JavaScript is disabled in your browser. Please enable JavaScript to view this website.
AB122605

Anti-GPR176 antibody

Be the first to review this product! Submit a review

|

(5 Publications)

Rabbit Polyclonal GPR176 antibody. Suitable for IHC-P, WB and reacts with Human samples. Cited in 5 publications. Immunogen corresponding to Recombinant Fragment Protein within Human GPR176 aa 300-450.

View Alternative Names

G-protein coupled receptor 176, HB-954, GPR176

5 Images
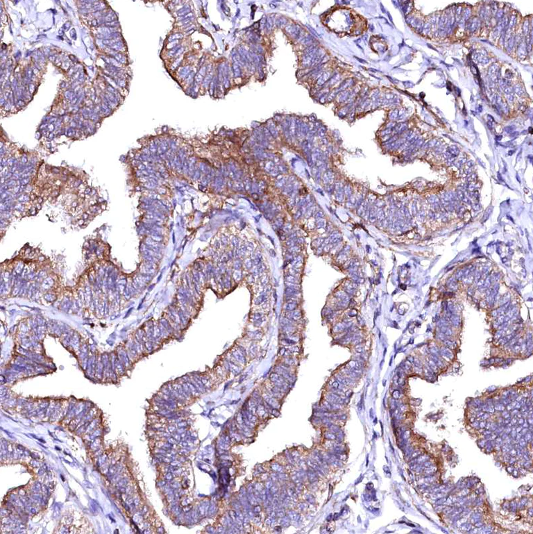
Immunohistochemistry (Formalin/PFA-fixed paraffin-embedded sections) - Anti-GPR176 antibody (AB122605)
  • IHC-P

Supplier Data

Immunohistochemistry (Formalin/PFA-fixed paraffin-embedded sections) - Anti-GPR176 antibody (AB122605)

Immunohistochemistry (Formalin/PFA-fixed paraffin-embedded sections) analysis of human prostate tissue labelling GPR176 with ab122605 at 1/500 dilution. Heat mediated antigen retrieval performed with citrate buffer pH 6 before commencing with IHC staining protocol.

Immunohistochemistry (Formalin/PFA-fixed paraffin-embedded sections) - Anti-GPR176 antibody (AB122605)
  • IHC-P

Supplier Data

Immunohistochemistry (Formalin/PFA-fixed paraffin-embedded sections) - Anti-GPR176 antibody (AB122605)

Immunohistochemistry (Formalin/PFA-fixed paraffin-embedded sections) analysis of human small intestine tissue labelling GPR176 with ab122605 at 1/500 dilution. Heat mediated antigen retrieval performed with citrate buffer pH 6 before commencing with IHC staining protocol.

Immunohistochemistry (Formalin/PFA-fixed paraffin-embedded sections) - Anti-GPR176 antibody (AB122605)
  • IHC-P

Supplier Data

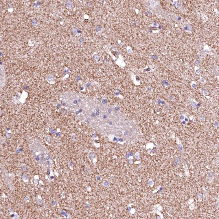
Immunohistochemistry (Formalin/PFA-fixed paraffin-embedded sections) - Anti-GPR176 antibody (AB122605)

Immunohistochemistry (Formalin/PFA-fixed paraffin-embedded sections) analysis of human caudate nucleus tissue labelling GPR176 with ab122605 at 1/500 dilution. Heat mediated antigen retrieval performed with citrate buffer pH 6 before commencing with IHC staining protocol.

Immunohistochemistry (Formalin/PFA-fixed paraffin-embedded sections) - Anti-GPR176 antibody (AB122605)
  • IHC-P

Supplier Data

Immunohistochemistry (Formalin/PFA-fixed paraffin-embedded sections) - Anti-GPR176 antibody (AB122605)

Immunohistochemistry (Formalin/PFA-fixed paraffin-embedded sections) analysis of human fallopian tube tissue labelling GPR176 with ab122605 at 1/500 dilution. Heat mediated antigen retrieval performed with citrate buffer pH 6 before commencing with IHC staining protocol.

Western blot - Anti-GPR176 antibody (AB122605)
  • WB

Supplier Data

Western blot - Anti-GPR176 antibody (AB122605)

Loading control : Anti-PPIB

All lanes:

Western blot - Anti-GPR176 antibody (ab122605) at 0.4 µg/mL

Lane 1:

A431 (human epidermoid carcinoma cell line) whole cell lysate

Lane 2:

MCF7 (human breast adenocarcinoma cell line) whole cell lysate

Predicted band size: 57 kDa

false

Key facts

Host species

Rabbit

Clonality

Polyclonal

Isotype

IgG

Carrier free

No

Reacts with

Human

Applications

IHC-P, WB

applications

Immunogen

Recombinant Fragment Protein within Human GPR176 aa 300-450. The exact immunogen used to generate this antibody is proprietary information.

