JavaScript is disabled in your browser. Please enable JavaScript to view this website.
AB250586

Anti-GPD2 antibody [EPR14260] - BSA and Azide free

Be the first to review this product! Submit a review

|

(0 Publication)

Rabbit Recombinant Monoclonal GPD2 antibody. Carrier free. Suitable for WB, Flow Cyt (Intra), IHC-P and reacts with Human samples.

View Alternative Names

GPD-M, GPDH-M, mitohondrial glycerophosphate dehydrogenase gene, mtGPD, mGDH, GPD2

3 Images
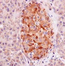
Immunohistochemistry (Formalin/PFA-fixed paraffin-embedded sections) - Anti-GPD2 antibody [EPR14260] - BSA and Azide free (AB250586)
  • IHC-P

Supplier Data

Immunohistochemistry (Formalin/PFA-fixed paraffin-embedded sections) - Anti-GPD2 antibody [EPR14260] - BSA and Azide free (AB250586)

This data was developed using ab182144, the same antibody clone in a different buffer formulation.

Immunohistochemical analysis of paraffin embedded Human pancreas tissue sections labeling GPD2 using ab182144 at a 1/500 dilution. A ready to use HRP Polymer for Rabbit IgG was used as the secondary. Hematoxylin counterstain.

Perform heat mediated antigen retrieval with EDTA buffer pH 9 before commencing with IHC staining protocol.

Flow Cytometry (Intracellular) - Anti-GPD2 antibody [EPR14260] - BSA and Azide free (AB250586)
  • Flow Cyt (Intra)

Supplier Data

Flow Cytometry (Intracellular) - Anti-GPD2 antibody [EPR14260] - BSA and Azide free (AB250586)

This data was developed using ab182144, the same antibody clone in a different buffer formulation.

Intracellular Flow Cytometry analysis of HeLa cells labeling GPD2 using ab182144 at a 1/140 dilution (pink). Goat anti rabbit IgG (FITC) used as the secondary at a 1/150 dilution. Isotype control Rabbit monoclonal IgG (green). Cells were fixed in 2% paraformaldehyde.

Western blot - Anti-GPD2 antibody [EPR14260] - BSA and Azide free (AB250586)
  • WB

Supplier Data

Western blot - Anti-GPD2 antibody [EPR14260] - BSA and Azide free (AB250586)

This data was developed using ab182144, the same antibody clone in a different buffer formulation.

All lanes:

Western blot - Anti-GPD2 antibody [EPR14260] (<a href='/en-us/products/primary-antibodies/gpd2-antibody-epr14260-ab182144'>ab182144</a>) at 1/2000 dilution

Lane 1:

NIH:OVCAR-3 cell lysate at 10 µg

Lane 2:

MCF-7 cell lysate at 10 µg

Secondary

All lanes:

Goat Anti-Rabbit IgG, (H+L), Peroxidase conjugated at 1/1000 dilution

Predicted band size: 66 kDa,81 kDa

Observed band size: 66 kDa

false

Key facts

Host species

Rabbit

Clonality

Monoclonal

Clone number

EPR14260

Isotype

IgG

Carrier free

Yes

Reacts with

Human

Applications

Flow Cyt (Intra), WB, IHC-P

applications

Immunogen

The exact immunogen used to generate this antibody is proprietary information.

Reactivity data

{ "title": "Reactivity Data", "filters": { "stats": ["", "Species", "Dilution Info", "Notes"], "tabs": { "all-applications": {"fullname" : "All Applications", "shortname": "All Applications"}, "WB" : {"fullname" : "Western blot", "shortname":"WB"}, "FlowCytIntra" : {"fullname" : "Flow Cytometry (Intracellular)", "shortname":"Flow Cyt (Intra)"}, "IHCP" : {"fullname" : "Immunohistochemistry (Formalin/PFA-fixed paraffin-embedded sections)", "shortname":"IHC-P"} }, "product-promise": { "all": "all", "testedAndGuaranteed": "tested", "guaranteed": "expected", "predicted": "predicted", "notRecommended": "not-recommended" } }, "values": { "Human": { "WB-species-checked": "testedAndGuaranteed", "WB-species-dilution-info": "", "WB-species-notes": "<p></p>", "FlowCytIntra-species-checked": "testedAndGuaranteed", "FlowCytIntra-species-dilution-info": "", "FlowCytIntra-species-notes": "<p></p>", "IHCP-species-checked": "testedAndGuaranteed", "IHCP-species-dilution-info": "", "IHCP-species-notes": "<p></p>" } } }

Product details

ab250586 is the carrier-free version of ab182144.

