JavaScript is disabled in your browser. Please enable JavaScript to view this website.
AB140783

Anti-GPCR GPR85 antibody - Extracellular domain

Be the first to review this product! Submit a review

|

(1 Publication)

Rabbit Polyclonal GPCR GPR85 antibody. Suitable for IHC-P and reacts with Human samples. Cited in 1 publication. Immunogen corresponding to Synthetic Peptide within Human GPR85.

View Alternative Names

SREB2, GPR85, Probable G-protein coupled receptor 85, Super conserved receptor expressed in brain 2

1 Images
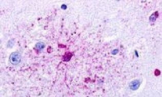
Immunohistochemistry (Formalin/PFA-fixed paraffin-embedded sections) - Anti-GPCR GPR85 antibody - Extracellular domain (AB140783)
  • IHC-P

Unknown

Immunohistochemistry (Formalin/PFA-fixed paraffin-embedded sections) - Anti-GPCR GPR85 antibody - Extracellular domain (AB140783)

Immunohistochemical analysis of formalin fixed, paraffin embedded Human brain tissue (neuron of putamen area) labelling GPCR GPR85 with ab140783 at 5.5 µg/ml.

Key facts

Host species

Rabbit

Clonality

Polyclonal

Isotype

IgG

Carrier free

No

Reacts with

Human

Applications

IHC-P

applications

Immunogen

Synthetic Peptide within Human GPR85. The exact immunogen used to generate this antibody is proprietary information.

P60893

Specificity

BLAST analysis of the peptide immunogen showed no homology with other Human proteins.

Reactivity data

{ "title": "Reactivity Data", "filters": { "stats": ["", "Species", "Dilution Info", "Notes"], "tabs": { "all-applications": {"fullname" : "All Applications", "shortname": "All Applications"}, "IHCP" : {"fullname" : "Immunohistochemistry (Formalin/PFA-fixed paraffin-embedded sections)", "shortname":"IHC-P"} }, "product-promise": { "all": "all", "testedAndGuaranteed": "tested", "guaranteed": "expected", "predicted": "predicted", "notRecommended": "not-recommended" } }, "values": { "Human": { "IHCP-species-checked": "testedAndGuaranteed", "IHCP-species-dilution-info": "5.5 µg/mL", "IHCP-species-notes": "<p></p> Perform heat-mediated antigen retrieval before commencing with IHC staining protocol." }, "Mouse": { "IHCP-species-checked": "predicted", "IHCP-species-dilution-info": "", "IHCP-species-notes": "" }, "Rat": { "IHCP-species-checked": "predicted", "IHCP-species-dilution-info": "", "IHCP-species-notes": "" }, "Chicken": { "IHCP-species-checked": "predicted", "IHCP-species-dilution-info": "", "IHCP-species-notes": "" }, "Lizard": { "IHCP-species-checked": "predicted", "IHCP-species-dilution-info": "", "IHCP-species-notes": "" }, "Orangutan": { "IHCP-species-checked": "predicted", "IHCP-species-dilution-info": "", "IHCP-species-notes": "" }, "Pufferfish": { "IHCP-species-checked": "predicted", "IHCP-species-dilution-info": "", "IHCP-species-notes": "" }, "Turkey": { "IHCP-species-checked": "predicted", "IHCP-species-dilution-info": "", "IHCP-species-notes": "" }, "Zebrafish": { "IHCP-species-checked": "predicted", "IHCP-species-dilution-info": "", "IHCP-species-notes": "" } } }

Properties and storage information

Form
Liquid
Purification technique
Affinity purification Immunogen
Storage buffer
pH: 7.4 Preservative: 0.1% Sodium azide Constituents: PBS
Shipped at conditions
Blue Ice
Appropriate short-term storage conditions
+4°C
Appropriate long-term storage conditions
-20°C

Supplementary information

This supplementary information is collated from multiple sources and compiled automatically.

The GPCR GPR85 also known as Super Conserved Receptor Expressed in the Brain 2 (SREB2) is a G-protein coupled receptor. It weighs approximately 43 kilodaltons. GPR85 is mostly expressed in the central nervous system especially in areas such as the cerebral cortex and hippocampus. The structure of GPCRs including GPR85 enables these receptors to extend across the cell membrane seven times which allows them to transmit signals from extracellular space into the cell.
Biological function summary

GPR85 plays a role in modulating neuronal signal transduction. It is part of the family of GPCRs that connects external signal molecules to internal cellular responses. Though GPR85 does not form multi-protein complexes often it influences neuronal functions and developmental processes. Its signaling can affect neurotransmitter release impacting brain function and neural connectivity.

Pathways

Researchers place GPR85 in pathways related to neurodevelopment and synaptic transmission. GPR85 involves itself in the GPCR signaling pathway and neuroactive ligand-receptor interaction path. It relates to proteins like GPR84 and other GPCRs sharing signaling mechanisms that influence brain physiology. GPR85 can carry out vital functions that connect extracellular signals with intracellular activities important for neuronal health.

Scientists associate GPR85 with schizophrenia and cognitive disorders. Alterations in GPR85 expression or function may contribute to these conditions potentially disrupting normal neural signaling and connectivity. GPR85 might interact with proteins such as GPR88 which are also involved in cognitive functions suggesting a complex network of GPCRs in maintaining proper mental health. Understanding these interactions helps in developing therapeutic approaches for brain-related disorders.

Product protocols

For this product, it's our understanding that no specific protocols are required. You can visit:

Target data

Orphan receptor.
See full target information GPR85

Publications (1)

Recent publications for all applications. Explore the full list and refine your search

The Journal of clinical investigation 128:5235-5250 PubMed30204129

2018

HIC1 deletion promotes breast cancer progression by activating tumor cell/fibroblast crosstalk.

Applications

Unspecified application

Species

Unspecified reactive species

Yingying Wang,Xiaoling Weng,Luoyang Wang,Mingang Hao,Yue Li,Lidan Hou,Yu Liang,Tianqi Wu,Mengfei Yao,Guowen Lin,Yiwei Jiang,Guohui Fu,Zhaoyuan Hou,Xiangjun Meng,Jinsong Lu,Jianhua Wang
View all publications

Product promise

We are committed to supporting your work with high-quality reagents, and we're here for you every step of the way. In the unlikely event that one of our products does not perform as expected, you're protected by our Product Promise.
For full details, please see our Terms & Conditions

Please note: All products are 'FOR RESEARCH USE ONLY. NOT FOR USE IN DIAGNOSTIC OR THERAPEUTIC PROCEDURES'.

For licensing inquiries, please contact partnerships@abcam.com