JavaScript is disabled in your browser. Please enable JavaScript to view this website.
AB222109

Anti-GPNMB antibody [EPR22011-11]

Be the first to review this product! Submit a review

|

(6 Publications)

Rabbit Recombinant Monoclonal GPNMB antibody. Suitable for WB, IHC-P and reacts with Human samples. Cited in 6 publications.

View Alternative Names

HGFIN, NMB, UNQ1725/PRO9925, GPNMB, Transmembrane glycoprotein NMB, Hematopoietic growth factor inducible neurokinin-1 type

4 Images
Immunohistochemistry (Formalin/PFA-fixed paraffin-embedded sections) - Anti-GPNMB antibody [EPR22011-11] (AB222109)
  • IHC-P

Supplier Data

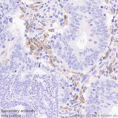
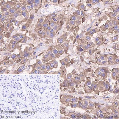
Immunohistochemistry (Formalin/PFA-fixed paraffin-embedded sections) - Anti-GPNMB antibody [EPR22011-11] (AB222109)

Immunohistochemical analysis of paraffin-embedded human melanoma tissue labeling GPNMB with ab222109 at 1/1000 dilution, followed by Goat Anti-Rabbit IgG H&L (HRP) Ready to use. Positive staining in tumor cells of human melanoma. Counter stained with hematoxylin.

Secondary antibody only control : Used PBS instead of primary antibody, secondary antibody is Goat Anti-Rabbit IgG H&L (HRP) Ready to use.

Perform heat mediated antigen retrieval with EDTA buffer pH 9 before commencing with IHC staining protocol.

Immunohistochemistry (Formalin/PFA-fixed paraffin-embedded sections) - Anti-GPNMB antibody [EPR22011-11] (AB222109)
  • IHC-P

Supplier Data

Immunohistochemistry (Formalin/PFA-fixed paraffin-embedded sections) - Anti-GPNMB antibody [EPR22011-11] (AB222109)

Immunohistochemical analysis of paraffin-embedded human colonic carcinoma tissue labeling GPNMB with ab222109 at 1/1000 dilution, followed by aGoat Anti-Rabbit IgG H&L (HRP) Ready to use. Positive staining on stroma cells of human colonic carcinoma. Counter stained with hematoxylin.

Secondary antibody only control : Used PBS instead of primary antibody, secondary antibody is Goat Anti-Rabbit IgG H&L (HRP) Ready to use.

Perform heat mediated antigen retrieval with EDTA buffer pH 9 before commencing with IHC staining protocol.

Western blot - Anti-GPNMB antibody [EPR22011-11] (AB222109)
  • WB

Supplier Data

Western blot - Anti-GPNMB antibody [EPR22011-11] (AB222109)

Blocking/Dilution buffer : 5% NFDM/TBST.

The molecular mass observed is consistent with what has been described in the literature (PMID : 19320736).

Negative control : HeLa (PMID : 20056711)

All lanes:

Western blot - Anti-GPNMB antibody [EPR22011-11] (ab222109) at 1/1000 dilution

Lane 1:

SK-MEL-28 (human malignant melanoma) whole cell lysate at 10 µg

Lane 2:

SK-MEL-2 (Human skin malignant melanoma) whole cell lysate at 10 µg

Lane 3:

HeLa (human cervix adenocarcinoma epithelial cell) whole cell lysate at 10 µg

Secondary

All lanes:

Western blot - Goat Anti-Rabbit IgG H&L (HRP) (<a href='/en-us/products/secondary-antibodies/goat-rabbit-igg-h-l-hrp-ab97051'>ab97051</a>) at 1/100000 dilution

Predicted band size: 64 kDa

Observed band size: 120 kDa,95 kDa

false

Exposure time: 81s

Western blot - Anti-GPNMB antibody [EPR22011-11] (AB222109)
  • WB

Lab

Western blot - Anti-GPNMB antibody [EPR22011-11] (AB222109)

ab222109 was shown to react with GPNMB in wild-type U-87 MG cells in Western blot with loss of signal observed in a GPNMB siRNA knockdown cell line. Cell lysates from wild-type U-87 MG transfected with either scrambled siRNA or GPNMB siRNA were subjected to SDS-PAGE. Membranes were blocked in 5% milk in TBST for 1 hr before incubation with ab222109 overnight at 4 °C at a 1/1000 dilution. Blots were incubated with secondary antibodies at 0.2 µg/mL before imaging.

