilution for 30 mins at room temperature. Each round was followed by a separate fluorescent tyramide signal amplification system. Nuclear counterstaining with DAPI.

Heat mediated antigen retrieval with Tris-EDTA buffer (pH 9.0, epitope retrieval solution2) for 20 mins.

The immunostaining was performed on a Leica Biosystems BOND® RX instrument with an Opal™ 4-color kit. Image acquisition was performed with Leica SP8 confocal microscope.

Immunohistochemistry (Formalin/PFA-fixed paraffin-embedded sections) - Anti-GPCR GPR17 antibody [EPR26423-34] (AB316105)
  • IHC-P

Supplier Data

Immunohistochemistry (Formalin/PFA-fixed paraffin-embedded sections) - Anti-GPCR GPR17 antibody [EPR26423-34] (AB316105)

Immunohistochemical analysis of paraffin-embedded Rat liver tissue labeling GPCR GPR17 with ab316105 at 1/2000 (0.255 ug/ml) dilution, followed by a ready to use Rabbit specific IHC polymer detection kit HRP/DAB (ab209101).

Negative control : no staining on rat liver (PMID : 16990797). The section was incubated with ab316105 for 30 mins at room temperature.
The immunostaining was performed on a Leica Biosystems BOND® RX instrument

Counterstained with Hematoxylin.

Secondary antibody only control : Secondary antibody is a ready to use Rabbit specific IHC polymer detection kit HRP/DAB (ab209101).

Heat mediated antigen retrieval was performed with Tris-EDTA buffer (pH 9.0, Epitope Retrieval Solution2) for 20 mins

Immunohistochemistry (Formalin/PFA-fixed paraffin-embedded sections) - Anti-GPCR GPR17 antibody [EPR26423-34] (AB316105)
  • IHC-P

Supplier Data

Immunohistochemistry (Formalin/PFA-fixed paraffin-embedded sections) - Anti-GPCR GPR17 antibody [EPR26423-34] (AB316105)

Immunohistochemical analysis of paraffin-embedded Mouse liver tissue labeling GPCR GPR17 with ab316105 at 1/2000 (0.255 ug/ml) dilution, followed by a ready to use Rabbit specific IHC polymer detection kit HRP/DAB (ab209101).

Negative control : no staining on mouse liver. The section was incubated with ab316105 for 30 mins at room temperature.
The immunostaining was performed on a Leica Biosystems BOND® RX instrument

Counterstained with Hematoxylin.

Secondary antibody only control : Secondary antibody is a ready to use Rabbit specific IHC polymer detection kit HRP/DAB (ab209101).

Heat mediated antigen retrieval was performed with Tris-EDTA buffer (pH 9.0, Epitope Retrieval Solution2) for 20 mins

Immunohistochemistry (Formalin/PFA-fixed paraffin-embedded sections) - Anti-GPCR GPR17 antibody [EPR26423-34] (AB316105)
  • IHC-P

Supplier Data

Immunohistochemistry (Formalin/PFA-fixed paraffin-embedded sections) - Anti-GPCR GPR17 antibody [EPR26423-34] (AB316105)

Immunohistochemical analysis of paraffin-embedded Rat cerebrum tissue labeling GPCR GPR17 with ab316105 at 1/2000 (0.255 ug/ml) dilution, followed by a ready to use LeicaDS9800 (Bond™ Polymer Refine Detection).

Positive staining on oligodendrocytes of rat cerebrum (PMID : 21209081). The section was incubated with ab316105 for 30 mins at room temperature.
The immunostaining was performed on a Leica Biosystems BOND® RX instrument

Counterstained with Hematoxylin.

Secondary antibody only control : Secondary antibody is a ready to use LeicaDS9800 (Bond™ Polymer Refine Detection).

Heat mediated antigen retrieval was performed with Tris-EDTA buffer (pH 9.0, Epitope Retrieval Solution2) for 20 mins

Immunohistochemistry (Frozen sections) - Anti-GPCR GPR17 antibody [EPR26423-34] (AB316105)
  • IHC-Fr

Supplier Data

Immunohistochemistry (Frozen sections) - Anti-GPCR GPR17 antibody [EPR26423-34] (AB316105)

Immunohistochemical analysis of 4% PFA-fixed, 0.2% Triton X-100 permeabilized frozen Rat cerebellum (fresh frozen) tissue labeling GPCR GPR17 with ab316105 at 1/50 (10.18 ug/ml) dilution followed by ab150088 Goat Anti-Rabbit IgG H&L (Alexa Fluor® 594) preadsorbed (ab150088) at 1/1000 (2 ug/mL) dilution (Green).

Panel A : merged staining of anti-GPCR GPR17 (ab316105, green), anti-Olig2 (ab225099, red) and anti-GFAP (ab313596, grey) on rat cerebellum.
Panel B : anti-GPCR GPR17 stained on rat cerebellum.
Panel C : anti-Olig2 stained in oligodendrocyte of rat cerebellum.
Panel D : anti-GFAP stained in astrocytes of rat cerebellum.
The nuclear counterstain was DAPI (Blue). The section was incubated with ab316105 for 60 mins at room temperature. The section was then mounted using Fluoromount®.The immunostaining was performed on a Leica Biosystems BOND® RX instrument. Image was taken with a confocal microscope (Leica-Microsystems, TCS SP8).

Secondary antibody control : Secondary antibody is ab150088 Goat Anti-Rabbit IgG H&L (Alexa Fluor® 594) preadsorbed (ab150088)at 1/1000 (2 ug/mL) dilution.

Immunohistochemistry (Frozen sections) - Anti-GPCR GPR17 antibody [EPR26423-34] (AB316105)
  • IHC-Fr

Supplier Data

Immunohistochemistry (Frozen sections) - Anti-GPCR GPR17 antibody [EPR26423-34] (AB316105)

Immunohistochemical analysis of 4% PFA-fixed, 0.2% Triton X-100 permeabilized frozen Mouse cerebellum (fresh frozen) tissue labeling GPCR GPR17 with ab316105 at 1/50 (10.18 ug/ml) dilution followed by ab150088 Goat Anti-Rabbit IgG H&L (Alexa Fluor® 594) preadsorbed (ab150088) at 1/1000 (2 ug/mL) dilution (Green).

