JavaScript is disabled in your browser. Please enable JavaScript to view this website.
AB72608

Anti-GPCR TGR5 antibody

Be the first to review this product! Submit a review

|

(39 Publications)

Anti-GPCR TGR5 antibody (ab72608) is a rabbit polyclonal antibody detecting GPCR TGR5 in Western Blot, IHC-P. Suitable for Human, Mouse.

- Over 30 publications
- Trusted since 2008

View Alternative Names

TGR5, GPBAR1, G-protein coupled bile acid receptor 1, G-protein coupled receptor GPCR19, Membrane-type receptor for bile acids, hBG37, hGPCR19, M-BAR, BG37

3 Images
Western blot - Anti-GPCR TGR5 antibody (AB72608)
  • WB

Supplier Data

Western blot - Anti-GPCR TGR5 antibody (AB72608)

Lane 1:

Western blot - Anti-GPCR TGR5 antibody (ab72608)

Lanes 2 - 3:

Western blot - Anti-GPCR TGR5 antibody (ab72608) at 1/1000 dilution

Lane 1:

Pre-immune serum

Lane 2:

Human spleen lysate

Lane 3:

Mouse spleen lysate

Predicted band size: 35 kDa

Observed band size: 27 kDa,33 kDa

false

Immunohistochemistry (Formalin/PFA-fixed paraffin-embedded sections) - Anti-GPCR TGR5 antibody (AB72608)
  • IHC-P

Unknown

Immunohistochemistry (Formalin/PFA-fixed paraffin-embedded sections) - Anti-GPCR TGR5 antibody (AB72608)

IHC image of ab72608 staining in human tonsil formalin fixed paraffin embedded tissue section, performed on a Leica BondTM system using the standard protocol F. The section was pre-treated using heat mediated antigen retrieval with sodium citrate buffer (pH6, epitope retrieval solution 1) for 20 mins. The section was then incubated with ab72608, at 1/100 dilution, for 15 mins at room temperature and detected using an HRP conjugated compact polymer system. DAB was used as the chromogen. The section was then counterstained with haematoxylin and mounted with DPX.

For other IHC staining systems (automated and non-automated) customers should optimize variable parameters such as antigen retrieval conditions, primary antibody concentration and antibody incubation times.

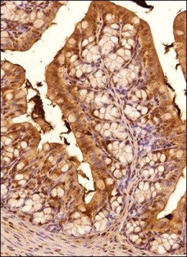
Immunohistochemistry (Formalin/PFA-fixed paraffin-embedded sections) - Anti-GPCR TGR5 antibody (AB72608)
  • IHC-P

Supplier Data

Immunohistochemistry (Formalin/PFA-fixed paraffin-embedded sections) - Anti-GPCR TGR5 antibody (AB72608)

Formalin-fixed, paraffin-embedded mouse colon tissue stained for GPCR TGR5 with ab72608 at 1/200 dilution in immunohistochemical analysis. DAB staining. Counter stained with Hematoxylin.

Key facts

Host species

Rabbit

Clonality

Polyclonal

Isotype

IgG

Carrier free

No

Reacts with

Mouse, Human

Applications

WB, IHC-P

applications

Immunogen

Synthetic Peptide within Human GPBAR1. The exact immunogen used to generate this antibody is proprietary information.

Q8TDU6

Reactivity data

{ "title": "Reactivity Data", "filters": { "stats": ["", "Species", "Dilution Info", "Notes"], "tabs": { "all-applications": {"fullname" : "All Applications", "shortname": "All Applications"}, "IHCP" : {"fullname" : "Immunohistochemistry (Formalin/PFA-fixed paraffin-embedded sections)", "shortname":"IHC-P"}, "WB" : {"fullname" : "Western blot", "shortname":"WB"}, "ICCIF" : {"fullname" : "Immunocytochemistry/ Immunofluorescence", "shortname":"ICC/IF"} }, "product-promise": { "all": "all", "testedAndGuaranteed": "tested", "guaranteed": "expected", "predicted": "predicted", "notRecommended": "not-recommended" } }, "values": { "Human": { "IHCP-species-checked": "testedAndGuaranteed", "IHCP-species-dilution-info": "1/100", "IHCP-species-notes": "<p></p> Perform heat-mediated antigen retrieval with citrate buffer pH 6 before commencing with IHC staining protocol.", "WB-species-checked": "testedAndGuaranteed", "WB-species-dilution-info": "1/1000 - 1/5000", "WB-species-notes": "<p>Block the membrane in 5% Non-fat milk in TBST (blocking buffer) for at least 1 hour.</p><p>Dilute primary antibody in blocking buffer and incubate overnight at 4C with gentle rocking.</p>", "ICCIF-species-checked": "notRecommended", "ICCIF-species-dilution-info": "1/50", "ICCIF-species-notes": "<p></p>" }, "Mouse": { "IHCP-species-checked": "testedAndGuaranteed", "IHCP-species-dilution-info": "1/100", "IHCP-species-notes": "<p></p> Perform heat-mediated antigen retrieval with citrate buffer pH 6 before commencing with IHC staining protocol.", "WB-species-checked": "testedAndGuaranteed", "WB-species-dilution-info": "1/1000 - 1/5000", "WB-species-notes": "<p>Block the membrane in 5% Non-fat milk in TBST (blocking buffer) for at least 1 hour.</p><p>Dilute primary antibody in blocking buffer and incubate overnight at 4C with gentle rocking.</p>", "ICCIF-species-checked": "notRecommended", "ICCIF-species-dilution-info": "", "ICCIF-species-notes": "" } } }

