JavaScript is disabled in your browser. Please enable JavaScript to view this website.
AB315809

Anti-GPCR GPRC5D antibody [EPR28376-41] - BSA and Azide free

Be the first to review this product! Submit a review

|

(0 Publication)

Rabbit Recombinant Monoclonal GPCR GPRC5D antibody. Carrier free. Suitable for WB, IHC-P and reacts with Human, Transfected cell lysate - Human, Transfected cell line - Human samples.

View Alternative Names

G-protein coupled receptor family C group 5 member D, GPRC5D

10 Images
Immunohistochemistry (Formalin/PFA-fixed paraffin-embedded sections) - Anti-GPCR GPRC5D antibody [EPR28376-41] - BSA and Azide free (AB315809)
  • IHC-P

Supplier Data

Immunohistochemistry (Formalin/PFA-fixed paraffin-embedded sections) - Anti-GPCR GPRC5D antibody [EPR28376-41] - BSA and Azide free (AB315809)

This data was developed using ab315808, the same antibody clone in a different buffer formulation.

Immunohistochemical analysis of paraffin-embedded (A) HEK-293T (human embryonic kidney epithelial cell) transfected with a human GPCR GPRC5D expression vector containing a Myc tag. (B) HEK-293T transfected with empty vector containing a Myc tag. Tissue labeling GPCR GPRC5D with ab315808 at 1/500 (1.03 ug/ml) dilution, followed by a ready to use LeicaDS9800 (Bond™ Polymer Refine Detection).

Positive staining on (A) HEK-293T transfected with a human GPCR GPRC5D expression vector containing a Myc tag, no staining on (B) HEK-293T transfected with empty vector containing a Myc tag. The section was incubated with ab315808 for 30 mins at room temperature.
The immunostaining was performed on a Leica Biosystems BOND® RX instrument.

Counterstained with Hematoxylin.

Secondary antibody only control : Secondary antibody is a ready to use LeicaDS9800 (Bond™ Polymer Refine Detection).

Heat mediated antigen retrieval was performed with Tris-EDTA buffer (pH 9.0, Epitope Retrieval Solution2) for 20 mins.

Immunohistochemistry (Formalin/PFA-fixed paraffin-embedded sections) - Anti-GPCR GPRC5D antibody [EPR28376-41] - BSA and Azide free (AB315809)
  • IHC-P

Supplier Data

Immunohistochemistry (Formalin/PFA-fixed paraffin-embedded sections) - Anti-GPCR GPRC5D antibody [EPR28376-41] - BSA and Azide free (AB315809)

This data was developed using ab315808, the same antibody clone in a different buffer formulation.

