JavaScript is disabled in your browser. Please enable JavaScript to view this website.
AB324431

Anti-GPCR RDC1/CXCR-7 antibody [EPR29064-191]

Be the first to review this product! Submit a review

|

(0 Publication)

Rabbit Recombinant Monoclonal GPCR RDC1/CXCR-7 antibody. Suitable for IHC-P, ICC/IF, Flow Cyt and reacts with Transfected cell line - Human, Human samples.

View Alternative Names

CMKOR1, CXCR7, GPR159, RDC1, ACKR3, Atypical chemokine receptor 3, C-X-C chemokine receptor type 7, Chemokine orphan receptor 1, G-protein coupled receptor 159, G-protein coupled receptor RDC1 homolog, CXC-R7, CXCR-7, RDC-1

8 Images
Immunohistochemistry (Formalin/PFA-fixed paraffin-embedded sections) - Anti-GPCR RDC1/CXCR-7 antibody [EPR29064-191] (AB324431)
  • IHC-P

Supplier Data

Immunohistochemistry (Formalin/PFA-fixed paraffin-embedded sections) - Anti-GPCR RDC1/CXCR-7 antibody [EPR29064-191] (AB324431)

Immunohistochemical analysis of paraffin-embedded (A) MCF7 (human breast adenocarcinoma epithelial cell) cell pellet (B) LNcap (human prostate carcinoma epithelial cell) cell pellet (C) T-47D (human ductal breast epithelial tumor epithelial cell) cell pellet (D) HT-29 (human colorectal adenocarcinoma epithelial cell) cell pellet tissue labeling GPCR RDC1/CXCR-7 with ab324431 at 1/1000 (0.511 ug/ml) dilution, followed by a ready to use LeicaDS9800 (Bond™ Polymer Refine Detection).

Positive staining on A : MCF7 cell pellet and B : LNcap cell pellet, no staining on C : T-47D cell pellet and D : HT-29 cell pellet (PMID : 25168820, PMID : 20388803 ). The primary antibody was incubated for 30 mins at room temperature.
The immunostaining was performed on a Leica Biosystems BOND® RX instrument

Counterstained with Hematoxylin.

Secondary antibody only control : Secondary antibody is a ready to use LeicaDS9800 (Bond™ Polymer Refine Detection).

Heat mediated antigen retrieval was performed with Tris-EDTA buffer (pH 9.0, Epitope Retrieval Solution2) for 20 mins

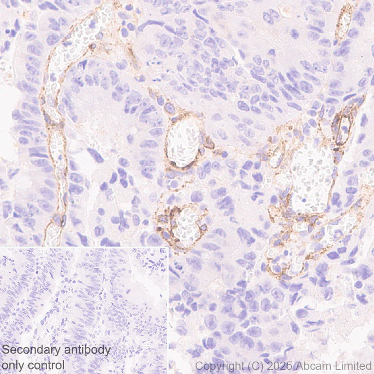
Immunohistochemistry (Formalin/PFA-fixed paraffin-embedded sections) - Anti-GPCR RDC1/CXCR-7 antibody [EPR29064-191] (AB324431)
  • IHC-P

Supplier Data

Immunohistochemistry (Formalin/PFA-fixed paraffin-embedded sections) - Anti-GPCR RDC1/CXCR-7 antibody [EPR29064-191] (AB324431)

Immunohistochemical analysis of paraffin-embedded Human clear cell carcinoma tissue labeling GPCR RDC1/CXCR-7 with ab324431 at 1/1000 (0.511 ug/ml) dilution, followed by a ready to use LeicaDS9800 (Bond™ Polymer Refine Detection).

Positive staining on blood vessels in human clear cell carcinoma. The primary antibody was incubated for 30 mins at room temperature.
The immunostaining was performed on a Leica Biosystems BOND® RX instrument

Counterstained with Hematoxylin.

Secondary antibody only control : Secondary antibody is a ready to use LeicaDS9800 (Bond™ Polymer Refine Detection).

