JavaScript is disabled in your browser. Please enable JavaScript to view this website.
AB189124

Anti-GPCR GPR19 antibody

Be the first to review this product! Submit a review

|

(1 Publication)

Rabbit Polyclonal GPCR GPR19 antibody. Suitable for IHC-P and reacts with Human samples. Cited in 1 publication. Immunogen corresponding to Synthetic Peptide within Human GPR19.

View Alternative Names

Probable G-protein coupled receptor 19, GPR-NGA, GPR19

1 Images
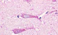
Immunohistochemistry (Formalin/PFA-fixed paraffin-embedded sections) - Anti-GPCR GPR19 antibody (AB189124)
  • IHC-P

Supplier Data

Immunohistochemistry (Formalin/PFA-fixed paraffin-embedded sections) - Anti-GPCR GPR19 antibody (AB189124)

Immunohistochemical analysis of formalin-fixed, paraffin-embedded Human brain, neurons and glia labeling GPCR GPR19 with ab189124 at 17 μg/ml.

Key facts

Host species

Rabbit

Clonality

Polyclonal

Isotype

IgG

Carrier free

No

Reacts with

Human

Applications

IHC-P

applications

Immunogen

Synthetic Peptide within Human GPR19. The exact immunogen used to generate this antibody is proprietary information.

Q15760

Specificity

BLAST analysis of the peptide immunogen showed no homology with other Human proteins.

Reactivity data

{ "title": "Reactivity Data", "filters": { "stats": ["", "Species", "Dilution Info", "Notes"], "tabs": { "all-applications": {"fullname" : "All Applications", "shortname": "All Applications"}, "IHCP" : {"fullname" : "Immunohistochemistry (Formalin/PFA-fixed paraffin-embedded sections)", "shortname":"IHC-P"} }, "product-promise": { "all": "all", "testedAndGuaranteed": "tested", "guaranteed": "expected", "predicted": "predicted", "notRecommended": "not-recommended" } }, "values": { "Human": { "IHCP-species-checked": "testedAndGuaranteed", "IHCP-species-dilution-info": "13-17 µg/mL", "IHCP-species-notes": "<p></p> Perform heat-mediated antigen retrieval before commencing with IHC staining protocol." }, "Mouse": { "IHCP-species-checked": "predicted", "IHCP-species-dilution-info": "", "IHCP-species-notes": "" }, "Rat": { "IHCP-species-checked": "predicted", "IHCP-species-dilution-info": "", "IHCP-species-notes": "" }, "Cow": { "IHCP-species-checked": "predicted", "IHCP-species-dilution-info": "", "IHCP-species-notes": "" }, "Gorilla": { "IHCP-species-checked": "predicted", "IHCP-species-dilution-info": "", "IHCP-species-notes": "" }, "Hamster": { "IHCP-species-checked": "predicted", "IHCP-species-dilution-info": "", "IHCP-species-notes": "" }, "Horse": { "IHCP-species-checked": "predicted", "IHCP-species-dilution-info": "", "IHCP-species-notes": "" }, "Monkey": { "IHCP-species-checked": "predicted", "IHCP-species-dilution-info": "", "IHCP-species-notes": "" }, "Rabbit": { "IHCP-species-checked": "predicted", "IHCP-species-dilution-info": "", "IHCP-species-notes": "" }, "Zebrafish": { "IHCP-species-checked": "predicted", "IHCP-species-dilution-info": "", "IHCP-species-notes": "" } } }

Properties and storage information

Form
Liquid
Purification technique
Affinity purification Immunogen
Storage buffer
pH: 7.4 Preservative: 0.1% Sodium azide Constituents: PBS
Shipped at conditions
Blue Ice
Appropriate short-term storage duration
1-2 weeks
Appropriate short-term storage conditions
+4°C
Appropriate long-term storage conditions
-20°C
Aliquoting information
Upon delivery aliquot
Storage information
Avoid freeze / thaw cycle

Supplementary information

This supplementary information is collated from multiple sources and compiled automatically.

GPR19 a G protein-coupled receptor also known simply as GPR19 is a membrane protein involved in signal transduction processes. It has a molecular mass of approximately 43 kDa. This receptor is ubiquitously expressed though higher expression levels occur in the brain lung and heart tissues. Its structural framework allows GPR19 to bind ligands that initiate intracellular signaling cascades influencing various physiological responses.
Biological function summary

The GPR19 receptor plays a significant role in cellular communication by mediating hormone and neurotransmitter signals. GPR19 belongs to the large family of GPCRs which function collaboratively with G proteins to convey extracellular cues. Despite ongoing research the endogenous ligand for GPR19 remains unidentified suggesting room for further exploration in its biological interactions.

Pathways

GPR19 involves itself in critical signaling pathways including the G-protein signaling-mediated pathway and its potential role in neurotransmitter release regulation. Within these pathways it interfaces with other proteins such as G proteins and potential partners within the dopamine receptor signaling networks. This involvement indicates its importance in modulating neurophysiological processes.

Altered expression or function of GPR19 associates with neurological disorders and certain cancers. GPR19’s connectivity with proteins like dopamine receptors provides insight into its influence on neurological conditions such as schizophrenia. Additionally in cancer research aberrant GPR19 activity is under investigation concerning its emerging relevance in tumor progression urging more studies on targeted therapeutic approaches.

Product protocols

For this product, it's our understanding that no specific protocols are required. You can visit:

Target data

Orphan receptor.
See full target information GPR19

Publications (1)

Recent publications for all applications. Explore the full list and refine your search

PloS one 16:e0246375 PubMed33529249

2021

Cross-effect of TRPV1 and EP3 receptor on coughs and bronchopulmonary C-neural activities.

Applications

Unspecified application

Species

Unspecified reactive species

Xiuping Gao,Jianguo Zhuang,Lei Zhao,Wan Wei,Fadi Xu
View all publications

Product promise

We are committed to supporting your work with high-quality reagents, and we're here for you every step of the way. In the unlikely event that one of our products does not perform as expected, you're protected by our Product Promise.
For full details, please see our Terms & Conditions

Please note: All products are 'FOR RESEARCH USE ONLY. NOT FOR USE IN DIAGNOSTIC OR THERAPEUTIC PROCEDURES'.

For licensing inquiries, please contact partnerships@abcam.com