Panel A : merged staining of anti-GPCR GPR17 (ab316105, green), anti-Olig2 (ab225099, red) and anti-GFAP (ab313596, grey) on mouse cerebellum.
Panel B : anti-GPCR GPR17 stained on mouse cerebellum.
Panel C : anti-Olig2 stained in oligodendrocyte of mouse cerebellum.
Panel D : anti-GFAP stained in astrocytes of mouse cerebellum.
The nuclear counterstain was DAPI (Blue). The section was incubated with ab316105 for 60 mins at room temperature. The section was then mounted using Fluoromount®.The immunostaining was performed on a Leica Biosystems BOND® RX instrument. Image was taken with a confocal microscope (Leica-Microsystems, TCS SP8).

Secondary antibody control : Secondary antibody is ab150088 Goat Anti-Rabbit IgG H&L (Alexa Fluor® 594) preadsorbed (ab150088)at 1/1000 (2 ug/mL) dilution.

Immunohistochemistry (Formalin/PFA-fixed paraffin-embedded sections) - Anti-GPCR GPR17 antibody [EPR26423-34] (AB316105)
  • IHC-P

Supplier Data

Immunohistochemistry (Formalin/PFA-fixed paraffin-embedded sections) - Anti-GPCR GPR17 antibody [EPR26423-34] (AB316105)

Immunohistochemical analysis of paraffin-embedded Mouse cerebrum tissue labeling GPCR GPR17 with ab316105 at 1/2000 (0.255 ug/ml) dilution, followed by a ready to use LeicaDS9800 (Bond™ Polymer Refine Detection).

Positive staining on oligodendrocytes of mouse cerebrum (PMID : 26453964). The section was incubated with ab316105 for 30 mins at room temperature.
The immunostaining was performed on a Leica Biosystems BOND® RX instrument

Counterstained with Hematoxylin.

Secondary antibody only control : Secondary antibody is a ready to use LeicaDS9800 (Bond™ Polymer Refine Detection).

Heat mediated antigen retrieval was performed with Tris-EDTA buffer (pH 9.0, Epitope Retrieval Solution2) for 20 mins

Immunohistochemistry (Frozen sections) - Anti-GPCR GPR17 antibody [EPR26423-34] (AB316105)
  • IHC-Fr

Supplier Data

Immunohistochemistry (Frozen sections) - Anti-GPCR GPR17 antibody [EPR26423-34] (AB316105)

Immunohistochemical analysis of 4% PFA-fixed, 0.2% Triton X-100 permeabilized frozen Rat cerebellum (fresh frozen) tissue labeling GPCR GPR17 with ab316105 at 1/50 (10.18 ug/ml) dilution followed by ab150081 Goat Anti-Rabbit IgG H&L (Alexa Fluor® 488) preadsorbed at 1/1000 (2 ug/mL) dilution (Green).

Confocal image showing positive staining on rat cerebellum. The nuclear counterstain was DAPI (Blue). The section was incubated with ab316105 for 60 mins at room temperature. The section was then mounted using Fluoromount®.The immunostaining was performed on a Leica Biosystems BOND® RX instrument. Image was taken with a confocal microscope (Leica-Microsystems, TCS SP8).

Secondary antibody control : Secondary antibody is ab150081 Goat Anti-Rabbit IgG H&L (Alexa Fluor® 488) preadsorbedat 1/1000 (2 ug/mL) dilution.

Immunohistochemistry (Frozen sections) - Anti-GPCR GPR17 antibody [EPR26423-34] (AB316105)
  • IHC-Fr

Supplier Data

Immunohistochemistry (Frozen sections) - Anti-GPCR GPR17 antibody [EPR26423-34] (AB316105)

Immunohistochemical analysis of 4% PFA-fixed, 0.2% Triton X-100 permeabilized frozen Mouse cerebellum (fresh frozen) tissue labeling GPCR GPR17 with ab316105 at 1/50 (10.18 ug/ml) dilution followed by ab150081 Goat Anti-Rabbit IgG H&L (Alexa Fluor® 488) preadsorbed at 1/1000 (2 ug/mL) dilution (Green).

Confocal image showing positive staining on mouse cerebellum. The nuclear counterstain was DAPI (Blue). The section was incubated with ab316105 for 60 mins at room temperature. The section was then mounted using Fluoromount®.The immunostaining was performed on a Leica Biosystems BOND® RX instrument. Image was taken with a confocal microscope (Leica-Microsystems, TCS SP8).

Secondary antibody control : Secondary antibody is ab150081 Goat Anti-Rabbit IgG H&L (Alexa Fluor® 488) preadsorbedat 1/1000 (2 ug/mL) dilution.

Flow Cytometry (Intracellular) - Anti-GPCR GPR17 antibody [EPR26423-34] (AB316105)
  • Flow Cyt (Intra)

Supplier Data

Flow Cytometry (Intracellular) - Anti-GPCR GPR17 antibody [EPR26423-34] (AB316105)

Flow cytometric analysis of 4% paraformaldehyde fixed 90% methanol permeabilized Mouse primary neuron cells labelling GPCR GPR17 with ab316105 at 1/500 dilution (0.1 ug)/Right compared with a Rabbit monoclonal IgG (ab172730) / Left isotype control.

Goat Anti-Rabbit IgG (Alexa Fluor® 488, ab150081) at 1/5000 dilution was used as the secondary antibody.

Multiplex immunohistochemistry - Anti-GPCR GPR17 antibody [EPR26423-34] (AB316105)
  • mIHC

Lab

Multiplex immunohistochemistry - Anti-GPCR GPR17 antibody [EPR26423-34] (AB316105)

Fluorescence multiplex immunohistochemical analysis of formalin/PFA-fixed paraffin-embedded mouse cerebrum tissue sections.

Panel A : merged staining of anti-GPR17 (magenta; Opal™690), anti-P2RY12 (green; Opal™520) and anti-FMR1 (gray; Opal™570) on mouse cerebrum.

Panel B : anti-GPR17 staining oligodendrocytes in mouse cerebrum.

Panel C : anti-P2RY12 staining microglia in mouse cerebrum.

Panel D : anti-FMR1 staining neurons in mouse cerebrum.

Nuclear DNA was labeled with DAPI (shown in blue).

The section was incubated in three rounds of staining : in the order of ab316105 at a 1/500 dilution, ab300140 at a 1/40000 dilution, and ab259335 at a 1/10000 dilution for 30 mins at room temperature. Each round was followed by a separate fluorescent tyramide signal amplification system.

Heat mediated antigen retrieval with Tris-EDTA buffer (pH 9.0, epitope retrieval solution2) for 20 mins.

The immunostaining was performed on a Leica Biosystems BOND® RX instrument with an Opal™ 4-color kit. Image acquisition was performed with Leica SP8 confocal microscope.