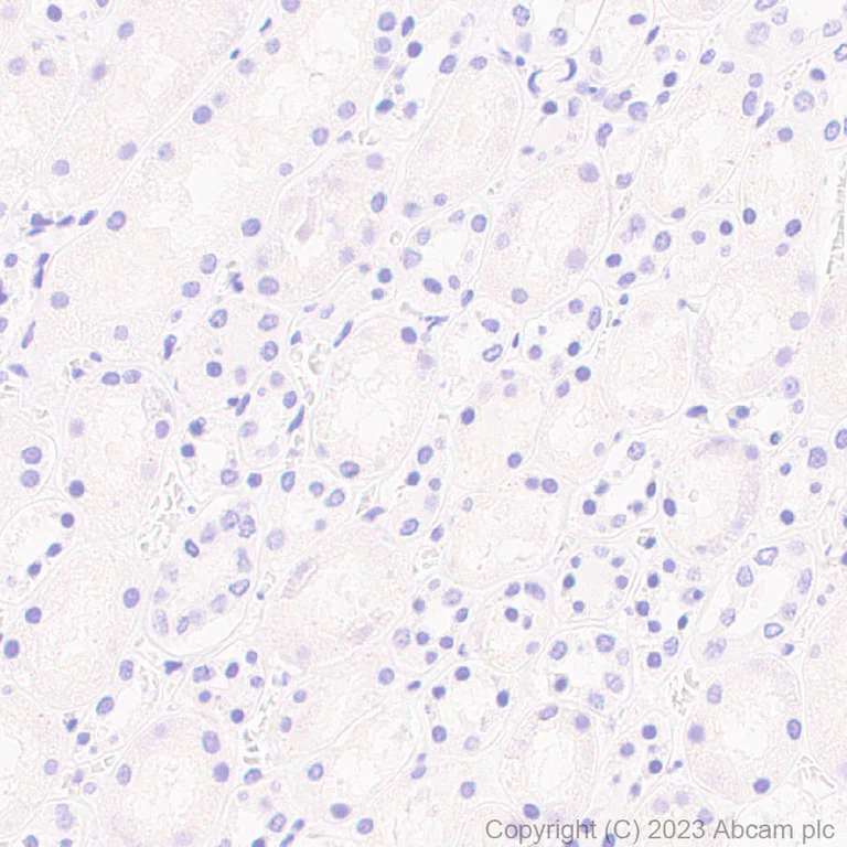
Immunohistochemical analysis of paraffin-embedded Human kidney tissue labeling GPCR GPRC5D with ab315808 at 1/500 (1.03 ug/ml) dilution, followed by a ready to use LeicaDS9800 (Bond™ Polymer Refine Detection).

Negative control : no staining on human kidney. The section was incubated with ab315808 for 30 mins at room temperature.
The immunostaining was performed on a Leica Biosystems BOND® RX instrument.

Counterstained with Hematoxylin.

Secondary antibody only control : Secondary antibody is a ready to use LeicaDS9800 (Bond™ Polymer Refine Detection).

Heat mediated antigen retrieval was performed with Tris-EDTA buffer (pH 9.0, Epitope Retrieval Solution2) for 20 mins.

Immunohistochemistry (Formalin/PFA-fixed paraffin-embedded sections) - Anti-GPCR GPRC5D antibody [EPR28376-41] - BSA and Azide free (AB315809)
  • IHC-P

Supplier Data

Immunohistochemistry (Formalin/PFA-fixed paraffin-embedded sections) - Anti-GPCR GPRC5D antibody [EPR28376-41] - BSA and Azide free (AB315809)

This data was developed using ab315808, the same antibody clone in a different buffer formulation.

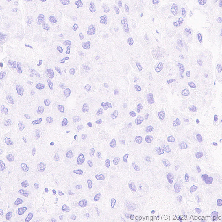
Immunohistochemical analysis of paraffin-embedded Human hepatocellular carcinoma tissue labeling GPCR GPRC5D with ab315808 at 1/500 (1.03 ug/ml) dilution, followed by a ready to use LeicaDS9800 (Bond™ Polymer Refine Detection).

Negative control : no staining on human hepatocellular carcinoma. The section was incubated with ab315808 for 30 mins at room temperature.
The immunostaining was performed on a Leica Biosystems BOND® RX instrument.

Counterstained with Hematoxylin.

Secondary antibody only control : Secondary antibody is a ready to use LeicaDS9800 (Bond™ Polymer Refine Detection).

Heat mediated antigen retrieval was performed with Tris-EDTA buffer (pH 9.0, Epitope Retrieval Solution2) for 20 mins.

Immunohistochemistry (Formalin/PFA-fixed paraffin-embedded sections) - Anti-GPCR GPRC5D antibody [EPR28376-41] - BSA and Azide free (AB315809)
  • IHC-P

Supplier Data

Immunohistochemistry (Formalin/PFA-fixed paraffin-embedded sections) - Anti-GPCR GPRC5D antibody [EPR28376-41] - BSA and Azide free (AB315809)

This data was developed using ab315808, the same antibody clone in a different buffer formulation.

