JavaScript is disabled in your browser. Please enable JavaScript to view this website.
AB317624

Anti-GPR37L1 antibody [EPR29125-35]

  • BOND RX™ Validated
  • 20ul selling size
  • Recombinant
  • RabMAb
  • What is this?

Be the first to review this product! Submit a review

|

(0 Publication)

Rabbit Recombinant Monoclonal G37L1 antibody. Suitable for IHC-P, IHC-Fr and reacts with Transfected cell line - Mouse, Human, Mouse, Rat samples.

View Alternative Names

Etbrlp2, G-protein coupled receptor 37-like 1, Endothelin B receptor-like protein 2, ETBR-LP-2

14 Images
Immunohistochemistry (Formalin/PFA-fixed paraffin-embedded sections) - Anti-GPR37L1 antibody [EPR29125-35] (AB317624)
  • IHC-P

Supplier Data

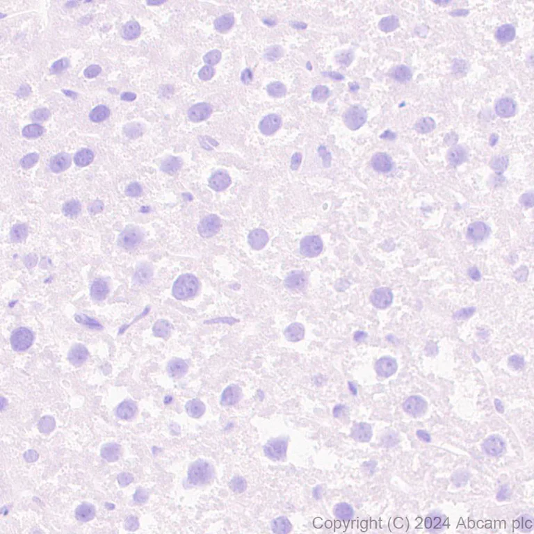
Immunohistochemistry (Formalin/PFA-fixed paraffin-embedded sections) - Anti-GPR37L1 antibody [EPR29125-35] (AB317624)

Immunohistochemical analysis of paraffin-embedded Human cardiac muscle tissue labeling GPR37L1 with ab317624 at 1/2000 (0.257 ug/ml) dilution, followed by a ready to use LeicaDS9800 (Bond™ Polymer Refine Detection).

Negative control : No staining in human cardiac muscle.
The section was incubated with ab317624 for 30 mins at room temperature.
The immunostaining was performed on a Leica Biosystems BOND® RX instrument

Counterstained with Hematoxylin.

Secondary antibody only control : Secondary antibody is a ready to use LeicaDS9800 (Bond™ Polymer Refine Detection).

Heat mediated antigen retrieval was performed with Tris-EDTA buffer (pH 9.0, Epitope Retrieval Solution2) for 20 mins

Immunohistochemistry (Formalin/PFA-fixed paraffin-embedded sections) - Anti-GPR37L1 antibody [EPR29125-35] (AB317624)
  • IHC-P

Supplier Data

Immunohistochemistry (Formalin/PFA-fixed paraffin-embedded sections) - Anti-GPR37L1 antibody [EPR29125-35] (AB317624)

Immunohistochemical analysis of paraffin-embedded Human cerebellum tissue labeling GPR37L1 with ab317624 at 1/2000 (0.257 ug/ml) dilution, followed by a ready to use LeicaDS9800 (Bond™ Polymer Refine Detection).

Positive staining in human cerebellum.
The section was incubated with ab317624 for 30 mins at room temperature.
The immunostaining was performed on a Leica Biosystems BOND® RX instrument

Counterstained with Hematoxylin.

Secondary antibody only control : Secondary antibody is a ready to use LeicaDS9800 (Bond™ Polymer Refine Detection).