Immunocytochemistry/ Immunofluorescence - Anti-GPCR GPR17 antibody [EPR26423-34] (AB316105)
  • ICC/IF

Supplier Data

Immunocytochemistry/ Immunofluorescence - Anti-GPCR GPR17 antibody [EPR26423-34] (AB316105)

Immunofluorescent analysis of 4% Paraformaldehyde-fixed, 0.1% TritonX-100 permeabilized mouse primary neural/glia cell cells labelling GPCR GPR17 with ab316105 at 1/50 (10.18 ug/ml) dilution, followed by ab150081 Goat Anti-Rabbit IgG H&L (Alexa Fluor® 488) preadsorbed antibody at 1/1000 (2 ug/mL) dilution (Green).

Confocal image showing cytoplasmic staining in mouse oligodendrocytes.
Confocal scanning Z step was set as 0.3 µm followed by image processing with maximum Z projection.
Image was taken with a confocal microscope(Leica-Microsystems, TCS SP8).

ab11267 Anti-MAP2 mouse monoclonal antibody was used to counterstain at 1/500 (4 ug/ml) dilution (Red). The Nuclear counterstain was DAPI (Blue).

Secondary antibody only control : Secondary antibody is ab150081 Goat Anti-Rabbit IgG H&L (Alexa Fluor® 488) preadsorbed at 1/1000 (2 ug/mL) dilution.

Immunohistochemistry (Frozen sections) - Anti-GPCR GPR17 antibody [EPR26423-34] (AB316105)
  • IHC-Fr

Supplier Data

Immunohistochemistry (Frozen sections) - Anti-GPCR GPR17 antibody [EPR26423-34] (AB316105)

Immunohistochemical analysis of 4% PFA-fixed, 0.2% Triton X-100 permeabilized frozen Mouse liver (fresh frozen) tissue labeling GPCR GPR17 with ab316105 at 1/50 (10.18 ug/ml) dilution followed by ab150081 Goat Anti-Rabbit IgG H&L (Alexa Fluor® 488) preadsorbed at 1/1000 (2 ug/mL) dilution (Green).

Negative control : confocal image showing no staining on mouse liver. The nuclear counterstain was DAPI (Blue). The section was incubated with ab316105 for 60 mins at room temperature. The section was then mounted using Fluoromount®.The immunostaining was performed on a Leica Biosystems BOND® RX instrument. Image was taken with a confocal microscope (Leica-Microsystems, TCS SP8).

Secondary antibody control : Secondary antibody is ab150081 Goat Anti-Rabbit IgG H&L (Alexa Fluor® 488) preadsorbedat 1/1000 (2 ug/mL) dilution.

Immunohistochemistry (Frozen sections) - Anti-GPCR GPR17 antibody [EPR26423-34] (AB316105)
  • IHC-Fr

Supplier Data

Immunohistochemistry (Frozen sections) - Anti-GPCR GPR17 antibody [EPR26423-34] (AB316105)

Immunohistochemical analysis of 4% PFA-fixed, 0.2% Triton X-100 permeabilized frozen Rat liver (fresh frozen) tissue labeling GPCR GPR17 with ab316105 at 1/50 (10.18 ug/ml) dilution followed by ab150081 Goat Anti-Rabbit IgG H&L (Alexa Fluor® 488) preadsorbed at 1/1000 (2 ug/mL) dilution (Green).

Negative control : confocal image showing no staining on rat liver (PMID : 16990797). The nuclear counterstain was DAPI (Blue). The section was incubated with ab316105 for 60 mins at room temperature. The section was then mounted using Fluoromount®.The immunostaining was performed on a Leica Biosystems BOND® RX instrument. Image was taken with a confocal microscope (Leica-Microsystems, TCS SP8).

Secondary antibody control : Secondary antibody is ab150081 Goat Anti-Rabbit IgG H&L (Alexa Fluor® 488) preadsorbedat 1/1000 (2 ug/mL) dilution.

Immunohistochemistry (Formalin/PFA-fixed paraffin-embedded sections) - Anti-GPCR GPR17 antibody [EPR26423-34] (AB316105)
  • IHC-P

Supplier Data

Immunohistochemistry (Formalin/PFA-fixed paraffin-embedded sections) - Anti-GPCR GPR17 antibody [EPR26423-34] (AB316105)

Immunohistochemical analysis of paraffin-embedded Mouse cardiac muscle tissue labeling GPCR GPR17 with ab316105 at 1/2000 (0.255 ug/ml) dilution, followed by a ready to use Rabbit specific IHC polymer detection kit HRP/DAB (ab209101).

Negative control : no staining on mouse cardiac muscle. The section was incubated with ab316105 for 30 mins at room temperature.
The immunostaining was performed on a Leica Biosystems BOND® RX instrument

Counterstained with Hematoxylin.

Secondary antibody only control : Secondary antibody is a ready to use Rabbit specific IHC polymer detection kit HRP/DAB (ab209101).

Heat mediated antigen retrieval was performed with Tris-EDTA buffer (pH 9.0, Epitope Retrieval Solution2) for 20 mins

Immunohistochemistry (Formalin/PFA-fixed paraffin-embedded sections) - Anti-GPCR GPR17 antibody [EPR26423-34] (AB316105)
  • IHC-P

Supplier Data

Immunohistochemistry (Formalin/PFA-fixed paraffin-embedded sections) - Anti-GPCR GPR17 antibody [EPR26423-34] (AB316105)

Immunohistochemical analysis of paraffin-embedded Rat cardiac muscle tissue labeling GPCR GPR17 with ab316105 at 1/2000 (0.255 ug/ml) dilution, followed by a ready to use Rabbit specific IHC polymer detection kit HRP/DAB (ab209101).

Negative control : no staining on rat cardiac muscle. The section was incubated with ab316105 for 30 mins at room temperature.
The immunostaining was performed on a Leica Biosystems BOND® RX instrument

Counterstained with Hematoxylin.

Secondary antibody only control : Secondary antibody is a ready to use Rabbit specific IHC polymer detection kit HRP/DAB (ab209101).

Heat mediated antigen retrieval was performed with Tris-EDTA buffer (pH 9.0, Epitope Retrieval Solution2) for 20 mins

Multiplex immunohistochemistry - Anti-GPCR GPR17 antibody [EPR26423-34] (AB316105)
  • mIHC

Lab

Multiplex immunohistochemistry - Anti-GPCR GPR17 antibody [EPR26423-34] (AB316105)

Fluorescence multiplex immunohistochemical analysis of formalin/PFA-fixed paraffin-embedded rat cerebrum tissue sections.