Q14439

Reactivity data

{ "title": "Reactivity Data", "filters": { "stats": ["", "Species", "Dilution Info", "Notes"], "tabs": { "all-applications": {"fullname" : "All Applications", "shortname": "All Applications"}, "IHCP" : {"fullname" : "Immunohistochemistry (Formalin/PFA-fixed paraffin-embedded sections)", "shortname":"IHC-P"}, "WB" : {"fullname" : "Western blot", "shortname":"WB"} }, "product-promise": { "all": "all", "testedAndGuaranteed": "tested", "guaranteed": "expected", "predicted": "predicted", "notRecommended": "not-recommended" } }, "values": { "Human": { "IHCP-species-checked": "testedAndGuaranteed", "IHCP-species-dilution-info": "1/500 - 1/1000", "IHCP-species-notes": "<p></p>", "WB-species-checked": "testedAndGuaranteed", "WB-species-dilution-info": "0.04-0.4 µg/mL", "WB-species-notes": "<p></p>" } } }

Properties and storage information

Form
Liquid
Purification technique
Affinity purification Immunogen
Storage buffer
pH: 7.2 Preservative: 0.02% Sodium azide Constituents: PBS, 40% Glycerol (glycerin, glycerine)
Shipped at conditions
Blue Ice
Appropriate long-term storage conditions
-20°C
Storage information
Avoid freeze / thaw cycle|Store undiluted

Supplementary information

This supplementary information is collated from multiple sources and compiled automatically.

GPR176 also known as G protein-coupled receptor 176 is a member of the G protein-coupled receptor family. The receptor has a molecular mass of around 47 kDa. Usually you find it expressed in various tissues including the brain and lymphoid organs. As a GPCR GPR176 may act through activating specific G proteins that transmit signals inside cells leading to various cellular responses.
Biological function summary

GPR176 shows roles in regulating circadian rhythms and immune system functions. It appears not to form a complex but influences biological processes through its signaling pathways. Evidence suggests that it modulates certain aspects of the immune response by impacting the behavior of immune cells.

Pathways

GPR176 participates in pathways connected to the regulation of circadian rhythms and immune system signaling. It interacts with pathways involving other GPCRs which are critical for maintaining physiological homeostasis. Proteins such as CLOCK and PER1 in the circadian rhythm pathway are related to the actions of GPR176 helping coordinate daily physiological cycles.

Researchers link GPR176 to conditions like immune dysfunction and mood disorders. In particular dysregulation of circadian rhythms can have ties with mood disorders where GPR176 plays a role. The target also shows relevance to immune-related conditions interconnected with proteins like NF-kB which influence inflammation and immune responses.

Product protocols

For this product, it's our understanding that no specific protocols are required. You can visit:

Target data

Orphan receptor involved in normal circadian rhythm behavior. Acts through the G-protein subclass G(z)-alpha and has an agonist-independent basal activity to repress cAMP production.
See full target information GPR176

Publications (5)

Recent publications for all applications. Explore the full list and refine your search

Journal of obstetrics and gynaecology : the journal of the Institute of Obstetrics and Gynaecology 44:2347430 PubMed38835234

2024

The oncogenic roles of GPR176 in ovarian cancer: a molecular target for aggressiveness and gene therapy.

Applications

Unspecified application

Species

Unspecified reactive species

Ning Yang,Wen-Jing Yun,Zheng-Guo Cui,Hua-Chuan Zheng

Nature communications 15:3793 PubMed38714822

2024

An interphase actin wave promotes mitochondrial content mixing and organelle homeostasis.

Applications

Unspecified application

Species

Unspecified reactive species

Stephen M Coscia,Andrew S Moore,Cameron P Thompson,Christian F Tirrito,E Michael Ostap,Erika L F Holzbaur

Cancer biology & therapy 25:2302162 PubMed38241178

2024

The facilitating effects of KRT80 on chemoresistance, lipogenesis, and invasion of esophageal cancer.

Applications

Unspecified application

Species

Unspecified reactive species

Wen-Jing Yun,Jun Li,Nan-Chang Yin,Cong-Yu Zhang,Zheng-Guo Cui,Li Zhang,Hua-Chuan Zheng

Journal of cancer research and clinical oncology 149:14641-14655 PubMed37584712

2023

The promoting effects of GPR176 expression on proliferation, chemoresistance, lipogenesis and invasion of oesophageal cancer.

Applications

Unspecified application

Species

Unspecified reactive species

Wen-Jing Yun,Jun Li,Nan-Chang Yin,Cong-Yu Zhang,Zheng-Guo Cui,Li Zhang,Hua-Chuan Zheng

Clinical & translational oncology : official publication of the Federation of Spanish Oncology Societies and of the National Cancer Institute of Mexico 25:3042-3056 PubMed37079213

2023

Oncogenic roles of GPR176 in breast cancer: a potential marker of aggressiveness and a potential target of gene therapy.

Applications

Unspecified application

Species

Unspecified reactive species

Wen-Jing Yun,Hang Xue,Ning Yang,Li-Jun Xiao,Hong-Zhi Sun,Hua-Chuan Zheng
View all publications

Product promise

We are committed to supporting your work with high-quality reagents, and we're here for you every step of the way. In the unlikely event that one of our products does not perform as expected, you're protected by our Product Promise.
For full details, please see our Terms & Conditions

Please note: All products are 'FOR RESEARCH USE ONLY. NOT FOR USE IN DIAGNOSTIC OR THERAPEUTIC PROCEDURES'.

For licensing inquiries, please contact partnerships@abcam.com