Heat mediated antigen retrieval was performed with Tris-EDTA buffer (pH 9.0, Epitope Retrieval Solution2) for 20 mins

Immunohistochemistry (Formalin/PFA-fixed paraffin-embedded sections) - Anti-GPR37L1 antibody [EPR29125-35] (AB317624)
  • IHC-P

Supplier Data

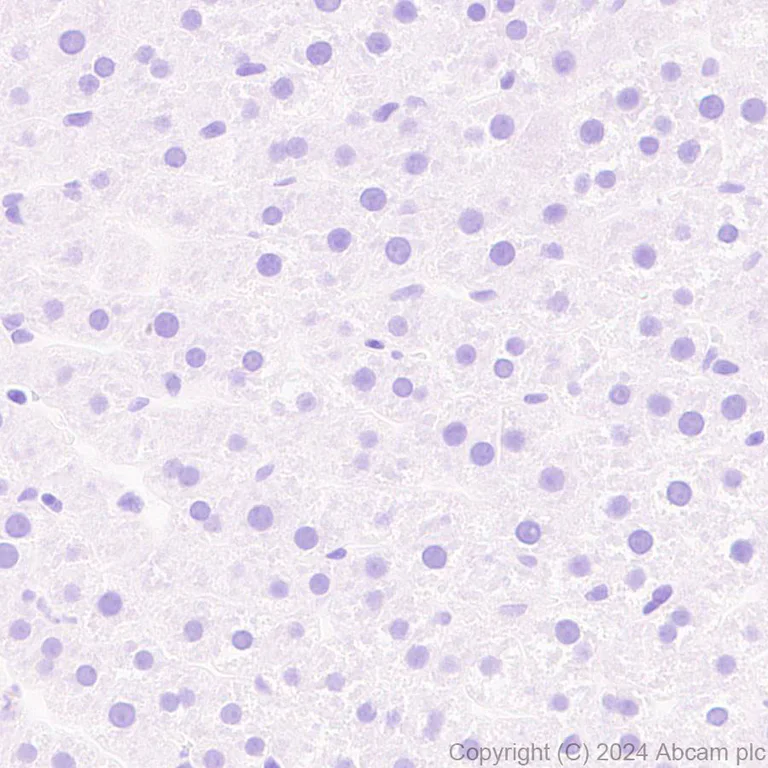
Immunohistochemistry (Formalin/PFA-fixed paraffin-embedded sections) - Anti-GPR37L1 antibody [EPR29125-35] (AB317624)

Immunohistochemical analysis of paraffin-embedded Human liver tissue labeling GPR37L1 with ab317624 at 1/2000 (0.257 ug/ml) dilution, followed by a ready to use LeicaDS9800 (Bond™ Polymer Refine Detection).

Negative control : No staining in human liver.
The section was incubated with ab317624 for 30 mins at room temperature.
The immunostaining was performed on a Leica Biosystems BOND® RX instrument

Counterstained with Hematoxylin.

Secondary antibody only control : Secondary antibody is a ready to use LeicaDS9800 (Bond™ Polymer Refine Detection).

Heat mediated antigen retrieval was performed with Tris-EDTA buffer (pH 9.0, Epitope Retrieval Solution2) for 20 mins

Immunohistochemistry (Formalin/PFA-fixed paraffin-embedded sections) - Anti-GPR37L1 antibody [EPR29125-35] (AB317624)
  • IHC-P

Supplier Data

Immunohistochemistry (Formalin/PFA-fixed paraffin-embedded sections) - Anti-GPR37L1 antibody [EPR29125-35] (AB317624)

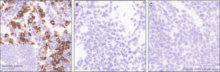
Immunohistochemical analysis of paraffin-embedded (A) HEK-293T (human embryonic kidney epithelial cell) transfected with a mouse GPR37L1 expression vector containing a Myc-His tag; (B) HEK-293T transfected with GPR37 vector expression containing a Myc-His tag; (C) HEK-293T transfected with empty vector expression containing a Myc-His tag tissue labeling GPR37L1 with ab317624 at 1/4000 (0.128 μg/ml) dilution, followed by a ready to use LeicaDS9800 (Bond™ Polymer Refine Detection). Positive staining in (A) HEK-293T (human embryonic kidney epithelial cell) transfected with a mouse GPR37L1 expression vector containing a Myc-His tag, and no staining in (B) HEK-293T transfected with GPR37 vector expression containing a Myc-His tag and (C) HEK-293T transfected with empty vector expression containing a Myc-His tag. This antibody does not cross-react with mouse GPR37. The section was incubated with ab317624 for 30 mins at room temperature. The immunostaining was performed on a Leica Biosystems BOND® RX instrument. Counterstained with Hematoxylin. Secondary antibody only control : Secondary antibody is a ready to use LeicaDS9800 (Bond™ Polymer Refine Detection). Heat mediated antigen retrieval was performed with Tris-EDTA buffer (pH 9.0, Epitope Retrieval Solution2) for 20 mins.