Panel A : merged staining of anti-GPR17 (magenta; Opal™690), anti-P2RY12 (green; Opal™520) and anti-GFAP (red; Opal™570) on rat cerebrum.

Panel B : anti-GPR17 staining oligodendrocytes in rat cerebrum.

Panel C : anti-P2RY12 staining microglia in rat cerebrum.

Panel D : anti-GFAP staining astrocytes in rat cerebrum.

The section was incubated in three rounds of staining : in the order of ab316105 at a 1/500 dilution, ab300140 at a 1/140000 dilution, and ab218309 at a 1/1000 dilution for 30 mins at room temperature. Each round was followed by a separate fluorescent tyramide signal amplification system. Nuclear counterstaining with DAPI.

Heat mediated antigen retrieval with Tris-EDTA buffer (pH 9.0, epitope retrieval solution2) for 20 mins.

The immunostaining was performed on a Leica Biosystems BOND® RX instrument with an Opal™ 4-color kit. Image acquisition was performed with Leica SP8 confocal microscope.

Immunocytochemistry/ Immunofluorescence - Anti-GPCR GPR17 antibody [EPR26423-34] (AB316105)
  • ICC/IF

Supplier Data

Immunocytochemistry/ Immunofluorescence - Anti-GPCR GPR17 antibody [EPR26423-34] (AB316105)

Immunofluorescent analysis of 4% Paraformaldehyde-fixed, 0.1% TritonX-100 permeabilized rat primary neural/glia cell cells labelling GPCR GPR17 with ab316105 at 1/50 (10.18 ug/ml) dilution, followed by ab150081 Goat Anti-Rabbit IgG H&L (Alexa Fluor® 488) preadsorbed antibody at 1/1000 (2 ug/mL) dilution (Green).

Confocal image showing cytoplasmic staining in rat oligodendrocytes.
Confocal scanning Z step was set as 0.3 µm followed by image processing with maximum Z projection.
Image was taken with a confocal microscope(Leica-Microsystems, TCS SP8).

ab11267 Anti-MAP2 mouse monoclonal antibody was used to counterstain at 1/500 (4 ug/ml) dilution (Red). The Nuclear counterstain was DAPI (Blue).

Secondary antibody only control : Secondary antibody is ab150081 Goat Anti-Rabbit IgG H&L (Alexa Fluor® 488) preadsorbed at 1/1000 (2 ug/mL) dilution.

Multiplex immunohistochemistry - Anti-GPCR GPR17 antibody [EPR26423-34] (AB316105)
  • mIHC

Supplier Data

Multiplex immunohistochemistry - Anti-GPCR GPR17 antibody [EPR26423-34] (AB316105)

Multiplex immunohistochemistry analysis of formalin/PFA-fixed paraffin-embedded rat spinal cord tissue staining Mu Opioid Receptor with ab323645 at a 1 : 2000 (0.252 ug/ml) dilution, ab307138 anti-TAC1 used at 1 : 500 (0.966 ug/ml) dilution and ab316105 anti-GPCR GPR17 used at a 1 : 500 (0.509ug/ml) dilution.

Panel A : merged staining of anti-OPRM1 (magenta; Opal™520), anti-TAC1 (green; Opal™690) and anti-GPCR GPR17 (yellow; Opal™570) on rat spinal cord.
Panel B : anti-OPRM1 showed positive staining in rat spinal cord.
Panel C : anti-TAC1 showed positive staining in rat spinal cord.
Panel D : anti-GPCR GPR17 staining oligodendrocytes in rat spinal cord.
Nuclear DNA was labeled with DAPI (shown in blue).

The section was incubated in three rounds of staining : in the order of ab323645, ab307138 and ab316105 for 30 mins at room temperature. Each round was followed by a separate fluorescent tyramide signal amplification system.

Nuclear counter stain with DAPI.

Heat mediated antigen retrieval with Tris-EDTA buffer (pH 9.0, epitope retrieval solution2) for 20 mins.

Multiplex immunohistochemistry - Anti-GPCR GPR17 antibody [EPR26423-34] (AB316105)
  • mIHC

Supplier Data

Multiplex immunohistochemistry - Anti-GPCR GPR17 antibody [EPR26423-34] (AB316105)

Multiplex immunohistochemistry analysis of formalin/PFA-fixed paraffin-embedded mouse spinal cord tissue staining Mu Opioid Receptor with ab323645 at a 1 : 2000 (0.252 ug/ml) dilution, ab307138 anti-TAC1 used at 1 : 500 (0.966 ug/ml) dilution and ab316105 anti-GPCR GPR17 used at a 1 : 500 (0.509ug/ml) dilution.

Panel A : merged staining of anti-OPRM1 (magenta; Opal™520), anti-TAC1 (green; Opal™690) and anti-GPCR GPR17 (yellow; Opal™570) on mouse spinal cord.
Panel B : anti-OPRM1 showed positive staining in mouse spinal cord.
Panel C : anti-TAC1 showed positive staining in mouse spinal cord.
Panel D : anti-GPCR GPR17 staining oligodendrocytes in mouse spinal cord.
Nuclear DNA was labeled with DAPI (shown in blue).

The section was incubated in three rounds of staining : in the order of ab323645, ab307138 and ab316105 for 30 mins at room temperature. Each round was followed by a separate fluorescent tyramide signal amplification system.

Nuclear counter stain with DAPI.

Heat mediated antigen retrieval with Tris-EDTA buffer (pH 9.0, epitope retrieval solution2) for 20 mins.

Multiplex immunohistochemistry - Anti-GPCR GPR17 antibody [EPR26423-34] (AB316105)
  • mIHC

Lab

Multiplex immunohistochemistry - Anti-GPCR GPR17 antibody [EPR26423-34] (AB316105)

Fluorescence multiplex immunohistochemical analysis of formalin/PFA-fixed paraffin-embedded mouse spinal cord tissue sections.

Panel A : merged staining of anti-GPR17 (magenta; Opal™690), anti-P2RY12 (green; Opal™520) and anti-GFAP (red; Opal™570) on mouse spinal cord.

Panel B : anti-GPR17 staining oligodendrocytes in mouse spinal cord.

Panel C : anti-P2RY12 staining microglia in mouse spinal cord.

Panel D : anti-GFAP staining astrocytes in mouse spinal cord.

