JavaScript is disabled in your browser. Please enable JavaScript to view this website.
AB150633

Anti-GPCR GPR31 antibody - Extracellular domain

Be the first to review this product! Submit a review

|

(1 Publication)

Rabbit Polyclonal GPCR GPR31 antibody. Suitable for IHC-P and reacts with Human samples. Cited in 1 publication. Immunogen corresponding to Synthetic Peptide within Human 12-(S)-hydroxy-5,8,10,14-eicosatetraenoic acid receptor.

View Alternative Names

12-(S)-HETE receptor, 12-HETER, G-protein coupled receptor 31, GPR31/12-HETER, GPR31

1 Images
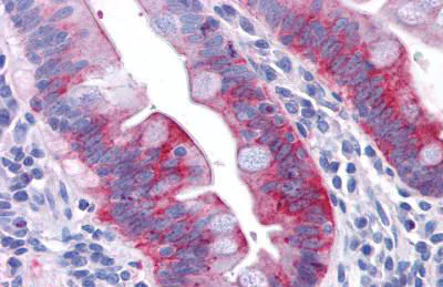
Immunohistochemistry (Formalin/PFA-fixed paraffin-embedded sections) - Anti-GPCR GPR31 antibody - Extracellular domain (AB150633)
  • IHC-P

Unknown

Immunohistochemistry (Formalin/PFA-fixed paraffin-embedded sections) - Anti-GPCR GPR31 antibody - Extracellular domain (AB150633)

Immunohistochemical analysis of formalin-fixed, paraffin-embedded Human small intestine tissue (epithelium) labeling GPCR GPR31 with ab150633 at 4 μg/ml.

Key facts

Host species

Rabbit

Clonality

Polyclonal

Isotype

IgG

Carrier free

No

Reacts with

Human

Applications

IHC-P

applications

Immunogen

Synthetic Peptide within Human 12-(S)-hydroxy-5,8,10,14-eicosatetraenoic acid receptor. The exact immunogen used to generate this antibody is proprietary information.

O00270

Specificity

BLAST analysis of the peptide immunogen showed no homology with other Human proteins.

Reactivity data

{ "title": "Reactivity Data", "filters": { "stats": ["", "Species", "Dilution Info", "Notes"], "tabs": { "all-applications": {"fullname" : "All Applications", "shortname": "All Applications"}, "IHCP" : {"fullname" : "Immunohistochemistry (Formalin/PFA-fixed paraffin-embedded sections)", "shortname":"IHC-P"} }, "product-promise": { "all": "all", "testedAndGuaranteed": "tested", "guaranteed": "expected", "predicted": "predicted", "notRecommended": "not-recommended" } }, "values": { "Human": { "IHCP-species-checked": "testedAndGuaranteed", "IHCP-species-dilution-info": "2-4 µg/mL", "IHCP-species-notes": "<p></p> Perform heat-mediated antigen retrieval before commencing with IHC staining protocol." }, "Gorilla": { "IHCP-species-checked": "predicted", "IHCP-species-dilution-info": "", "IHCP-species-notes": "" } } }

Properties and storage information

Form
Liquid
Purification technique
Affinity purification Immunogen
Storage buffer
pH: 7.4 Preservative: 0.1% Sodium azide Constituents: PBS
Shipped at conditions
Blue Ice
Appropriate short-term storage conditions
+4°C
Appropriate long-term storage conditions
-20°C

Supplementary information

This supplementary information is collated from multiple sources and compiled automatically.

GPR31 also known as G protein-coupled receptor 31 is a member of the GPCR family. This receptor has a mass of approximately 35 kDa. It is widely expressed in human tissues with notable expression in the brain liver and immune cells. GPR31 plays a significant role in transmitting extracellular signals through the cell membrane activating intracellular G proteins and triggering various signaling pathways.
Biological function summary

GPR31 influences cellular processes such as growth and response to environmental changes. It does not associate with a specific complex but interacts with several intracellular signaling molecules. Its function in immune cells suggests a role in immunoregulation and inflammation. Additionally GPR31 might have effects on cell proliferation and migration especially in liver and cancer cells.

Pathways

GPR31 directly influences the arachidonic acid and leukotriene B4 signaling pathways. These pathways regulate inflammation and immune responses. GPR31 interacts with specific proteins like GPR120 and CB2 receptors. Its role within these pathways suggests potential implications in inflammatory diseases and conditions linked to overactive immune responses.

GPR31 has significant relevance to liver cancer and inflammatory bowel disease. Research links GPR31 to the progression of liver cancer by affecting cancer cell proliferation and migration. It also plays a role in the dysregulation of inflammatory responses in bowel diseases via its interaction with CB2 receptors and pathways influenced by inflammation.

Product protocols

For this product, it's our understanding that no specific protocols are required. You can visit:

Target data

High-affinity receptor for 12-(S)-hydroxy-5,8,10,14-eicosatetraenoic acid (12-S-HETE), with much lower affinities for other HETE isomers (PubMed : 21712392, PubMed : 29227475). 12-S-HETE is a eicosanoid, a 12-lipoxygenase (ALOX12) metabolite of arachidonic acid, involved in many physiologic and pathologic processes (PubMed : 26965684, PubMed : 28619714, PubMed : 29227475). 12-S-HETE-binding leads to activation of ERK1/2 (MAPK3/MAPK1), MEK, and NF-kappa-B pathways leading to cell growth (PubMed : 21712392, PubMed : 29227475). Plays a crucial role for proliferation, survival and macropinocytosis of KRAS-dependent cancer cells by mediating the translocation of KRAS from the endoplasmic reticulum to the plasma membrane (PM) and its association with the PM (PubMed : 28619714). Contributes to enhanced immune responses by inducing dendrite protrusion of small intestinal CX3CR1(+) phagocytes for the uptake of luminal antigens (By similarity). Acts also as a key receptor for 12-(S)-HETE-mediated liver ischemia reperfusion injury (PubMed : 29227475).. Proton-sensing G protein-coupled receptor.
See full target information 12-(S)-hydroxy-5,8,10,14-eicosatetraenoic acid receptor

Publications (1)

Recent publications for all applications. Explore the full list and refine your search

Technology in cancer research & treatment 24:15330338251353305 PubMed40551554

2025

Multimodal Model for Non-Invasive Detection of DRD2, SSTR2 and ESR1 Receptor Profiling in Pituitary Neuroendocrine Tumors: A Retrospective Study.

Applications

Unspecified application

Species

Unspecified reactive species

Jianglong Lu,Xianpeng Wang,Jinghao Jin,Fanjie Xu,Runhua Tang,Cheng Han,Zerui Wu,Zhipeng Su,Yuhang Guo
View all publications

Product promise

We are committed to supporting your work with high-quality reagents, and we're here for you every step of the way. In the unlikely event that one of our products does not perform as expected, you're protected by our Product Promise.
For full details, please see our Terms & Conditions

Please note: All products are 'FOR RESEARCH USE ONLY. NOT FOR USE IN DIAGNOSTIC OR THERAPEUTIC PROCEDURES'.

For licensing inquiries, please contact partnerships@abcam.com