Immunohistochemistry (Formalin/PFA-fixed paraffin-embedded sections) - Anti-GPR37L1 antibody [EPR29125-35] (AB317624)
  • IHC-P

Supplier Data

Immunohistochemistry (Formalin/PFA-fixed paraffin-embedded sections) - Anti-GPR37L1 antibody [EPR29125-35] (AB317624)

Immunohistochemical analysis of paraffin-embedded Rat liver tissue labeling GPR37L1 with ab317624 at 1/2000 (0.257 ug/ml) dilution, followed by a ready to use LeicaDS9800 (Bond™ Polymer Refine Detection).

Negative control : No staining in rat liver.
The section was incubated with ab317624 for 30 mins at room temperature.
The immunostaining was performed on a Leica Biosystems BOND® RX instrument

Counterstained with Hematoxylin.

Secondary antibody only control : Secondary antibody is a ready to use LeicaDS9800 (Bond™ Polymer Refine Detection).

Heat mediated antigen retrieval was performed with Tris-EDTA buffer (pH 9.0, Epitope Retrieval Solution2) for 20 mins

Immunohistochemistry (Frozen sections) - Anti-GPR37L1 antibody [EPR29125-35] (AB317624)
  • IHC-Fr

Supplier Data

Immunohistochemistry (Frozen sections) - Anti-GPR37L1 antibody [EPR29125-35] (AB317624)

Immunohistochemical analysis of 4% PFA-fixed, 0.2% Triton X-100 permeabilized frozen Mouse liver (fresh frozen) tissue labeling GPR37L1 with ab317624 at 1/50 (10.26 ug/ml) dilution followed by ab150081 Goat Anti-Rabbit IgG H&L (Alexa Fluor® 488) preadsorbed at 1/1000 2 ug/mL dilution (Green).

Negative control : confocal image showing no staining on mouse liver. The nuclear counterstain was DAPI (Blue). The section was incubated with ab317624 for 60 mins at room temperature. The section was then mounted using Fluoromount®.The immunostaining was performed on a Leica Biosystems BOND® RX instrument. Image was taken with a confocal microscope (Leica-Microsystems, TCS SP8).

Secondary antibody control : Secondary antibody is ab150081 Goat Anti-Rabbit IgG H&L (Alexa Fluor® 488) preadsorbedat 1/1000 2 ug/mL dilution.

Immunohistochemistry (Frozen sections) - Anti-GPR37L1 antibody [EPR29125-35] (AB317624)
  • IHC-Fr

Supplier Data

Immunohistochemistry (Frozen sections) - Anti-GPR37L1 antibody [EPR29125-35] (AB317624)

Immunohistochemical analysis of 4% PFA-fixed, 0.2% Triton X-100 permeabilized frozen Rat liver (fresh frozen) tissue labeling GPR37L1 with ab317624 at 1/50 (10.26 ug/ml) dilution followed by ab150081 Goat Anti-Rabbit IgG H&L (Alexa Fluor® 488) preadsorbed at 1/1000 2 ug/mL dilution (Green).

Negative control : confocal image showing no staining on rat liver. The nuclear counterstain was DAPI (Blue). The section was incubated with ab317624 for 60 mins at room temperature. The section was then mounted using Fluoromount®.The immunostaining was performed on a Leica Biosystems BOND® RX instrument. Image was taken with a confocal microscope (Leica-Microsystems, TCS SP8).

Secondary antibody control : Secondary antibody is ab150081 Goat Anti-Rabbit IgG H&L (Alexa Fluor® 488) preadsorbedat 1/1000 2 ug/mL dilution.

Immunohistochemistry (Formalin/PFA-fixed paraffin-embedded sections) - Anti-GPR37L1 antibody [EPR29125-35] (AB317624)
  • IHC-P

Supplier Data

Immunohistochemistry (Formalin/PFA-fixed paraffin-embedded sections) - Anti-GPR37L1 antibody [EPR29125-35] (AB317624)

Immunohistochemical analysis of paraffin-embedded Mouse cerebellum tissue labeling GPR37L1 with ab317624 at 1/2000 (0.257 ug/ml) dilution, followed by a ready to use LeicaDS9800 (Bond™ Polymer Refine Detection).