This data was provided by YCharOS Inc., an open science company with the mission of characterizing commercially available antibody reagents for all human proteins. Abcam and YCharOS are working together to help address the reproducibility crisis by enabling the life science community to better evaluate commercially available antibodies.

All lanes:

Western blot - Anti-GPNMB antibody [EPR22011-11] (ab222109) at 1/1000 dilution

Lane 1:

Wild-type U-87 MG transfected with scrambled siRNA control lysate at 60 µg

Lane 2:

U-87 MG transfected with siRNA specifically targeting GPNMB cell lysate at 60 µg

false

  • Carrier free

    Anti-GPNMB antibody [EPR22011-11] - BSA and Azide free

Key facts

Host species

Rabbit

Clonality

Monoclonal

Clone number

EPR22011-11

Isotype

IgG

Carrier free

No

Reacts with

Human

Applications

WB, IHC-P

applications

Immunogen

The exact immunogen used to generate this antibody is proprietary information.

Reactivity data

{ "title": "Reactivity Data", "filters": { "stats": ["", "Species", "Dilution Info", "Notes"], "tabs": { "all-applications": {"fullname" : "All Applications", "shortname": "All Applications"}, "WB" : {"fullname" : "Western blot", "shortname":"WB"}, "IHCP" : {"fullname" : "Immunohistochemistry (Formalin/PFA-fixed paraffin-embedded sections)", "shortname":"IHC-P"} }, "product-promise": { "all": "all", "testedAndGuaranteed": "tested", "guaranteed": "expected", "predicted": "predicted", "notRecommended": "not-recommended" } }, "values": { "Human": { "WB-species-checked": "testedAndGuaranteed", "WB-species-dilution-info": "1/1000", "WB-species-notes": "<p></p>", "IHCP-species-checked": "testedAndGuaranteed", "IHCP-species-dilution-info": "1/1000", "IHCP-species-notes": "<p></p> Perform heat-mediated antigen retrieval with Tris/EDTA buffer pH 9.0 before commencing with IHC staining protocol." } } }

Product details

Patented technology
Our RabMAb® technology is a patented hybridoma-based technology for making rabbit monoclonal antibodies. For details on our patents, please refer to RabMAb® patents.

What are the advantages of a recombinant monoclonal antibody?
This product is a recombinant monoclonal antibody, which offers several advantages including:

  • - High batch-to-batch consistency and reproducibility
  • - Improved sensitivity and specificity
  • - Long-term security of supply
  • - Animal-free batch production

For more information, read more on recombinant antibodies.

Properties and storage information

Form
Liquid
Purification technique
Affinity purification Protein A
Storage buffer
pH: 7.2 - 7.4 Preservative: 0.01% Sodium azide Constituents: PBS, 40% Glycerol (glycerin, glycerine), 0.05% BSA
Shipped at conditions
Blue Ice
Appropriate short-term storage duration
1-2 weeks
Appropriate short-term storage conditions
+4°C
Appropriate long-term storage conditions
-20°C
Aliquoting information
Upon delivery aliquot
Storage information
Avoid freeze / thaw cycle

Supplementary information

This supplementary information is collated from multiple sources and compiled automatically.

GPNMB also known as osteoactivin is a type I transmembrane glycoprotein with a molecular mass of approximately 115 kDa. This protein is highly expressed in various tissues including the bone skin and brain. It also shows notable presence in certain immune cells such as dendritic cells and macrophages. GPNMB localizes mainly on the cell membrane and within lysosomal compartments indicating its involvement in cellular and signaling processes.
Biological function summary

GPNMB plays versatile roles in promoting cell growth differentiation and repair. It is involved in processes like tissue regeneration possibly due to its role in cell adhesion and migration. The protein also partakes in osteoclast differentiation and bone resorption therefore linking to skeletal homeostasis. GPNMB forms part of a broader protein complex at the cellular junctions interacting with integrins to mediate its functions.

Pathways

GPNMB features prominently in osteoclastogenesis and melanoma metastasis pathways. It cooperates with RANKL an important protein in bone metabolism by influencing osteoclast differentiation and activation. In the context of melanoma GPNMB's action in pathways may enhance tumor proliferation and invasion possibly interacting with signaling molecules like AKT or ERK although the specifics remain actively researched.

