JavaScript is disabled in your browser. Please enable JavaScript to view this website.
AB236209

Anti-GPNMB antibody [EPR22011-11] - BSA and Azide free

4

(1 Review)

|

(1 Publication)

Rabbit Recombinant Monoclonal GPNMB antibody. Carrier free. Suitable for WB, IHC-P and reacts with Human samples. Cited in 1 publication.

View Alternative Names

HGFIN, NMB, UNQ1725/PRO9925, GPNMB, Transmembrane glycoprotein NMB, Hematopoietic growth factor inducible neurokinin-1 type

4 Images
Immunohistochemistry (Formalin/PFA-fixed paraffin-embedded sections) - Anti-GPNMB antibody [EPR22011-11] - BSA and Azide free (AB236209)
  • IHC-P

Supplier Data

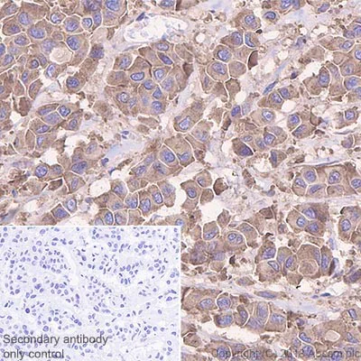
Immunohistochemistry (Formalin/PFA-fixed paraffin-embedded sections) - Anti-GPNMB antibody [EPR22011-11] - BSA and Azide free (AB236209)

Immunohistochemical analysis of paraffin-embedded human melanoma tissue labeling GPNMB with ab222109 at 1/1000 dilution, followed by Goat Anti-Rabbit IgG H&L (HRP) Ready to use. Positive staining in tumor cells of human melanoma. Counter stained with hematoxylin.

Secondary antibody only control : Used PBS instead of primary antibody, secondary antibody is Goat Anti-Rabbit IgG H&L (HRP) Ready to use.

This data was developed using the same antibody clone in a different buffer formulation containing PBS, BSA, glycerol, and sodium azide (ab222109).

Perform heat mediated antigen retrieval with EDTA buffer pH 9 before commencing with IHC staining protocol.

Immunohistochemistry (Formalin/PFA-fixed paraffin-embedded sections) - Anti-GPNMB antibody [EPR22011-11] - BSA and Azide free (AB236209)
  • IHC-P

Supplier Data

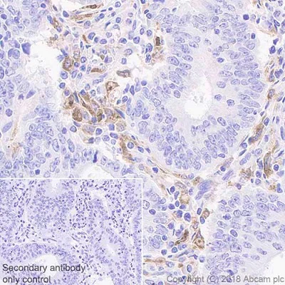
Immunohistochemistry (Formalin/PFA-fixed paraffin-embedded sections) - Anti-GPNMB antibody [EPR22011-11] - BSA and Azide free (AB236209)

Immunohistochemical analysis of paraffin-embedded human colonic carcinoma tissue labeling GPNMB with ab222109 at 1/1000 dilution, followed by aGoat Anti-Rabbit IgG H&L (HRP) Ready to use. Positive staining on stroma cells of human colonic carcinoma. Counter stained with hematoxylin.

Secondary antibody only control : Used PBS instead of primary antibody, secondary antibody is Goat Anti-Rabbit IgG H&L (HRP) Ready to use.

This data was developed using the same antibody clone in a different buffer formulation containing PBS, BSA, glycerol, and sodium azide (ab222109).

Perform heat mediated antigen retrieval with EDTA buffer pH 9 before commencing with IHC staining protocol.

Western blot - Anti-GPNMB antibody [EPR22011-11] - BSA and Azide free (AB236209)
  • WB

Lab

Western blot - Anti-GPNMB antibody [EPR22011-11] - BSA and Azide free (AB236209)

This data was developed using ab222109, the same antibody clone in a different buffer formulation.

ab222109 was shown to react with GPNMB in wild-type U-87 MG cells in Western blot with loss of signal observed in a GPNMB siRNA knockdown cell line. Cell lysates from wild-type U-87 MG transfected with either scrambled siRNA or GPNMB siRNA were subjected to SDS-PAGE. Membranes were blocked in 5% milk in TBST for 1 hr before incubation with ab222109 overnight at 4 °C at a 1/1000 dilution. Blots were incubated with secondary antibodies at 0.2 µg/mL before imaging.