The section was incubated in three rounds of staining : in the order of ab316105 at a 1/500 dilution, ab300140 at a 1/40000 dilution, and ab218309 at a 1/1000 dilution for 30 mins at room temperature. Each round was followed by a separate fluorescent tyramide signal amplification system.

Nuclear counterstaining with DAPI.

Heat mediated antigen retrieval with Tris-EDTA buffer (pH 9.0, epitope retrieval solution2) for 20 mins.

The immunostaining was performed on a Leica Biosystems BOND® RX instrument with an Opal™ 4-color kit. Image acquisition was performed with Leica SP8 confocal microscope.

Multiplex immunohistochemistry - Anti-GPCR GPR17 antibody [EPR26423-34] (AB316105)
  • mIHC

Lab

Multiplex immunohistochemistry - Anti-GPCR GPR17 antibody [EPR26423-34] (AB316105)

Fluorescence multiplex immunohistochemical analysis of formalin/PFA-fixed paraffin-embedded mouse cerebellum tissue sections.

Panel A : merged staining of anti-GPR17 (magenta; Opal™690), anti-P2RY12 (green; Opal™520) and anti-GFAP (red; Opal™570) on mouse cerebellum.

Panel B : anti-GPR17 staining oligodendrocytes in mouse cerebellum.

Panel C : anti-P2RY12 staining microglia in mouse cerebellum.

Panel D : anti-GFAP staining astrocytes in mouse cerebellum.

The section was incubated in three rounds of staining : in the order of ab316105 at a 1/500 dilution, ab300140 at a 1/40000 dilution, and ab218309 at a 1/1000 dilution for 30 mins at room temperature. Each round was followed by a separate fluorescent tyramide signal amplification system.

Nuclear counterstaining with DAPI.

Heat mediated antigen retrieval with Tris-EDTA buffer (pH 9.0, epitope retrieval solution2) for 20 mins.

The immunostaining was performed on a Leica Biosystems BOND® RX instrument with an Opal™ 4-color kit. Image acquisition was performed with Leica SP8 confocal microscope.

Multiplex immunohistochemistry - Anti-GPCR GPR17 antibody [EPR26423-34] (AB316105)
  • mIHC

Lab

Multiplex immunohistochemistry - Anti-GPCR GPR17 antibody [EPR26423-34] (AB316105)

Fluorescence multiplex immunohistochemical analysis of formalin/PFA-fixed paraffin-embedded rat spinal cord tissue sections.

Panel A : merged staining of anti-GPR17 (magenta; Opal™690), anti-P2RY12 (green; Opal™520) and anti-GFAP (red; Opal™570) on rat spinal cord.

Panel B : anti-GPR17 staining oligodendrocytes in rat spinal cord.

Panel C : anti-P2RY12 staining microglia in rat spinal cord.

Panel D : anti-GFAP staining astrocytes in rat spinal cord.

The section was incubated in three rounds of staining : in the order of ab316105 at a 1/500 dilution, ab300140 at a 1/40000 dilution, and ab218309 at a 1/1000 dilution for 30 mins at room temperature. Each round was followed by a separate fluorescent tyramide signal amplification system.

Nuclear counterstaining with DAPI.

Heat mediated antigen retrieval with Tris-EDTA buffer (pH 9.0, epitope retrieval solution2) for 20 mins.

The immunostaining was performed on a Leica Biosystems BOND® RX instrument with an Opal™ 4-color kit. Image acquisition was performed with Leica SP8 confocal microscope.

Multiplex immunohistochemistry - Anti-GPCR GPR17 antibody [EPR26423-34] (AB316105)
  • mIHC

Lab

Multiplex immunohistochemistry - Anti-GPCR GPR17 antibody [EPR26423-34] (AB316105)

Fluorescence multiplex immunohistochemical analysis of formalin/PFA-fixed paraffin-embedded mouse spinal cord tissue.

Panel A : merged staining of anti-GPR17 (magenta; Opal™690), anti-P2RY12 (green; Opal™520) and anti-FMR1 (gray; Opal™570) on mouse spinal cord.
Panel B : anti-GPR17 staining oligodendrocytes in mouse spinal cord.
Panel C : anti-P2RY12 staining microglia in mouse spinal cord.
Panel D : anti-FMR1 staining neurons in mouse spinal cord.
Nuclear DNA was labeled with DAPI (shown in blue).

The section was incubated in three rounds of staining : in the order of ab316105 at a 1/500 dilution, ab300140 at a 1/40000 dilution, and ab259335 at a 1/10000 dilution for 30 mins at room temperature. Each round was followed by a separate fluorescent tyramide signal amplification system.

Heat mediated antigen retrieval with Tris-EDTA buffer (pH 9.0, epitope retrieval solution2) for 20 mins.

The immunostaining was performed on a Leica Biosystems BOND® RX instrument with an Opal™ 4-color kit. Image acquisition was performed with Leica SP8 confocal microscope.

Multiplex immunohistochemistry - Anti-GPCR GPR17 antibody [EPR26423-34] (AB316105)
  • mIHC

Lab

Multiplex immunohistochemistry - Anti-GPCR GPR17 antibody [EPR26423-34] (AB316105)

Fluorescence multiplex immunohistochemical analysis of formalin/PFA-fixed paraffin-embedded mouse hippocampus tissue sections.

Panel A : merged staining of anti-GPR17 (magenta; Opal™690), anti-P2RY12 (green; Opal™520) and anti-GFAP (red; Opal™570) on mouse hippocampus.

Panel B : anti-GPR17 staining oligodendrocytes in mouse hippocampus.

Panel C : anti-P2RY12 staining microglia in mouse hippocampus.

Panel D : anti-GFAP staining astrocytes in mouse hippocampus.

The section was incubated in three rounds of staining : in the order of ab316105 at a 1/500 dilution, ab300140 at a 1/40000, and ab218309 at a 1/1000 dilution for 30 mins at room temperature. Each round was followed by a separate fluorescent tyramide signal amplification system.

Nuclear counterstaining with DAPI.

Heat mediated antigen retrieval with Tris-EDTA buffer (pH 9.0, epitope retrieval solution2) for 20 mins.

The immunostaining was performed on a Leica Biosystems BOND® RX instrument with an Opal™ 4-color kit. Image acquisition was performed with Leica SP8 confocal microscope.

Multiplex immunohistochemistry - Anti-GPCR GPR17 antibody [EPR26423-34] (AB316105)
  • mIHC

Lab

Multiplex immunohistochemistry - Anti-GPCR GPR17 antibody [EPR26423-34] (AB316105)

Fluorescence multiplex immunohistochemical analysis of formalin/PFA-fixed paraffin-embedded mouse hippocampus tissue sections.

