JavaScript is disabled in your browser. Please enable JavaScript to view this website.
AB182144

Anti-GPD2 antibody [EPR14260]

Be the first to review this product! Submit a review

|

(1 Publication)

Rabbit Recombinant Monoclonal GPD2 antibody. Suitable for WB, Flow Cyt (Intra), IHC-P and reacts with Human samples. Cited in 1 publication.

View Alternative Names

GPD-M, GPDH-M, mitohondrial glycerophosphate dehydrogenase gene, mtGPD, mGDH, GPD2

4 Images
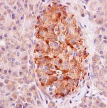
Immunohistochemistry (Formalin/PFA-fixed paraffin-embedded sections) - Anti-GPD2 antibody [EPR14260] (AB182144)
  • IHC-P

Supplier Data

Immunohistochemistry (Formalin/PFA-fixed paraffin-embedded sections) - Anti-GPD2 antibody [EPR14260] (AB182144)

Immunohistochemical analysis of paraffin embedded Human pancreas tissue sections labeling GPD2 using ab182144 at a 1/500 dilution. A ready to use HRP Polymer for Rabbit IgG was used as the secondary. Hematoxylin counterstain.

Perform heat mediated antigen retrieval with EDTA buffer pH 9 before commencing with IHC staining protocol.

Flow Cytometry (Intracellular) - Anti-GPD2 antibody [EPR14260] (AB182144)
  • Flow Cyt (Intra)

Supplier Data

Flow Cytometry (Intracellular) - Anti-GPD2 antibody [EPR14260] (AB182144)

Intracellular Flow Cytometry analysis of HeLa cells labeling GPD2 using ab182144 at a 1/140 dilution (pink). Goat anti rabbit IgG (FITC) used as the secondary at a 1/150 dilution. Isotype control Rabbit monoclonal IgG (green). Cells were fixed in 2% paraformaldehyde.

Western blot - Anti-GPD2 antibody [EPR14260] (AB182144)
  • WB

Supplier Data

Western blot - Anti-GPD2 antibody [EPR14260] (AB182144)

All lanes:

Western blot - Anti-GPD2 antibody [EPR14260] (ab182144) at 1/2000 dilution

Lane 1:

NIH:OVCAR-3 cell lysate at 10 µg

Lane 2:

MCF-7 cell lysate at 10 µg

Secondary

All lanes:

Goat Anti-Rabbit IgG, (H+L), Peroxidase conjugated at 1/1000 dilution

Predicted band size: 66 kDa,81 kDa

Observed band size: 66 kDa

false

Western blot - Anti-GPD2 antibody [EPR14260] (AB182144)
  • WB

CiteAb

Western blot - Anti-GPD2 antibody [EPR14260] (AB182144)

GPD2 western blot using anti-GPD2 antibody [EPR14260] ab182144. Publication image and figure legend from Wu, S. T., Liu, B., et al., 2020, Front Pharmacol, PubMed 32292350.

ab182144 was used in this publication in western blot. This may not be the same as the application(s) guaranteed by Abcam. For a full list of applications guaranteed by Abcam for ab182144 please see the product overview.

(A) Effects of esculetin on final tumor weight. (B) Comparison of PGK2, GPD2, GPI, Casepase-3, BAX, Bcl-2, and GAPDH levels in tumor tissue from different groups by WB, 0 mg/kg group was used as a control. Results are means± SEM, n=3 per experiment, *p < 0.05, **p < 0.01.

false

  • Carrier free

    Anti-GPD2 antibody [EPR14260] - BSA and Azide free

Key facts

Host species

Rabbit

Clonality

Monoclonal

Clone number

EPR14260

Isotype

IgG

Carrier free

No

Reacts with

Human

Applications

WB, IHC-P, Flow Cyt (Intra)

applications

Immunogen

The exact immunogen used to generate this antibody is proprietary information.

Reactivity data

{ "title": "Reactivity Data", "filters": { "stats": ["", "Species", "Dilution Info", "Notes"], "tabs": { "all-applications": {"fullname" : "All Applications", "shortname": "All Applications"}, "WB" : {"fullname" : "Western blot", "shortname":"WB"}, "FlowCytIntra" : {"fullname" : "Flow Cytometry (Intracellular)", "shortname":"Flow Cyt (Intra)"}, "IHCP" : {"fullname" : "Immunohistochemistry (Formalin/PFA-fixed paraffin-embedded sections)", "shortname":"IHC-P"} }, "product-promise": { "all": "all", "testedAndGuaranteed": "tested", "guaranteed": "expected", "predicted": "predicted", "notRecommended": "not-recommended" } }, "values": { "Human": { "WB-species-checked": "testedAndGuaranteed", "WB-species-dilution-info": "1/1000 - 1/2000", "WB-species-notes": "<p></p> Perform heat-mediated antigen retrieval with Tris/EDTA buffer pH 9.0 before commencing with IHC staining protocol.", "FlowCytIntra-species-checked": "testedAndGuaranteed", "FlowCytIntra-species-dilution-info": "1/140", "FlowCytIntra-species-notes": "<p><a href='/en-us/products/primary-antibodies/rabbit-igg-monoclonal-epr25a-isotype-control-ab172730'>ab172730</a> - Rabbit monoclonal IgG, is suitable for use as an isotype control with this antibody.</p>", "IHCP-species-checked": "testedAndGuaranteed", "IHCP-species-dilution-info": "1/500", "IHCP-species-notes": "<p></p> Perform heat-mediated antigen retrieval with Tris/EDTA buffer pH 9.0 before commencing with IHC staining protocol." } } }

