JavaScript is disabled in your browser. Please enable JavaScript to view this website.
AB240030

Anti-GPCR LGR6 antibody [EPR6874] - BSA and Azide free

Be the first to review this product! Submit a review

|

(1 Publication)

Rabbit Recombinant Monoclonal GPCR LGR6 antibody. Carrier free. Suitable for IHC-P, ICC/IF, WB, Flow Cyt (Intra) and reacts with Mouse, Rat, Human samples. Cited in 1 publication.

View Alternative Names

UNQ6427/PRO21331, VTS20631, LGR6, Leucine-rich repeat-containing G-protein coupled receptor 6

6 Images
Flow Cytometry (Intracellular) - Anti-GPCR LGR6 antibody [EPR6874] - BSA and Azide free (AB240030)
  • Flow Cyt (Intra)

Lab

Flow Cytometry (Intracellular) - Anti-GPCR LGR6 antibody [EPR6874] - BSA and Azide free (AB240030)

This data was developed using ab126747, the same antibody clone in a different buffer formulation. Intracellular Flow Cytometry analysis of HeLa (Human cervix adenocarcinoma epithelial cell) cells labeling GPCR LGR6 with Purified ab126747 at 1/20 dilution (10 μg/ml) (Red). Cells were fixed with 4% Paraformaldehyde and permeabilised with 90% Methanol. A Goat anti rabbit IgG (Alexa Fluor® 488 ,ab150077) secondary antibody was used at 1/2000. Isotype control - Rabbit monoclonal IgG (Black). Unlabeled control - Cell without incubation with primary antibody and secondary antibody (Blue).

Immunohistochemistry (Formalin/PFA-fixed paraffin-embedded sections) - Anti-GPCR LGR6 antibody [EPR6874] - BSA and Azide free (AB240030)
  • IHC-P

Lab

Immunohistochemistry (Formalin/PFA-fixed paraffin-embedded sections) - Anti-GPCR LGR6 antibody [EPR6874] - BSA and Azide free (AB240030)

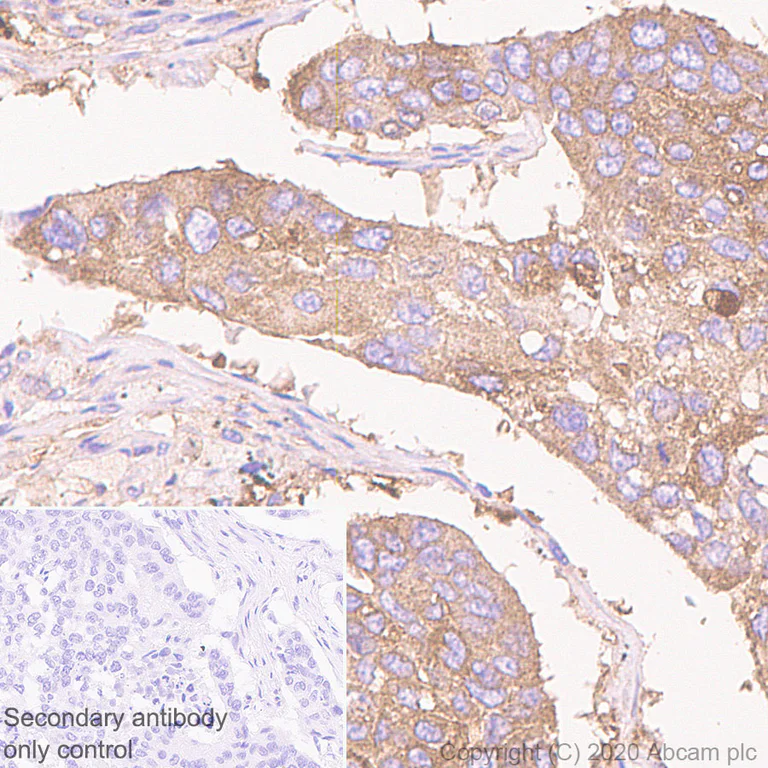
This data was developed using ab126747, the same antibody clone in a different buffer formulation.
Immunohistochemistry (Formalin/PFA-fixed paraffin-embedded sections) analysis of Human lung cancer tissue sections labeling GPCR LGR6 with purified ab126747 at 1/240 dilution (0.61 µg/mL). Heat mediated antigen retrieval using Bond™ Epitope Retrieval Solution 1 (pH 6.0). The immunostaining was performed on a Leica Biosystems BOND® RX instrument. Rabbit specific IHC polymer detection kit HRP/DAB (ab209101) was used as the secondary antibody. Negative control : PBS instead of the primary antibody. Hematoxylin was used as a counterstain.

