JavaScript is disabled in your browser. Please enable JavaScript to view this website.
AB325346

Anti-GPCR GPR97 antibody [RM2090]

  • RabMAb
  • Recombinant
  • 20ul selling size
  • Advanced Validation
  • What is this?

Be the first to review this product! Submit a review

|

(0 Publication)

Rabbit Recombinant Multiclonal AGRG3 antibody. Suitable for Flow Cyt, WB, IHC-P, mIHC, IP and reacts with Transfected cell line - Mouse, Mouse samples.

View Alternative Names

Gpr97, Adhesion G protein-coupled receptor G3, G-protein coupled receptor 97

11 Images
Flow Cytometry - Anti-GPCR GPR97 antibody [RM2090] (AB325346)
  • Flow Cyt

Lab

Flow Cytometry - Anti-GPCR GPR97 antibody [RM2090] (AB325346)

Flow cytometric analysis of Mouse Blood cells labelling with ab325346 at 1/50 dilution (1ug) / Right compared with a Rabbit monoclonal IgG (ab172730) / Left isotype control and an unlabelled control (cells without incubation with primary antibody and secondary antibody).

Goat anti-Rabbit IgG (Alexa Fluor® 647, ab150083) at 1/5000 dilution was used as the secondary antibody.

Gated on viable cells. Cells were co-stained with anti mouse CD11b conjugated to Brilliant Violet 421.

Immunohistochemistry (Formalin/PFA-fixed paraffin-embedded sections) - Anti-GPCR GPR97 antibody [RM2090] (AB325346)
  • IHC-P

Lab

Immunohistochemistry (Formalin/PFA-fixed paraffin-embedded sections) - Anti-GPCR GPR97 antibody [RM2090] (AB325346)

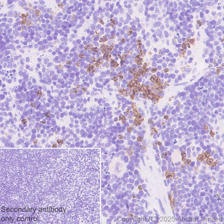
Immunohistochemical analysis of paraffin-embedded Mouse bone marrow tissue labeling with ab325346 at 1/2000 (0.249 µg/ml) dilution, followed by a ready to use LeicaDS9800 (Bond™ Polymer Refine Detection) .

Positive staining on mouse bone marrow ( (PMID : 24113187).

The primary antibody was incubated for 30 mins at room temperature.

The immunostaining was performed on a Leica Biosystems BOND® RX instrument

Slides were incubated with 3% Hydrogen Peroxide for 10 mins at room temperature after secondary antibody incubation to reduce the background

Counterstained with Hematoxylin.

Secondary antibody only control : Secondary antibody is a ready to use LeicaDS9800 (Bond™ Polymer Refine Detection) .

Heat mediated antigen retrieval was performed with citrate buffer (pH 9.0, epitope retrieval solution 2) for 20 mins

Immunohistochemistry (Formalin/PFA-fixed paraffin-embedded sections) - Anti-GPCR GPR97 antibody [RM2090] (AB325346)
  • IHC-P

Lab

Immunohistochemistry (Formalin/PFA-fixed paraffin-embedded sections) - Anti-GPCR GPR97 antibody [RM2090] (AB325346)

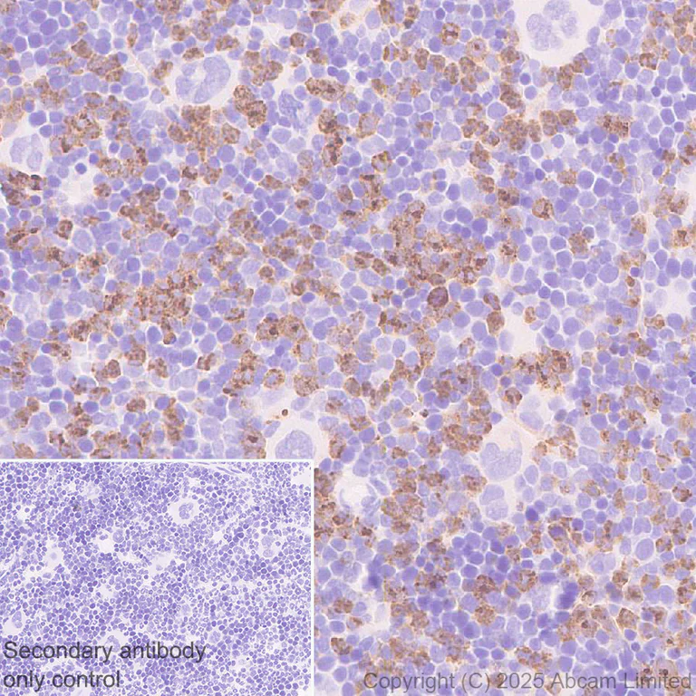
Immunohistochemical analysis of paraffin-embedded Mouse spleen tissue labeling with ab325346 at 1/2000 (0.249 µg/ml) dilution, followed by a ready to use LeicaDS9800 (Bond™ Polymer Refine Detection) .

