JavaScript is disabled in your browser. Please enable JavaScript to view this website.
AB126747

Anti-GPCR LGR6 antibody [EPR6874]

  • BOND RX™ Validated
  • RabMAb
  • Recombinant
  • 20ul selling size
  • What is this?

4

(1 Review)

|

(21 Publications)

Anti-GPCR LGR6 antibody [EPR6874] (ab126747) is a rabbit monoclonal antibody detecting GPCR LGR6 in Western Blot, Flow Cytometry (Intra), Flow Cytometry, IHC-P, ICC/IF. Suitable for Human, Mouse, Rat.

- Biophysical QC for unrivalled batch-batch consistency
- Over 10 publications

View Alternative Names

UNQ6427/PRO21331, VTS20631, LGR6, Leucine-rich repeat-containing G-protein coupled receptor 6

8 Images
Flow Cytometry (Intracellular) - Anti-GPCR LGR6 antibody [EPR6874] (AB126747)
  • Flow Cyt (Intra)

Lab

Flow Cytometry (Intracellular) - Anti-GPCR LGR6 antibody [EPR6874] (AB126747)

Intracellular Flow Cytometry analysis of HeLa (Human cervix adenocarcinoma epithelial cell) cells labeling GPCR LGR6 with Purified ab126747 at 1/20 dilution (10 μg/ml) (Red). Cells were fixed with 4% Paraformaldehyde and permeabilised with 90% Methanol. A Goat anti rabbit IgG (Alexa Fluor® 488 ,ab150077) secondary antibody was used at 1/2000. Isotype control - Rabbit monoclonal IgG (Black). Unlabeled control - Cell without incubation with primary antibody and secondary antibody (Blue).

Immunohistochemistry (Formalin/PFA-fixed paraffin-embedded sections) - Anti-GPCR LGR6 antibody [EPR6874] (AB126747)
  • IHC-P

Lab

Immunohistochemistry (Formalin/PFA-fixed paraffin-embedded sections) - Anti-GPCR LGR6 antibody [EPR6874] (AB126747)

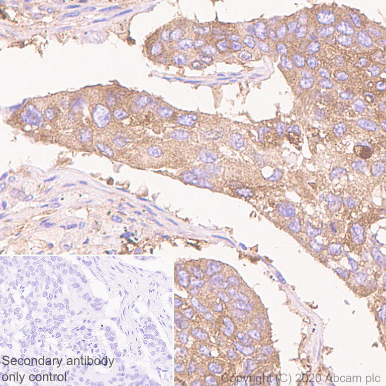
Immunohistochemistry (Formalin/PFA-fixed paraffin-embedded sections) analysis of Human lung cancer tissue sections labeling GPCR LGR6 with purified ab126747 at 1/240 dilution (0.61 µg/mL). Heat mediated antigen retrieval using Bond™ Epitope Retrieval Solution 1 (pH 6.0). The immunostaining was performed on a Leica Biosystems BOND® RX instrument. Rabbit specific IHC polymer detection kit HRP/DAB (ab209101) was used as the secondary antibody. Negative control : PBS instead of the primary antibody. Hematoxylin was used as a counterstain.

Immunocytochemistry/ Immunofluorescence - Anti-GPCR LGR6 antibody [EPR6874] (AB126747)
  • ICC/IF

Lab

Immunocytochemistry/ Immunofluorescence - Anti-GPCR LGR6 antibody [EPR6874] (AB126747)

Immunocytochemistry analysis of HeLa (Human cervix adenocarcinoma epithelial cell) cells labeling GPCR LGR6 with Purified ab126747 at 1 : 50 dilution (3.0 µg/ml). Cells were fixed in 4% Paraformaldehyde and permeabilized with 0.1% tritonX-100. Cells were counterstained with ab195889 Anti-alpha Tubulin antibody [DM1A] - Microtubule Marker (Alexa Fluor® 594) 1 : 200 (2.5 µg/ml). Goat anti rabbit IgG (Alexa Fluor® 488,ab150077) was used as the secondary antibody at 1 : 1000 (2 µg/ml) dilution. DAPI (blue) was used as nuclear counterstain. PBS instead of the primary antibody was used as the secondary antibody only control.