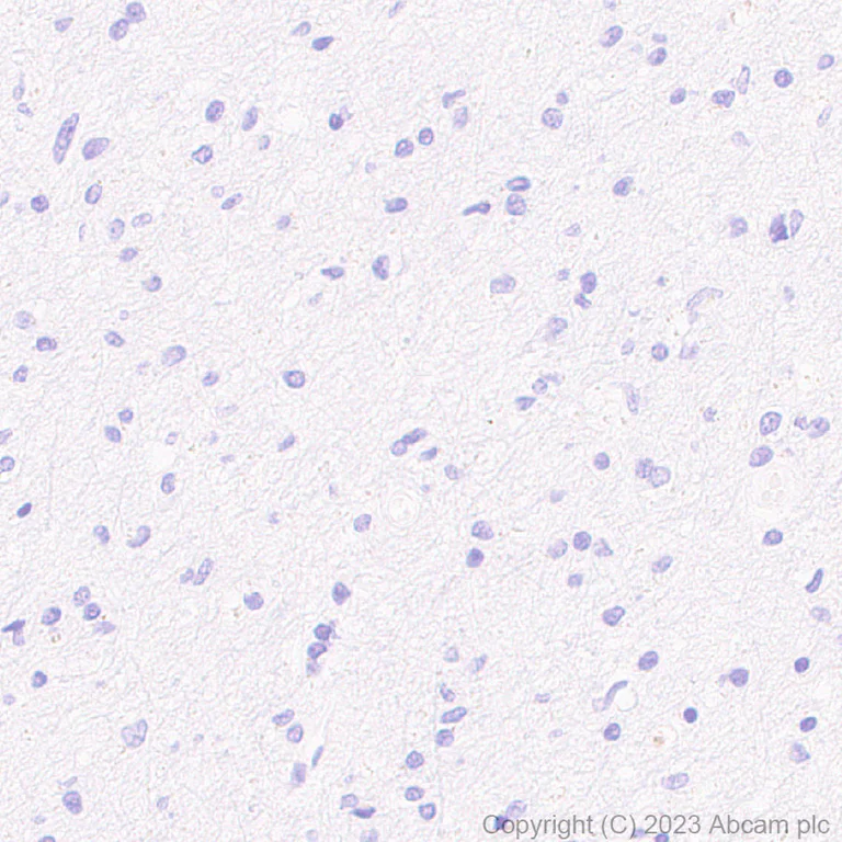
Immunohistochemical analysis of paraffin-embedded Human cerebrum tissue labeling GPCR GPRC5D with ab315808 at 1/500 (1.03 ug/ml) dilution, followed by a ready to use LeicaDS9800 (Bond™ Polymer Refine Detection).

Negative control : no staining on human cerebrum. The section was incubated with ab315808 for 30 mins at room temperature.
The immunostaining was performed on a Leica Biosystems BOND® RX instrument.

Counterstained with Hematoxylin.

Secondary antibody only control : Secondary antibody is a ready to use LeicaDS9800 (Bond™ Polymer Refine Detection).

Heat mediated antigen retrieval was performed with Tris-EDTA buffer (pH 9.0, Epitope Retrieval Solution2) for 20 mins.

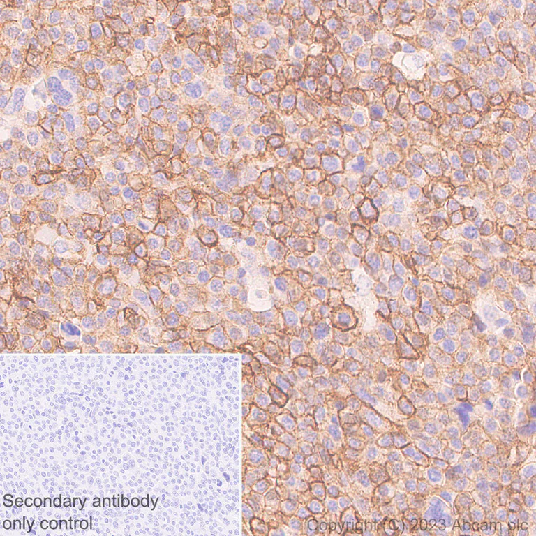
Immunohistochemistry (Formalin/PFA-fixed paraffin-embedded sections) - Anti-GPCR GPRC5D antibody [EPR28376-41] - BSA and Azide free (AB315809)
  • IHC-P

