JavaScript is disabled in your browser. Please enable JavaScript to view this website.
AB210753

Anti-GPI-PLD antibody

Be the first to review this product! Submit a review

|

(2 Publications)

Rabbit Polyclonal GPI-PLD antibody. Suitable for WB, IHC-P, ICC/IF and reacts with Mouse, Rat, Human samples. Cited in 2 publications. Immunogen corresponding to Recombinant Fragment Protein within Human GPLD1 aa 1-200.

View Alternative Names

PIGPLD1, GPLD1, Phosphatidylinositol-glycan-specific phospholipase D, PI-G PLD, Glycoprotein phospholipase D, Glycosyl-phosphatidylinositol-specific phospholipase D, GPI-PLD, GPI-specific phospholipase D

4 Images
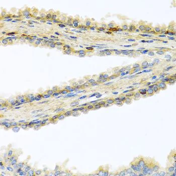
Immunohistochemistry (Formalin/PFA-fixed paraffin-embedded sections) - Anti-GPI-PLD antibody (AB210753)
  • IHC-P

Supplier Data

Immunohistochemistry (Formalin/PFA-fixed paraffin-embedded sections) - Anti-GPI-PLD antibody (AB210753)

Immunohistochemical analysis of paraffin embedded human prostate tissue labeling GPI-PLD with ab210753 at 1/100 dilution.

Immunocytochemistry/ Immunofluorescence - Anti-GPI-PLD antibody (AB210753)
  • ICC/IF

Supplier Data

Immunocytochemistry/ Immunofluorescence - Anti-GPI-PLD antibody (AB210753)

Immunofluorescence analysis of A549 cells labeling GPI-PLD with ab210753 at a 1/50 dilution (green). Nuclei were counterstained with DAPI (blue).

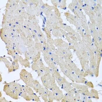
Immunohistochemistry (Formalin/PFA-fixed paraffin-embedded sections) - Anti-GPI-PLD antibody (AB210753)
  • IHC-P

Supplier Data

Immunohistochemistry (Formalin/PFA-fixed paraffin-embedded sections) - Anti-GPI-PLD antibody (AB210753)

Immunohistochemical analysis of paraffin embedded rat heart tissue labeling GPI-PLD with ab210753 at 1/100 dilution.

Western blot - Anti-GPI-PLD antibody (AB210753)
  • WB

Supplier Data

Western blot - Anti-GPI-PLD antibody (AB210753)

All lanes:

Western blot - Anti-GPI-PLD antibody (ab210753) at 1/500 dilution

All lanes:

mouse blood cells

Predicted band size: 92 kDa

false

Key facts

Host species

Rabbit

Clonality

Polyclonal

Isotype

IgG

Carrier free

No

Reacts with

Mouse, Rat, Human

Applications

IHC-P, ICC/IF, WB

applications

Immunogen

Recombinant Fragment Protein within Human GPLD1 aa 1-200. The exact immunogen used to generate this antibody is proprietary information.

P80108

Reactivity data

{ "title": "Reactivity Data", "filters": { "stats": ["", "Species", "Dilution Info", "Notes"], "tabs": { "all-applications": {"fullname" : "All Applications", "shortname": "All Applications"}, "WB" : {"fullname" : "Western blot", "shortname":"WB"}, "IHCP" : {"fullname" : "Immunohistochemistry (Formalin/PFA-fixed paraffin-embedded sections)", "shortname":"IHC-P"}, "ICCIF" : {"fullname" : "Immunocytochemistry/ Immunofluorescence", "shortname":"ICC/IF"} }, "product-promise": { "all": "all", "testedAndGuaranteed": "tested", "guaranteed": "expected", "predicted": "predicted", "notRecommended": "not-recommended" } }, "values": { "Human": { "WB-species-checked": "guaranteed", "WB-species-dilution-info": "", "WB-species-notes": "", "IHCP-species-checked": "testedAndGuaranteed", "IHCP-species-dilution-info": "1/50 - 1/100", "IHCP-species-notes": "<p></p>", "ICCIF-species-checked": "testedAndGuaranteed", "ICCIF-species-dilution-info": "1/50 - 1/100", "ICCIF-species-notes": "<p></p>" }, "Mouse": { "WB-species-checked": "testedAndGuaranteed", "WB-species-dilution-info": "1/500 - 1/2000", "WB-species-notes": "<p></p>", "IHCP-species-checked": "guaranteed", "IHCP-species-dilution-info": "", "IHCP-species-notes": "", "ICCIF-species-checked": "guaranteed", "ICCIF-species-dilution-info": "", "ICCIF-species-notes": "" }, "Rat": { "WB-species-checked": "guaranteed", "WB-species-dilution-info": "", "WB-species-notes": "", "IHCP-species-checked": "testedAndGuaranteed", "IHCP-species-dilution-info": "1/50 - 1/100", "IHCP-species-notes": "<p></p>", "ICCIF-species-checked": "guaranteed", "ICCIF-species-dilution-info": "", "ICCIF-species-notes": "" } } }