Positive staining on mouse spleen ( (PMID : 24113187).

The primary antibody was incubated for 30 mins at room temperature.

The immunostaining was performed on a Leica Biosystems BOND® RX instrument

Slides were incubated with 3% Hydrogen Peroxide for 10 mins at room temperature after secondary antibody incubation to reduce the background

Counterstained with Hematoxylin.

Secondary antibody only control : Secondary antibody is a ready to use LeicaDS9800 (Bond™ Polymer Refine Detection) .

Heat mediated antigen retrieval was performed with citrate buffer (pH 9.0, epitope retrieval solution 2) for 20 mins

Flow Cytometry - Anti-GPCR GPR97 antibody [RM2090] (AB325346)
  • Flow Cyt

Lab

Flow Cytometry - Anti-GPCR GPR97 antibody [RM2090] (AB325346)

Flow cytometric analysis of Mouse Blood cells labelling with ab325346 at 1/50 dilution (1ug) / Right compared with a Rabbit monoclonal IgG (ab172730) / Left isotype control and an unlabelled control (cells without incubation with primary antibody and secondary antibody).

Goat anti-Rabbit IgG (Alexa Fluor® 647, ab150083) at 1/5000 dilution was used as the secondary antibody.

Gated on viable cells. Cells were co-stained with anti mouse CD4 conjugated to Alexa Fluor®488.

Flow Cytometry - Anti-GPCR GPR97 antibody [RM2090] (AB325346)
  • Flow Cyt

Lab

Flow Cytometry - Anti-GPCR GPR97 antibody [RM2090] (AB325346)

Flow cytometric analysis of Mouse Blood cells labelling with ab325346 at 1/50 dilution (1ug) / Right compared with a Rabbit monoclonal IgG (ab172730) / Left isotype control and an unlabelled control (cells without incubation with primary antibody and secondary antibody).

Goat anti-Rabbit IgG (Alexa Fluor® 647, ab150083) at 1/5000 dilution was used as the secondary antibody.

Gated on viable cells. Cells were co-stained with anti mouse Gr-1 conjugated to Pacific Blue.

Multiplex immunohistochemistry - Anti-GPCR GPR97 antibody [RM2090] (AB325346)
  • mIHC

Lab

Multiplex immunohistochemistry - Anti-GPCR GPR97 antibody [RM2090] (AB325346)

Multiplex immunohistochemistry analysis of formalin/PFA-fixed paraffin-embedded mouse spleen tissue staining with ab325346 at a 1 : 5000 (0.099 µg/ml) dilution, ab238132 anti-Ly6g used at 1 : 100 (0.29 µg/ml) dilution and ab237721 anti-CD3 used at a 1 : 2000 (0.26 µg/ml) dilution.

Panel A : anti-GPCR GPR97 (green; Opal™520), anti-Ly6g (magenta; Opal™690) and anti-CD3 (yellow; Opal™570) on mouse spleen.
Panel B : anti-GPCR GPR97 staining granulocytes in mouse spleen.
Panel C : anti-Ly6g staining neutrophils in mouse spleen.
Panel D : anti-CD3 staining T lymphocytes in mouse spleen.
Nuclear DNA was labeled with DAPI (shown in blue).

The section was incubated in three rounds of staining : in the order of ab325346, ab238132 and ab237721 for 30 mins at room temperature. Each round was followed by a separate fluorescent tyramide signal amplification system.

The immunostaining was performed on a Leica Biosystems BOND® RX instrument with an Opal™ 4-color kit. Image acquisition was performed with Leica SP8 confocal microscope.

Nuclear counter stain with DAPI.

Heat mediated antigen retrieval was performed with Tris-EDTA buffer (pH 9.0, Epitope Retrieval Solution2) for 20 mins.

Immunoprecipitation - Anti-GPCR GPR97 antibody [RM2090] (AB325346)
  • IP

Lab

Immunoprecipitation - Anti-GPCR GPR97 antibody [RM2090] (AB325346)

GPCR GPR97 was immunoprecipitated from 0.35 mg Mouse spleen tissue lysate with ab325346 at 1/30 dilution (2µg in 0.35mg lysates). Western blot was performed on the immunoprecipitate using ab325346 at 1/1000 dilution. VeriBlot for IP secondary antibody(HRP)(ab131366) was used at 1/5000 dilution.