Supplier Data

Immunohistochemistry (Formalin/PFA-fixed paraffin-embedded sections) - Anti-GPCR GPRC5D antibody [EPR28376-41] - BSA and Azide free (AB315809)

This data was developed using ab315808, the same antibody clone in a different buffer formulation.

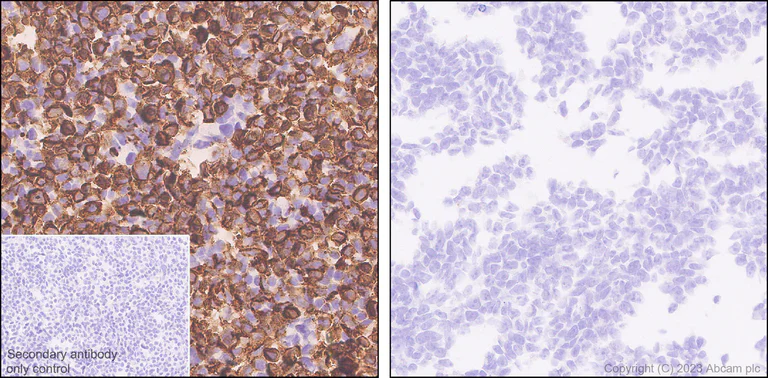
Immunohistochemical analysis of paraffin-embedded Human myeloma tissue labeling GPCR GPRC5D with ab315808 at 1/500 (1.03 ug/ml) dilution, followed by a ready to use LeicaDS9800 (Bond™ Polymer Refine Detection).

Positive staining on human myeloma (PMID : 30918115). The section was incubated with ab315808 for 30 mins at room temperature.
The immunostaining was performed on a Leica Biosystems BOND® RX instrument.

Counterstained with Hematoxylin.

Secondary antibody only control : Secondary antibody is a ready to use LeicaDS9800 (Bond™ Polymer Refine Detection).

Heat mediated antigen retrieval was performed with Tris-EDTA buffer (pH 9.0, Epitope Retrieval Solution2) for 20 mins.

Immunohistochemistry (Formalin/PFA-fixed paraffin-embedded sections) - Anti-GPCR GPRC5D antibody [EPR28376-41] - BSA and Azide free (AB315809)
  • IHC-P

Supplier Data

Immunohistochemistry (Formalin/PFA-fixed paraffin-embedded sections) - Anti-GPCR GPRC5D antibody [EPR28376-41] - BSA and Azide free (AB315809)

This data was developed using ab315808, the same antibody clone in a different buffer formulation.

Immunohistochemical analysis of paraffin-embedded Human hair follicle tissue labeling GPCR GPRC5D with ab315808 at 1/500 (1.03 ug/ml) dilution, followed by a ready to use LeicaDS9800 (Bond™ Polymer Refine Detection).

Positive staining on human hair follicle (PMID : 30918115). The section was incubated with ab315808 for 30 mins at room temperature.
The immunostaining was performed on a Leica Biosystems BOND® RX instrument.

Counterstained with Hematoxylin.

Secondary antibody only control : Secondary antibody is a ready to use LeicaDS9800 (Bond™ Polymer Refine Detection).

Heat mediated antigen retrieval was performed with Tris-EDTA buffer (pH 9.0, Epitope Retrieval Solution2) for 20 mins.