Heat mediated antigen retrieval was performed with Tris-EDTA buffer (pH 9.0, Epitope Retrieval Solution2) for 20 mins

Immunohistochemistry (Formalin/PFA-fixed paraffin-embedded sections) - Anti-GPCR RDC1/CXCR-7 antibody [EPR29064-191] (AB324431)
  • IHC-P

Supplier Data

Immunohistochemistry (Formalin/PFA-fixed paraffin-embedded sections) - Anti-GPCR RDC1/CXCR-7 antibody [EPR29064-191] (AB324431)

Immunohistochemical analysis of paraffin-embedded (A) HEK-293T (human embryonic kidney epithelial cell) transfected with a human CXCR7 expression vector containing a his tag. (B) HEK-293T transfected with empty vector containing a his tag. tissue labeling GPCR RDC1/CXCR-7 with ab324431 at 1/1000 (0.511 ug/ml) dilution, followed by a ready to use LeicaDS9800 (Bond™ Polymer Refine Detection).

Positive staining on (A) HEK-293T transfected with a human CXCR7 expression vector containing a his tag, no staining on (B) HEK-293T transfected with empty vector containing a his tag. The primary antibody was incubated for 30 mins at room temperature.
The immunostaining was performed on a Leica Biosystems BOND® RX instrument

Counterstained with Hematoxylin.

Secondary antibody only control : Secondary antibody is a ready to use LeicaDS9800 (Bond™ Polymer Refine Detection).

Heat mediated antigen retrieval was performed with Tris-EDTA buffer (pH 9.0, Epitope Retrieval Solution2) for 20 mins

Immunohistochemistry (Formalin/PFA-fixed paraffin-embedded sections) - Anti-GPCR RDC1/CXCR-7 antibody [EPR29064-191] (AB324431)
  • IHC-P

Supplier Data

Immunohistochemistry (Formalin/PFA-fixed paraffin-embedded sections) - Anti-GPCR RDC1/CXCR-7 antibody [EPR29064-191] (AB324431)

Immunohistochemical analysis of paraffin-embedded Human spleen tissue labeling GPCR RDC1/CXCR-7 with ab324431 at 1/1000 (0.511 ug/ml) dilution, followed by a ready to use LeicaDS9800 (Bond™ Polymer Refine Detection).

Positive staining on blood vessels in human spleen. The primary antibody was incubated for 30 mins at room temperature.
The immunostaining was performed on a Leica Biosystems BOND® RX instrument

Counterstained with Hematoxylin.

Secondary antibody only control : Secondary antibody is a ready to use LeicaDS9800 (Bond™ Polymer Refine Detection).

Heat mediated antigen retrieval was performed with Tris-EDTA buffer (pH 9.0, Epitope Retrieval Solution2) for 20 mins

Immunohistochemistry (Formalin/PFA-fixed paraffin-embedded sections) - Anti-GPCR RDC1/CXCR-7 antibody [EPR29064-191] (AB324431)
  • IHC-P

Supplier Data

Immunohistochemistry (Formalin/PFA-fixed paraffin-embedded sections) - Anti-GPCR RDC1/CXCR-7 antibody [EPR29064-191] (AB324431)

Immunohistochemical analysis of paraffin-embedded Human colon carcinoma tissue labeling GPCR RDC1/CXCR-7 with ab324431 at 1/1000 (0.511 ug/ml) dilution, followed by a ready to use LeicaDS9800 (Bond™ Polymer Refine Detection).

Positive staining on blood vessels in human colon carcinoma. The primary antibody was incubated for 30 mins at room temperature.
The immunostaining was performed on a Leica Biosystems BOND® RX instrument

Counterstained with Hematoxylin.

Secondary antibody only control : Secondary antibody is a ready to use LeicaDS9800 (Bond™ Polymer Refine Detection).

Heat mediated antigen retrieval was performed with Tris-EDTA buffer (pH 9.0, Epitope Retrieval Solution2) for 20 mins

Immunocytochemistry/ Immunofluorescence - Anti-GPCR RDC1/CXCR-7 antibody [EPR29064-191] (AB324431)
  • ICC/IF

Supplier Data

Immunocytochemistry/ Immunofluorescence - Anti-GPCR RDC1/CXCR-7 antibody [EPR29064-191] (AB324431)

Immunofluorescent analysis of 4% Paraformaldehyde-fixed, 0.1% TritonX-100 permeabilized MCF7 (human breast adenocarcinoma epithelial cell) cells labelling GPCR RDC1/CXCR-7 with ab324431 at 1/500 dilution, followed by ab150081 Goat Anti-Rabbit IgG H&L (Alexa Fluor® 488) preadsorbed antibody at 1/1000 dilution (Green).