Lane 1 : Mouse spleen tissue lysate
Lane 2 : ab325346 IP in Mouse spleen tissue lysate
Lane 3 : Rabbit monoclonal IgG (ab172730) instead of ab325346 in mouse spleen tissue lysate

Blocking and dilution buffer and concentration : 5% NFDM/TBST.

Exposure time : 137 seconds.

All lanes:

Immunoprecipitation - Anti-GPCR GPR97 antibody [RM2090] (ab325346) at 1/1000 dilution

Lane 1:

Mouse spleen tissue lysate at 10 µg

Lane 2:

ab325346 at 1/30 IP in Mouse spleen tissue lysate

Lane 3:

Rabbit monoclonal IgG (<a href='/en-us/products/primary-antibodies/rabbit-igg-monoclonal-epr25a-isotype-control-ab172730'>ab172730</a>) instead of ab325346 in mouse spleen tissue lysate

Secondary

All lanes:

Immunoprecipitation - VeriBlot for IP Detection Reagent (HRP) (<a href='/en-us/products/reagents/veriblot-for-ip-detection-reagent-hrp-ab131366'>ab131366</a>) at 1/5000 dilution

Observed band size: 60 kDa

false

Exposure time: 137s

Western blot - Anti-GPCR GPR97 antibody [RM2090] (AB325346)
  • WB

Lab

Western blot - Anti-GPCR GPR97 antibody [RM2090] (AB325346)

Blocking and diluting buffer and concentration : 5% NFDM/TBST.

Low expression : brain, thymus, testis, heart (PMID : 24113187).

In Western blot, Anti-Vinculin antibody [EPR8185] (ab129002) (1 : 10000) (124KDa).

Exposure time : Lane 1 : 10 seconds; Lanes 2-6 : 70 seconds.

All lanes:

Western blot - Anti-GPCR GPR97 antibody [RM2090] (ab325346) at 1/1000 dilution

Lane 1:

Mouse bone marrow tissue lysate at 20 µg

Lane 2:

Mouse spleen tissue lysate at 20 µg

Lane 3:

Mouse brain tissue lysate at 20 µg

Lane 4:

Mouse thymus tissue lysate at 20 µg

Lane 5:

Mouse testis tissue lysate at 20 µg

Lane 6:

Mouse heart tissue lysate at 20 µg

Secondary

All lanes:

Western blot - Goat Anti-Rabbit IgG H&L (HRP) (<a href='/en-us/products/secondary-antibodies/goat-rabbit-igg-h-l-hrp-ab97051'>ab97051</a>) at 1/20000 dilution

Observed band size: 60 kDa,124 kDa

false

Immunohistochemistry (Formalin/PFA-fixed paraffin-embedded sections) - Anti-GPCR GPR97 antibody [RM2090] (AB325346)
  • IHC-P

Lab

Immunohistochemistry (Formalin/PFA-fixed paraffin-embedded sections) - Anti-GPCR GPR97 antibody [RM2090] (AB325346)

Immunohistochemical analysis of paraffin-embedded Mouse cerebrum tissue labeling with ab325346 at 1/2000 (0.099 µg/ml) dilution, followed by a ready to use LeicaDS9800 (Bond™ Polymer Refine Detection) .

Negative control : No staining on mouse cerebrum (PMID : 24113187 ).

The primary antibody was incubated for 30 mins at room temperature.

The immunostaining was performed on a Leica Biosystems BOND® RX instrument

Slides were incubated with 3% Hydrogen Peroxide for 10 mins at room temperature after secondary antibody incubation to reduce the background

Counterstained with Hematoxylin.

Heat mediated antigen retrieval was performed with citrate buffer (pH 9.0, epitope retrieval solution 2) for 20 mins

Immunohistochemistry (Formalin/PFA-fixed paraffin-embedded sections) - Anti-GPCR GPR97 antibody [RM2090] (AB325346)
  • IHC-P

Lab

Immunohistochemistry (Formalin/PFA-fixed paraffin-embedded sections) - Anti-GPCR GPR97 antibody [RM2090] (AB325346)

Immunohistochemical analysis of paraffin-embedded Mouse cardiac muscle tissue labeling with ab325346 at 1/2000 (0.099 µg/ml) dilution, followed by a ready to use LeicaDS9800 (Bond™ Polymer Refine Detection) .

Negative control : No staining on mouse cardiac muscle (PMID : 24113187 ) .

The primary antibody was incubated for 30 mins at room temperature.

