JavaScript is disabled in your browser. Please enable JavaScript to view this website.
AB117074

Anti-GPCR150 antibody

1

(1 Review)

|

(2 Publications)

Rabbit Polyclonal GPCR150 antibody. Suitable for IHC-P and reacts with Human samples. Cited in 2 publications. Immunogen corresponding to Synthetic Peptide within Human GPR160 conjugated to Keyhole Limpet Haemocyanin.

View Alternative Names

GPCR150, GPR160, Probable G-protein coupled receptor 160, G-protein coupled receptor GPCR1, hGPCR1

1 Images
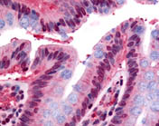
Immunohistochemistry (Formalin/PFA-fixed paraffin-embedded sections) - Anti-GPCR150 antibody (AB117074)
  • IHC-P

Unknown

Immunohistochemistry (Formalin/PFA-fixed paraffin-embedded sections) - Anti-GPCR150 antibody (AB117074)

ab117074, at 10 µg/ml, staining GPCR150 in Formalin-fixed, Paraffin-embedded Human Colon, Epithelium tissue by Immunohistochemistry followed by biotinylated secondary antibody, alkaline phosphatase-streptavidin and chromogen.

Key facts

Host species

Rabbit

Clonality

Polyclonal

Isotype

IgG

Carrier free

No

Reacts with

Human

Applications

IHC-P

applications

Immunogen

Synthetic Peptide within Human GPR160 conjugated to Keyhole Limpet Haemocyanin. The exact immunogen used to generate this antibody is proprietary information.

Q9UJ42

Reactivity data

{ "title": "Reactivity Data", "filters": { "stats": ["", "Species", "Dilution Info", "Notes"], "tabs": { "all-applications": {"fullname" : "All Applications", "shortname": "All Applications"}, "IHCP" : {"fullname" : "Immunohistochemistry (Formalin/PFA-fixed paraffin-embedded sections)", "shortname":"IHC-P"} }, "product-promise": { "all": "all", "testedAndGuaranteed": "tested", "guaranteed": "expected", "predicted": "predicted", "notRecommended": "not-recommended" } }, "values": { "Human": { "IHCP-species-checked": "testedAndGuaranteed", "IHCP-species-dilution-info": "10 µg/mL", "IHCP-species-notes": "<p></p> Perform heat-mediated antigen retrieval with citrate buffer pH 6 before commencing with IHC staining protocol." } } }

Properties and storage information

Form
Liquid
Purification technique
Affinity purification Protein A
Storage buffer
pH: 7.4 Preservative: 0.1% Sodium azide Constituents: PBS
Shipped at conditions
Blue Ice
Appropriate short-term storage conditions
+4°C
Appropriate long-term storage conditions
-80°C

Supplementary information

This supplementary information is collated from multiple sources and compiled automatically.

GPCR150 also known as G-protein coupled receptor 150 is a member of the GPCR family which plays an important role in signal transduction across cellular membranes. This receptor has an approximate mass of around 40 kDa. GPCR150 is expressed mainly in the central nervous system and other tissues which signifies its broad functional relevance. As with many GPCRs the receptor transduces external signals via interaction with G proteins upon ligand binding leading to various intracellular responses.
Biological function summary

GPCR150 is involved in the modulation of signal transduction processes impacting neural communication and potentially influencing neurological functions. It may not operate alone; rather it likely functions as part of a signaling complex involving other such receptors and proteins which facilitates its role in modulating neurotransmitter signals. This involvement hints at its importance in maintaining neural network activities and related physiological responses.

Pathways

Multiple processes involve GPCR150 where it acts through the neuroactive ligand-receptor interaction pathway a well-known pathway for neuronal signaling. It associates with other proteins like G-proteins and possibly chemokine receptors which collectively contribute to the transmission and modulation of signals critical for normal brain function. The pathways and associated proteins reinforce the receptor's role in supporting key neurological activities and physiological processes.

GPCR150 has associations with conditions such as anxiety and depression. These mental health issues underline the significance of proper signaling by GPCR150 in mood regulation and emotional response. The receptor's influence on these disorders may also involve interaction with other proteins like serotonin receptors which are key players in neurotransmitter pathways affecting mood and mental states. Understanding GPCR150's role may offer potential targets for therapeutic intervention in related disorders.

Product protocols

For this product, it's our understanding that no specific protocols are required. You can visit:

Target data

Orphan receptor.
See full target information GPR160

Publications (2)

Recent publications for all applications. Explore the full list and refine your search

BMB reports 54:368-373 PubMed33691904

2021

Expression profiles of human endogenous retrovirus (HERV)-K and HERV-R Env proteins in various cancers.

Applications

Unspecified application

Species

Unspecified reactive species

Eun-Ji Ko,Kyoung Seob Song,Mee Sun Ock,Yung Hyun Choi,Suhkmann Kim,Heui-Soo Kim,Hee-Jae Cha

American journal of physiology. Regulatory, integrative and comparative physiology 320:R236-R249 PubMed33206556

2020

Signaling in rat brainstem via Gpr160 is required for the anorexigenic and antidipsogenic actions of cocaine- and amphetamine-regulated transcript peptide.

Applications

Unspecified application

Species

Unspecified reactive species

Christopher J Haddock,Gislaine Almeida-Pereira,Lauren M Stein,Matthew R Hayes,Grant R Kolar,Willis K Samson,Gina L C Yosten
View all publications

Product promise

We are committed to supporting your work with high-quality reagents, and we're here for you every step of the way. In the unlikely event that one of our products does not perform as expected, you're protected by our Product Promise.
For full details, please see our Terms & Conditions

Please note: All products are 'FOR RESEARCH USE ONLY. NOT FOR USE IN DIAGNOSTIC OR THERAPEUTIC PROCEDURES'.

For licensing inquiries, please contact partnerships@abcam.com