Positive staining in mouse cerebellum.
The section was incubated with ab317624 for 30 mins at room temperature.
The immunostaining was performed on a Leica Biosystems BOND® RX instrument

Counterstained with Hematoxylin.

Secondary antibody only control : Secondary antibody is a ready to use LeicaDS9800 (Bond™ Polymer Refine Detection).

Heat mediated antigen retrieval was performed with Tris-EDTA buffer (pH 9.0, Epitope Retrieval Solution2) for 20 mins

Immunohistochemistry (Formalin/PFA-fixed paraffin-embedded sections) - Anti-GPR37L1 antibody [EPR29125-35] (AB317624)
  • IHC-P

Supplier Data

Immunohistochemistry (Formalin/PFA-fixed paraffin-embedded sections) - Anti-GPR37L1 antibody [EPR29125-35] (AB317624)

Immunohistochemical analysis of paraffin-embedded Rat cerebellum tissue labeling GPR37L1 with ab317624 at 1/2000 (0.257 ug/ml) dilution, followed by a ready to use LeicaDS9800 (Bond™ Polymer Refine Detection).

Positive staining in rat cerebellum.
The section was incubated with ab317624 for 30 mins at room temperature.
The immunostaining was performed on a Leica Biosystems BOND® RX instrument

Counterstained with Hematoxylin.

Secondary antibody only control : Secondary antibody is a ready to use LeicaDS9800 (Bond™ Polymer Refine Detection).

Heat mediated antigen retrieval was performed with Tris-EDTA buffer (pH 9.0, Epitope Retrieval Solution2) for 20 mins

Immunohistochemistry (Frozen sections) - Anti-GPR37L1 antibody [EPR29125-35] (AB317624)
  • IHC-Fr

Supplier Data

Immunohistochemistry (Frozen sections) - Anti-GPR37L1 antibody [EPR29125-35] (AB317624)

Immunohistochemical analysis of 4% PFA-fixed, 0.2% Triton X-100 permeabilized frozen Rat cerebellum (fresh frozen) tissue labeling GPR37L1 with ab317624 at 1/50 (10.26 ug/ml) dilution followed by ab150081 Goat Anti-Rabbit IgG H&L (Alexa Fluor® 488) preadsorbed at 1/1000 2 ug/mL dilution (Green).

Panel A : merged staining of anti-GPR37L1 (ab317624, green), anti-NeuN (ab190565, grey) and anti-GFAP (ab201732, magenta) on rat cerebellum.
Panel B : anti-GPR37L1 stained on rat cerebellum.
Panel C : anti-NeuN stained in neurons of rat cerebellum.
Panel D : anti-GFAP stained in astrocytes of rat cerebellum.
The section was incubated in two rounds of staining : in the order of ab317624 and ab190565, ab201732 for 1 hr at room temperature. The nuclear counterstain was DAPI (Blue). The section was then mounted using Fluoromount®.The immunostaining was performed on a Leica Biosystems BOND® RX instrument. Image was taken with a confocal microscope (Leica-Microsystems, TCS SP8).

Secondary antibody control : Secondary antibody is ab150081 Goat Anti-Rabbit IgG H&L (Alexa Fluor® 488) preadsorbedat 1/1000 2 ug/mL dilution.

Immunohistochemistry (Frozen sections) - Anti-GPR37L1 antibody [EPR29125-35] (AB317624)
  • IHC-Fr

Supplier Data

Immunohistochemistry (Frozen sections) - Anti-GPR37L1 antibody [EPR29125-35] (AB317624)

Immunohistochemical analysis of 4% PFA-fixed, 0.2% Triton X-100 permeabilized frozen Mouse cerebellum (fresh frozen) tissue labeling GPR37L1 with ab317624 at 1/50 (10.26 ug/ml) dilution followed by ab150081 Goat Anti-Rabbit IgG H&L (Alexa Fluor® 488) preadsorbed at 1/1000 2 ug/mL dilution (Green).