Product details

Patented technology
Our RabMAb® technology is a patented hybridoma-based technology for making rabbit monoclonal antibodies. For details on our patents, please refer to RabMAb® patents.

What are the advantages of a recombinant monoclonal antibody?
This product is a recombinant monoclonal antibody, which offers several advantages including:

  • - High batch-to-batch consistency and reproducibility
  • - Improved sensitivity and specificity
  • - Long-term security of supply
  • - Animal-free batch production

For more information, read more on recombinant antibodies.

Properties and storage information

Form
Liquid
Purification technique
Affinity purification Protein A
Storage buffer
Preservative: 0.01% Sodium azide Constituents: 59% PBS, 40% Glycerol (glycerin, glycerine), 0.05% BSA
Shipped at conditions
Blue Ice
Appropriate short-term storage duration
1-2 weeks
Appropriate short-term storage conditions
+4°C
Appropriate long-term storage conditions
-20°C
Aliquoting information
Upon delivery aliquot
Storage information
Avoid freeze / thaw cycle

Supplementary information

This supplementary information is collated from multiple sources and compiled automatically.

Glycerol-3-phosphate dehydrogenase 2 (GPD2) also known as GPDM-m and mGPDH is an enzyme that belongs to the glycerol-3-phosphate dehydrogenase family. GPD2 weighs approximately 74 kDa and is expressed in several tissues including the liver kidney and muscle. It primarily localizes in the mitochondrial inner membrane. Mechanically GPD2 catalyzes the oxidation of glycerol-3-phosphate to dihydroxyacetone phosphate playing an important role in energy metabolism by participating in the glycerol phosphate shuttle. This shuttle facilitates the transfer of reducing equivalents across the mitochondrial membrane.
Biological function summary

GPD2 plays a role in cellular energy production by linking lipid metabolism to carbohydrate metabolism. It forms part of a complex system supporting oxidative phosphorylation by transferring electrons to the mitochondrial electron transport chain. The activity of GPD2 helps sustain the NAD+/NADH balance which is essential for maintaining cellular redox states. Through its function GPD2 contributes to metabolic flexibility allowing cells to adapt to changes in fuel availability.

Pathways

GPD2 is involved in important energy production pathways such as the glycerol phosphate shuttle and the oxidative phosphorylation pathway. These pathways are important for efficient ATP production in eukaryotic cells. GPD2 interacts with other metabolic proteins like cytosolic glycerol-3-phosphate dehydrogenase (GPD1) which works in tandem to facilitate the shuttle of reducing equivalents between cytosol and mitochondria. Such processes ensure continuous energy supply necessary for cellular functions especially under conditions where carbohydrates and lipids serve interchangeably as energy sources.

GPD2 associates with conditions such as obesity and type 2 diabetes where energy metabolism is often disrupted. Altered GPD2 activity can lead to impaired mitochondrial function contributing to the pathogenesis of these metabolic disorders. Furthermore GPD2 links to proteins implicated in these diseases such as insulin receptor substrates and oxidative stress markers which further influence glucose and lipid homeostasis. Understanding GPD2's interaction with these elements helps in uncovering potential therapeutic targets for such diseases.

Product protocols

For this product, it's our understanding that no specific protocols are required. You can visit:

Target data

Calcium-responsive mitochondrial glycerol-3-phosphate dehydrogenase which seems to be a key component of the pancreatic beta-cell glucose-sensing device.
See full target information GPD2

Publications (1)

Recent publications for all applications. Explore the full list and refine your search

Frontiers in pharmacology 11:379 PubMed32292350

2020

Esculetin Inhibits Cancer Cell Glycolysis by Binding Tumor PGK2, GPD2, and GPI.

Applications

Unspecified application

Species

Unspecified reactive species

Song-Tao Wu,Bo Liu,Zhong-Zhu Ai,Zong-Chao Hong,Peng-Tao You,He-Zhen Wu,Yan-Fang Yang
View all publications

Product promise

We are committed to supporting your work with high-quality reagents, and we're here for you every step of the way. In the unlikely event that one of our products does not perform as expected, you're protected by our Product Promise.
For full details, please see our Terms & Conditions

Please note: All products are 'FOR RESEARCH USE ONLY. NOT FOR USE IN DIAGNOSTIC OR THERAPEUTIC PROCEDURES'.

For licensing inquiries, please contact partnerships@abcam.com