Immunocytochemistry/ Immunofluorescence - Anti-GPCR LGR6 antibody [EPR6874] - BSA and Azide free (AB240030)
  • ICC/IF

Lab

Immunocytochemistry/ Immunofluorescence - Anti-GPCR LGR6 antibody [EPR6874] - BSA and Azide free (AB240030)

This data was developed using ab126747, the same antibody clone in a different buffer formulation.
Immunocytochemistry analysis of HeLa (Human cervix adenocarcinoma epithelial cell) cells labeling GPCR LGR6 with Purified ab126747 at 1 : 50 dilution (3.0 μg/ml). Cells were fixed in 4% Paraformaldehyde and permeabilized with 0.1% tritonX-100. Cells were counterstained with ab195889 Anti-alpha Tubulin antibody [DM1A] - Microtubule Marker (Alexa Fluor® 594) 1 : 200 (2.5 μg/ml). Goat anti rabbit IgG (Alexa Fluor® 488,ab150077) was used as the secondary antibody at 1 : 1000 (2 μg/ml) dilution. DAPI (blue) was used as nuclear counterstain. PBS instead of the primary antibody was used as the secondary antibody only control.

Immunohistochemistry (Formalin/PFA-fixed paraffin-embedded sections) - Anti-GPCR LGR6 antibody [EPR6874] - BSA and Azide free (AB240030)
  • IHC-P

Lab

Immunohistochemistry (Formalin/PFA-fixed paraffin-embedded sections) - Anti-GPCR LGR6 antibody [EPR6874] - BSA and Azide free (AB240030)

This data was developed using ab126747, the same antibody clone in a different buffer formulation.
Immunohistochemistry (Formalin/PFA-fixed paraffin-embedded sections) analysis of Rat liver tissue sections labeling GPCR LGR6 with purified ab126747 at 1/240 dilution (0.61 µg/mL). Heat mediated antigen retrieval using Bond™ Epitope Retrieval Solution 1 (pH 6.0). The immunostaining was performed on a Leica Biosystems BOND® RX instrument. Rabbit specific IHC polymer detection kit HRP/DAB (ab209101) was used as the secondary antibody. Negative control : PBS instead of the primary antibody. Hematoxylin was used as a counterstain.