The immunostaining was performed on a Leica Biosystems BOND® RX instrument

Slides were incubated with 3% Hydrogen Peroxide for 10 mins at room temperature after secondary antibody incubation to reduce the background

Counterstained with Hematoxylin.

Heat mediated antigen retrieval was performed with citrate buffer (pH 9.0, epitope retrieval solution 2) for 20 mins

Flow Cytometry - Anti-GPCR GPR97 antibody [RM2090] (AB325346)
  • Flow Cyt

Lab

Flow Cytometry - Anti-GPCR GPR97 antibody [RM2090] (AB325346)

Flow cytometric analysis of 4% paraformaldehyde fixed 0.1% Tween-20 permeabilized 293T cells transfected with a mouse AGRG3 expression vector containing a myc-His-tag® (Middle) 293T cells transfected with an empty expression vector containing a myc-His-tag® (Right) cells labelling with ab325346 at 1/500 dilution (0.1ug) / Right and middle compared with a Rabbit monoclonal IgG (ab172730) / Left isotype control and an unlabelled control (cells without incubation with primary antibody and secondary antibody).

Goat Anti-Rabbit IgG (Alexa Fluor® 488, ab150081) at 1/5000 dilution was used as the secondary antibody.

Cells were surface stained with isotype control or our antibody. Then fixed with 4% PFA for 10min followed by intracellularly stained with anti-myc tag conjugated to Alexa Fluor® 647.

Key facts

Host species

Rabbit

Clonality

Multiclonal

Clone number

RM2090

Isotype

IgG

Carrier free

No

Reacts with

Mouse

Applications

IHC-P, IP, WB, mIHC, Flow Cyt

applications

Immunogen

The exact immunogen used to generate this antibody is proprietary information.

Reactivity data

{ "title": "Reactivity Data", "filters": { "stats": ["", "Species", "Dilution Info", "Notes"], "tabs": { "all-applications": {"fullname" : "All Applications", "shortname": "All Applications"}, "FlowCyt" : {"fullname" : "Flow Cytometry", "shortname":"Flow Cyt"}, "WB" : {"fullname" : "Western blot", "shortname":"WB"}, "IHCP" : {"fullname" : "Immunohistochemistry (Formalin/PFA-fixed paraffin-embedded sections)", "shortname":"IHC-P"}, "mIHC" : {"fullname" : "Multiplex immunohistochemistry", "shortname":"mIHC"}, "IP" : {"fullname" : "Immunoprecipitation", "shortname":"IP"}, "ICCIF" : {"fullname" : "Immunocytochemistry/ Immunofluorescence", "shortname":"ICC/IF"} }, "product-promise": { "all": "all", "testedAndGuaranteed": "tested", "guaranteed": "expected", "predicted": "predicted", "notRecommended": "not-recommended" } }, "values": { "Human": { "FlowCyt-species-checked": "notRecommended", "FlowCyt-species-dilution-info": "", "FlowCyt-species-notes": "<p></p>", "WB-species-checked": "notRecommended", "WB-species-dilution-info": "", "WB-species-notes": "<p></p>", "IHCP-species-checked": "notRecommended", "IHCP-species-dilution-info": "", "IHCP-species-notes": "<p></p>", "mIHC-species-checked": "notRecommended", "mIHC-species-dilution-info": "", "mIHC-species-notes": "", "IP-species-checked": "notRecommended", "IP-species-dilution-info": "", "IP-species-notes": "", "ICCIF-species-checked": "notRecommended", "ICCIF-species-dilution-info": "", "ICCIF-species-notes": "" }, "Mouse": { "FlowCyt-species-checked": "testedAndGuaranteed", "FlowCyt-species-dilution-info": "1/50", "FlowCyt-species-notes": "<p></p>", "WB-species-checked": "testedAndGuaranteed", "WB-species-dilution-info": "1/1000", "WB-species-notes": "<p></p>", "IHCP-species-checked": "testedAndGuaranteed", "IHCP-species-dilution-info": "1/2000", "IHCP-species-notes": "<p></p> Perform heat-mediated antigen retrieval with citrate buffer pH 6 before commencing with IHC staining protocol.", "mIHC-species-checked": "testedAndGuaranteed", "mIHC-species-dilution-info": "1/5000", "mIHC-species-notes": "<p></p> Perform heat-mediated antigen retrieval with Tris/EDTA buffer pH 9.0 before commencing with IHC staining protocol.", "IP-species-checked": "testedAndGuaranteed", "IP-species-dilution-info": "1/30", "IP-species-notes": "<p></p>", "ICCIF-species-checked": "notRecommended", "ICCIF-species-dilution-info": "", "ICCIF-species-notes": "<p></p>" }, "Rat": { "FlowCyt-species-checked": "notRecommended", "FlowCyt-species-dilution-info": "", "FlowCyt-species-notes": "<p></p>", "WB-species-checked": "notRecommended", "WB-species-dilution-info": "", "WB-species-notes": "<p></p>", "IHCP-species-checked": "notRecommended", "IHCP-species-dilution-info": "", "IHCP-species-notes": "<p></p>", "mIHC-species-checked": "notRecommended", "mIHC-species-dilution-info": "", "mIHC-species-notes": "", "IP-species-checked": "notRecommended", "IP-species-dilution-info": "", "IP-species-notes": "", "ICCIF-species-checked": "notRecommended", "ICCIF-species-dilution-info": "", "ICCIF-species-notes": "" }, "Transfected cell line - Mouse": { "FlowCyt-species-checked": "testedAndGuaranteed", "FlowCyt-species-dilution-info": "1/500", "FlowCyt-species-notes": "<p></p>", "WB-species-checked": "notRecommended", "WB-species-dilution-info": "", "WB-species-notes": "", "IHCP-species-checked": "notRecommended", "IHCP-species-dilution-info": "", "IHCP-species-notes": "", "mIHC-species-checked": "notRecommended", "mIHC-species-dilution-info": "", "mIHC-species-notes": "", "IP-species-checked": "notRecommended", "IP-species-dilution-info": "", "IP-species-notes": "", "ICCIF-species-checked": "notRecommended", "ICCIF-species-dilution-info": "", "ICCIF-species-notes": "" } } }

