JavaScript is disabled in your browser. Please enable JavaScript to view this website.
AB150495

Anti-GPCR TAS1R2 antibody - N-terminal

Be the first to review this product! Submit a review

|

(3 Publications)

Rabbit Polyclonal GPCR TAS1R2 antibody. Suitable for IHC-P and reacts with Human samples. Cited in 3 publications. Immunogen corresponding to Synthetic Peptide within Human TAS1R2.

View Alternative Names

GPR71, T1R2, TR2, TAS1R2, Taste receptor type 1 member 2, G-protein coupled receptor 71, Sweet taste receptor T1R2

1 Images
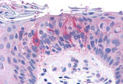
Immunohistochemistry (Formalin/PFA-fixed paraffin-embedded sections) - Anti-GPCR TAS1R2 antibody - N-terminal (AB150495)
  • IHC-P

Unknown

Immunohistochemistry (Formalin/PFA-fixed paraffin-embedded sections) - Anti-GPCR TAS1R2 antibody - N-terminal (AB150495)

Immunohistochemical analysis of formalin-fixed, paraffin-embedded Human taste receptor cells labelling GPCR TAS1R2 with ab150495 at 9 µg/ml.

Key facts

Host species

Rabbit

Clonality

Polyclonal

Isotype

IgG

Carrier free

No

Reacts with

Human

Applications

IHC-P

applications

Immunogen

Synthetic Peptide within Human TAS1R2. The exact immunogen used to generate this antibody is proprietary information.

Q8TE23

Specificity

BLAST analysis of the peptide immunogen showed no homology with other Human proteins.

Reactivity data

{ "title": "Reactivity Data", "filters": { "stats": ["", "Species", "Dilution Info", "Notes"], "tabs": { "all-applications": {"fullname" : "All Applications", "shortname": "All Applications"}, "IHCP" : {"fullname" : "Immunohistochemistry (Formalin/PFA-fixed paraffin-embedded sections)", "shortname":"IHC-P"} }, "product-promise": { "all": "all", "testedAndGuaranteed": "tested", "guaranteed": "expected", "predicted": "predicted", "notRecommended": "not-recommended" } }, "values": { "Human": { "IHCP-species-checked": "testedAndGuaranteed", "IHCP-species-dilution-info": "5-9 µg/mL", "IHCP-species-notes": "<p></p> Perform heat-mediated antigen retrieval before commencing with IHC staining protocol." }, "Chimpanzee": { "IHCP-species-checked": "predicted", "IHCP-species-dilution-info": "", "IHCP-species-notes": "" }, "Gorilla": { "IHCP-species-checked": "predicted", "IHCP-species-dilution-info": "", "IHCP-species-notes": "" }, "Orangutan": { "IHCP-species-checked": "predicted", "IHCP-species-dilution-info": "", "IHCP-species-notes": "" } } }

Properties and storage information

Form
Liquid
Purification technique
Affinity purification Immunogen
Storage buffer
pH: 7.4 Preservative: 0.1% Sodium azide Constituents: PBS
Shipped at conditions
Blue Ice
Appropriate short-term storage conditions
+4°C
Appropriate long-term storage conditions
-20°C

Supplementary information

This supplementary information is collated from multiple sources and compiled automatically.

The GPCR TAS1R2 also known as Taste Receptor Type 1 Member 2 is part of the G protein-coupled receptor family. The molecular weight of TAS1R2 is around 90 kDa. This receptor is mainly expressed in taste buds on the tongue particularly in the taste receptor cells. TAS1R2 interacts mechanistically with other receptors by forming heterodimers particularly with TAS1R3. This interaction allows it to function effectively in sensing sweet substances.
Biological function summary

The TAS1R2 receptor plays a significant role in taste perception by functioning as a part of the heterodimer with TAS1R3. This dimer predominantly detects sweet-tasting compounds and some amino acids. As such TAS1R2 contributes to dietary choices and calorie intake regulation. Additionally researchers have identified its presence in other tissues like the pancreas suggesting it may have roles outside taste perception.

Pathways

TAS1R2 integrates into signaling pathways that mediate taste transduction. It notably participates in the sweet taste transduction pathway which affects the release of neurotransmitters triggered by sweet molecules. Additionally TAS1R2 is involved in the insulin secretion pathway via its action in pancreatic cells where it interacts with proteins involved in metabolic regulation.

TAS1R2 has associations with conditions such as obesity and type 2 diabetes. Variations in the TAS1R2 gene may influence individual taste preferences and energy balance potentially leading to an increased risk of obesity. Furthermore in type 2 diabetes alterations in sweet taste receptor function can affect insulin release and glucose homeostasis. In this context TAS1R2's interaction with TAS1R3 and other metabolic proteins highlights its importance in maintaining normal metabolic functions.

Product protocols

For this product, it's our understanding that no specific protocols are required. You can visit:

Target data

Putative taste receptor. TAS1R2/TAS1R3 recognizes diverse natural and synthetic sweeteners.
See full target information TAS1R2

Publications (3)

Recent publications for all applications. Explore the full list and refine your search

The journal of histochemistry and cytochemistry : official journal of the Histochemistry Society 73:237-249 PubMed40552467

2025

CMKLR-1 Expression in Human Aorta Is Dominated by Smooth Muscle Cell Positivity.

Applications

Unspecified application

Species

Unspecified reactive species

Hannes Öster,Trina Chen,Ari Mennander,Timo Paavonen,Ivana Kholová

Frontiers in nutrition 8:720889 PubMed34422887

2021

Drinking Non-nutritive Sweetness Solution of Sodium Saccharin or Rebaudioside a for Guinea Pigs: Influence on Histologic Change and Expression of Sweet Taste Receptors in Testis and Epididymis.

Applications

Unspecified application

Species

Unspecified reactive species

Ting Shen,Junrong Li

Animal science journal = Nihon chikusan Gakkaiho 91:e13348 PubMed32219957

2020

Influences of non-nutritive sweeteners on ovarian and uterine expression of T1R2 and T1R3 in peripubertal female guinea pigs.

Applications

Unspecified application

Species

Unspecified reactive species

Junrong Li,Ting Shen,Fangxiong Shi,Yan Fu
View all publications

Product promise

We are committed to supporting your work with high-quality reagents, and we're here for you every step of the way. In the unlikely event that one of our products does not perform as expected, you're protected by our Product Promise.
For full details, please see our Terms & Conditions

Please note: All products are 'FOR RESEARCH USE ONLY. NOT FOR USE IN DIAGNOSTIC OR THERAPEUTIC PROCEDURES'.

For licensing inquiries, please contact partnerships@abcam.com