JavaScript is disabled in your browser. Please enable JavaScript to view this website.
AB121388

Anti-GPR158 antibody

5

(1 Review)

|

(3 Publications)

Rabbit Polyclonal GPR158 antibody. Suitable for IHC-P and reacts with Human samples. Cited in 3 publications. Immunogen corresponding to Recombinant Fragment Protein within Human GPR158 aa 900-1100.

View Alternative Names

KIAA1136, GPR158, Metabotropic glycine receptor, mGlyR, G-protein coupled receptor 158

1 Images
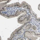
Immunohistochemistry (Formalin/PFA-fixed paraffin-embedded sections) - Anti-GPR158 antibody (AB121388)
  • IHC-P

Unknown

Immunohistochemistry (Formalin/PFA-fixed paraffin-embedded sections) - Anti-GPR158 antibody (AB121388)

ab121388 at 1/100 dilution staining GPR158 in Paraffin-emebedded Human gall bladder tissue by Immunohistochemistry showing weak nuclear positivity in glandular cells.

Key facts

Host species

Rabbit

Clonality

Polyclonal

Isotype

IgG

Carrier free

No

Reacts with

Human

Applications

IHC-P

applications

Immunogen

Recombinant Fragment Protein within Human GPR158 aa 900-1100. The exact immunogen used to generate this antibody is proprietary information.

Q5T848

Reactivity data

{ "title": "Reactivity Data", "filters": { "stats": ["", "Species", "Dilution Info", "Notes"], "tabs": { "all-applications": {"fullname" : "All Applications", "shortname": "All Applications"}, "IHCP" : {"fullname" : "Immunohistochemistry (Formalin/PFA-fixed paraffin-embedded sections)", "shortname":"IHC-P"} }, "product-promise": { "all": "all", "testedAndGuaranteed": "tested", "guaranteed": "expected", "predicted": "predicted", "notRecommended": "not-recommended" } }, "values": { "Human": { "IHCP-species-checked": "testedAndGuaranteed", "IHCP-species-dilution-info": "1/50 - 1/200", "IHCP-species-notes": "<p></p> Perform heat-mediated antigen retrieval with citrate buffer pH 6 before commencing with IHC staining protocol." } } }

Properties and storage information

Form
Liquid
Purification technique
Affinity purification Immunogen
Storage buffer
pH: 7.2 Preservative: 0.02% Sodium azide Constituents: PBS, 40% Glycerol (glycerin, glycerine)
Shipped at conditions
Blue Ice
Appropriate short-term storage conditions
+4°C
Appropriate long-term storage conditions
-20°C
Aliquoting information
Upon delivery aliquot
Storage information
Avoid freeze / thaw cycle

Supplementary information

This supplementary information is collated from multiple sources and compiled automatically.

GPR158 also known as G protein-coupled receptor 158 is an orphan receptor with a molecular mass of approximately 92 kDa. This protein is part of the GPCR family which has a structure characterized by seven transmembrane domains. GPR158 is highly expressed in the brain notably in regions such as the prefrontal cortex and hippocampus which have roles in cognitive and emotional processing. It is also present in other tissues but at lower levels indicating a more specialized function in the central nervous system.
Biological function summary

GPR158 interacts with certain signaling molecules and is involved in modulating neurotransmission. It does not operate alone; it can form complexes with other proteins like RGS proteins which help regulate GPCR signaling. This interaction influences cellular responses to various stimuli. GPR158 plays a role in neurons and is involved in pathways that control synaptic plasticity and neuronal survival which are essential for learning and memory processes.

Pathways

Research indicates that GPR158 is part of both the PI3K-Akt signaling and the G protein signaling pathways. These pathways are critical for cell growth survival and metabolism. GPR158 connects with proteins such as Akt an important player in mediating several GPCR functions. Through its involvement in these pathways GPR158 influences cellular responses to growth factors and stress linking external signals to internal cellular mechanisms.

GPR158 shows relevance to mental health conditions and certain cancers. In neuropsychiatric disorders like depression altered GPR158 expression levels affect mood regulation potentially through its interactions with neurotransmitter systems. Additionally in prostate cancer GPR158 connects to the androgen receptor pathway hinting at its role in tumor progression. Understanding these connections can help in developing therapeutic strategies targeting GPR158-related pathways in disease management.

