JavaScript is disabled in your browser. Please enable JavaScript to view this website.
AB188949

Anti-GPCR GPR35 antibody - Cytoplasmic domain

Be the first to review this product! Submit a review

|

(2 Publications)

Rabbit Polyclonal GPCR GPR35 antibody. Cytoplasmic domain. Suitable for IHC-P and reacts with Human samples. Cited in 2 publications. Immunogen corresponding to Synthetic Peptide within Human GPR35.

View Alternative Names

G-protein coupled receptor 35, Kynurenic acid receptor, KYNA receptor, GPR35

1 Images
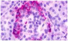
Immunohistochemistry (Formalin/PFA-fixed paraffin-embedded sections) - Anti-GPCR GPR35 antibody - Cytoplasmic domain (AB188949)
  • IHC-P

Supplier Data

Immunohistochemistry (Formalin/PFA-fixed paraffin-embedded sections) - Anti-GPCR GPR35 antibody - Cytoplasmic domain (AB188949)

Immunohistochemical analysis of formalin fixed, paraffin embedded human pancreas tissue labeling GPCR GPR35 using ab188949 at 9 μg/mL.

Key facts

Host species

Rabbit

Clonality

Polyclonal

Isotype

IgG

Carrier free

No

Reacts with

Human

Applications

IHC-P

applications

Immunogen

Synthetic Peptide within Human GPR35. The exact immunogen used to generate this antibody is proprietary information.

Q9HC97

Specificity

BLAST analysis of the peptide immunogen showed no homology with other human proteins.

Reactivity data

{ "title": "Reactivity Data", "filters": { "stats": ["", "Species", "Dilution Info", "Notes"], "tabs": { "all-applications": {"fullname" : "All Applications", "shortname": "All Applications"}, "IHCP" : {"fullname" : "Immunohistochemistry (Formalin/PFA-fixed paraffin-embedded sections)", "shortname":"IHC-P"} }, "product-promise": { "all": "all", "testedAndGuaranteed": "tested", "guaranteed": "expected", "predicted": "predicted", "notRecommended": "not-recommended" } }, "values": { "Human": { "IHCP-species-checked": "testedAndGuaranteed", "IHCP-species-dilution-info": "5-9 µg/mL", "IHCP-species-notes": "<p></p> Perform heat-mediated antigen retrieval before commencing with IHC staining protocol." }, "Common marmoset": { "IHCP-species-checked": "predicted", "IHCP-species-dilution-info": "", "IHCP-species-notes": "" }, "Gorilla": { "IHCP-species-checked": "predicted", "IHCP-species-dilution-info": "", "IHCP-species-notes": "" } } }

Properties and storage information

Form
Liquid
Purification technique
Affinity purification Immunogen
Storage buffer
pH: 7.4 Preservative: 0.1% Sodium azide Constituents: 99% PBS
Shipped at conditions
Blue Ice
Appropriate short-term storage duration
1-2 weeks
Appropriate short-term storage conditions
+4°C
Appropriate long-term storage conditions
-20°C
Aliquoting information
Upon delivery aliquot
Storage information
Avoid freeze / thaw cycle

Supplementary information

This supplementary information is collated from multiple sources and compiled automatically.

GPR35 also known as G protein-coupled receptor 35 is a membrane-bound protein with a mass of approximately 35 kDa. It belongs to the GPCR family which is involved in transducing extracellular signals into cellular responses. This receptor is expressed in various tissues including the gastrointestinal tract immune system and certain regions of the central nervous system. Its structure typically features the characteristic seven-transmembrane domain configuration typical of GPCRs with complex cytoplasmic regions or domains vital for signal transduction.
Biological function summary

GPR35 influences several cellular responses and plays a role in regulating immune and inflammatory processes. It often functions in conjunction with other proteins as part of larger receptor complexes that modulate physiological reactions. In immune cells particularly leukocytes it contributes to cytokine release and cellular migration. In the gastrointestinal system GPR35 impacts intestinal homeostasis and barrier integrity highlighting its importance in maintaining normal physiological function.

Pathways

GPR35 participates in key signaling pathways including the G protein and beta-arrestin pathways. These pathways are integral to signal transduction mechanisms which influence cellular responses. GPR35 signaling pathway links it with proteins such as G proteins and beta-arrestins which facilitate diverse intracellular signaling cascades. These interactions orchestrate responses to various physiological and pathological stimuli by modulating downstream signaling networks.

GPR35 has been implicated in inflammatory bowel diseases and certain metabolic disorders. Evidence suggests its involvement in conditions such as ulcerative colitis where dysregulation of immune responses is pivotal. The receptor's interaction with proteins such as beta-arrestins in these contexts can exacerbate or ameliorate pathological states linking GPR35 to therapeutic strategies targeting inflammation. Another disease associated with GPR35 is diabetes where its modulation of metabolic pathways might influence disease progression.

Product protocols

For this product, it's our understanding that no specific protocols are required. You can visit:

Target data

G-protein coupled receptor that binds to several ligands including the tryptophan metabolite kynurenic acid (KYNA), lysophosphatidic acid (LPA) or 5-hydroxyindoleacetic acid (5-HIAA) with high affinity, leading to rapid and transient activation of numerous intracellular signaling pathways (PubMed : 16754668, PubMed : 20361937, PubMed : 35148838). Plays a role in neutrophil recruitment to sites of inflammation and bacterial clearance through the major serotonin metabolite 5-HIAA that acts as a physiological ligand (PubMed : 35148838). Stimulates lipid metabolism, thermogenic, and anti-inflammatory gene expression in adipose tissue once activated by kynurenic acid (By similarity). In macrophages, activation by lysophosphatidic acid promotes GPR35-induced signaling with a distinct transcriptional profile characterized by TNF production associated with ERK and NF-kappa-B activation. In turn, induces chemotaxis of macrophages (By similarity).
See full target information GPR35

Publications (2)

Recent publications for all applications. Explore the full list and refine your search

Tumour biology : the journal of the International Society for Oncodevelopmental Biology and Medicine 41:1010428319858885 PubMed31250711

2019

Utility of G protein-coupled receptor 35 expression for predicting outcome in colon cancer.

Applications

Unspecified application

Species

Unspecified reactive species

Haytham Ali,Manar AbdelMageed,Lina Olsson,Anne Israelsson,Gudrun Lindmark,Marie-Louise Hammarström,Sten Hammarström,Basel Sitohy

Scientific reports 7:692 PubMed28386128

2017

G-protein coupled receptor 15 mediates angiogenesis and cytoprotective function of thrombomodulin.

Applications

Unspecified application

Species

Unspecified reactive species

Bin Pan,Xiangmin Wang,Chie Nishioka,Goichi Honda,Akihito Yokoyama,Lingyu Zeng,Kailin Xu,Takayuki Ikezoe
View all publications

Product promise

We are committed to supporting your work with high-quality reagents, and we're here for you every step of the way. In the unlikely event that one of our products does not perform as expected, you're protected by our Product Promise.
For full details, please see our Terms & Conditions

Please note: All products are 'FOR RESEARCH USE ONLY. NOT FOR USE IN DIAGNOSTIC OR THERAPEUTIC PROCEDURES'.

For licensing inquiries, please contact partnerships@abcam.com