Product details

What is this antibody validated in?
Anti-GPCR TGR5 antibody (ab72608) is a rabbit polyclonal antibody and is validated for use in Western Blot (WB), Immunohistochemistry (IHC-P) in Human, Mouse samples.

What is the molecular weight of GPCR TGR5?
Anti-GPCR TGR5 (ab72608) specifically detects a band for GPCR TGR5 (UniProt: Q8TDU6) at a molecular weight of 35kDa.

Trusted by the scientific community
Anti-GPCR TGR5 (ab72608) was first used in a scientific publication in 2008 and has been cited over 30 times in peer-reviewed journals.

Properties and storage information

Form
Liquid
Purity
Whole antiserum
Storage buffer
pH: 7.4 Preservative: 0.05% Sodium azide Constituents: Whole serum
Shipped at conditions
Blue Ice
Appropriate short-term storage conditions
+4°C
Appropriate long-term storage conditions
-20°C
Aliquoting information
Upon delivery aliquot
Storage information
Avoid freeze / thaw cycle

Supplementary information

This supplementary information is collated from multiple sources and compiled automatically.

GPCR TGR5 also known as G protein-coupled bile acid receptor 1 (GPBAR1) is a member of the GPCR superfamily. This receptor weighs approximately 35 kDa and is expressed in various tissues including liver intestine brown adipose tissue and macrophages. It functions as a membrane receptor that binds bile acids which activates downstream signaling pathways influencing metabolic processes.
Biological function summary

GPCR TGR5 plays a role in energy metabolism and the immune response. It does not form part of a larger receptor complex but interacts with different proteins to mediate its effects. Upon activation by bile acids TGR5 stimulates the production of cyclic AMP (cAMP) and regulates the release of various cytokines influencing metabolic rate and promoting anti-inflammatory effects.

Pathways

GPCR TGR5 links to the cAMP signaling pathway and plays a role in the brown adipose tissue activation pathway. It is closely related to proteins like adenylate cyclase which it activates to increase cAMP levels and potentially interacts with nuclear receptors modifying gene expression linked to energy homeostasis and inflammation control.

GPCR TGR5 associates with metabolic disorders such as obesity and type 2 diabetes. Its role in regulating energy expenditure makes it a target for combating obesity where it influences pathways involving protein partners like adenylate cyclase. Additionally its involvement in controlling inflammation connects it to diseases involving immune dysregulation offering potential pathways for therapeutic interventions.

Product protocols

For this product, it's our understanding that no specific protocols are required. You can visit:

Target data

Receptor for bile acid. Bile acid-binding induces its internalization, activation of extracellular signal-regulated kinase and intracellular cAMP production. May be involved in the suppression of macrophage functions by bile acids.
See full target information GPBAR1

Publications (39)

Recent publications for all applications. Explore the full list and refine your search

Cell death & disease 14:583 PubMed37658045

2023

TGR5 supresses cGAS/STING pathway by inhibiting GRP75-mediated endoplasmic reticulum-mitochondrial coupling in diabetic retinopathy.

Applications

Unspecified application

Species

Unspecified reactive species

Yan Li,Lingpeng Zhu,Meng-Xia Cai,Zi-Li Wang,Miao Zhuang,Cheng-Ye Tan,Tian-Hua Xie,Yong Yao,Ting-Ting Wei

Journal of translational medicine 21:498 PubMed37491256

2023

Insulin alleviates murine colitis through microbiome alterations and bile acid metabolism.

