JavaScript is disabled in your browser. Please enable JavaScript to view this website.
AB321790

Anti-GPCR GPR48/LGR4 antibody [EPR26351-175] - BSA and Azide free

Be the first to review this product! Submit a review

|

(0 Publication)

Rabbit Recombinant Monoclonal GPCR GPR48/LGR4 antibody. Carrier free. Suitable for WB and reacts with Recombinant fragment - Human, Human, Mouse samples.

View Alternative Names

GPR48, LGR4, Leucine-rich repeat-containing G-protein coupled receptor 4, G-protein coupled receptor 48

3 Images
Western blot - Anti-GPCR GPR48/LGR4 antibody [EPR26351-175] - BSA and Azide free (AB321790)
  • WB

Supplier Data

Western blot - Anti-GPCR GPR48/LGR4 antibody [EPR26351-175] - BSA and Azide free (AB321790)

This data was developed using ab321789, the same antibody clone in a different buffer formulation.

Blocking and diluting buffer and concentration : 5% NFDM/TBST.

This antibody is specific to GPCR GPR48/LGR4 and does not cross react with endogenous GPCR LGR6.

The expression profile/ molecular weight observed is consistent with what has been described in the literature (PMID : 24205130, PMID : 11401528).

Samples are non-boiled as boiling may cause protein aggregation.

This blot was developed using a high sensitivity ECL substrate.

The high-sensitivity ECL substrate allows for the detection of proteins in the mid-femtogram range.

In Western blot, Anti-GAPDH antibody [EPR16891] - Loading Control (ab181602) staining at 1/200000 dilution.

All lanes:

Western blot - Anti-GPCR GPR48/LGR4 antibody [EPR26351-175] (<a href='/en-us/products/primary-antibodies/gpcr-gpr48-lgr4-antibody-epr26351-175-ab321789'>ab321789</a>) at 1/1000 dilution

Lane 1:

A549 (human lung carcinoma epithelial cell) transfected with scrambled siRNA control whole cell lysate at 40 µg

Lane 2:

A549 transfected with siRNA specifically targeting GPCR GPR48/LGR4 whole cell lysate at 40 µg

Secondary

All lanes:

Western blot - Goat Anti-Rabbit IgG H&L (HRP) (<a href='/en-us/products/secondary-antibodies/goat-rabbit-igg-h-l-hrp-ab97051'>ab97051</a>) at 1/20000 dilution

Observed band size: 110-120 kDa,36 kDa,104 kDa

true

Exposure time: 180s

Western blot - Anti-GPCR GPR48/LGR4 antibody [EPR26351-175] - BSA and Azide free (AB321790)
  • WB

Supplier Data

Western blot - Anti-GPCR GPR48/LGR4 antibody [EPR26351-175] - BSA and Azide free (AB321790)

This data was developed using ab321789, the same antibody clone in a different buffer formulation.

Blocking and diluting buffer and concentration : 5% NFDM/TBST.

GPCR GPR48/LGR4 is a glycoprotein of approximately 110-120 kDa and detected as a 100-kDa band after treated with Peptide : N-glycosidase F (PNGase F).

The expression profile/ molecular weight observed is consistent with what has been described in the literature (PMID : 24205130, PMID : 11401528).

Samples are non-boiled as boiling may cause protein aggregation.

In Western blot, Anti-GAPDH antibody [EPR16891] - Loading Control (ab181602) staining at 1/200000 dilution.

All lanes:

Western blot - Anti-GPCR GPR48/LGR4 antibody [EPR26351-175] (<a href='/en-us/products/primary-antibodies/gpcr-gpr48-lgr4-antibody-epr26351-175-ab321789'>ab321789</a>) at 1/1000 dilution

Lane 1:

NIH:OVCAR-3 (human ovary adenocarcinoma epithelial cell) whole cell lysate at 50 µg

Lane 2:

Untreated A549 (human lung carcinoma epithelial cell) whole cell lysate at 50 µg

Lane 3:

A549 treated with Peptide:N-glycosidase F (PNGase F) whole cell lysate at 50 µg

Secondary

All lanes:

Western blot - Goat Anti-Rabbit IgG H&L (HRP) (<a href='/en-us/products/secondary-antibodies/goat-rabbit-igg-h-l-hrp-ab97051'>ab97051</a>) at 1/20000 dilution

Observed band size: 110-120 kDa,36 kDa,100 kDa

false

Exposure time: 180s

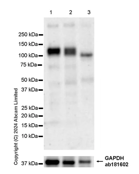
Western blot - Anti-GPCR GPR48/LGR4 antibody [EPR26351-175] - BSA and Azide free (AB321790)
  • WB

Supplier Data

Western blot - Anti-GPCR GPR48/LGR4 antibody [EPR26351-175] - BSA and Azide free (AB321790)

This data was developed using ab321789, the same antibody clone in a different buffer formulation.