Confocal image showing mambrane and cytoplasmic staining in MCF7 cell line (shown in green). The counterstain was observed in magenta. Nuclear DNA was labelled with DAPI (shown in blue).
Negative control : T-47D (PMID : 25168820).
Image was taken with a confocal microscope (Leica-Microsystems, TCS SP8).

ab7291 Anti-alpha Tubulin mouse monoclonal antibody was used to counterstain tubulin at 1/1000 dilution (Magenta). The Nuclear counterstain was DAPI (Blue).

Secondary antibody only control : Secondary antibody is ab150081 Goat Anti-Rabbit IgG H&L (Alexa Fluor® 488) preadsorbed at 1/1000 dilution.

Flow Cytometry - Anti-GPCR RDC1/CXCR-7 antibody [EPR29064-191] (AB324431)
  • Flow Cyt

Supplier Data

Flow Cytometry - Anti-GPCR RDC1/CXCR-7 antibody [EPR29064-191] (AB324431)

Flow cytometric analysis of T-47D (human ductal breast epithelial tumor epithelial cell, Left) / MCF7 (human breast adenocarcinoma epithelial cell, Right) cells labelling GPCR RDC1/CXCR-7 with ab324431 at 1/500 dilution (0.1ug) (Red) compared with a Rabbit monoclonal IgG (ab172730) (Black) isotype control and an unlabelled control (cells without incubation with primary antibody and secondary antibody).

Goat anti-Rabbit IgG (Alexa Fluor® 647, ab150083) at 1/5000 dilution was used as the secondary antibody.

Gated on viable cells.
Negative control : T-47D (PMID : 25168820).

Flow Cytometry - Anti-GPCR RDC1/CXCR-7 antibody [EPR29064-191] (AB324431)
  • Flow Cyt

Supplier Data

Flow Cytometry - Anti-GPCR RDC1/CXCR-7 antibody [EPR29064-191] (AB324431)

Flow cytometric analysis of HT-29 (human colorectal adenocarcinoma epithelial cell, Left) / LNCap (human prostate carcinoma epithelial cell, Right) cells labelling GPCR RDC1/CXCR-7 with ab324431 at 1/500 dilution (0.1ug) (Red) compared with a Rabbit monoclonal IgG (ab172730) (Black) isotype control and an unlabelled control (cells without incubation with primary antibody and secondary antibody).

Goat anti-Rabbit IgG (Alexa Fluor® 647, ab150083) at 1/5000 dilution was used as the secondary antibody.

Gated on viable cells.
Negative control : HT-29 (PMID : 20388803).

Key facts

Host species

Rabbit

Clonality

Monoclonal

Clone number

EPR29064-191

Isotype

IgG

Carrier free

No

Reacts with

Human

Applications

Flow Cyt, ICC/IF, IHC-P

applications

Immunogen

The exact immunogen used to generate this antibody is proprietary information.

Reactivity data

{ "title": "Reactivity Data", "filters": { "stats": ["", "Species", "Dilution Info", "Notes"], "tabs": { "all-applications": {"fullname" : "All Applications", "shortname": "All Applications"}, "IHCP" : {"fullname" : "Immunohistochemistry (Formalin/PFA-fixed paraffin-embedded sections)", "shortname":"IHC-P"}, "ICCIF" : {"fullname" : "Immunocytochemistry/ Immunofluorescence", "shortname":"ICC/IF"}, "FlowCyt" : {"fullname" : "Flow Cytometry", "shortname":"Flow Cyt"} }, "product-promise": { "all": "all", "testedAndGuaranteed": "tested", "guaranteed": "expected", "predicted": "predicted", "notRecommended": "not-recommended" } }, "values": { "Human": { "IHCP-species-checked": "testedAndGuaranteed", "IHCP-species-dilution-info": "1/1000", "IHCP-species-notes": "<p></p> Perform heat-mediated antigen retrieval with Tris/EDTA buffer pH 9.0 before commencing with IHC staining protocol.", "ICCIF-species-checked": "testedAndGuaranteed", "ICCIF-species-dilution-info": "1/500", "ICCIF-species-notes": "<p></p>", "FlowCyt-species-checked": "testedAndGuaranteed", "FlowCyt-species-dilution-info": "1/500", "FlowCyt-species-notes": "<p></p>" }, "Mouse": { "IHCP-species-checked": "notRecommended", "IHCP-species-dilution-info": "", "IHCP-species-notes": "<p></p>", "ICCIF-species-checked": "notRecommended", "ICCIF-species-dilution-info": "", "ICCIF-species-notes": "<p></p>", "FlowCyt-species-checked": "notRecommended", "FlowCyt-species-dilution-info": "", "FlowCyt-species-notes": "<p></p>" }, "Transfected cell line - Human": { "IHCP-species-checked": "testedAndGuaranteed", "IHCP-species-dilution-info": "1/1000", "IHCP-species-notes": "<p></p> Perform heat-mediated antigen retrieval with Tris/EDTA buffer pH 9.0 before commencing with IHC staining protocol.", "ICCIF-species-checked": "notRecommended", "ICCIF-species-dilution-info": "", "ICCIF-species-notes": "", "FlowCyt-species-checked": "notRecommended", "FlowCyt-species-dilution-info": "", "FlowCyt-species-notes": "" } } }