This data was provided by YCharOS Inc., an open science company with the mission of characterizing commercially available antibody reagents for all human proteins. Abcam and YCharOS are working together to help address the reproducibility crisis by enabling the life science community to better evaluate commercially available antibodies.

All lanes:

Western blot - Anti-GPNMB antibody [EPR22011-11] (<a href='/en-us/products/primary-antibodies/gpnmb-antibody-epr22011-11-ab222109'>ab222109</a>) at 1/1000 dilution

Lane 1:

Wild-type U-87 MG transfected with scrambled siRNA control lysate at 60 µg

Lane 2:

U-87 MG transfected with siRNA specifically targeting GPNMB cell lysate at 60 µg

false

Western blot - Anti-GPNMB antibody [EPR22011-11] - BSA and Azide free (AB236209)
  • WB

Supplier Data

Western blot - Anti-GPNMB antibody [EPR22011-11] - BSA and Azide free (AB236209)

This data was developed using the same antibody clone in a different buffer formulation containing PBS, BSA, glycerol, and sodium azide (ab222109).

Blocking/Dilution buffer : 5% NFDM/TBST.

The molecular mass observed is consistent with what has been described in the literature (PMID : 19320736).

Negative control : HeLa (PMID : 20056711)

All lanes:

Western blot - Anti-GPNMB antibody [EPR22011-11] - BSA and Azide free (ab236209) at 1/1000 dilution

Lane 1:

SK-MEL-28 (human malignant melanoma) whole cell lysate at 10 µg

Lane 2:

SK-MEL-2 (Human skin malignant melanoma) whole cell lysate at 10 µg

Lane 3:

HeLa (human cervix adenocarcinoma epithelial cell) whole cell lysate at 10 µg

Secondary

All lanes:

Western blot - Goat Anti-Rabbit IgG H&L (HRP) (<a href='/en-us/products/secondary-antibodies/goat-rabbit-igg-h-l-hrp-ab97051'>ab97051</a>) at 1/100000 dilution

Predicted band size: 64 kDa

Observed band size: 120 kDa,95 kDa

false

Key facts

Host species

Rabbit

Clonality

Monoclonal

Clone number

EPR22011-11

Isotype

IgG

Carrier free

Yes

Reacts with

Human

Applications

WB, IHC-P

applications

Immunogen

The exact immunogen used to generate this antibody is proprietary information.

Reactivity data

{ "title": "Reactivity Data", "filters": { "stats": ["", "Species", "Dilution Info", "Notes"], "tabs": { "all-applications": {"fullname" : "All Applications", "shortname": "All Applications"}, "WB" : {"fullname" : "Western blot", "shortname":"WB"}, "IHCP" : {"fullname" : "Immunohistochemistry (Formalin/PFA-fixed paraffin-embedded sections)", "shortname":"IHC-P"} }, "product-promise": { "all": "all", "testedAndGuaranteed": "tested", "guaranteed": "expected", "predicted": "predicted", "notRecommended": "not-recommended" } }, "values": { "Human": { "WB-species-checked": "testedAndGuaranteed", "WB-species-dilution-info": "", "WB-species-notes": "<p></p>", "IHCP-species-checked": "testedAndGuaranteed", "IHCP-species-dilution-info": "", "IHCP-species-notes": "<p></p>" } } }

Product details

ab236209 is the carrier-free version of ab222109.

Patented technology
Our RabMAb® technology is a patented hybridoma-based technology for making rabbit monoclonal antibodies. For details on our patents, please refer to RabMAb® patents.