Panel A : merged staining of anti-GPR17 (magenta; Opal™690), anti-P2RY12 (green; Opal™520) and anti-FMR1 (gray; Opal™570) on mouse hippocampus.

Panel B : anti-GPR17 staining oligodendrocytes in mouse hippocampus.

Panel C : anti-P2RY12 staining microglia in mouse hippocampus.

Panel D : anti-FMR1 staining neurons in mouse hippocampus.

Nuclear DNA was labeled with DAPI (shown in blue).

The section was incubated in three rounds of staining : in the order of ab316105 at a 1/500 dilution, ab300140 at a 1/40000 dilution, and ab259335 at a 1/10000 dilution for 30 mins at room temperature. Each round was followed by a separate fluorescent tyramide signal amplification system.

Heat mediated antigen retrieval with Tris-EDTA buffer (pH 9.0, epitope retrieval solution2) for 20 mins. Nuclear counterstaining with DAPI.

The immunostaining was performed on a Leica Biosystems BOND® RX instrument with an Opal™ 4-color kit. Image acquisition was performed with Leica SP8 confocal microscope.

Multiplex immunohistochemistry - Anti-GPCR GPR17 antibody [EPR26423-34] (AB316105)
  • mIHC

Lab

Multiplex immunohistochemistry - Anti-GPCR GPR17 antibody [EPR26423-34] (AB316105)

Fluorescence multiplex immunohistochemical analysis of formalin/PFA-fixed paraffin-embedded rat cerebrum tissue sections.

Panel A : merged staining of anti-GPR17 (magenta; Opal™690), anti-P2RY12 (green; Opal™520) and anti-FMR1 (gray; Opal™570) on rat cerebrum.

Panel B : anti-GPR17 staining oligodendrocytes in rat cerebrum.

Panel C : anti-P2RY12 staining microglia in rat cerebrum.

Panel D : anti-FMR1 staining neurons in rat cerebrum.

Nuclear DNA was labeled with DAPI (shown in blue).

The section was incubated in three rounds of staining : in the order of ab316105 at a 1/500 dilution, ab300140 at a 1/40000 dilution, and ab259335 at a 1/10000 dilution for 30 mins at room temperature. Each round was followed by a separate fluorescent tyramide signal amplification system. Heat mediated antigen retrieval with Tris-EDTA buffer (pH 9.0, epitope retrieval solution2) for 20 mins. Nuclear counterstaining with DAPI.

The immunostaining was performed on a Leica Biosystems BOND® RX instrument with an Opal™ 4-color kit. Image acquisition was performed with Leica SP8 confocal microscope.

Multiplex immunohistochemistry - Anti-GPCR GPR17 antibody [EPR26423-34] (AB316105)
  • mIHC

Lab

Multiplex immunohistochemistry - Anti-GPCR GPR17 antibody [EPR26423-34] (AB316105)

Fluorescence multiplex immunohistochemical analysis of formalin/PFA-fixed paraffin-embedded mouse cerebellum tissue sections.

Panel A : merged staining of anti-GPR17 (magenta; Opal™690), anti-P2RY12 (green; Opal™520) and anti-FMR1 (gray; Opal™570) on mouse cerebellum.

Panel B : anti-GPR17 staining oligodendrocytes in mouse cerebellum.

Panel C : anti-P2RY12 staining microglia in mouse cerebellum.

Panel D : anti-FMR1 staining neurons and Purkinje cells in mouse cerebellum.

Nuclear DNA was labeled with DAPI (shown in blue).

The section was incubated in three rounds of staining : in the order of ab316105 at a 1/500 dilution, ab300140 at a 1/40000 dilution and ab259335 at a 1/10000 dilution for 30 mins at room temperature. Each round was followed by a separate fluorescent tyramide signal amplification system.

Heat mediated antigen retrieval with Tris-EDTA buffer (pH 9.0, epitope retrieval solution2) for 20 mins.

The immunostaining was performed on a Leica Biosystems BOND® RX instrument with an Opal™ 4-color kit. Image acquisition was performed with Leica SP8 confocal microscope.

Multiplex immunohistochemistry - Anti-GPCR GPR17 antibody [EPR26423-34] (AB316105)
  • mIHC

Lab

Multiplex immunohistochemistry - Anti-GPCR GPR17 antibody [EPR26423-34] (AB316105)

Fluorescence multiplex immunohistochemical analysis of formalin/PFA-fixed paraffin-embedded rat hippocampus tissue sections.

Panel A : merged staining of anti-GPR17 (magenta; Opal™690), anti-P2RY12 (green; Opal™520) and anti-FMR1 (gray; Opal™570) on rat hippocampus.

Panel B : anti-GPR17 staining oligodendrocytes in rat hippocampus.

Panel C : anti-P2RY12 staining microglia in rat hippocampus.

Panel D : anti-FMR1 staining neurons in rat hippocampus.

Nuclear DNA was labeled with DAPI (shown in blue).

The section was incubated in three rounds of staining : in the order of ab316105 at a 1/500 dilution, ab300140 at a 1/40000 dilution, and ab259335 at a 1/10000 dilution for 30 mins at room temperature. Each round was followed by a separate fluorescent tyramide signal amplification system. Nuclear counterstaining with DAPI.

Heat mediated antigen retrieval with Tris-EDTA buffer (pH 9.0, epitope retrieval solution2) for 20 mins.

The immunostaining was performed on a Leica Biosystems BOND® RX instrument with an Opal™ 4-color kit. Image acquisition was performed with Leica SP8 confocal microscope.

Multiplex immunohistochemistry - Anti-GPCR GPR17 antibody [EPR26423-34] (AB316105)
  • mIHC

Lab

Multiplex immunohistochemistry - Anti-GPCR GPR17 antibody [EPR26423-34] (AB316105)

Fluorescence multiplex immunohistochemical analysis of formalin/PFA-fixed paraffin-embedded mouse cerebrum tissue sections.

Panel A : merged staining of anti-GPR17 (magenta; Opal™690), anti-P2RY12 (green; Opal™520) and anti-GFAP (red; Opal™570) on mouse cerebrum.

Panel B : anti-GPR17 staining oligodendrocytes in mouse cerebrum.

Panel C : anti-P2RY12 staining microglia in mouse cerebrum.

Panel D : anti-GFAP staining astrocytes in mouse cerebrum.