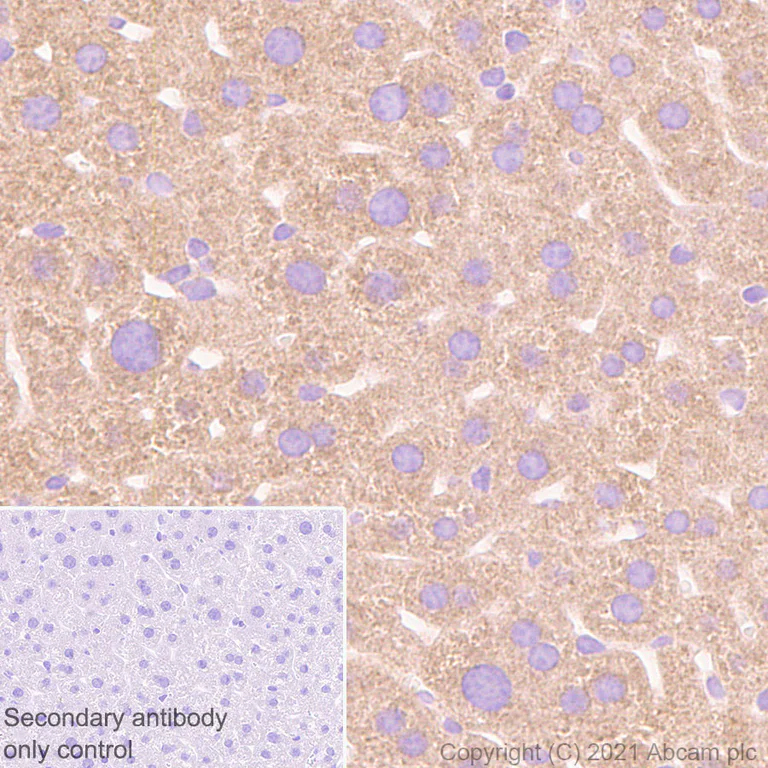
Immunohistochemistry (Formalin/PFA-fixed paraffin-embedded sections) - Anti-GPCR LGR6 antibody [EPR6874] - BSA and Azide free (AB240030)
  • IHC-P

Lab

Immunohistochemistry (Formalin/PFA-fixed paraffin-embedded sections) - Anti-GPCR LGR6 antibody [EPR6874] - BSA and Azide free (AB240030)

This data was developed using ab126747, the same antibody clone in a different buffer formulation.
Immunohistochemistry (Formalin/PFA-fixed paraffin-embedded sections) analysis of Mouse liver tissue sections labeling GPCR LGR6 with purified ab126747 at 1/240 dilution (0.61 µg/mL). Heat mediated antigen retrieval using Bond™ Epitope Retrieval Solution 1 (pH 6.0). The immunostaining was performed on a Leica Biosystems BOND® RX instrument. Rabbit specific IHC polymer detection kit HRP/DAB (ab209101) was used as the secondary antibody. Negative control : PBS instead of the primary antibody. Hematoxylin was used as a counterstain.

Western blot - Anti-GPCR LGR6 antibody [EPR6874] - BSA and Azide free (AB240030)
  • WB

Unknown

Western blot - Anti-GPCR LGR6 antibody [EPR6874] - BSA and Azide free (AB240030)

We are not sure about the extra band.

This data was developed using ab126747, the same antibody clone in a different buffer formulation.

All lanes:

Western blot - Anti-GPCR LGR6 antibody [EPR6874] (<a href='/en-us/products/primary-antibodies/gpcr-lgr6-antibody-epr6874-ab126747'>ab126747</a>) at 1/1000 dilution

Lane 1:

HEK-293 (Human embryonic kidney epithelial cell) whole cell lysate at 20 µg

Lane 2:

HeLa (Human cervix adenocarcinoma epithelial cell) whole cell lysate at 20 µg

Lane 3:

HUVEC (Human umbilical vein endothelial cell) whole cell lysate at 20 µg

Lane 4:

SK-OV-3 (Human ovarian cancer epithelial cell) whole cell lysate at 20 µg

Lane 5:

Mouse liver lysate at 20 µg

Lane 6:

Rat liver lysate at 20 µg

Lane 7:

Human liver lysate at 20 µg

Lane 8:

Mouse lung lysate at 20 µg

Lane 9:

Rat lung lysate at 20 µg

Secondary

All lanes:

Goat Anti-Rabbit IgG (HRP) with minimal cross-reactivity with human IgG at 1/2000 dilution

Predicted band size: 104 kDa

false

Key facts

Host species

Rabbit

Clonality

Monoclonal

Clone number

EPR6874

Isotype

IgG

Carrier free

Yes

Reacts with

Mouse, Rat, Human

Applications

WB, Flow Cyt (Intra), IHC-P, ICC/IF

applications

Immunogen

The exact immunogen used to generate this antibody is proprietary information.