Blocking and diluting buffer and concentration : 5% NFDM/TBST.

This antibody does not cross-react with human GPCR LGR5.

Samples are non-boiled as boiling may cause protein aggregation.

All lanes:

Western blot - Anti-GPCR GPR48/LGR4 antibody [EPR26351-175] (<a href='/en-us/products/primary-antibodies/gpcr-gpr48-lgr4-antibody-epr26351-175-ab321789'>ab321789</a>) at 1/1000 dilution

Lane 1:

His-tagged human GPCR GPR48/LGR4 fragment at 10 ng

Lane 2:

Human GPCR LGR5 fragment at 10 ng

Secondary

All lanes:

Western blot - Goat Anti-Rabbit IgG H&L (HRP) (<a href='/en-us/products/secondary-antibodies/goat-rabbit-igg-h-l-hrp-ab97051'>ab97051</a>) at 1/100000 dilution

Observed band size: 60 kDa,300 kDa

false

Exposure time: 15s

Key facts

Host species

Rabbit

Clonality

Monoclonal

Clone number

EPR26351-175

Isotype

IgG

Carrier free

Yes

Reacts with

Human, Mouse

Applications

WB

applications

Immunogen

The exact immunogen used to generate this antibody is proprietary information.

Reactivity data

{ "title": "Reactivity Data", "filters": { "stats": ["", "Species", "Dilution Info", "Notes"], "tabs": { "all-applications": {"fullname" : "All Applications", "shortname": "All Applications"}, "WB" : {"fullname" : "Western blot", "shortname":"WB"}, "IHCP" : {"fullname" : "Immunohistochemistry (Formalin/PFA-fixed paraffin-embedded sections)", "shortname":"IHC-P"} }, "product-promise": { "all": "all", "testedAndGuaranteed": "tested", "guaranteed": "expected", "predicted": "predicted", "notRecommended": "not-recommended" } }, "values": { "Human": { "WB-species-checked": "testedAndGuaranteed", "WB-species-dilution-info": "", "WB-species-notes": "<p></p>", "IHCP-species-checked": "notRecommended", "IHCP-species-dilution-info": "", "IHCP-species-notes": "<p></p>" }, "Mouse": { "WB-species-checked": "testedAndGuaranteed", "WB-species-dilution-info": "", "WB-species-notes": "<p></p>", "IHCP-species-checked": "notRecommended", "IHCP-species-dilution-info": "", "IHCP-species-notes": "<p></p>" }, "Rat": { "WB-species-checked": "notRecommended", "WB-species-dilution-info": "", "WB-species-notes": "", "IHCP-species-checked": "notRecommended", "IHCP-species-dilution-info": "", "IHCP-species-notes": "<p></p>" }, "Recombinant fragment - Human": { "WB-species-checked": "testedAndGuaranteed", "WB-species-dilution-info": "", "WB-species-notes": "<p></p>", "IHCP-species-checked": "notRecommended", "IHCP-species-dilution-info": "", "IHCP-species-notes": "" } } }

Product details

ab321790 is the carrier-free version of ab321789.

Patented technology
Our RabMAb® technology is a patented hybridoma-based technology for making rabbit monoclonal antibodies. For details on our patents, please refer to RabMAb® patents.

What are the advantages of a recombinant monoclonal antibody?
This product is a recombinant monoclonal antibody, which offers several advantages including:

  • - High batch-to-batch consistency and reproducibility
  • - Improved sensitivity and specificity
  • - Long-term security of supply
  • - Animal-free batch production

For more information, read more on recombinant antibodies.

Conjugation ready
Our carrier-free antibodies are typically supplied in a PBS-only formulation, purified and free of BSA, sodium azide and glycerol. This conjugation-ready format is designed for use with fluorochromes, metal isotopes, oligonucleotides, and enzymes, which makes them ideal for antibody labelling, functional and cell-based assays, flow-based assays (e.g. mass cytometry) and Multiplex Imaging applications.