Product details

Patented technology
Our RabMAb® technology is a patented hybridoma-based technology for making rabbit monoclonal antibodies. For details on our patents, please refer to RabMAb® patents.

What are the advantages of a recombinant monoclonal antibody?
This product is a recombinant monoclonal antibody, which offers several advantages including:

  • - High batch-to-batch consistency and reproducibility
  • - Improved sensitivity and specificity
  • - Long-term security of supply
  • - Animal-free batch production

For more information, read more on recombinant antibodies.

Properties and storage information

Form
Liquid
Purification technique
Affinity purification Protein A
Storage buffer
pH: 7.2 - 7.4 Preservative: 0.01% Sodium azide Constituents: PBS, 40% Glycerol (glycerin, glycerine), 0.05% BSA
Shipped at conditions
Blue Ice
Appropriate short-term storage duration
1-2 weeks
Appropriate short-term storage conditions
+4°C
Appropriate long-term storage conditions
-20°C
Aliquoting information
Upon delivery aliquot
Storage information
Avoid freeze / thaw cycle

Product protocols

For this product, it's our understanding that no specific protocols are required. You can visit:

Target data

Atypical chemokine receptor that controls chemokine levels and localization via high-affinity chemokine binding that is uncoupled from classic ligand-driven signal transduction cascades, resulting instead in chemokine sequestration, degradation, or transcytosis. Also known as interceptor (internalizing receptor) or chemokine-scavenging receptor or chemokine decoy receptor. Acts as a receptor for chemokines CXCL11 and CXCL12/SDF1 (PubMed : 16107333, PubMed : 19255243, PubMed : 19380869, PubMed : 20161793, PubMed : 22300987). Chemokine binding does not activate G-protein-mediated signal transduction but instead induces beta-arrestin recruitment, leading to ligand internalization and activation of MAPK signaling pathway (PubMed : 16940167, PubMed : 18653785, PubMed : 20018651). Required for regulation of CXCR4 protein levels in migrating interneurons, thereby adapting their chemokine responsiveness (PubMed : 16940167, PubMed : 18653785). In glioma cells, transduces signals via MEK/ERK pathway, mediating resistance to apoptosis. Promotes cell growth and survival (PubMed : 16940167, PubMed : 20388803). Not involved in cell migration, adhesion or proliferation of normal hematopoietic progenitors but activated by CXCL11 in malignant hemapoietic cells, leading to phosphorylation of ERK1/2 (MAPK3/MAPK1) and enhanced cell adhesion and migration (PubMed : 17804806, PubMed : 18653785, PubMed : 19641136, PubMed : 20887389). Plays a regulatory role in CXCR4-mediated activation of cell surface integrins by CXCL12 (PubMed : 18653785). Required for heart valve development (PubMed : 17804806). Regulates axon guidance in the oculomotor system through the regulation of CXCL12 levels (PubMed : 31211835).. (Microbial infection) Acts as a coreceptor with CXCR4 for a restricted number of HIV isolates.
See full target information ACKR3

Product promise

We are committed to supporting your work with high-quality reagents, and we're here for you every step of the way. In the unlikely event that one of our products does not perform as expected, you're protected by our Product Promise.
For full details, please see our Terms & Conditions

Please note: All products are 'FOR RESEARCH USE ONLY. NOT FOR USE IN DIAGNOSTIC OR THERAPEUTIC PROCEDURES'.

For licensing inquiries, please contact partnerships@abcam.com