Properties and storage information

Form
Liquid
Purification technique
Affinity purification Immunogen
Storage buffer
pH: 7.3 Preservative: 0.02% Sodium azide Constituents: PBS, 50% Glycerol (glycerin, glycerine)
Shipped at conditions
Blue Ice
Appropriate short-term storage duration
1-2 weeks
Appropriate short-term storage conditions
+4°C
Appropriate long-term storage conditions
-20°C
Aliquoting information
Upon delivery aliquot
Storage information
Avoid freeze / thaw cycle

Supplementary information

This supplementary information is collated from multiple sources and compiled automatically.

Glycosylphosphatidylinositol specific phospholipase D1 (GPI-PLD) is an enzyme that hydrolyzes glycosylphosphatidylinositol (GPI)-anchored proteins. Also known as GPLD1 it acts by cleaving the inositol phosphate linkage. GPI-PLD possesses a molecular mass of about 110 kDa and is found extensively in the plasma signaling its secretion from the liver. In certain studies researchers occasionally refer to it by its involved function in detaching GPI proteins.
Biological function summary

GPI-PLD participates in remodeling the cell surface by releasing certain GPI-anchored proteins. It impacts cellular events like signal transduction and cell adhesion. GPI-PLD functions independently not as part of a larger complex. Observation of GPI-PLD activities reveals involvement in regulating immune responses as well as interactions with other proteins on cell membranes. Its ability to influence GPI protein release affects how cells communicate and adapt in various biological contexts.

Pathways

The enzyme GPI-PLD plays a role in pathways involving lipid metabolism and the immune system particularly complement system activation. GPI-PLD collaborates with proteins such as phospholipase C in lipid regulatory pathways. Its activity impacts the balance and turnover of lipids which affects the complement cascade by modulating membrane-bound proteins. Through these interactions GPI-PLD participates in refining how immune responses unfold affecting related biological processes.

Research shows that GPI-PLD has connections with conditions like atherosclerosis and diabetes. Changes in its enzymatic activity and expression levels impact lipid metabolism which ties to atherosclerosis development. In diabetes improper regulation of GPI-PLD can alter inflammatory and immune responses. The enzyme's activity further connects with lipoprotein interactions placing emphasis on its link with apolipoprotein AI indicating a broader influence in disorders related to lipid metabolism and inflammation.

Product protocols

For this product, it's our understanding that no specific protocols are required. You can visit:

Target data

Hydrolyzes the inositol phosphate linkage of glycosylphosphatidylinositol (GPI)-anchored membrane proteins, thereby releasing them from the cell surface. Cleaves on the inositol side of the anchor, leaving the phosphate group attached to the membrane (PubMed : 17720976, PubMed : 2760042). This release of GPI-anchored proteins can modulate diverse biological processes, including the activation of signaling pathways (PubMed : 17720976).
See full target information GPLD1

Publications (2)

Recent publications for all applications. Explore the full list and refine your search

Cell death & disease 14:827 PubMed38092752

2023

Fasting regulates mitochondrial function through lncRNA PRKCQ-AS1-mediated IGF2BPs in papillary thyroid carcinoma.

Applications

Unspecified application

Species

Unspecified reactive species

Xiaoping Zhang,Yong Zhong,Lin Liu,Chengyou Jia,Haidong Cai,Jianshe Yang,Bo Wu,Zhongwei Lv

Molecular cancer research : MCR 18:891-902 PubMed32184217

2020

Kinetics of Nuclear Uptake and Site-Specific DNA Cleavage during CRISPR-Directed Gene Editing in Solid Tumor Cells.

Applications

Unspecified application

Species

Unspecified reactive species

Kelly Banas,Natalia Rivera-Torres,Pawel Bialk,Byung-Chun Yoo,Eric B Kmiec
View all publications

Product promise

We are committed to supporting your work with high-quality reagents, and we're here for you every step of the way. In the unlikely event that one of our products does not perform as expected, you're protected by our Product Promise.
For full details, please see our Terms & Conditions

Please note: All products are 'FOR RESEARCH USE ONLY. NOT FOR USE IN DIAGNOSTIC OR THERAPEUTIC PROCEDURES'.

For licensing inquiries, please contact partnerships@abcam.com