JavaScript is disabled in your browser. Please enable JavaScript to view this website.
AB274419

Anti-GPR56 antibody [EPR23908-115]

Be the first to review this product! Submit a review

|

(0 Publication)

Rabbit Recombinant Monoclonal GPR56 antibody. Suitable for WB and reacts with Human samples.

View Alternative Names

GPR56, TM7LN4, TM7XN1, UNQ540/PRO1083, ADGRG1, Adhesion G-protein coupled receptor G1, G-protein coupled receptor 56, Protein TM7XN1

2 Images
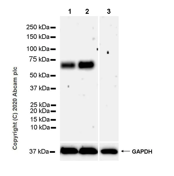
Western blot - Anti-GPR56 antibody [EPR23908-115] (AB274419)
  • WB

Lab

Western blot - Anti-GPR56 antibody [EPR23908-115] (AB274419)

Blocking and diluting buffer and concentration : 5% NFDM/TBST.

The molecular weight observed is consistent with what has been described in the literature (PMID : 17932623).

This blot was developed using a higher sensitivity ECL substrate.

Exposure time : 70 seconds.

All lanes:

Western blot - Anti-GPR56 antibody [EPR23908-115] (ab274419) at 1/1000 dilution

All lanes:

Human glioma tissue lysate at 10 µg

Secondary

All lanes:

VeriBlot for IP secondary antibody(HRP)(<a href='/en-us/products/reagents/veriblot-for-ip-detection-reagent-hrp-ab131366'>ab131366</a>) at 1/1000 dilution

Predicted band size: 78 kDa

Observed band size: 65 kDa

false

Western blot - Anti-GPR56 antibody [EPR23908-115] (AB274419)
  • WB

Lab

Western blot - Anti-GPR56 antibody [EPR23908-115] (AB274419)

Blocking and diluting buffer and concentration : 5% NFDM/TBST. The molecular weight observed is consistent with what has been described in the literature (PMID : 17932623). **Negative control : ** Human lung (PMID : 15674329) This blot was developed using a higher sensitivity ECL substrate. Exposure time : 3 minutes.

All lanes:

Western blot - Anti-GPR56 antibody [EPR23908-115] (ab274419) at 1/1000 dilution

Lane 1:

Human brain tissue lysate at 40 µg

Lane 2:

Human hippocampus tissue lysate at 40 µg

Lane 3:

Human lung tissue lysate at 40 µg

Secondary

All lanes:

VeriBlot for IP secondary antibody(HRP)(<a href='/en-us/products/reagents/veriblot-for-ip-detection-reagent-hrp-ab131366'>ab131366</a>) at 1/1000 dilution

Predicted band size: 78 kDa

Observed band size: 65 kDa

false

Key facts

Host species

Rabbit

Clonality

Monoclonal

Clone number

EPR23908-115

Isotype

IgG

Carrier free

No

Reacts with

Human

Applications

WB

applications

Immunogen

The exact immunogen used to generate this antibody is proprietary information.

Reactivity data

{ "title": "Reactivity Data", "filters": { "stats": ["", "Species", "Dilution Info", "Notes"], "tabs": { "all-applications": {"fullname" : "All Applications", "shortname": "All Applications"}, "ICCIF" : {"fullname" : "Immunocytochemistry/ Immunofluorescence", "shortname":"ICC/IF"}, "IP" : {"fullname" : "Immunoprecipitation", "shortname":"IP"}, "FlowCyt" : {"fullname" : "Flow Cytometry", "shortname":"Flow Cyt"}, "WB" : {"fullname" : "Western blot", "shortname":"WB"}, "IHCP" : {"fullname" : "Immunohistochemistry (Formalin/PFA-fixed paraffin-embedded sections)", "shortname":"IHC-P"} }, "product-promise": { "all": "all", "testedAndGuaranteed": "tested", "guaranteed": "expected", "predicted": "predicted", "notRecommended": "not-recommended" } }, "values": { "Human": { "ICCIF-species-checked": "notRecommended", "ICCIF-species-dilution-info": "", "ICCIF-species-notes": "<p></p>", "IP-species-checked": "notRecommended", "IP-species-dilution-info": "", "IP-species-notes": "<p></p>", "FlowCyt-species-checked": "notRecommended", "FlowCyt-species-dilution-info": "", "FlowCyt-species-notes": "<p></p>", "WB-species-checked": "testedAndGuaranteed", "WB-species-dilution-info": "1/1000", "WB-species-notes": "<p></p>", "IHCP-species-checked": "notRecommended", "IHCP-species-dilution-info": "", "IHCP-species-notes": "<p></p>" }, "Mouse": { "ICCIF-species-checked": "notRecommended", "ICCIF-species-dilution-info": "", "ICCIF-species-notes": "", "IP-species-checked": "notRecommended", "IP-species-dilution-info": "", "IP-species-notes": "", "FlowCyt-species-checked": "notRecommended", "FlowCyt-species-dilution-info": "", "FlowCyt-species-notes": "", "WB-species-checked": "notRecommended", "WB-species-dilution-info": "1/1000", "WB-species-notes": "<p></p>", "IHCP-species-checked": "notRecommended", "IHCP-species-dilution-info": "", "IHCP-species-notes": "<p></p>" }, "Rat": { "ICCIF-species-checked": "notRecommended", "ICCIF-species-dilution-info": "", "ICCIF-species-notes": "", "IP-species-checked": "notRecommended", "IP-species-dilution-info": "", "IP-species-notes": "", "FlowCyt-species-checked": "notRecommended", "FlowCyt-species-dilution-info": "", "FlowCyt-species-notes": "", "WB-species-checked": "notRecommended", "WB-species-dilution-info": "1/1000", "WB-species-notes": "<p></p>", "IHCP-species-checked": "notRecommended", "IHCP-species-dilution-info": "", "IHCP-species-notes": "<p></p>" } } }