Immunohistochemistry (Formalin/PFA-fixed paraffin-embedded sections) - Anti-GPCR LGR6 antibody [EPR6874] (AB126747)
  • IHC-P

Lab

Immunohistochemistry (Formalin/PFA-fixed paraffin-embedded sections) - Anti-GPCR LGR6 antibody [EPR6874] (AB126747)

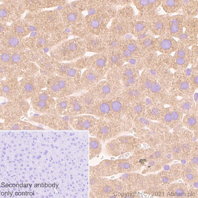
Immunohistochemistry (Formalin/PFA-fixed paraffin-embedded sections) analysis of Mouse liver tissue sections labeling GPCR LGR6 with purified ab126747 at 1/240 dilution (0.61 µg/mL). Heat mediated antigen retrieval using Bond™ Epitope Retrieval Solution 1 (pH 6.0). The immunostaining was performed on a Leica Biosystems BOND® RX instrument. Rabbit specific IHC polymer detection kit HRP/DAB (ab209101) was used as the secondary antibody. Negative control : PBS instead of the primary antibody. Hematoxylin was used as a counterstain.

Immunohistochemistry (Formalin/PFA-fixed paraffin-embedded sections) - Anti-GPCR LGR6 antibody [EPR6874] (AB126747)
  • IHC-P

Lab

Immunohistochemistry (Formalin/PFA-fixed paraffin-embedded sections) - Anti-GPCR LGR6 antibody [EPR6874] (AB126747)

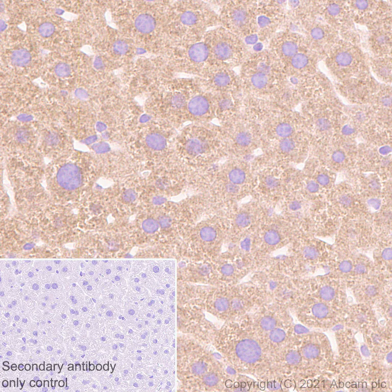
Immunohistochemistry (Formalin/PFA-fixed paraffin-embedded sections) analysis of Rat liver tissue sections labeling GPCR LGR6 with purified ab126747 at 1/240 dilution (0.61 µg/mL). Heat mediated antigen retrieval using Bond™ Epitope Retrieval Solution 1 (pH 6.0). The immunostaining was performed on a Leica Biosystems BOND® RX instrument. Rabbit specific IHC polymer detection kit HRP/DAB (ab209101) was used as the secondary antibody. Negative control : PBS instead of the primary antibody. Hematoxylin was used as a counterstain.

Western blot - Anti-GPCR LGR6 antibody [EPR6874] (AB126747)
  • WB

Supplier Data

Western blot - Anti-GPCR LGR6 antibody [EPR6874] (AB126747)

Blocking and diluting buffer and concentration : 5% NFDM/TBST.

This antibody is specific to GPCR GPR48/LGR4 and does not cross react with endogenous GPCR LGR6.

The expression profile/ molecular weight observed is consistent with what has been described in the literature (PMID : 24205130, PMID : 11401528).

Samples are non-boiled as boiling may cause protein aggregation.

In Western blot, Anti-GPCR LGR6 antibody [EPR6874] (ab126747) - Total protein control staining at 1/1000 dilution.

In Western blot, Anti-GAPDH antibody [EPR16891] - Loading Control (ab181602) staining at 1/200000 dilution.

The high-sensitivity ECL substrate allows for the detection of proteins in the mid-femtogram range.

All lanes:

Western blot - Anti-GPCR GPR48/LGR4 antibody [EPR26351-175] (<a href='/en-us/products/primary-antibodies/gpcr-gpr48-lgr4-antibody-epr26351-175-ab321789'>ab321789</a>) at 1/1000 dilution

Lane 1:

A549 (human lung carcinoma epithelial cell) transfected with scrambled siRNA control whole cell lysate at 40 µg

Lane 2:

A549 transfected with siRNA specifically targeting GPCR GPR48/LGR4 whole cell lysate at 40 µg

Secondary

All lanes:

Western blot - Goat Anti-Rabbit IgG H&L (HRP) (<a href='/en-us/products/secondary-antibodies/goat-rabbit-igg-h-l-hrp-ab97051'>ab97051</a>) at 1/20000 dilution

Observed band size: 110-120 kDa,36 kDa,104 kDa

true

Exposure time: 180s

Western blot - Anti-GPCR LGR6 antibody [EPR6874] (AB126747)
  • WB

Unknown

Western blot - Anti-GPCR LGR6 antibody [EPR6874] (AB126747)

We are not sure about the extra band.

