JavaScript is disabled in your browser. Please enable JavaScript to view this website.
AB174700

Anti-GPCR GPR55 antibody - C-terminal

4

(1 Review)

|

(2 Publications)

Rabbit Polyclonal GPCR GPR55 antibody. C-terminal. Suitable for IHC-P and reacts with Human samples. Cited in 2 publications. Immunogen corresponding to Synthetic Peptide within Human GPR55 aa 200 to C-terminus.

View Alternative Names

G-protein coupled receptor 55, GPR55

1 Images
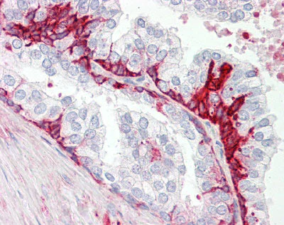
Immunohistochemistry (Formalin/PFA-fixed paraffin-embedded sections) - Anti-GPCR GPR55 antibody - C-terminal (AB174700)
  • IHC-P

Supplier Data

Immunohistochemistry (Formalin/PFA-fixed paraffin-embedded sections) - Anti-GPCR GPR55 antibody - C-terminal (AB174700)

Immunohistochemical analysis of formalin fixed, paraffin-embedded Human prostate tissue, labeling GPCR GPR55 with ab174700 at 10 μg/ml.

Key facts

Host species

Rabbit

Clonality

Polyclonal

Isotype

IgG

Carrier free

No

Reacts with

Human

Applications

IHC-P

applications

Immunogen

Synthetic Peptide within Human GPR55 aa 200 to C-terminus. The exact immunogen used to generate this antibody is proprietary information.

Q9Y2T6

Reactivity data

{ "title": "Reactivity Data", "filters": { "stats": ["", "Species", "Dilution Info", "Notes"], "tabs": { "all-applications": {"fullname" : "All Applications", "shortname": "All Applications"}, "IHCP" : {"fullname" : "Immunohistochemistry (Formalin/PFA-fixed paraffin-embedded sections)", "shortname":"IHC-P"} }, "product-promise": { "all": "all", "testedAndGuaranteed": "tested", "guaranteed": "expected", "predicted": "predicted", "notRecommended": "not-recommended" } }, "values": { "Human": { "IHCP-species-checked": "testedAndGuaranteed", "IHCP-species-dilution-info": "10 µg/mL", "IHCP-species-notes": "<p></p>" } } }

Properties and storage information

Form
Liquid
Purification technique
Affinity purification Immunogen
Storage buffer
pH: 7 Preservative: 0.01% Thimerosal (merthiolate) Constituents: PBS, 50% Glycerol (glycerin, glycerine)
Shipped at conditions
Blue Ice
Appropriate short-term storage duration
1-2 weeks
Appropriate short-term storage conditions
+4°C
Appropriate long-term storage conditions
-20°C
Aliquoting information
Upon delivery aliquot
Storage information
Avoid freeze / thaw cycle

Supplementary information

This supplementary information is collated from multiple sources and compiled automatically.

The GPR55 receptor also known as G protein-coupled receptor 55 or GPR-55 is a member of the G-protein-coupled receptor (GPCR) family. GPR55 is involved mechanically in cell signaling by interacting with ligands to activate intracellular signal transduction pathways. It has a molecular mass of approximately 37 kDa. This receptor is widely distributed in tissues including the brain spleen and gastrointestinal tract which supports its involvement in various physiological processes.
Biological function summary

GPR55 influences numerous functions such as modulation of neurotransmitter release and immune responses. Although not part of a larger receptor complex it acts independently as a signaling entity. GPR55 is involved in the regulation of blood pressure potentially influencing cardiovascular health. Its expression and activity in the central nervous system suggest roles in nervous system signaling and regulation.

Pathways

GPR55 integrates into the cannabinoid signaling pathway and can impact phosphatidylinositol-45-bisphosphate 3-kinase (PI3K) pathway. GPR55 interacts closely with other cannabinoid receptors like CB1 and CB2 although they functionally differ. This receptor's involvement provides flexibility in the signaling networks important for maintaining homeostasis and cellular responses to external stimuli.

GPR55 has associations with cancer and inflammation. Its signaling interference may contribute to tumor growth and could alter inflammatory responses. The receptor shares pathogenetic pathways with proteins such as CB1 and PI3K both of which influence oncogenic and inflammatory mechanisms. Understanding these interactions is essential for targeting GPR55 in therapeutic development for related diseases.

Product protocols

For this product, it's our understanding that no specific protocols are required. You can visit:

Target data

G-protein coupled receptor that binds to several ligands including 2-arachidonoyl lysophosphatidylinositol or lysophosphatidylglucoside with high affinity, leading to rapid and transient activation of numerous intracellular signaling pathways (PubMed : 36142844, PubMed : 36523570, PubMed : 37544935). Induces the Ca(2+) release from intracellular stores via ERK, the heterotrimeric G protein GNA13 and RHOA leading to morphological changes including cell rounding and stress fiber formation (PubMed : 36142844). In macrophages, acts downstream of lysophosphatidylglucoside to inhibit the translocation of the phospholipid-transporting ABCA1 to plasma membrane and subsequent cholesterol efflux leading to lipid accumulation and foam cell formation (PubMed : 37544935).
See full target information GPR55

Publications (2)

Recent publications for all applications. Explore the full list and refine your search

International journal of molecular sciences 26: PubMed40565152

2025

Evaluating the Antitumor Potential of Cannabichromene, Cannabigerol, and Related Compounds from and Against Malignant Glioma: An In Silico to In Vitro Approach.

Applications

Unspecified application

Species

Unspecified reactive species

Andrés David Turizo Smith,Nicolás Montoya Moreno,Josefa Antonia Rodríguez-García,Juan Camilo Marín-Loaiza,Gonzalo Arboleda Bustos

Oncology research 33:443-464 PubMed39866225

2025

EMP2 promotes hepatocellular carcinoma proliferation and invasion by activating cellular autophagy.

Applications

Unspecified application

Species

Unspecified reactive species

Haiying Pang,Fengbo Wu,Y U Zhang,Nan Zhang,Chunting Wang,Qiu Li,G U He,Peng Zhang
View all publications

Product promise

We are committed to supporting your work with high-quality reagents, and we're here for you every step of the way. In the unlikely event that one of our products does not perform as expected, you're protected by our Product Promise.
For full details, please see our Terms & Conditions

Please note: All products are 'FOR RESEARCH USE ONLY. NOT FOR USE IN DIAGNOSTIC OR THERAPEUTIC PROCEDURES'.

For licensing inquiries, please contact partnerships@abcam.com