Panel A : merged staining of anti-GPR37L1 (ab317624, green), anti-NeuN (ab190565, grey) and anti-GFAP (ab201732, magenta) on mouse cerebellum.
Panel B : anti-GPR37L1 stained on mouse cerebellum.
Panel C : anti-NeuN stained in neurons of mouse cerebellum.
Panel D : anti-GFAP stained in astrocytes of mouse cerebrum.
The section was incubated in two rounds of staining : in the order of ab317624 and ab190565, ab201732 for 1 hr at room temperature. The nuclear counterstain was DAPI (Blue). The section was then mounted using Fluoromount®.The immunostaining was performed on a Leica Biosystems BOND® RX instrument. Image was taken with a confocal microscope (Leica-Microsystems, TCS SP8).

Secondary antibody control : Secondary antibody is ab150081 Goat Anti-Rabbit IgG H&L (Alexa Fluor® 488) preadsorbedat 1/1000 2 ug/mL dilution.

Immunohistochemistry (Formalin/PFA-fixed paraffin-embedded sections) - Anti-GPR37L1 antibody [EPR29125-35] (AB317624)
  • IHC-P

Supplier Data

Immunohistochemistry (Formalin/PFA-fixed paraffin-embedded sections) - Anti-GPR37L1 antibody [EPR29125-35] (AB317624)

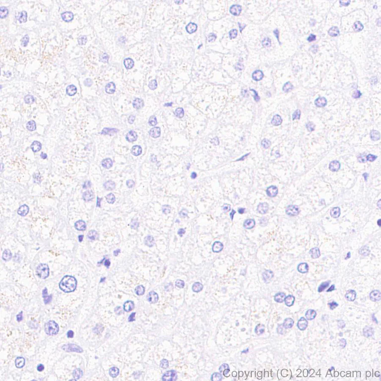
Immunohistochemical analysis of paraffin-embedded Mouse liver tissue labeling GPR37L1 with ab317624 at 1/2000 (0.257 ug/ml) dilution, followed by a ready to use LeicaDS9800 (Bond™ Polymer Refine Detection).

Negative control : No staining in mouse liver.
The section was incubated with ab317624 for 30 mins at room temperature.
The immunostaining was performed on a Leica Biosystems BOND® RX instrument

Counterstained with Hematoxylin.

Secondary antibody only control : Secondary antibody is a ready to use LeicaDS9800 (Bond™ Polymer Refine Detection).

Heat mediated antigen retrieval was performed with Tris-EDTA buffer (pH 9.0, Epitope Retrieval Solution2) for 20 mins

Immunohistochemistry (Formalin/PFA-fixed paraffin-embedded sections) - Anti-GPR37L1 antibody [EPR29125-35] (AB317624)
  • IHC-P

Supplier Data

Immunohistochemistry (Formalin/PFA-fixed paraffin-embedded sections) - Anti-GPR37L1 antibody [EPR29125-35] (AB317624)

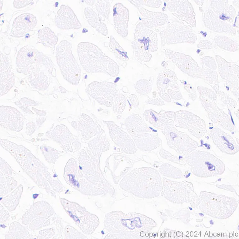
Immunohistochemical analysis of paraffin-embedded Mouse cardiac muscle tissue labeling GPR37L1 with ab317624 at 1/2000 (0.257 ug/ml) dilution, followed by a ready to use LeicaDS9800 (Bond™ Polymer Refine Detection).

Negative control : No staining in mouse cardiac muscle.
The section was incubated with ab317624 for 30 mins at room temperature.
The immunostaining was performed on a Leica Biosystems BOND® RX instrument

Counterstained with Hematoxylin.

Secondary antibody only control : Secondary antibody is a ready to use LeicaDS9800 (Bond™ Polymer Refine Detection).

Heat mediated antigen retrieval was performed with Tris-EDTA buffer (pH 9.0, Epitope Retrieval Solution2) for 20 mins

Immunohistochemistry (Formalin/PFA-fixed paraffin-embedded sections) - Anti-GPR37L1 antibody [EPR29125-35] (AB317624)
  • IHC-P

Supplier Data

Immunohistochemistry (Formalin/PFA-fixed paraffin-embedded sections) - Anti-GPR37L1 antibody [EPR29125-35] (AB317624)

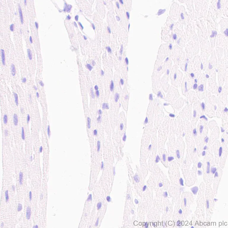
Immunohistochemical analysis of paraffin-embedded Rat cardiac muscle tissue labeling GPR37L1 with ab317624 at 1/2000 (0.257 ug/ml) dilution, followed by a ready to use LeicaDS9800 (Bond™ Polymer Refine Detection).