Patented technology
Our RabMAb® technology is a patented hybridoma-based technology for making rabbit monoclonal antibodies. For details on our patents, please refer to RabMAb® patents.

What are the advantages of a recombinant monoclonal antibody?
This product is a recombinant monoclonal antibody, which offers several advantages including:

  • - High batch-to-batch consistency and reproducibility
  • - Improved sensitivity and specificity
  • - Long-term security of supply
  • - Animal-free batch production

For more information, read more on recombinant antibodies.

Conjugation ready
Our carrier-free antibodies are typically supplied in a PBS-only formulation, purified and free of BSA, sodium azide and glycerol. This conjugation-ready format is designed for use with fluorochromes, metal isotopes, oligonucleotides, and enzymes, which makes them ideal for antibody labelling, functional and cell-based assays, flow-based assays (e.g. mass cytometry) and Multiplex Imaging applications.

Use our conjugation kits for antibody conjugates that are ready-to-use in as little as 20 minutes with 1 minute hands-on-time and 100% antibody recovery: available for fluorescent dyes, HRP, biotin and gold.

Compatibility
This product is compatible with the Maxpar® Antibody Labeling Kit from Fluidigm, without the need for antibody preparation. Maxpar® is a trademark of Fluidigm Canada Inc.

Properties and storage information

Form
Liquid
Purification technique
Affinity purification Protein A
Storage buffer
pH: 7.2 - 7.4 Constituents: PBS
Shipped at conditions
Blue Ice
Appropriate short-term storage conditions
+4°C
Appropriate long-term storage conditions
+4°C
Storage information
Do Not Freeze

Supplementary information

This supplementary information is collated from multiple sources and compiled automatically.

Glycerol-3-phosphate dehydrogenase 2 (GPD2) also known as GPDM-m and mGPDH is an enzyme that belongs to the glycerol-3-phosphate dehydrogenase family. GPD2 weighs approximately 74 kDa and is expressed in several tissues including the liver kidney and muscle. It primarily localizes in the mitochondrial inner membrane. Mechanically GPD2 catalyzes the oxidation of glycerol-3-phosphate to dihydroxyacetone phosphate playing an important role in energy metabolism by participating in the glycerol phosphate shuttle. This shuttle facilitates the transfer of reducing equivalents across the mitochondrial membrane.
Biological function summary

GPD2 plays a role in cellular energy production by linking lipid metabolism to carbohydrate metabolism. It forms part of a complex system supporting oxidative phosphorylation by transferring electrons to the mitochondrial electron transport chain. The activity of GPD2 helps sustain the NAD+/NADH balance which is essential for maintaining cellular redox states. Through its function GPD2 contributes to metabolic flexibility allowing cells to adapt to changes in fuel availability.

Pathways

GPD2 is involved in important energy production pathways such as the glycerol phosphate shuttle and the oxidative phosphorylation pathway. These pathways are important for efficient ATP production in eukaryotic cells. GPD2 interacts with other metabolic proteins like cytosolic glycerol-3-phosphate dehydrogenase (GPD1) which works in tandem to facilitate the shuttle of reducing equivalents between cytosol and mitochondria. Such processes ensure continuous energy supply necessary for cellular functions especially under conditions where carbohydrates and lipids serve interchangeably as energy sources.

GPD2 associates with conditions such as obesity and type 2 diabetes where energy metabolism is often disrupted. Altered GPD2 activity can lead to impaired mitochondrial function contributing to the pathogenesis of these metabolic disorders. Furthermore GPD2 links to proteins implicated in these diseases such as insulin receptor substrates and oxidative stress markers which further influence glucose and lipid homeostasis. Understanding GPD2's interaction with these elements helps in uncovering potential therapeutic targets for such diseases.

Product protocols

For this product, it's our understanding that no specific protocols are required. You can visit:

Target data

Calcium-responsive mitochondrial glycerol-3-phosphate dehydrogenase which seems to be a key component of the pancreatic beta-cell glucose-sensing device.
See full target information GPD2

Product promise

We are committed to supporting your work with high-quality reagents, and we're here for you every step of the way. In the unlikely event that one of our products does not perform as expected, you're protected by our Product Promise.
For full details, please see our Terms & Conditions

Please note: All products are 'FOR RESEARCH USE ONLY. NOT FOR USE IN DIAGNOSTIC OR THERAPEUTIC PROCEDURES'.

For licensing inquiries, please contact partnerships@abcam.com