All lanes:

Western blot - Anti-GPCR LGR6 antibody [EPR6874] (ab126747) at 1/1000 dilution

Lane 1:

HEK-293 (Human embryonic kidney epithelial cell) whole cell lysate at 20 µg

Lane 2:

HeLa (Human cervix adenocarcinoma epithelial cell) whole cell lysate at 20 µg

Lane 3:

HUVEC (Human umbilical vein endothelial cell) whole cell lysate at 20 µg

Lane 4:

SK-OV-3 (Human ovarian cancer epithelial cell) whole cell lysate at 20 µg

Lane 5:

Mouse liver lysate at 20 µg

Lane 6:

Rat liver lysate at 20 µg

Lane 7:

Human liver lysate at 20 µg

Lane 8:

Mouse lung lysate at 20 µg

Lane 9:

Rat lung lysate at 20 µg

Secondary

All lanes:

Goat Anti-Rabbit IgG (HRP) with minimal cross-reactivity with human IgG at 1/2000 dilution

Predicted band size: 104 kDa

false

Western blot - Anti-GPCR LGR6 antibody [EPR6874] (AB126747)
  • WB

Lab

Western blot - Anti-GPCR LGR6 antibody [EPR6874] (AB126747)

Recombinant Human GPCR LGR6 protein (Cat# : ab153472)

All lanes:

Western blot - Anti-GPCR LGR6 antibody [EPR6874] (ab126747) at 1/1000 dilution

All lanes:

GST-Tagged Recombinant Human GPCR LGR6 protein at 0.015 µg

Secondary

All lanes:

Western blot - Goat Anti-Rabbit IgG H&L (HRP) (<a href='/en-us/products/secondary-antibodies/goat-rabbit-igg-h-l-hrp-ab97051'>ab97051</a>) at 1/20000 dilution

Predicted band size: 104 kDa

false

Exposure time: 10s

Key facts

Host species

Rabbit

Clonality

Monoclonal

Clone number

EPR6874

Isotype

IgG

Carrier free

No

Reacts with

Mouse, Rat, Human

Applications

IHC-P, ICC/IF, WB, Flow Cyt (Intra)

applications

Immunogen

The exact immunogen used to generate this antibody is proprietary information.