What are the advantages of a recombinant monoclonal antibody?
This product is a recombinant monoclonal antibody, which offers several advantages including:

  • - High batch-to-batch consistency and reproducibility
  • - Improved sensitivity and specificity
  • - Long-term security of supply
  • - Animal-free batch production

For more information, read more on recombinant antibodies.

Conjugation ready
Our carrier-free antibodies are typically supplied in a PBS-only formulation, purified and free of BSA, sodium azide and glycerol. This conjugation-ready format is designed for use with fluorochromes, metal isotopes, oligonucleotides, and enzymes, which makes them ideal for antibody labelling, functional and cell-based assays, flow-based assays (e.g. mass cytometry) and Multiplex Imaging applications.

Use our conjugation kits for antibody conjugates that are ready-to-use in as little as 20 minutes with 1 minute hands-on-time and 100% antibody recovery: available for fluorescent dyes, HRP, biotin and gold.

Compatibility
This product is compatible with the Maxpar® Antibody Labeling Kit from Fluidigm, without the need for antibody preparation. Maxpar® is a trademark of Fluidigm Canada Inc.

Properties and storage information

Form
Liquid
Purification technique
Affinity purification Protein A
Storage buffer
pH: 7.2 - 7.4 Constituents: PBS
Shipped at conditions
Blue Ice
Appropriate short-term storage conditions
+4°C
Appropriate long-term storage conditions
+4°C
Storage information
Do Not Freeze

Supplementary information

This supplementary information is collated from multiple sources and compiled automatically.

GPNMB also known as osteoactivin is a type I transmembrane glycoprotein with a molecular mass of approximately 115 kDa. This protein is highly expressed in various tissues including the bone skin and brain. It also shows notable presence in certain immune cells such as dendritic cells and macrophages. GPNMB localizes mainly on the cell membrane and within lysosomal compartments indicating its involvement in cellular and signaling processes.
Biological function summary

GPNMB plays versatile roles in promoting cell growth differentiation and repair. It is involved in processes like tissue regeneration possibly due to its role in cell adhesion and migration. The protein also partakes in osteoclast differentiation and bone resorption therefore linking to skeletal homeostasis. GPNMB forms part of a broader protein complex at the cellular junctions interacting with integrins to mediate its functions.

Pathways

GPNMB features prominently in osteoclastogenesis and melanoma metastasis pathways. It cooperates with RANKL an important protein in bone metabolism by influencing osteoclast differentiation and activation. In the context of melanoma GPNMB's action in pathways may enhance tumor proliferation and invasion possibly interacting with signaling molecules like AKT or ERK although the specifics remain actively researched.

GPNMB has significant links to both osteoarthritis and certain types of cancer particularly breast cancer and melanoma. In osteoarthritis GPNMB expression often increases reflecting involvement in cartilage degradation processes. Its overexpression correlates with tumor progression in melanoma potentially driven by its interaction with integrin β1 which assists in cellular adhesion and migration within the tumor microenvironment.

Product protocols

For this product, it's our understanding that no specific protocols are required. You can visit:

Target data

Could be a melanogenic enzyme.
See full target information GPNMB

Publications (1)

Recent publications for all applications. Explore the full list and refine your search

Nature communications 13:7099 PubMed36402816

2022

The non-catalytic role of DNA polymerase epsilon in replication initiation in human cells.

Applications

Unspecified application

Species

Unspecified reactive species

Sameera Vipat,Dipika Gupta,Sagun Jonchhe,Hele Anderspuk,Eli Rothenberg,Tatiana N Moiseeva
View all publications

Product promise

We are committed to supporting your work with high-quality reagents, and we're here for you every step of the way. In the unlikely event that one of our products does not perform as expected, you're protected by our Product Promise.
For full details, please see our Terms & Conditions

Please note: All products are 'FOR RESEARCH USE ONLY. NOT FOR USE IN DIAGNOSTIC OR THERAPEUTIC PROCEDURES'.

For licensing inquiries, please contact partnerships@abcam.com