Western blot - Anti-GPCR GPRC5D antibody [EPR28376-41] - BSA and Azide free (AB315809)
  • WB

Supplier Data

Western blot - Anti-GPCR GPRC5D antibody [EPR28376-41] - BSA and Azide free (AB315809)

This data was developed using ab315808, the same antibody clone in a different buffer formulation.

Blocking and diluting buffer and concentration : 5% NFDM/TBST.

The identity of the higher MW band at approximately 50 kDa (in lane 2) is unknown.

Samples are non-boiled as boiling may cause protein aggregation.

In Western blot, Anti-Histone H3 antibody [EPR16987] - Nuclear Marker and ChIP Grade (ab176842) staining at 1/100000 dilution.

In Western blot, Anti-Integrin alpha V antibody [EPR16800] (ab179475) staining at 1/5000 dilution.

All lanes:

Western blot - Anti-GPCR GPRC5D antibody [EPR28376-41] (<a href='/en-us/products/primary-antibodies/gpcr-gprc5d-antibody-epr28376-41-ab315808'>ab315808</a>) at 1/1000 dilution

Lane 1:

RPMI-8226 (human plasmacytoma, myeloma B lymphocyte) membrane fraction at 50 µg

Lane 2:

RPMI-8226 nuclear fraction at 50 µg

Secondary

All lanes:

Western blot - Goat Anti-Rabbit IgG H&L (HRP) (<a href='/en-us/products/secondary-antibodies/goat-rabbit-igg-h-l-hrp-ab97051'>ab97051</a>) at 1/20000 dilution

Observed band size: 33 kDa,125 kDa,15 kDa

false

Exposure time: 15s

Western blot - Anti-GPCR GPRC5D antibody [EPR28376-41] - BSA and Azide free (AB315809)
  • WB

Supplier Data

Western blot - Anti-GPCR GPRC5D antibody [EPR28376-41] - BSA and Azide free (AB315809)

This data was developed using ab315808, the same antibody clone in a different buffer formulation.

Blocking and diluting buffer and concentration : 5% NFDM/TBST.

Negative control : human liver cancer.

Samples are non-boiled as boiling may cause protein aggregation.

In Western blot, Anti-GAPDH antibody [EPR16891] - Loading Control (ab181602) staining at 1/200000 dilution.

All lanes:

Western blot - Anti-GPCR GPRC5D antibody [EPR28376-41] (<a href='/en-us/products/primary-antibodies/gpcr-gprc5d-antibody-epr28376-41-ab315808'>ab315808</a>) at 1/1000 dilution

Lane 1:

SK-MEL-28 (human malignant melanoma cell) whole cell lysate at 60 µg

Lane 2:

Human liver cancer tissue lysate at 60 µg

Secondary

All lanes:

Goat Anti-Rabbit IgG (HRP) with minimal cross-reactivity with human IgG at 1/2000 dilution

Observed band size: 33 kDa,36 kDa

false

Exposure time: 180s

Western blot - Anti-GPCR GPRC5D antibody [EPR28376-41] - BSA and Azide free (AB315809)
  • WB

Supplier Data

Western blot - Anti-GPCR GPRC5D antibody [EPR28376-41] - BSA and Azide free (AB315809)

This data was developed using ab315808, the same antibody clone in a different buffer formulation.

Negative control : Daudi (PMID : 32040549), KG-1a (PMID : 32040549).

Blocking and diluting buffer and concentration : 5% NFDM/TBST.

The identity of the higher MW band at approximately 50 kDa is unknown.

Samples are non-boiled as boiling may cause protein aggregation.

In Western blot, Anti-GAPDH antibody [EPR16891] - Loading Control (ab181602) staining at 1/200000 dilution.