Reactivity data

{ "title": "Reactivity Data", "filters": { "stats": ["", "Species", "Dilution Info", "Notes"], "tabs": { "all-applications": {"fullname" : "All Applications", "shortname": "All Applications"}, "IHCP" : {"fullname" : "Immunohistochemistry (Formalin/PFA-fixed paraffin-embedded sections)", "shortname":"IHC-P"}, "ICCIF" : {"fullname" : "Immunocytochemistry/ Immunofluorescence", "shortname":"ICC/IF"}, "WB" : {"fullname" : "Western blot", "shortname":"WB"}, "FlowCytIntra" : {"fullname" : "Flow Cytometry (Intracellular)", "shortname":"Flow Cyt (Intra)"} }, "product-promise": { "all": "all", "testedAndGuaranteed": "tested", "guaranteed": "expected", "predicted": "predicted", "notRecommended": "not-recommended" } }, "values": { "Human": { "IHCP-species-checked": "testedAndGuaranteed", "IHCP-species-dilution-info": "1/240", "IHCP-species-notes": "<p><strong>For unpurified use at 1/50 - 1/250.</strong></p> Perform heat-mediated antigen retrieval with citrate buffer pH 6 before commencing with IHC staining protocol.", "ICCIF-species-checked": "testedAndGuaranteed", "ICCIF-species-dilution-info": "1/50", "ICCIF-species-notes": "<p><strong>For unpurified use at 1/100 - 1/500.</strong></p>", "WB-species-checked": "testedAndGuaranteed", "WB-species-dilution-info": "1/1000", "WB-species-notes": "<p><strong>For unpurified use at 1/1000 - 1/10000.</strong></p>", "FlowCytIntra-species-checked": "testedAndGuaranteed", "FlowCytIntra-species-dilution-info": "1/10 - 1/100", "FlowCytIntra-species-notes": "<p><a href='/en-us/products/primary-antibodies/rabbit-igg-monoclonal-epr25a-isotype-control-ab172730'>ab172730</a> - Rabbit monoclonal IgG, is suitable for use as an isotype control with this antibody.</p>" }, "Mouse": { "IHCP-species-checked": "testedAndGuaranteed", "IHCP-species-dilution-info": "1/240", "IHCP-species-notes": "<p><strong>For unpurified use at 1/50 - 1/250.</strong></p> Perform heat-mediated antigen retrieval with citrate buffer pH 6 before commencing with IHC staining protocol.", "ICCIF-species-checked": "guaranteed", "ICCIF-species-dilution-info": "", "ICCIF-species-notes": "", "WB-species-checked": "testedAndGuaranteed", "WB-species-dilution-info": "1/1000", "WB-species-notes": "<p><strong>For unpurified use at 1/1000 - 1/10000.</strong></p>", "FlowCytIntra-species-checked": "guaranteed", "FlowCytIntra-species-dilution-info": "", "FlowCytIntra-species-notes": "" }, "Rat": { "IHCP-species-checked": "testedAndGuaranteed", "IHCP-species-dilution-info": "1/240", "IHCP-species-notes": "<p><strong>For unpurified use at 1/50 - 1/250.</strong></p> Perform heat-mediated antigen retrieval with citrate buffer pH 6 before commencing with IHC staining protocol.", "ICCIF-species-checked": "guaranteed", "ICCIF-species-dilution-info": "", "ICCIF-species-notes": "", "WB-species-checked": "testedAndGuaranteed", "WB-species-dilution-info": "1/1000", "WB-species-notes": "<p><strong>For unpurified use at 1/1000 - 1/10000.</strong></p>", "FlowCytIntra-species-checked": "guaranteed", "FlowCytIntra-species-dilution-info": "", "FlowCytIntra-species-notes": "" } } }

Product details

What is this antibody validated in?
Anti-GPCR LGR6 antibody [EPR6874] (ab126747) is a rabbit recombinant monoclonal antibody and is validated for use in Western Blot (WB), Flow Cytometry (Intra), Flow Cytometry (Flow Cyt), Immunohistochemistry (IHC-P), Immunocytochemistry/immunofluorescence (ICC/IF) in Human, Mouse, Rat samples.

What is the molecular weight of GPCR LGR6?
Anti-GPCR LGR6 [EPR6874] (ab126747) specifically detects a band for GPCR LGR6 (UniProt: Q9HBX8) at a molecular weight of 104kDa.

Trusted by the scientific community
Anti-GPCR LGR6 [EPR6874] (ab126747) was first used in a scientific publication in 2012 and has been cited over 10 times in peer-reviewed journals.

Trial sizes available!
Test your antibody or perform pre-screening before committing to a larger quantity. Sold in 10µl. Discover our selection of trial-size antibodies.

Other related products
We have a range of other formats of antibody clone [EPR6874] also available for your convenience: ab126747, HRP - ab205760, Carrier free - ab240030, PE - ab314286, Alexa Fluor® 647 - ab315362, Alexa Fluor® 488 - ab318245

Patented technology
Our RabMAb® technology is a patented hybridoma-based technology for making rabbit monoclonal antibodies. For details on our patents, please refer to RabMAb® patents.

What are the advantages of a recombinant monoclonal antibody?
This product is a recombinant monoclonal antibody, which offers several advantages including:

  • - High batch-to-batch consistency and reproducibility
  • - Improved sensitivity and specificity
  • - Long-term security of supply
  • - Animal-free batch production

For more information, read more on recombinant antibodies.