Product details

Patented technology
Our RabMAb® technology is a patented hybridoma-based technology for making rabbit monoclonal antibodies. For details on our patents, please refer to RabMAb® patents.

What are the advantages of a recombinant monoclonal antibody?
This product is a recombinant monoclonal antibody, which offers several advantages including:

  • - High batch-to-batch consistency and reproducibility
  • - Improved sensitivity and specificity
  • - Long-term security of supply
  • - Animal-free batch production

For more information, read more on recombinant antibodies.

Properties and storage information

Form
Liquid
Purification technique
Affinity purification Protein A
Storage buffer
pH: 7.2 - 7.4 Preservative: 0.01% Sodium azide Constituents: PBS, 40% Glycerol (glycerin, glycerine), 0.05% BSA
Shipped at conditions
Blue Ice
Appropriate short-term storage duration
1-2 weeks
Appropriate short-term storage conditions
+4°C
Appropriate long-term storage conditions
-20°C
Aliquoting information
Upon delivery aliquot
Storage information
Avoid freeze / thaw cycle

Supplementary information

This supplementary information is collated from multiple sources and compiled automatically.

GPR56 also known as ADGRG1 is a G protein-coupled receptor. It has a mass of around 75 kDa. It plays an essential role in cellular signaling. Found in various tissues GPR56 is expressed significantly in brain and prostate tissue. This receptor is part of the adhesion GPCR family characterized by its large N-terminal region which is involved in cell adhesion and interaction. The mechanical functions of GPR56 involve regulating cell communication which influences cellular growth and behavior.
Biological function summary

GPR56 participates in brain development particularly in the formation of the cerebral cortex. It interacts with extracellular matrix components like collagen III which impacts cell adhesion and migration processes. GPR56 does not commonly form complexes but interacts with other cell membrane molecules to carry out its biological roles. Research indicates its involvement in cellular processes such as cell signaling pathways and the maintenance of tissue integrity.

Pathways

GPR56 is involved in both the inside-out and outside-in signaling pathways. In these pathways GPR56 modulates cell adhesion and migration dynamics. Related proteins such as collagen III interact with GPR56 to facilitate these processes. Furthermore the receptor interacts with integrin signaling pathways that help regulate the homeostasis of the extracellular matrix proving critical in maintaining normal cellular physiology.

Mutations or dysregulation of GPR56 have been associated with brain malformations such as bilateral frontoparietal polymicrogyria. It also plays a role in certain cancers including melanoma where its function in cell adhesion contributes to metastasis. Researchers study its relationship with proteins like integrins which when altered may contribute to cancer progression. Understanding GPR56's roles could offer new insights into potential therapeutic targets for these conditions.

Product protocols

For this product, it's our understanding that no specific protocols are required. You can visit:

Target data

Receptor involved in cell adhesion and probably in cell-cell interactions. Mediates cell matrix adhesion in developing neurons and hematopoietic stem cells. Receptor for collagen III/COL3A1 in the developing brain and involved in regulation of cortical development, specifically in maintenance of the pial basement membrane integrity and in cortical lamination (By similarity). Binding to the COL3A1 ligand inhibits neuronal migration and activates the RhoA pathway by coupling to GNA13 and possibly GNA12 (PubMed : 22238662). Plays a role in the maintenance of hematopoietic stem cells and/or leukemia stem cells in bone marrow niche (By similarity). Plays a critical role in cancer progression by inhibiting VEGFA production threreby inhibiting angiogenesis through a signaling pathway mediated by PRKCA (PubMed : 16757564, PubMed : 21724588). Plays an essential role in testis development (By similarity).. ADGRG1 N-terminal fragment. Plays a critical role in cancer progression by activating VEGFA production and angiogenesis through a signaling pathway mediated by PRKCA (PubMed : 21724588).
See full target information ADGRG1

Product promise

We are committed to supporting your work with high-quality reagents, and we're here for you every step of the way. In the unlikely event that one of our products does not perform as expected, you're protected by our Product Promise.
For full details, please see our Terms & Conditions

Please note: All products are 'FOR RESEARCH USE ONLY. NOT FOR USE IN DIAGNOSTIC OR THERAPEUTIC PROCEDURES'.

For licensing inquiries, please contact partnerships@abcam.com