All lanes:

Western blot - Anti-GPCR GPRC5D antibody [EPR28376-41] (<a href='/en-us/products/primary-antibodies/gpcr-gprc5d-antibody-epr28376-41-ab315808'>ab315808</a>) at 1/1000 dilution

Lane 1:

RPMI-8226 (human plasmacytoma, myeloma B lymphocyte) whole cell lysate at 50 µg

Lane 2:

Daudi (human burkitt's lymphoma lymphoblast) whole cell lysate at 50 µg

Lane 3:

SK-MEL-2 (human skin malignant melanoma cell) whole cell lysate at 50 µg

Lane 4:

KG-1a (human bone marrow myeloblast) whole cell lysate at 50 µg

Secondary

All lanes:

Western blot - Goat Anti-Rabbit IgG H&L (HRP) (<a href='/en-us/products/secondary-antibodies/goat-rabbit-igg-h-l-hrp-ab97051'>ab97051</a>) at 1/20000 dilution

Observed band size: 33 kDa,36 kDa

false

Exposure time: 180s

Western blot - Anti-GPCR GPRC5D antibody [EPR28376-41] - BSA and Azide free (AB315809)
  • WB

Supplier Data

Western blot - Anti-GPCR GPRC5D antibody [EPR28376-41] - BSA and Azide free (AB315809)

This data was developed using ab315808, the same antibody clone in a different buffer formulation.

Blocking and diluting buffer and concentration : 5% NFDM/TBST.

Samples are non-boiled as boiling may cause protein aggregation.

In Western blot, Anti-Histone H3 antibody [EPR16987] - Nuclear Marker and ChIP Grade (ab176842) staining at 1/100000 dilution.

In Western blot, Anti-GFP antibody [E385] (ab32146) staining at 1/5000 dilution.

All lanes:

Western blot - Anti-GPCR GPRC5D antibody [EPR28376-41] (<a href='/en-us/products/primary-antibodies/gpcr-gprc5d-antibody-epr28376-41-ab315808'>ab315808</a>) at 1/1000 dilution

Lane 1:

293T cells transfected with an empty vector containing a GFP-tag, whole cell lysate at 20 µg

Lane 2:

293T cells transfected with a human GPCR GPRC5D expression vector containing a a GFP-tag, whole cell lysate at 20 µg

Secondary

All lanes:

Western blot - Goat Anti-Rabbit IgG H&L (HRP) (<a href='/en-us/products/secondary-antibodies/goat-rabbit-igg-h-l-hrp-ab97051'>ab97051</a>) at 1/100000 dilution

Observed band size: 33 kDa,15 kDa

false

Exposure time: 180s

  • 660 APC

    APC Anti-GPCR GPRC5D antibody [EPR28376-41]

  • 665 Alexa Fluor® 647

    Alexa Fluor® 647 Anti-GPCR GPRC5D antibody [EPR28376-41]

  • 519 Alexa Fluor® 488

    Alexa Fluor® 488 Anti-GPCR GPRC5D antibody [EPR28376-41]

  • Unconjugated

    Anti-GPCR GPRC5D antibody [EPR28376-41]

Key facts

Host species

Rabbit

Clonality

Monoclonal

Clone number

EPR28376-41

Isotype

IgG

Carrier free

Yes

Reacts with

Human

Applications

WB, IHC-P

applications

Immunogen

The exact immunogen used to generate this antibody is proprietary information.

Specificity

GPRC5D is expressed in myeloma and hair follicles (PMID: 15086536 and PMID: 30918115).