Properties and storage information

Form
Liquid
Purification technique
Affinity purification Protein A
Storage buffer
pH: 7.2 - 7.4 Preservative: 0.01% Sodium azide Constituents: PBS, 40% Glycerol (glycerin, glycerine), 0.05% BSA
Shipped at conditions
Blue Ice
Appropriate short-term storage duration
1-2 weeks
Appropriate short-term storage conditions
+4°C
Appropriate long-term storage conditions
-20°C
Aliquoting information
Upon delivery aliquot
Storage information
Avoid freeze / thaw cycle

Supplementary information

This supplementary information is collated from multiple sources and compiled automatically.

GPCR LGR6 also known as leucine-rich repeat-containing G protein-coupled receptor 6 is a transmembrane receptor that belongs to the large GPCR family. It has a molecular weight of approximately 98 kDa. LGR6 expresses in various tissues including skin bone and certain regions of the brain. The receptor binds specific ligands which initiates signal transduction pathways that mediate various cellular responses. This function places LGR6 as an important component in multiple physiological processes.
Biological function summary

LGR6 plays an important role in signaling pathways involved in stem cell maintenance and tissue regeneration. It functions together with other proteins as part of a larger receptor complex. In the skin LGR6 marks a population of stem cells involved in hair follicle cycling and epidermal renewal. Its activity influences the cellular communication required for tissue homeostasis and repair. This receptor helps in determining cellular fate and proliferation in various tissues.

Pathways

LGR6 participates in the Wnt signaling pathway which is important for cell differentiation growth and migration. LGR6 interacts with proteins such as R-spondins enhancing Wnt signaling. This connection highlights LGR6's role in modulating pathways essential for embryonic development and tissue patterning. The interaction with Wnt and related proteins positions LGR6 as a modulator of pathways that govern stem cell behavior.

Abnormalities in LGR6 function have associations with skin disorders and cancers. Mutations or dysregulation of LGR6 can lead to impaired wound healing and contribute to pathological conditions. In cancer LGR6 has connections with proteins that affect tumor growth and metastasis. Studies suggest involvement of LGR6 in pathways related to squamous cell carcinoma further linking it with proteins involved in cancer progression therefore underlining its potential as a therapeutic target.

Product protocols

For this product, it's our understanding that no specific protocols are required. You can visit:

Target data

Receptor for R-spondins that potentiates the canonical Wnt signaling pathway and acts as a marker of multipotent stem cells in the epidermis. Upon binding to R-spondins (RSPO1, RSPO2, RSPO3 or RSPO4), associates with phosphorylated LRP6 and frizzled receptors that are activated by extracellular Wnt receptors, triggering the canonical Wnt signaling pathway to increase expression of target genes. In contrast to classical G-protein coupled receptors, does not activate heterotrimeric G-proteins to transduce the signal. May act as a tumor suppressor.
See full target information LGR6

Publications (21)

Recent publications for all applications. Explore the full list and refine your search

Molecular biology reports 52:995 PubMed41065962

2025

R-spondin 3 is a myokine that mediates type I fiber determination during skeletal muscle regeneration.

Applications

Unspecified application

Species

Unspecified reactive species

Teng Hu,Yoshitaka Mita,Xinhe Zhu,Yasuro Furuichi,Yoshimi Nakagawa,Yasuko Manabe,Nobuharu L Fujii

The Journal of experimental medicine 221: PubMed38836810

2024

Coxsackievirus A10 impairs nail regeneration and induces onychomadesis by mimicking DKK1 to attenuate Wnt signaling.

Applications

Unspecified application

Species

Unspecified reactive species

Yingzi Cui,Qiaoni Shi,Pu Song,Jianyu Tong,Zhimin Cheng,Hangchuan Zhang,Xiaodan Wang,Yuxuan Zheng,Yao Wu,Meng Wan,Shihua Li,Xin Zhao,Zhou Tong,Zhengquan Yu,Shan Gao,Ye-Guang Chen,George Fu Gao

Thoracic cancer 15:131-141 PubMed38014454

2023

The oncogenic role of LGR6 overexpression induced by aberrant Wnt/β-catenin signaling in lung cancer.