Applications

Unspecified application

Species

Unspecified reactive species

Shuying He,Jiating Li,Zirong Yao,Zixian Gao,Yonghong Jiang,Xueqing Chen,Liang Peng

Frontiers in oncology 12:1113785 PubMed36755861

2023

GPBAR1 is associated with asynchronous bone metastasis and poor prognosis of hepatocellular carcinoma.

Applications

Unspecified application

Species

Unspecified reactive species

Nan Chen,Jieqing Wang,Lei Zhou,Baiqiang Hu,Yinzhong Chen,Zhuangchen Zhu

Cells 12: PubMed36831193

2023

Conjugated Bile Acids Promote Lymphangiogenesis by Modulation of the Reactive Oxygen Species-p90RSK-Vascular Endothelial Growth Factor Receptor 3 Pathway.

Applications

Unspecified application

Species

Unspecified reactive species

Priyanka Banerjee,Subhashree Kumaravel,Sukanya Roy,Niyanshi Gaddam,Johnny Odeh,Kayla J Bayless,Shannon Glaser,Sanjukta Chakraborty

International journal of clinical and experimental pathology 15:354-363 PubMed36237638

2022

Expression and significance of CDX2, FXR, and TGR5 in esophageal cancer.

Applications

Unspecified application

Species

Unspecified reactive species

Hongying Zhang,Xiaodong Qu,Na Wang,Lifeng Zhang,Ting Yuan,Miao Shi,Nina Sun,Donghong Yuan,Hanbing Ning,Mengyun Zhao,Yongxi Wang,Zhen Ni,Chuan Han,Yongquan Shi

Gut microbes 14:2120744 PubMed36067404

2022

Deoxycholic acid induces gastric intestinal metaplasia by activating STAT3 signaling and disturbing gastric bile acids metabolism and microbiota.

Applications

Unspecified application

Species

Unspecified reactive species

Duochen Jin,Keting Huang,Miao Xu,Hongjin Hua,Feng Ye,Jin Yan,Guoxin Zhang,Yun Wang

Frontiers in cellular and infection microbiology 12:956528 PubMed35967856

2022

Abnormal bile acid metabolism is an important feature of gut microbiota and fecal metabolites in patients with slow transit constipation.

Applications

Unspecified application

Species

Unspecified reactive species

Yadong Fan,Chen Xu,Lulu Xie,Ying Wang,Shan Zhu,Jiren An,Yuwei Li,Zhikui Tian,Yiqi Yan,Shuang Yu,Haizhao Liu,Beitian Jia,Yiyang Wang,Li Wang,Long Yang,Yuhong Bian

The Journal of clinical investigation 132: PubMed35316215

2022

Iron deficiency linked to altered bile acid metabolism promotes Helicobacter pylori-induced inflammation-driven gastric carcinogenesis.

Applications

Unspecified application

Species

Unspecified reactive species

Jennifer M Noto,M Blanca Piazuelo,Shailja C Shah,Judith Romero-Gallo,Jessica L Hart,Chao Di,James D Carmichael,Alberto G Delgado,Alese E Halvorson,Robert A Greevy,Lydia E Wroblewski,Ayushi Sharma,Annabelle B Newton,Margaret M Allaman,Keith T Wilson,M Kay Washington,M Wade Calcutt,Kevin L Schey,Bethany P Cummings,Charles R Flynn,Joseph P Zackular,Richard M Peek

Experimental and therapeutic medicine 23:163 PubMed35069844

2022

Changes of farnesoid X receptor and Takeda G-protein coupled receptor 5 following biliary tract external drainage in hemorrhagic shock.

Applications

Unspecified application

Species

Unspecified reactive species

Lu Wang,Huai-Wu He,Xiang Zhou,Yun Long

Evidence-based complementary and alternative medicine : eCAM 2021:6076293 PubMed34925531

2021

Paeoniflorin Improved Constipation in the Loperamide-Induced Rat Model via TGR5/TRPA1 Signaling-Mediated 5-Hydroxytryptamine Secretion.

Applications

Unspecified application

Species

Unspecified reactive species

Yu Zhan,Yong Wen,Liang-Liang Zhang,Xu-Long Shen,Xiao-Hui Chen,Xiao-Hai Wu,Xue-Gui Tang
View all publications

Product promise

We are committed to supporting your work with high-quality reagents, and we're here for you every step of the way. In the unlikely event that one of our products does not perform as expected, you're protected by our Product Promise.
For full details, please see our Terms & Conditions

Please note: All products are 'FOR RESEARCH USE ONLY. NOT FOR USE IN DIAGNOSTIC OR THERAPEUTIC PROCEDURES'.

For licensing inquiries, please contact partnerships@abcam.com