Negative control : No staining in rat cardiac muscle.
The section was incubated with ab317624 for 30 mins at room temperature.
The immunostaining was performed on a Leica Biosystems BOND® RX instrument

Counterstained with Hematoxylin.

Secondary antibody only control : Secondary antibody is a ready to use LeicaDS9800 (Bond™ Polymer Refine Detection).

Heat mediated antigen retrieval was performed with Tris-EDTA buffer (pH 9.0, Epitope Retrieval Solution2) for 20 mins

Key facts

Host species

Rabbit

Clonality

Monoclonal

Clone number

EPR29125-35

Isotype

IgG

Carrier free

No

Reacts with

Mouse, Rat, Human

Applications

IHC-P, IHC-Fr

applications

Immunogen

The exact immunogen used to generate this antibody is proprietary information.

Reactivity data

{ "title": "Reactivity Data", "filters": { "stats": ["", "Species", "Dilution Info", "Notes"], "tabs": { "all-applications": {"fullname" : "All Applications", "shortname": "All Applications"}, "IHCP" : {"fullname" : "Immunohistochemistry (Formalin/PFA-fixed paraffin-embedded sections)", "shortname":"IHC-P"}, "IHCFr" : {"fullname" : "Immunohistochemistry (Frozen sections)", "shortname":"IHC-Fr"}, "WB" : {"fullname" : "Western blot", "shortname":"WB"}, "ICCIF" : {"fullname" : "Immunocytochemistry/ Immunofluorescence", "shortname":"ICC/IF"} }, "product-promise": { "all": "all", "testedAndGuaranteed": "tested", "guaranteed": "expected", "predicted": "predicted", "notRecommended": "not-recommended" } }, "values": { "Human": { "IHCP-species-checked": "testedAndGuaranteed", "IHCP-species-dilution-info": "1/2000", "IHCP-species-notes": "<p></p> Perform heat-mediated antigen retrieval with Tris/EDTA buffer pH 9.0 before commencing with IHC staining protocol.", "IHCFr-species-checked": "guaranteed", "IHCFr-species-dilution-info": "", "IHCFr-species-notes": "", "WB-species-checked": "notRecommended", "WB-species-dilution-info": "", "WB-species-notes": "<p></p>", "ICCIF-species-checked": "notRecommended", "ICCIF-species-dilution-info": "", "ICCIF-species-notes": "" }, "Mouse": { "IHCP-species-checked": "testedAndGuaranteed", "IHCP-species-dilution-info": "1/2000", "IHCP-species-notes": "<p></p> Perform heat-mediated antigen retrieval with Tris/EDTA buffer pH 9.0 before commencing with IHC staining protocol.", "IHCFr-species-checked": "testedAndGuaranteed", "IHCFr-species-dilution-info": "1/50", "IHCFr-species-notes": "<p></p>", "WB-species-checked": "notRecommended", "WB-species-dilution-info": "", "WB-species-notes": "<p></p>", "ICCIF-species-checked": "notRecommended", "ICCIF-species-dilution-info": "", "ICCIF-species-notes": "<p></p>" }, "Rat": { "IHCP-species-checked": "testedAndGuaranteed", "IHCP-species-dilution-info": "1/2000", "IHCP-species-notes": "<p></p> Perform heat-mediated antigen retrieval with Tris/EDTA buffer pH 9.0 before commencing with IHC staining protocol.", "IHCFr-species-checked": "testedAndGuaranteed", "IHCFr-species-dilution-info": "1/50", "IHCFr-species-notes": "<p></p>", "WB-species-checked": "notRecommended", "WB-species-dilution-info": "", "WB-species-notes": "<p></p>", "ICCIF-species-checked": "notRecommended", "ICCIF-species-dilution-info": "", "ICCIF-species-notes": "<p></p>" }, "Transfected cell line - Mouse": { "IHCP-species-checked": "testedAndGuaranteed", "IHCP-species-dilution-info": "1/2000", "IHCP-species-notes": "<p></p>", "IHCFr-species-checked": "notRecommended", "IHCFr-species-dilution-info": "", "IHCFr-species-notes": "", "WB-species-checked": "notRecommended", "WB-species-dilution-info": "", "WB-species-notes": "", "ICCIF-species-checked": "notRecommended", "ICCIF-species-dilution-info": "", "ICCIF-species-notes": "" } } }

Product details

Patented technology
Our RabMAb® technology is a patented hybridoma-based technology for making rabbit monoclonal antibodies. For details on our patents, please refer to RabMAb® patents.

