JavaScript is disabled in your browser. Please enable JavaScript to view this website.
AB307363

Anti-GPCR GPR4 antibody [EPR27342-7]

Be the first to review this product! Submit a review

|

(0 Publication)

Rabbit Recombinant Monoclonal GPCR GPR4 antibody. Suitable for IHC-P and reacts with Human samples.

View Alternative Names

G-protein coupled receptor 4, G-protein coupled receptor 6C.l, GPR6C.l, GPR4

2 Images
Immunohistochemistry (Formalin/PFA-fixed paraffin-embedded sections) - Anti-GPCR GPR4 antibody [EPR27342-7] (AB307363)
  • IHC-P

Supplier Data

Immunohistochemistry (Formalin/PFA-fixed paraffin-embedded sections) - Anti-GPCR GPR4 antibody [EPR27342-7] (AB307363)

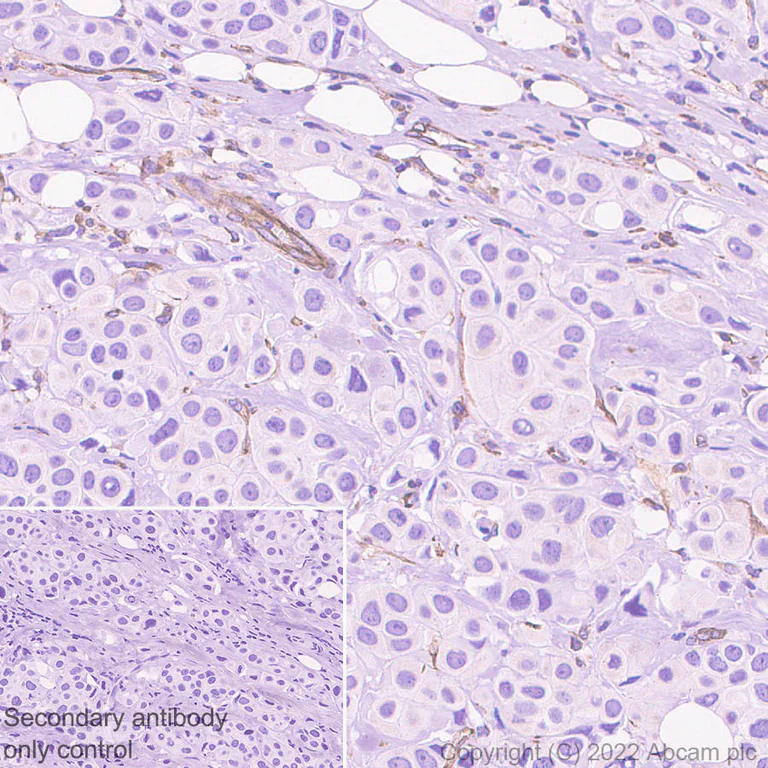
Immunohistochemical analysis of paraffin-embedded Human breast carcino tissue lABeling GPCR GPR4 with ab307363 at 1/1000 (0.491 ug/ml) followed by a ready to use Goat Anti-RABbit IgG H&L (HRP polymer). Positive staining on endothelial cells of human breast carcinoma. The section was incubated with ab307363 at 4°C overnight. Counterstained with Hematoxylin. Secondary antibody only control : Secondary antibody is a ready to use Goat Anti-RABbit IgG H&L (HRP polymer). Heat mediated antigen retrieval was performed using ab93684 (Tris/EDTA buffer, pH 9.0)

Immunohistochemistry (Formalin/PFA-fixed paraffin-embedded sections) - Anti-GPCR GPR4 antibody [EPR27342-7] (AB307363)
  • IHC-P

Supplier Data

Immunohistochemistry (Formalin/PFA-fixed paraffin-embedded sections) - Anti-GPCR GPR4 antibody [EPR27342-7] (AB307363)

Immunohistochemical analysis of paraffin-embedded Human placenta tissue lABeling GPCR GPR4 with ab307363 at 1/1000 (0.491 ug/ml) followed by a ready to use Goat Anti-RABbit IgG H&L (HRP polymer). Positive staining on endothelial cells of human placenta. The section was incubated with ab307363 at 4°C overnight. Counterstained with Hematoxylin. Secondary antibody only control : Secondary antibody is a ready to use Goat Anti-RABbit IgG H&L (HRP polymer). Heat mediated antigen retrieval was performed using ab93684 (Tris/EDTA buffer, pH 9.0)

  • Carrier free

    Anti-GPCR GPR4 antibody [EPR27342-7] - BSA and Azide free

Key facts

Host species

Rabbit

Clonality

Monoclonal

Clone number

EPR27342-7

Isotype

IgG

Carrier free

No

Reacts with

Human

Applications

IHC-P

applications

Immunogen

The exact immunogen used to generate this antibody is proprietary information.