Reactivity data

{ "title": "Reactivity Data", "filters": { "stats": ["", "Species", "Dilution Info", "Notes"], "tabs": { "all-applications": {"fullname" : "All Applications", "shortname": "All Applications"}, "IHCP" : {"fullname" : "Immunohistochemistry (Formalin/PFA-fixed paraffin-embedded sections)", "shortname":"IHC-P"}, "ICCIF" : {"fullname" : "Immunocytochemistry/ Immunofluorescence", "shortname":"ICC/IF"}, "WB" : {"fullname" : "Western blot", "shortname":"WB"}, "FlowCytIntra" : {"fullname" : "Flow Cytometry (Intracellular)", "shortname":"Flow Cyt (Intra)"} }, "product-promise": { "all": "all", "testedAndGuaranteed": "tested", "guaranteed": "expected", "predicted": "predicted", "notRecommended": "not-recommended" } }, "values": { "Human": { "IHCP-species-checked": "testedAndGuaranteed", "IHCP-species-dilution-info": "", "IHCP-species-notes": "<p></p>", "ICCIF-species-checked": "testedAndGuaranteed", "ICCIF-species-dilution-info": "", "ICCIF-species-notes": "<p></p>", "WB-species-checked": "testedAndGuaranteed", "WB-species-dilution-info": "", "WB-species-notes": "<p></p>", "FlowCytIntra-species-checked": "testedAndGuaranteed", "FlowCytIntra-species-dilution-info": "", "FlowCytIntra-species-notes": "<p><a href='/en-us/products/primary-antibodies/rabbit-igg-monoclonal-epr25a-isotype-control-low-endotoxin-azide-free-ab199376'>ab199376</a> - Rabbit monoclonal IgG, is suitable for use as an isotype control with this antibody.</p>" }, "Mouse": { "IHCP-species-checked": "testedAndGuaranteed", "IHCP-species-dilution-info": "", "IHCP-species-notes": "<p></p>", "ICCIF-species-checked": "guaranteed", "ICCIF-species-dilution-info": "", "ICCIF-species-notes": "", "WB-species-checked": "testedAndGuaranteed", "WB-species-dilution-info": "", "WB-species-notes": "<p></p>", "FlowCytIntra-species-checked": "guaranteed", "FlowCytIntra-species-dilution-info": "", "FlowCytIntra-species-notes": "" }, "Rat": { "IHCP-species-checked": "testedAndGuaranteed", "IHCP-species-dilution-info": "", "IHCP-species-notes": "<p></p>", "ICCIF-species-checked": "guaranteed", "ICCIF-species-dilution-info": "", "ICCIF-species-notes": "", "WB-species-checked": "testedAndGuaranteed", "WB-species-dilution-info": "", "WB-species-notes": "<p></p>", "FlowCytIntra-species-checked": "guaranteed", "FlowCytIntra-species-dilution-info": "", "FlowCytIntra-species-notes": "" } } }

Product details

ab240030 is the carrier-free version of ab126747.

Patented technology
Our RabMAb® technology is a patented hybridoma-based technology for making rabbit monoclonal antibodies. For details on our patents, please refer to RabMAb® patents.

What are the advantages of a recombinant monoclonal antibody?
This product is a recombinant monoclonal antibody, which offers several advantages including:

  • - High batch-to-batch consistency and reproducibility
  • - Improved sensitivity and specificity
  • - Long-term security of supply
  • - Animal-free batch production

For more information, read more on recombinant antibodies.

Conjugation ready
Our carrier-free antibodies are typically supplied in a PBS-only formulation, purified and free of BSA, sodium azide and glycerol. This conjugation-ready format is designed for use with fluorochromes, metal isotopes, oligonucleotides, and enzymes, which makes them ideal for antibody labelling, functional and cell-based assays, flow-based assays (e.g. mass cytometry) and Multiplex Imaging applications.

Use our conjugation kits for antibody conjugates that are ready-to-use in as little as 20 minutes with 1 minute hands-on-time and 100% antibody recovery: available for fluorescent dyes, HRP, biotin and gold.