GPNMB has significant links to both osteoarthritis and certain types of cancer particularly breast cancer and melanoma. In osteoarthritis GPNMB expression often increases reflecting involvement in cartilage degradation processes. Its overexpression correlates with tumor progression in melanoma potentially driven by its interaction with integrin β1 which assists in cellular adhesion and migration within the tumor microenvironment.

Product protocols

For this product, it's our understanding that no specific protocols are required. You can visit:

Target data

Could be a melanogenic enzyme.
See full target information GPNMB

Publications (6)

Recent publications for all applications. Explore the full list and refine your search

Cancer research 83:3783-3795 PubMed37668527

2023

A Cell Surface-Binding Antibody Atlas Nominates a MUC18-Directed Antibody-Drug Conjugate for Targeting Melanoma.

Applications

Unspecified application

Species

Unspecified reactive species

Jing Shi,Tao Jiao,Qian Guo,Weining Weng,Linjie Ma,Qing Zhang,Lijun Wang,Jianjian Zhang,Caiwei Chen,Yaling Huang,Mingqiao Wang,Rong Pan,Yanfang Tang,Wenhao Hu,Tao Meng,Shu-Hui Liu,Jun Guo,Yan Kong,Xun Meng

Medicine 102:e32889 PubMed36862875

2023

Construction of a prognostic model for radical esophagectomy based on immunohistochemical prognostic markers combined with clinicopathological factors.

Applications

Unspecified application

Species

Unspecified reactive species

Bo Wang,Anna Su,Mengyan Li,Xuecheng Wang,Yongmei Gao,Liping Su,Wan Li,Yuqing Ma

Cancer immunology research 11:405-420 PubMed36652202

2023

High-Resolution Analysis of Mononuclear Phagocytes Reveals GPNMB as a Prognostic Marker in Human Colorectal Liver Metastasis.

Applications

Unspecified application

Species

Unspecified reactive species

Nina Cortese,Roberta Carriero,Marialuisa Barbagallo,Anna Rita Putignano,Guido Costa,Fabio Giavazzi,Fabio Grizzi,Fabio Pasqualini,Clelia Peano,Gianluca Basso,Sergio Marchini,Federico Simone Colombo,Cristiana Soldani,Barbara Franceschini,Luca Di Tommaso,Luigi Terracciano,Matteo Donadon,Guido Torzilli,Paolo Kunderfranco,Alberto Mantovani,Federica Marchesi

Analytical cellular pathology (Amsterdam) 2022:9303081 PubMed36090016

2022

Prognostic Value of GPNMB, EGFR, p-PI3K, and Ki-67 in Patients with Esophageal Squamous Cell Carcinoma.

Applications

Unspecified application

Species

Unspecified reactive species

Bo Wang,Mengyan Li,Anna Su,Yongmei Gao,Yan Shi,Chao Li,Wenying Liu,Liping Su,Wan Li,Yuqing Ma

Journal of clinical immunology 42:1638-1652 PubMed35829840

2022

A Novel Homozygous Stop Mutation in IL23R Causes Mendelian Susceptibility to Mycobacterial Disease.

Applications

Unspecified application

Species

Unspecified reactive species

Frederik Staels,Flaminia Lorenzetti,Kerstin De Keukeleere,Mathijs Willemsen,Margaux Gerbaux,Julika Neumann,Thomas Tousseyn,Emanuela Pasciuto,Paul De Munter,Xavier Bossuyt,Rik Gijsbers,Adrian Liston,Stephanie Humblet-Baron,Rik Schrijvers

Oncology letters 23:36 PubMed34966452

2021

GPNMB overexpression is associated with extensive bone metastasis and poor prognosis in renal cell carcinoma.

Applications

Unspecified application

Species

Unspecified reactive species

Jian-Po Zhai,Zhen-Hua Liu,Hai-Dong Wang,Guang-Lin Huang,Li-Bo Man
View all publications

Product promise

We are committed to supporting your work with high-quality reagents, and we're here for you every step of the way. In the unlikely event that one of our products does not perform as expected, you're protected by our Product Promise.
For full details, please see our Terms & Conditions

Please note: All products are 'FOR RESEARCH USE ONLY. NOT FOR USE IN DIAGNOSTIC OR THERAPEUTIC PROCEDURES'.

For licensing inquiries, please contact partnerships@abcam.com