Reactivity data

{ "title": "Reactivity Data", "filters": { "stats": ["", "Species", "Dilution Info", "Notes"], "tabs": { "all-applications": {"fullname" : "All Applications", "shortname": "All Applications"}, "WB" : {"fullname" : "Western blot", "shortname":"WB"}, "IHCP" : {"fullname" : "Immunohistochemistry (Formalin/PFA-fixed paraffin-embedded sections)", "shortname":"IHC-P"}, "IP" : {"fullname" : "Immunoprecipitation", "shortname":"IP"}, "ICCIF" : {"fullname" : "Immunocytochemistry/ Immunofluorescence", "shortname":"ICC/IF"}, "FlowCytIntra" : {"fullname" : "Flow Cytometry (Intracellular)", "shortname":"Flow Cyt (Intra)"} }, "product-promise": { "all": "all", "testedAndGuaranteed": "tested", "guaranteed": "expected", "predicted": "predicted", "notRecommended": "not-recommended" } }, "values": { "Human": { "WB-species-checked": "testedAndGuaranteed", "WB-species-dilution-info": "", "WB-species-notes": "<p></p>", "IHCP-species-checked": "testedAndGuaranteed", "IHCP-species-dilution-info": "", "IHCP-species-notes": "<p>GPRC5D is expressed in myeloma and hair follicles (PMID: 15086536 and PMID: 30918115).</p> Perform heat-mediated antigen retrieval with Tris/EDTA buffer pH 9.0 before commencing with IHC staining protocol.", "IP-species-checked": "notRecommended", "IP-species-dilution-info": "", "IP-species-notes": "<p></p>", "ICCIF-species-checked": "notRecommended", "ICCIF-species-dilution-info": "", "ICCIF-species-notes": "<p></p>", "FlowCytIntra-species-checked": "notRecommended", "FlowCytIntra-species-dilution-info": "", "FlowCytIntra-species-notes": "<p></p>" }, "Mouse": { "WB-species-checked": "notRecommended", "WB-species-dilution-info": "", "WB-species-notes": "<p></p>", "IHCP-species-checked": "notRecommended", "IHCP-species-dilution-info": "", "IHCP-species-notes": "<p></p>", "IP-species-checked": "notRecommended", "IP-species-dilution-info": "", "IP-species-notes": "", "ICCIF-species-checked": "notRecommended", "ICCIF-species-dilution-info": "", "ICCIF-species-notes": "", "FlowCytIntra-species-checked": "notRecommended", "FlowCytIntra-species-dilution-info": "", "FlowCytIntra-species-notes": "" }, "Rat": { "WB-species-checked": "notRecommended", "WB-species-dilution-info": "", "WB-species-notes": "<p></p>", "IHCP-species-checked": "notRecommended", "IHCP-species-dilution-info": "", "IHCP-species-notes": "<p></p>", "IP-species-checked": "notRecommended", "IP-species-dilution-info": "", "IP-species-notes": "", "ICCIF-species-checked": "notRecommended", "ICCIF-species-dilution-info": "", "ICCIF-species-notes": "", "FlowCytIntra-species-checked": "notRecommended", "FlowCytIntra-species-dilution-info": "", "FlowCytIntra-species-notes": "" }, "Transfected cell line - Human": { "WB-species-checked": "notRecommended", "WB-species-dilution-info": "", "WB-species-notes": "", "IHCP-species-checked": "testedAndGuaranteed", "IHCP-species-dilution-info": "", "IHCP-species-notes": "<p>GPRC5D is expressed in myeloma and hair follicles (PMID: 15086536 and PMID: 30918115).</p>", "IP-species-checked": "notRecommended", "IP-species-dilution-info": "", "IP-species-notes": "", "ICCIF-species-checked": "notRecommended", "ICCIF-species-dilution-info": "", "ICCIF-species-notes": "", "FlowCytIntra-species-checked": "notRecommended", "FlowCytIntra-species-dilution-info": "", "FlowCytIntra-species-notes": "" }, "Transfected cell lysate - Human": { "WB-species-checked": "testedAndGuaranteed", "WB-species-dilution-info": "", "WB-species-notes": "<p></p>", "IHCP-species-checked": "notRecommended", "IHCP-species-dilution-info": "", "IHCP-species-notes": "", "IP-species-checked": "notRecommended", "IP-species-dilution-info": "", "IP-species-notes": "", "ICCIF-species-checked": "notRecommended", "ICCIF-species-dilution-info": "", "ICCIF-species-notes": "", "FlowCytIntra-species-checked": "notRecommended", "FlowCytIntra-species-dilution-info": "", "FlowCytIntra-species-notes": "" } } }

Product details

ab315809 is the carrier-free version of ab315808.

