JavaScript is disabled in your browser. Please enable JavaScript to view this website.
AB150642

Anti-GPCR GPR32 antibody - Extracellular domain

Be the first to review this product! Submit a review

|

(0 Publication)

Rabbit Polyclonal GPCR GPR32 antibody. Suitable for IHC-P and reacts with Human samples. Immunogen corresponding to Synthetic Peptide within Human GPR32.

View Alternative Names

Probable G-protein coupled receptor 32, GPR32

1 Images
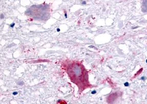
Immunohistochemistry (Formalin/PFA-fixed paraffin-embedded sections) - Anti-GPCR GPR32 antibody - Extracellular domain (AB150642)
  • IHC-P

Unknown

Immunohistochemistry (Formalin/PFA-fixed paraffin-embedded sections) - Anti-GPCR GPR32 antibody - Extracellular domain (AB150642)

Immunohistochemical analysis of formalin fixed, paraffin embedded Human brain tissue, neurons and glia, labelling GPCR GPR32 with ab150642 at 38 ug/ml, after heat induced antigen retrieval.

Key facts

Host species

Rabbit

Clonality

Polyclonal

Isotype

IgG

Carrier free

No

Reacts with

Human

Applications

IHC-P

applications

Immunogen

Synthetic Peptide within Human GPR32. The exact immunogen used to generate this antibody is proprietary information.

O75388

Specificity

BLAST analysis of the peptide immunogen showed no homology with other human proteins.

Reactivity data

{ "title": "Reactivity Data", "filters": { "stats": ["", "Species", "Dilution Info", "Notes"], "tabs": { "all-applications": {"fullname" : "All Applications", "shortname": "All Applications"}, "IHCP" : {"fullname" : "Immunohistochemistry (Formalin/PFA-fixed paraffin-embedded sections)", "shortname":"IHC-P"} }, "product-promise": { "all": "all", "testedAndGuaranteed": "tested", "guaranteed": "expected", "predicted": "predicted", "notRecommended": "not-recommended" } }, "values": { "Human": { "IHCP-species-checked": "testedAndGuaranteed", "IHCP-species-dilution-info": "38 µg/mL", "IHCP-species-notes": "<p></p> Perform heat-mediated antigen retrieval before commencing with IHC staining protocol." } } }

Properties and storage information

Form
Liquid
Purification technique
Affinity purification Immunogen
Storage buffer
pH: 7.4 Preservative: 0.1% Sodium azide Constituents: 99% PBS
Shipped at conditions
Blue Ice
Appropriate short-term storage conditions
+4°C
Appropriate long-term storage conditions
-20°C

Supplementary information

This supplementary information is collated from multiple sources and compiled automatically.

G protein-coupled receptor 32 (GPR32) also known as GPR32 is a member of the G protein-coupled receptors (GPCRs) family characterized by its seven-transmembrane domain structure. The molecular mass of GPR32 is approximately 40 kDa. Researchers typically find GPR32 expression in human tissues such as lung and heart. The receptor interacts with specific ligands activating intracellular signaling pathways that lead to various cellular responses.
Biological function summary

GPR32 plays a role in the immune system regulation and inflammation resolution. It partners with ligand molecules like certain specialized pro-resolving mediators (SPMs) to facilitate anti-inflammatory responses. Scientists study GPR32 as part of the broader network of GPCRs known for their involvement in transmitting signals from the extracellular environment into the cell. By influencing resolution pathways GPR32 helps maintain tissue homeostasis.

Pathways

GPR32 significantly influences the resolution phase of inflammation and integrates into the SPM signaling pathway. It interacts with other proteins such as the ALX/FPR2 receptor which is also known to mediate anti-inflammatory actions. Through these interactions GPR32 contributes to orchestrating inflammatory pathway modulation a critical process for balancing immune responses and promoting tissue repair.

GPR32 has a reported relation with inflammatory conditions and cardiovascular diseases. Researchers have studied its role in chronic inflammation where disrupted regulation might contribute to pathological inflammation persistence. GPR32's involvement in cardiovascular diseases links it to the regulation of blood pressure and vascular inflammation with potential interactions seen with proteins such as NADPH oxidase known to affect oxidative stress within these conditions.

Product protocols

For this product, it's our understanding that no specific protocols are required. You can visit:

Target data

G-protein coupled receptor that binds to several ligands including resolvin D1 (RvD1) with high affinity, leading to rapid and transient activation of numerous intracellular signaling pathways. In macrophages, enhances the RvD1-stimulated phagocytic and clearance functions (PubMed : 20080636). Macrophages migrate less toward different chemoattractant stimuli but phagocytose more microbial particles (PubMed : 26969756). Prevents the increase in Ca(2+) and activation of ERK1/2 used by histamine and its H1 receptor subtype to induce goblet cell secretion by activating PKC and GRK2 to counter-regulate the histamine receptor (PubMed : 23462912).
See full target information GPR32

Product promise

We are committed to supporting your work with high-quality reagents, and we're here for you every step of the way. In the unlikely event that one of our products does not perform as expected, you're protected by our Product Promise.
For full details, please see our Terms & Conditions

Associated Products

Select an associated product type
Alternative Product
Primary Antibodies

AB79516

Anti-GPCR GPR32 antibody

primary-antibodies

gpcr-gpr32-antibody-ab79516

4

(2 reviews)

Alternative Product
Primary Antibodies

AB61429

Anti-GPCR GPR32 antibody

primary-antibodies

gpcr-gpr32-antibody-ab61429

0

(0 reviews)

Please note: All products are 'FOR RESEARCH USE ONLY. NOT FOR USE IN DIAGNOSTIC OR THERAPEUTIC PROCEDURES'.

For licensing inquiries, please contact partnerships@abcam.com