Applications

Unspecified application

Species

Unspecified reactive species

Noriaki Sunaga,Kyoichi Kaira,Kimihiro Shimizu,Ichidai Tanaka,Yosuke Miura,Seshiru Nakazawa,Yoichi Ohtaki,Reika Kawabata-Iwakawa,Mitsuo Sato,Luc Girard,John D Minna,Takeshi Hisada

International journal of oral science 15:33 PubMed37558690

2023

LITTIP/Lgr6/HnRNPK complex regulates cementogenesis via Wnt signaling.

Applications

Unspecified application

Species

Unspecified reactive species

Tiancheng Li,Han Wang,Yukun Jiang,Shuo Chen,Danyuan Huang,Zuping Wu,Xing Yin,Chenchen Zhou,Yuyu Li,Shujuan Zou

British journal of pharmacology 179:5132-5147 PubMed35764296

2022

Maresin 1 intervention reverses experimental pulmonary arterial hypertension in mice.

Applications

Unspecified application

Species

Unspecified reactive species

Hui Li,Xinyu Li,Yu Hao,Chenghua Wu,Yuhao Fu,Nana Su,Houlin Chen,Binyu Ying,Haixing Wang,Lihuang Su,Haijian Cai,Qinlian He,Mengsi Cai,Junwei Sun,Jing Lin,Aaron Scott,Fanggao Smith,Xiaoying Huang,Shengwei Jin

Advanced science (Weinheim, Baden-Wurttemberg, Germany) 9:e2201436 PubMed35619544

2022

Investigating the Interactions of Glioma Stem Cells in the Perivascular Niche at Single-Cell Resolution using a Microfluidic Tumor Microenvironment Model.

Applications

Unspecified application

Species

Unspecified reactive species

Emmanuela A Adjei-Sowah,Samantha A O'Connor,Jaimeson Veldhuizen,Costanza Lo Cascio,Christopher Plaisier,Shwetal Mehta,Mehdi Nikkhah

Oxidative medicine and cellular longevity 2022:7177889 PubMed35498124

2022

Maresin 1 Alleviates Diabetic Kidney Disease via LGR6-Mediated cAMP-SOD2-ROS Pathway.

Applications

Unspecified application

Species

Unspecified reactive species

Xinyue Li,Butuo Xu,Jing Wu,Yueli Pu,Shengrong Wan,Yan Zeng,Mei Wang,Lifang Luo,Fanjie Zhang,Zongzhe Jiang,Yong Xu

Experimental biology and medicine (Maywood, N.J.) 247:700-711 PubMed35044873

2022

Specialized pro-resolution mediators in the bladder: Receptor expression and recovery of bladder function from cystitis.

Applications

Unspecified application

Species

Unspecified reactive species

Francis M Hughes,Armand Allkanjari,Michael R Odom,Huixia Jin,J Todd Purves

Cells 10: PubMed34943945

2021

Increased LGR6 Expression Sustains Long-Term Wnt Activation and Acquisition of Senescence in Epithelial Progenitors in Chronic Lung Diseases.

Applications

Unspecified application

Species

Unspecified reactive species

Emanuela E Cortesi,Bob Meeusen,Arno Vanstapel,Stijn E Verleden,Bart M Vanaudenaerde,Wim A Wuyts,Wim Janssens,Veerle Janssens,Tania Roskams,Juan-José Ventura

Bone 155:116267 PubMed34856421

2021

Mouse LGR6 regulates osteogenesis in vitro and in vivo through differential ligand use.

Applications

Unspecified application

Species

Unspecified reactive species

Vikram Khedgikar,Julia F Charles,Jessica A Lehoczky
View all publications

Product promise

We are committed to supporting your work with high-quality reagents, and we're here for you every step of the way. In the unlikely event that one of our products does not perform as expected, you're protected by our Product Promise.
For full details, please see our Terms & Conditions

Please note: All products are 'FOR RESEARCH USE ONLY. NOT FOR USE IN DIAGNOSTIC OR THERAPEUTIC PROCEDURES'.

For licensing inquiries, please contact partnerships@abcam.com