The section was incubated in three rounds of staining : in the order of ab316105 at a 1/500 dilution, ab300140 at a 1/140000 dilution, and ab218309 at a 1/1000 dilution for 30 mins at room temperature. Each round was followed by a separate fluorescent tyramide signal amplification system. Nuclear counterstaining with DAPI.

Heat mediated antigen retrieval with Tris-EDTA buffer (pH 9.0, epitope retrieval solution2) for 20 mins.

The immunostaining was performed on a Leica Biosystems BOND® RX instrument with an Opal™ 4-color kit. Image acquisition was performed with Leica SP8 confocal microscope.

Immunoprecipitation - Anti-GPCR GPR17 antibody [EPR26423-34] (AB316105)
  • IP

Supplier Data

Immunoprecipitation - Anti-GPCR GPR17 antibody [EPR26423-34] (AB316105)

Blocking and diluting buffer and concentration : 5% NFDM/TBST.

GPCR GPR17 was immunoprecipitated from 0.35 mg Mouse brain tissue lysate with ab316105 at 1/30 dilution (2ug in 0.35mg lysates). Western blot was performed on the immunoprecipitate using ab316105 at 1/1000 dilution. VeriBlot for IP secondary antibody(HRP)(ab131366) was used at 1/5000 dilution.

Lane 1 : Mouse brain tissue lysate
Lane 2 : ab316105 IP in Mouse brain tissue lysate
Lane 3 : Rabbit monoclonal IgG (ab172730) instead of ab316105 in mouse brain tissue lysate.

All lanes:

Immunoprecipitation - Anti-GPCR GPR17 antibody [EPR26423-34] (ab316105) at 1/30 dilution

All lanes:

Mouse brain tissue lysate

Secondary

All lanes:

Immunoprecipitation - VeriBlot for IP Detection Reagent (HRP) (<a href='/en-us/products/reagents/veriblot-for-ip-detection-reagent-hrp-ab131366'>ab131366</a>) at 1/5000 dilution

false

Exposure time: 180s

Western blot - Anti-GPCR GPR17 antibody [EPR26423-34] (AB316105)
  • WB

Supplier Data

Western blot - Anti-GPCR GPR17 antibody [EPR26423-34] (AB316105)

Blocking and diluting buffer and concentration : 5% NFDM/TBST.

Negative control : heart, lung and spleen(PMID : 19625605), (PMID : 19838178).

In Western blot, Anti-GAPDH antibody [EPR16891] - Loading Control (ab181602) staining at 1/200000 dilution.

All lanes:

Western blot - Anti-GPCR GPR17 antibody [EPR26423-34] (ab316105) at 1/1000 dilution

Lane 1:

Mouse P14 spinal cord tissue lysate at 40 µg

Lane 2:

Mouse P14 brain tissue lysate at 40 µg

Lane 3:

Mouse heart tissue lysate at 40 µg

Lane 4:

Mouse lung tissue lysate at 40 µg

Lane 5:

Mouse spleen tissue lysate at 40 µg

Lane 6:

Rat P14 spinal cord tissue lysate at 40 µg

Lane 7:

Rat P14 brain tissue lysate at 40 µg

Lane 8:

Rat heart tissue lysate at 40 µg

Secondary

All lanes:

Western blot - Goat Anti-Rabbit IgG H&L (HRP) (<a href='/en-us/products/secondary-antibodies/goat-rabbit-igg-h-l-hrp-ab97051'>ab97051</a>) at 1/100000 dilution

Observed band size: 40 kDa,36 kDa

false

Exposure time: 103s

  • Carrier free

    Anti-GPCR GPR17 antibody [EPR26423-34] - BSA and Azide free

Key facts

Host species

Rabbit

Clonality

Monoclonal

Clone number

EPR26423-34

Isotype

IgG

Carrier free

No

Reacts with

Mouse, Rat, Human

Applications

IHC-Fr, mIHC, IHC-P, IP, ICC/IF, Flow Cyt (Intra), WB

applications

Immunogen

The exact immunogen used to generate this antibody is proprietary information.

Specificity

Unsuitable for Human WB.