Product protocols

For this product, it's our understanding that no specific protocols are required. You can visit:

Target data

Metabotropic receptor for glycine that controls synapse formation and function in the brain (PubMed : 36996198). Acts as an atypical G-protein coupled receptor that recruits and regulates the RGS7-GNB5 complex instead of activating G proteins (PubMed : 31189666, PubMed : 36996198). In absence of glycine ligand, promotes the GTPase activator activity of RGS7, increasing the GTPase activity of G protein alpha subunits, thereby driving them into their inactive GDP-bound form (PubMed : 36996198). Glycine-binding changes the conformation of the intracellular surface, inhibiting the GTPase activator activity of the RGS7-GNB5 complex, promoting G protein alpha subunits into their active GTP-bound form and regulating cAMP levels (PubMed : 36996198). Also able to bind taurine, a compound closely related to glycine, but with a two-fold lower affinity (PubMed : 36996198). Glycine receptor-dependent regulation of cAMP controls key ion channels, kinases and neurotrophic factors involved in neuronal excitability and synaptic transmission (PubMed : 36996198). Plays a pivotal role in regulating mood and cognition via its ability to regulate neuronal excitability in L2/L3 pyramidal neurons of the prefrontal cortex (By similarity). Also involved in spatial learning by regulating hippocampal CA1 neuronal excitability (By similarity). Acts as a synaptic organizer in the hippocampus, required for proper mossy fiber-CA3 neurocircuitry establishment, structure and function : induces presynaptic differentiation in contacting axons via its interaction with GPC4 (By similarity). In addition to glycine, may also act as a receptor for osteocalcin (BGLAP) hormone : osteocalcin-binding initiates a signaling response that prevents neuronal apoptosis in the hippocampus and regulates the synthesis of neurotransmitters (By similarity).
See full target information GPR158

Publications (3)

Recent publications for all applications. Explore the full list and refine your search

Cell death & disease 13:272 PubMed35347106

2022

Bevacizumab attenuates osteosarcoma angiogenesis by suppressing MIAT encapsulated by serum-derived extracellular vesicles and facilitating miR-613-mediated GPR158 inhibition.

Applications

Unspecified application

Species

Unspecified reactive species

Bao-Dong Wang,Xiao-Jun Yu,Ji-Chun Hou,Bo Fu,Hao Zheng,Qi-Kun Liu,Shan-Xi Wang,Zheng-Gang Bi,Yang Cao

Molecular & cellular proteomics : MCP 18:1669-1682 PubMed31204315

2019

Mapping Spatiotemporal Microproteomics Landscape in Experimental Model of Traumatic Brain Injury Unveils a link to Parkinson's Disease.

Applications

Unspecified application

Species

Unspecified reactive species

Khalil Mallah,Jusal Quanico,Antonella Raffo-Romero,Tristan Cardon,Soulaimane Aboulouard,David Devos,Firas Kobeissy,Kazem Zibara,Michel Salzet,Isabelle Fournier

Oncogene 37:4313-4333 PubMed29720725

2018

Inhibition of GPR158 by microRNA-449a suppresses neural lineage of glioma stem/progenitor cells and correlates with higher glioma grades.

Applications

Unspecified application

Species

Unspecified reactive species

Ningning Li,Ying Zhang,Kastytis Sidlauskas,Matthew Ellis,Ian Evans,Paul Frankel,Joanne Lau,Tedani El-Hassan,Loredana Guglielmi,Jessica Broni,Angela Richard-Loendt,Sebastian Brandner
View all publications

Product promise

We are committed to supporting your work with high-quality reagents, and we're here for you every step of the way. In the unlikely event that one of our products does not perform as expected, you're protected by our Product Promise.
For full details, please see our Terms & Conditions

Please note: All products are 'FOR RESEARCH USE ONLY. NOT FOR USE IN DIAGNOSTIC OR THERAPEUTIC PROCEDURES'.

For licensing inquiries, please contact partnerships@abcam.com