Product details

Patented technology
Our RabMAb® technology is a patented hybridoma-based technology for making rabbit monoclonal antibodies. For details on our patents, please refer to RabMAb® patents.

What are recombinant multiclonals?
Recombinant multiclonals are a mixture of recombinant antibodies co-expressed from a library of heavy and light chains. They offer several advantages including:

  • - The sensitivity of polyclonal antibodies by recognising multiple epitopes
  • - High batch-to-batch consistency and reproducibility
  • - Improved sensitivity and specificity
  • - Long-term security of supply
  • - Animal-free batch production

View our range of recombinant multiclonal antibodies.

Properties and storage information

Form
Liquid
Purification technique
Affinity purification Protein A
Storage buffer
pH: 7.2 - 7.4 Preservative: 0.01% Sodium azide Constituents: PBS, 40% Glycerol (glycerin, glycerine), 0.05% BSA
Shipped at conditions
Blue Ice
Appropriate short-term storage duration
1-2 weeks
Appropriate short-term storage conditions
+4°C
Appropriate long-term storage conditions
-20°C
Aliquoting information
Upon delivery aliquot
Storage information
Avoid freeze / thaw cycle

Product protocols

For this product, it's our understanding that no specific protocols are required. You can visit:

Target data

Adhesion G-protein coupled receptor (aGPCR) for glucocorticoid hormones such as cortisol, cortisone and 11-deoxycortisol (By similarity). Ligand binding causes a conformation change that triggers signaling via guanine nucleotide-binding proteins (G proteins) and modulates the activity of downstream effectors, such as adenylate cyclase (By similarity). ADGRG3/GPR97 is coupled to G(o)/GNAO1 G proteins and mediates signaling by inhibiting adenylate cyclase activity (By similarity). May also signal through G-alpha(q)-proteins; additional evidence are however required to confirm this result in vivo (By similarity). Plays a role in the regulation of various processes including B-cell development, inflammation or innate immunity (PubMed : 24113187, PubMed : 27089991, PubMed : 38345813). Regulates migration of lymphatic endothelial cells in vitro via the small GTPases RhoA and CDC42 (PubMed : 24178298). Antibody ligation leads to the production and activation of antimicrobial mediators like reactive oxygen species (ROS) and myeloperoxidase (MPO) as well as enhanced bacteria uptake and killing by granulocytes (By similarity). Additionally, collaborates with protease-activated receptor 2/PAR2 to stimulate neutrophil-driven antimicrobial responses and endothelial cell activation (By similarity).
See full target information Adgrg3

Product promise

We are committed to supporting your work with high-quality reagents, and we're here for you every step of the way. In the unlikely event that one of our products does not perform as expected, you're protected by our Product Promise.
For full details, please see our Terms & Conditions

Please note: All products are 'FOR RESEARCH USE ONLY. NOT FOR USE IN DIAGNOSTIC OR THERAPEUTIC PROCEDURES'.

For licensing inquiries, please contact partnerships@abcam.com