Reactivity data

{ "title": "Reactivity Data", "filters": { "stats": ["", "Species", "Dilution Info", "Notes"], "tabs": { "all-applications": {"fullname" : "All Applications", "shortname": "All Applications"}, "mIHC" : {"fullname" : "Multiplex immunohistochemistry", "shortname":"mIHC"}, "IHCP" : {"fullname" : "Immunohistochemistry (Formalin/PFA-fixed paraffin-embedded sections)", "shortname":"IHC-P"}, "FlowCytIntra" : {"fullname" : "Flow Cytometry (Intracellular)", "shortname":"Flow Cyt (Intra)"}, "WB" : {"fullname" : "Western blot", "shortname":"WB"}, "IP" : {"fullname" : "Immunoprecipitation", "shortname":"IP"}, "ICCIF" : {"fullname" : "Immunocytochemistry/ Immunofluorescence", "shortname":"ICC/IF"}, "IHCFr" : {"fullname" : "Immunohistochemistry (Frozen sections)", "shortname":"IHC-Fr"} }, "product-promise": { "all": "all", "testedAndGuaranteed": "tested", "guaranteed": "expected", "predicted": "predicted", "notRecommended": "not-recommended" } }, "values": { "Human": { "mIHC-species-checked": "testedAndGuaranteed", "mIHC-species-dilution-info": "1/500", "mIHC-species-notes": "<p></p> Perform heat-mediated antigen retrieval with Tris/EDTA buffer pH 9.0 before commencing with IHC staining protocol.", "IHCP-species-checked": "guaranteed", "IHCP-species-dilution-info": "", "IHCP-species-notes": "", "FlowCytIntra-species-checked": "guaranteed", "FlowCytIntra-species-dilution-info": "", "FlowCytIntra-species-notes": "", "WB-species-checked": "notRecommended", "WB-species-dilution-info": "", "WB-species-notes": "<p></p>", "IP-species-checked": "guaranteed", "IP-species-dilution-info": "", "IP-species-notes": "", "ICCIF-species-checked": "guaranteed", "ICCIF-species-dilution-info": "", "ICCIF-species-notes": "", "IHCFr-species-checked": "guaranteed", "IHCFr-species-dilution-info": "", "IHCFr-species-notes": "" }, "Mouse": { "mIHC-species-checked": "testedAndGuaranteed", "mIHC-species-dilution-info": "1/500", "mIHC-species-notes": "<p></p>", "IHCP-species-checked": "guaranteed", "IHCP-species-dilution-info": "", "IHCP-species-notes": "", "FlowCytIntra-species-checked": "testedAndGuaranteed", "FlowCytIntra-species-dilution-info": "1/500", "FlowCytIntra-species-notes": "<p></p>", "WB-species-checked": "testedAndGuaranteed", "WB-species-dilution-info": "1/1000", "WB-species-notes": "<p></p>", "IP-species-checked": "testedAndGuaranteed", "IP-species-dilution-info": "1/30", "IP-species-notes": "<p></p>", "ICCIF-species-checked": "testedAndGuaranteed", "ICCIF-species-dilution-info": "1/50", "ICCIF-species-notes": "<p></p>", "IHCFr-species-checked": "testedAndGuaranteed", "IHCFr-species-dilution-info": "1/50", "IHCFr-species-notes": "<p></p>" }, "Rat": { "mIHC-species-checked": "testedAndGuaranteed", "mIHC-species-dilution-info": "1/500", "mIHC-species-notes": "<p></p>", "IHCP-species-checked": "testedAndGuaranteed", "IHCP-species-dilution-info": "1/2000", "IHCP-species-notes": "<p></p> Perform heat-mediated antigen retrieval with Tris/EDTA buffer pH 9.0 before commencing with IHC staining protocol.", "FlowCytIntra-species-checked": "guaranteed", "FlowCytIntra-species-dilution-info": "", "FlowCytIntra-species-notes": "", "WB-species-checked": "testedAndGuaranteed", "WB-species-dilution-info": "1/1000", "WB-species-notes": "<p></p>", "IP-species-checked": "guaranteed", "IP-species-dilution-info": "", "IP-species-notes": "", "ICCIF-species-checked": "testedAndGuaranteed", "ICCIF-species-dilution-info": "1/50", "ICCIF-species-notes": "<p></p>", "IHCFr-species-checked": "testedAndGuaranteed", "IHCFr-species-dilution-info": "1/50", "IHCFr-species-notes": "<p></p>" }, "Transfected cell line": { "mIHC-species-checked": "notRecommended", "mIHC-species-dilution-info": "", "mIHC-species-notes": "", "IHCP-species-checked": "testedAndGuaranteed", "IHCP-species-dilution-info": "1/5000", "IHCP-species-notes": "<p></p> Perform heat-mediated antigen retrieval with Tris/EDTA buffer pH 9.0 before commencing with IHC staining protocol.", "FlowCytIntra-species-checked": "testedAndGuaranteed", "FlowCytIntra-species-dilution-info": "1/500", "FlowCytIntra-species-notes": "<p></p>", "WB-species-checked": "notRecommended", "WB-species-dilution-info": "", "WB-species-notes": "", "IP-species-checked": "notRecommended", "IP-species-dilution-info": "", "IP-species-notes": "", "ICCIF-species-checked": "notRecommended", "ICCIF-species-dilution-info": "", "ICCIF-species-notes": "", "IHCFr-species-checked": "notRecommended", "IHCFr-species-dilution-info": "", "IHCFr-species-notes": "" } } }

Product details

Patented technology
Our RabMAb® technology is a patented hybridoma-based technology for making rabbit monoclonal antibodies. For details on our patents, please refer to RabMAb® patents.

What are the advantages of a recombinant monoclonal antibody?
This product is a recombinant monoclonal antibody, which offers several advantages including:

  • - High batch-to-batch consistency and reproducibility
  • - Improved sensitivity and specificity
  • - Long-term security of supply
  • - Animal-free batch production

For more information, read more on recombinant antibodies.

Properties and storage information

Form
Liquid
Purification technique
Affinity purification Protein A
Storage buffer
pH: 7.2 - 7.4 Preservative: 0.01% Sodium azide Constituents: PBS, 40% Glycerol (glycerin, glycerine), 0.05% BSA
Shipped at conditions
Blue Ice
Appropriate short-term storage duration
1-2 weeks
Appropriate short-term storage conditions
+4°C
Appropriate long-term storage conditions
-20°C
Aliquoting information
Upon delivery aliquot
Storage information
Avoid freeze / thaw cycle

Supplementary information

This supplementary information is collated from multiple sources and compiled automatically.

GPR17 also known as G protein-coupled receptor 17 is a member of the G protein-coupled receptor (GPCR) family. This receptor has a molecular weight of approximately 40 kDa. It is expressed in various tissues with significant levels found in the central nervous system including the brain and spinal cord. GPR17 also shows expression in kidneys liver and heart. It is classified under the class A Rhodopsin-like family and is an orphan receptor meaning its natural ligand is not completely established but is thought to be associated with uridine nucleotides and cysteinyl leukotrienes.
Biological function summary

GPR17 is involved in several physiological processes particularly in the regulation of inflammation and myelination within the central nervous system. It plays a critical role in the differentiation of oligodendrocyte precursor cells into mature oligodendrocytes which are essential for myelin sheath formation and repair of neural damage. GPR17 is not known to function as part of a larger receptor complex but it interacts with intracellular signaling pathways to modulate these cellular processes.

Pathways

GPR17 integrates into inflammatory response pathways and neural cell development pathways. It is actively involved in the nucleotide signaling pathway which is important for responses to tissue damage and initiating repair processes. GPR17 shares functional connections with proteins such as P2Y receptors which also respond to nucleotides and are involved in diverse cellular responses including muscle contraction and platelet aggregation.

GPR17's expression and role connect it to multiple sclerosis and brain ischemia. In multiple sclerosis dysregulation of GPR17 can affect the formation and maintenance of the myelin sheath contributing to neural degeneration. During brain ischemia GPR17 activation influences the extent of injury and subsequent recovery through its effects on inflammation and tissue repair. It is linked to proteins like CXCR7 which similarly influence neural damage and repair processes in ischemic conditions.

Product protocols

For this product, it's our understanding that no specific protocols are required. You can visit:

Target data

Dual specificity receptor for uracil nucleotides and cysteinyl leukotrienes (CysLTs). Signals through G(i) and inhibition of adenylyl cyclase. May mediate brain damage by nucleotides and CysLTs following ischemia (By similarity).
See full target information Gpr17

Product promise

We are committed to supporting your work with high-quality reagents, and we're here for you every step of the way. In the unlikely event that one of our products does not perform as expected, you're protected by our Product Promise.
For full details, please see our Terms & Conditions

Please note: All products are 'FOR RESEARCH USE ONLY. NOT FOR USE IN DIAGNOSTIC OR THERAPEUTIC PROCEDURES'.

For licensing inquiries, please contact partnerships@abcam.com