What are the advantages of a recombinant monoclonal antibody?
This product is a recombinant monoclonal antibody, which offers several advantages including:

  • - High batch-to-batch consistency and reproducibility
  • - Improved sensitivity and specificity
  • - Long-term security of supply
  • - Animal-free batch production

For more information, read more on recombinant antibodies.

Properties and storage information

Form
Liquid
Purification technique
Affinity purification Protein A
Storage buffer
pH: 7.2 - 7.4 Preservative: 0.01% Sodium azide Constituents: PBS, 40% Glycerol (glycerin, glycerine), 0.05% BSA
Shipped at conditions
Blue Ice
Appropriate short-term storage duration
1-2 weeks
Appropriate short-term storage conditions
+4°C
Appropriate long-term storage conditions
-20°C
Aliquoting information
Upon delivery aliquot
Storage information
Avoid freeze / thaw cycle

Supplementary information

This supplementary information is collated from multiple sources and compiled automatically.

GPR37L1 also known as Prosaposin receptor GPR37L1 is an orphan G protein-coupled receptor with a mass of approximately 70 kDa. It is highly expressed in the central nervous system particularly in astrocytes and also in some peripheral tissues. The receptor is involved in signaling mechanisms through coupling with G proteins often leading to intracellular responses such as calcium mobilization or changes in cyclic AMP levels. Its expression pattern suggests a significant role in neural functions.
Biological function summary

GPR37L1 participates in modulating astrocytic activities which are critical for maintaining neural homeostasis. Although it does not typically form part of large protein complexes it interacts with various intracellular signaling components to exert its effects. Researchers have suggested that GPR37L1 could influence neuroinflammatory processes and cell survival due to its presence in neural tissues where it might regulate responses to stress and environmental cues.

Pathways

GPR37L1 plays a role in the Wnt signaling pathway and the MAPK signaling pathway both of which are essential for cellular growth differentiation and survival. These pathways involve interactions with other proteins like Frizzled receptors in the Wnt pathway and Ras proteins in the MAPK pathway. GPR37L1's contribution to these pathways highlights its importance in cellular communication and signal transduction potentially coordinating responses to different physiological and pathological stimuli.

GPR37L1 has been associated with neurodegenerative diseases such as Parkinson's disease and Alzheimer's disease. This receptor's altered signaling might contribute to the pathophysiology of these disorders linking to proteins like alpha-synuclein and amyloid precursor protein respectively. Understanding the role of GPR37L1 in these diseases could offer new insights for therapeutic strategies aimed at modulating its activity to improve neuronal health and function.

Product protocols

For this product, it's our understanding that no specific protocols are required. You can visit:

Target data

G-protein coupled receptor (PubMed : 27072655). Has been shown to bind the neuroprotective and glioprotective factor prosaposin (PSAP), leading to endocytosis followed by an ERK phosphorylation cascade (By similarity). However, other studies have shown that prosaposin does not increase activity (By similarity). It has been suggested that GPR37L1 is a constitutively active receptor which signals through the guanine nucleotide-binding protein G(s) subunit alpha (By similarity). Participates in the regulation of postnatal cerebellar development by modulating the Shh pathway (PubMed : 24062445). Regulates baseline blood pressure in females and protects against cardiovascular stress in males (PubMed : 29625592). Mediates inhibition of astrocyte glutamate transporters and reduction in neuronal N-methyl-D-aspartate receptor activity (PubMed : 28795439).
See full target information Gpr37l1

Product promise

We are committed to supporting your work with high-quality reagents, and we're here for you every step of the way. In the unlikely event that one of our products does not perform as expected, you're protected by our Product Promise.
For full details, please see our Terms & Conditions

Please note: All products are 'FOR RESEARCH USE ONLY. NOT FOR USE IN DIAGNOSTIC OR THERAPEUTIC PROCEDURES'.

For licensing inquiries, please contact partnerships@abcam.com