Use our conjugation kits for antibody conjugates that are ready-to-use in as little as 20 minutes with 1 minute hands-on-time and 100% antibody recovery: available for fluorescent dyes, HRP, biotin and gold.

Compatibility
This product is compatible with the Maxpar® Antibody Labeling Kit from Fluidigm, without the need for antibody preparation. Maxpar® is a trademark of Fluidigm Canada Inc.

Properties and storage information

Form
Liquid
Purification technique
Affinity purification Protein A
Storage buffer
pH: 7.2 - 7.4 Constituents: 100% PBS
Shipped at conditions
Blue Ice
Appropriate short-term storage conditions
+4°C
Appropriate long-term storage conditions
+4°C

Supplementary information

This supplementary information is collated from multiple sources and compiled automatically.

GPR48 also known as LGR4 is a member of the G protein-coupled receptor (GPCR) family. This receptor has a known molecular mass of approximately 105 kDa. It is expressed in various tissues including the liver kidneys intestines and reproductive organs. LGR4 is part of the large family of leucine-rich repeat-containing GPCRs and functions through the activation of distinct downstream signaling pathways which eventually lead to cellular responses important for physiological processes.
Biological function summary

The receptor engages in a wide range of functions through its interactions with specific ligands influencing cell proliferation differentiation and survival. LGR4 does not act alone but forms complexes with other receptors or signaling molecules to perform specific activities. It significantly impacts the development of the reproductive system and plays a role in bone formation and remodeling. The receptor contributes to cellular signaling that drives essential biological processes by modulating the activity of various downstream components.

Pathways

The LGR4 receptor is actively involved in the Wnt signaling pathway and RANKL pathway both essential pathways for development and tissue homeostasis. Within the Wnt signaling pathway LGR4 interacts with proteins like LRP6 and Frizzled receptors to regulate gene expression and cellular proliferation. In the RANKL pathway it orchestrates osteoclast differentiation which is important for bone metabolism. The receptor's ability to modulate these pathways highlights its intricate role in maintaining cellular and structural integrity in the body.

Aberrations in LGR4 signaling have associations with various conditions such as osteoporosis and cancer. In osteoporosis disrupted signaling affects bone density and strength leading to increased fracture risk. In cancers altered LGR4 function or expression can contribute to tumorigenesis impacting cancer progression and metastasis. The receptor can relate to proteins such as RANK and RANKL in bone diseases and interacts with other signaling molecules to affect cancer pathways suggesting its potential as a therapeutic target in these disorders.

Product protocols

For this product, it's our understanding that no specific protocols are required. You can visit:

Target data

Receptor for R-spondins that potentiates the canonical Wnt signaling pathway and is involved in the formation of various organs. Upon binding to R-spondins (RSPO1, RSPO2, RSPO3 or RSPO4), associates with phosphorylated LRP6 and frizzled receptors that are activated by extracellular Wnt receptors, triggering the canonical Wnt signaling pathway to increase expression of target genes. In contrast to classical G-protein coupled receptors, does not activate heterotrimeric G-proteins to transduce the signal. Its function as activator of the Wnt signaling pathway is required for the development of various organs, including liver, kidney, intestine, bone, reproductive tract and eye. May also act as a receptor for norrin (NDP), such results however require additional confirmation in vivo. Required during spermatogenesis to activate the Wnt signaling pathway in peritubular myoid cells. Required for the maintenance of intestinal stem cells and Paneth cell differentiation in postnatal intestinal crypts. Acts as a regulator of bone formation and remodeling. Involved in kidney development; required for maintaining the ureteric bud in an undifferentiated state. Involved in the development of the anterior segment of the eye. Required during erythropoiesis. Also acts as a negative regulator of innate immunity by inhibiting TLR2/TLR4 associated pattern-recognition and pro-inflammatory cytokine production. Plays an important role in regulating the circadian rhythms of plasma lipids, partially through regulating the rhythmic expression of MTTP (By similarity). Required for proper development of GnRH neurons (gonadotropin-releasing hormone expressing neurons) that control the release of reproductive hormones from the pituitary gland (By similarity).
See full target information LGR4

Product promise

We are committed to supporting your work with high-quality reagents, and we're here for you every step of the way. In the unlikely event that one of our products does not perform as expected, you're protected by our Product Promise.
For full details, please see our Terms & Conditions

Please note: All products are 'FOR RESEARCH USE ONLY. NOT FOR USE IN DIAGNOSTIC OR THERAPEUTIC PROCEDURES'.

For licensing inquiries, please contact partnerships@abcam.com