Compatibility
This product is compatible with the Maxpar® Antibody Labeling Kit from Fluidigm, without the need for antibody preparation. Maxpar® is a trademark of Fluidigm Canada Inc.

Properties and storage information

Form
Liquid
Purification technique
Affinity purification Protein A
Storage buffer
pH: 7.2 - 7.4 Constituents: PBS
Shipped at conditions
Blue Ice
Appropriate short-term storage conditions
+4°C
Appropriate long-term storage conditions
+4°C
Storage information
Do Not Freeze

Supplementary information

This supplementary information is collated from multiple sources and compiled automatically.

GPCR LGR6 also known as leucine-rich repeat-containing G protein-coupled receptor 6 is a transmembrane receptor that belongs to the large GPCR family. It has a molecular weight of approximately 98 kDa. LGR6 expresses in various tissues including skin bone and certain regions of the brain. The receptor binds specific ligands which initiates signal transduction pathways that mediate various cellular responses. This function places LGR6 as an important component in multiple physiological processes.
Biological function summary

LGR6 plays an important role in signaling pathways involved in stem cell maintenance and tissue regeneration. It functions together with other proteins as part of a larger receptor complex. In the skin LGR6 marks a population of stem cells involved in hair follicle cycling and epidermal renewal. Its activity influences the cellular communication required for tissue homeostasis and repair. This receptor helps in determining cellular fate and proliferation in various tissues.

Pathways

LGR6 participates in the Wnt signaling pathway which is important for cell differentiation growth and migration. LGR6 interacts with proteins such as R-spondins enhancing Wnt signaling. This connection highlights LGR6's role in modulating pathways essential for embryonic development and tissue patterning. The interaction with Wnt and related proteins positions LGR6 as a modulator of pathways that govern stem cell behavior.

Abnormalities in LGR6 function have associations with skin disorders and cancers. Mutations or dysregulation of LGR6 can lead to impaired wound healing and contribute to pathological conditions. In cancer LGR6 has connections with proteins that affect tumor growth and metastasis. Studies suggest involvement of LGR6 in pathways related to squamous cell carcinoma further linking it with proteins involved in cancer progression therefore underlining its potential as a therapeutic target.

Product protocols

For this product, it's our understanding that no specific protocols are required. You can visit:

Target data

Receptor for R-spondins that potentiates the canonical Wnt signaling pathway and acts as a marker of multipotent stem cells in the epidermis. Upon binding to R-spondins (RSPO1, RSPO2, RSPO3 or RSPO4), associates with phosphorylated LRP6 and frizzled receptors that are activated by extracellular Wnt receptors, triggering the canonical Wnt signaling pathway to increase expression of target genes. In contrast to classical G-protein coupled receptors, does not activate heterotrimeric G-proteins to transduce the signal. May act as a tumor suppressor.
See full target information LGR6

Publications (1)

Recent publications for all applications. Explore the full list and refine your search

Brain sciences 12: PubMed35625066

2022

Distribution of Adiponectin Receptors in the Brain of Adult Mouse: Effect of a Single Dose of the Adiponectin Receptor Agonist, AdipoRON, on Ischemic Stroke.

Applications

Unspecified application

Species

Unspecified reactive species

Julien Clain,David Couret,Cynthia Planesse,Pascale Krejbich-Trotot,Olivier Meilhac,Christian Lefebvre d'Hellencourt,Wildriss Viranaicken,Nicolas Diotel
View all publications

Product promise

We are committed to supporting your work with high-quality reagents, and we're here for you every step of the way. In the unlikely event that one of our products does not perform as expected, you're protected by our Product Promise.
For full details, please see our Terms & Conditions

Please note: All products are 'FOR RESEARCH USE ONLY. NOT FOR USE IN DIAGNOSTIC OR THERAPEUTIC PROCEDURES'.

For licensing inquiries, please contact partnerships@abcam.com