Patented technology
Our RabMAb® technology is a patented hybridoma-based technology for making rabbit monoclonal antibodies. For details on our patents, please refer to RabMAb® patents.

What are the advantages of a recombinant monoclonal antibody?
This product is a recombinant monoclonal antibody, which offers several advantages including:

  • - High batch-to-batch consistency and reproducibility
  • - Improved sensitivity and specificity
  • - Long-term security of supply
  • - Animal-free batch production

For more information, read more on recombinant antibodies.

Conjugation ready
Our carrier-free antibodies are typically supplied in a PBS-only formulation, purified and free of BSA, sodium azide and glycerol. This conjugation-ready format is designed for use with fluorochromes, metal isotopes, oligonucleotides, and enzymes, which makes them ideal for antibody labelling, functional and cell-based assays, flow-based assays (e.g. mass cytometry) and Multiplex Imaging applications.

Use our conjugation kits for antibody conjugates that are ready-to-use in as little as 20 minutes with 1 minute hands-on-time and 100% antibody recovery: available for fluorescent dyes, HRP, biotin and gold.

Compatibility
This product is compatible with the Maxpar® Antibody Labeling Kit from Fluidigm, without the need for antibody preparation. Maxpar® is a trademark of Fluidigm Canada Inc.

Properties and storage information

Form
Liquid
Purification technique
Affinity purification Protein A
Storage buffer
pH: 7.2 - 7.4 Constituents: PBS
Shipped at conditions
Blue Ice
Appropriate short-term storage conditions
+4°C
Appropriate long-term storage conditions
+4°C

Supplementary information

This supplementary information is collated from multiple sources and compiled automatically.

The GPCR GPRC5D also known as the GPRC5D protein or by the code 6D9 in certain research contexts is a member of the G-protein-coupled receptors (GPCRs) superfamily. This family acts as a significant mediator of cellular responses to external signals. The GPRC5D has a mass of approximately 56 kDa. It is mainly expressed in the human bone marrow and the keratinocytes of the skin with notable absence in other tissues. It also appears in certain immune cells indicating its potential involvement in immune system responses.
Biological function summary

The role of GPCR GPRC5D centers on cell signaling mechanisms within the immune system. GPCR GPRC5D engages in intracellular signaling cascades that modulate immune functions although it is not known to be part of a larger receptor complex. Its function may involve interactions with molecules that transmit environmental signals into cellular responses enhancing its importance in immune regulation and possibly other cellular functions.

Pathways

GPCR GPRC5D participates in signaling pathways like the immune regulation pathway and the skin development pathway. It relates to proteins such as arrestins which link GPCRs to downstream signaling pathways. This connection hints at a regulatory role in cellular response where GPCR GPRC5D acts as a conduit for signal transduction balancing cellular responses to external stimuli and maintaining cellular homeostasis.

GPCR GPRC5D has associations with multiple myeloma and psoriasis. Its expression in bone marrow links it to multiple myeloma where its level might impact cancer progression. Proteins such as interleukin-17 and others relevant to psoriasis are connected to GPCR GPRC5D through skin-related pathways suggesting its role in inflammatory responses and potential as a therapeutic target for skin disorders. This illustrates GPRC5D's relevance in specific pathological conditions offering avenues for research into targeted treatments.

Product protocols

For this product, it's our understanding that no specific protocols are required. You can visit:

Product promise

We are committed to supporting your work with high-quality reagents, and we're here for you every step of the way. In the unlikely event that one of our products does not perform as expected, you're protected by our Product Promise.
For full details, please see our Terms & Conditions

Please note: All products are 'FOR RESEARCH USE ONLY. NOT FOR USE IN DIAGNOSTIC OR THERAPEUTIC PROCEDURES'.

For licensing inquiries, please contact partnerships@abcam.com