Reactivity data

{ "title": "Reactivity Data", "filters": { "stats": ["", "Species", "Dilution Info", "Notes"], "tabs": { "all-applications": {"fullname" : "All Applications", "shortname": "All Applications"}, "IP" : {"fullname" : "Immunoprecipitation", "shortname":"IP"}, "FlowCytIntra" : {"fullname" : "Flow Cytometry (Intracellular)", "shortname":"Flow Cyt (Intra)"}, "IHCP" : {"fullname" : "Immunohistochemistry (Formalin/PFA-fixed paraffin-embedded sections)", "shortname":"IHC-P"}, "WB" : {"fullname" : "Western blot", "shortname":"WB"} }, "product-promise": { "all": "all", "testedAndGuaranteed": "tested", "guaranteed": "expected", "predicted": "predicted", "notRecommended": "not-recommended" } }, "values": { "Human": { "IP-species-checked": "notRecommended", "IP-species-dilution-info": "", "IP-species-notes": "<p></p>", "FlowCytIntra-species-checked": "notRecommended", "FlowCytIntra-species-dilution-info": "", "FlowCytIntra-species-notes": "<p></p>", "IHCP-species-checked": "testedAndGuaranteed", "IHCP-species-dilution-info": "1/1000", "IHCP-species-notes": "<p></p> Perform heat-mediated antigen retrieval with Tris/EDTA buffer pH 9.0 before commencing with IHC staining protocol.", "WB-species-checked": "notRecommended", "WB-species-dilution-info": "", "WB-species-notes": "<p></p>" }, "Mouse": { "IP-species-checked": "notRecommended", "IP-species-dilution-info": "", "IP-species-notes": "", "FlowCytIntra-species-checked": "notRecommended", "FlowCytIntra-species-dilution-info": "", "FlowCytIntra-species-notes": "", "IHCP-species-checked": "notRecommended", "IHCP-species-dilution-info": "1/1000", "IHCP-species-notes": "<p></p> Perform heat-mediated antigen retrieval with Tris/EDTA buffer pH 9.0 before commencing with IHC staining protocol.", "WB-species-checked": "notRecommended", "WB-species-dilution-info": "", "WB-species-notes": "<p></p>" }, "Rat": { "IP-species-checked": "notRecommended", "IP-species-dilution-info": "", "IP-species-notes": "", "FlowCytIntra-species-checked": "notRecommended", "FlowCytIntra-species-dilution-info": "", "FlowCytIntra-species-notes": "", "IHCP-species-checked": "notRecommended", "IHCP-species-dilution-info": "1/1000", "IHCP-species-notes": "<p></p> Perform heat-mediated antigen retrieval with Tris/EDTA buffer pH 9.0 before commencing with IHC staining protocol.", "WB-species-checked": "notRecommended", "WB-species-dilution-info": "", "WB-species-notes": "<p></p>" } } }

Product details

Patented technology
Our RabMAb® technology is a patented hybridoma-based technology for making rabbit monoclonal antibodies. For details on our patents, please refer to RabMAb® patents.

What are the advantages of a recombinant monoclonal antibody?
This product is a recombinant monoclonal antibody, which offers several advantages including:

  • - High batch-to-batch consistency and reproducibility
  • - Improved sensitivity and specificity
  • - Long-term security of supply
  • - Animal-free batch production

For more information, read more on recombinant antibodies.

Properties and storage information

Form
Liquid
Purification technique
Affinity purification Protein A
Storage buffer
pH: 7.2 - 7.4 Preservative: 0.01% Sodium azide Constituents: PBS, 40% Glycerol (glycerin, glycerine), 0.05% BSA
Shipped at conditions
Blue Ice
Appropriate short-term storage duration
1-2 weeks
Appropriate short-term storage conditions
+4°C
Appropriate long-term storage conditions
-20°C
Aliquoting information
Upon delivery aliquot
Storage information
Avoid freeze / thaw cycle

Supplementary information

This supplementary information is collated from multiple sources and compiled automatically.

GPR4 also known as G protein-coupled receptor 4 is a member of the GPCR family and plays a critical role in physiological processes. It has an approximate molecular mass of 41 kDa and is expressed in various tissues including the lung heart kidney and pancreatic tissues. GPR4 functions as a proton-sensing receptor which allows it to detect and respond to changes in pH levels providing essential feedback for cellular homeostasis.
Biological function summary

The proton-sensing ability of GPR4 influences numerous cellular activities including angiogenesis inflammatory responses and cell proliferation. GPR4 does not form part of any well-known protein complex but it partners with several intracellular signaling molecules like G proteins which transduce the extracellular pH changes into intracellular signals. The receptor's activation leads to downstream effects that affect cell physiology and contribute to adaptation to microenvironmental changes.

Pathways

The function of GPR4 integrates into the acid-sensing signaling and inflammatory response pathways. In the acid-sensing signaling pathway GPR4 works closely with other proton-sensitive receptors to regulate vascular and renal functions adjusting cellular activities according to pH variations. Within the inflammatory response pathway GPR4 interacts with proteins involved in immune cell recruitment and activation linking changes in pH to immune modulation and inflammatory responses.

The activity of GPR4 has a significant connection to cancer and inflammatory diseases. The overexpression of GPR4 in certain tumors associates it with cancer progression where it influences tumor microenvironment acidification and consequent cell invasion and metastasis. In inflammatory diseases GPR4 modulates immune responses correlating with conditions like rheumatoid arthritis where it connects to other immune receptors and inflammatory mediators.

Product protocols

For this product, it's our understanding that no specific protocols are required. You can visit:

Target data

Proton-sensing G-protein coupled receptor couples to multiple intracellular signaling pathways, including GNAS/cAMP, GNAQ/phospholipase C (PLC), and GNA12/GNA13/Rho pathways (PubMed : 12955148, PubMed : 17462861, PubMed : 20211729, PubMed : 22110680). Acidosis-induced GPR4 activation increases paracellular gap formation and permeability of vascular endothelial cells through the GNA12/GNA13/Rho GTPase signaling pathway (PubMed : 32058960). In the brain may mediate central respiratory sensitivity to CO(2)H(+) (By similarity).
See full target information GPR4

Product promise

We are committed to supporting your work with high-quality reagents, and we're here for you every step of the way. In the unlikely event that one of our products does not perform as expected, you're protected by our Product Promise.
For full details, please see our Terms & Conditions

Please note: All products are 'FOR RESEARCH USE ONLY. NOT FOR USE IN DIAGNOSTIC OR THERAPEUTIC PROCEDURES'.

For licensing inquiries, please contact partnerships@abcam.com