JavaScript is disabled in your browser. Please enable JavaScript to view this website.
AB302910

Anti-GPR56 antibody [EPR26546-78] - BSA and Azide free

Be the first to review this product! Submit a review

|

(0 Publication)

Rabbit Recombinant Monoclonal GPR56 antibody. Carrier free. Suitable for WB, IHC-P and reacts with Human samples.

View Alternative Names

GPR56, TM7LN4, TM7XN1, UNQ540/PRO1083, ADGRG1, Adhesion G-protein coupled receptor G1, G-protein coupled receptor 56, Protein TM7XN1

3 Images
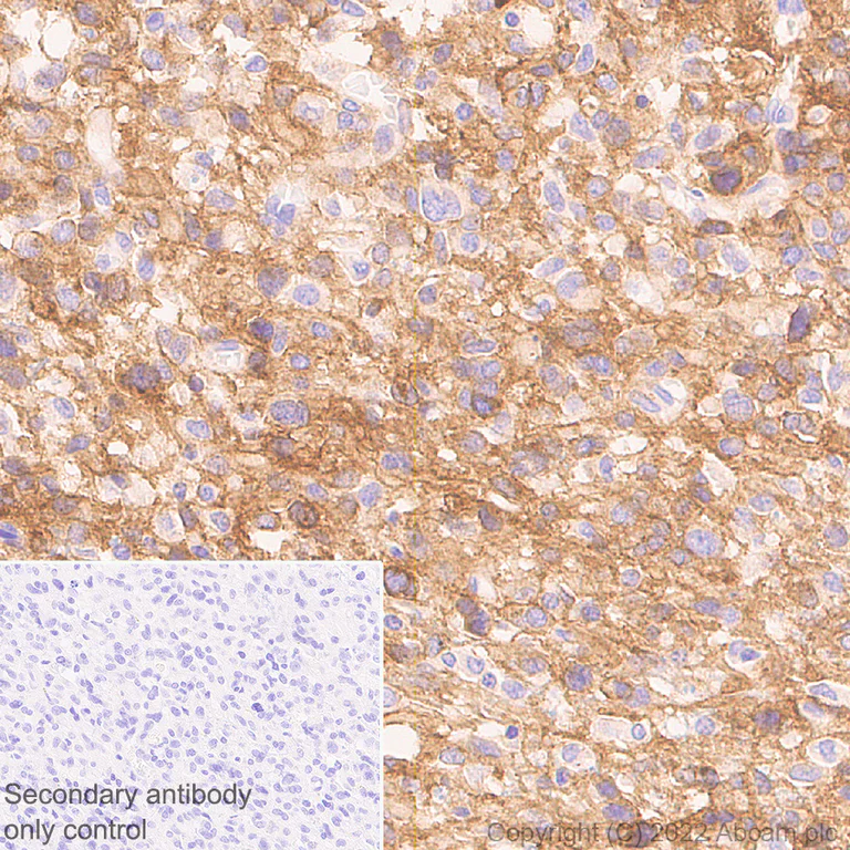
Immunohistochemistry - Anti-GPR56 antibody [EPR26546-78] - BSA and Azide free (AB302910)
  • IHC

Supplier Data

Immunohistochemistry - Anti-GPR56 antibody [EPR26546-78] - BSA and Azide free (AB302910)

This data was developed using ab302909, the same antibody clone in a different buffer formulation. Immunohistochemical analysis of paraffin-embedded Human astrocytoma tissue labeling GPR56 with ab302909 at 1/500 (5.38 ug/ml) followed by a LeicaDS9800 (Bond™ Polymer Refine Detection) was used at Ready to use dilution. Positve staining on human astrocytoma (PMID : 15674329). The section was incubated with ab302909 for 30 mins at room temperature.The immunostaining was performed on a Leica Biosystems BOND® RX instrument Counterstained with Hematoxylin. Secondary antibody only control : Secondary antibody is LeicaDS9800 (Bond™ Polymer Refine Detection) was used at Ready to use dilution. Heat mediated antigen retrieval with Tris-EDTA buffer (pH 9.0, epitope retrieval solution2) for 20 mins

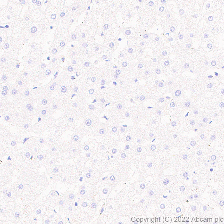
Immunohistochemistry - Anti-GPR56 antibody [EPR26546-78] - BSA and Azide free (AB302910)
  • IHC

Supplier Data

Immunohistochemistry - Anti-GPR56 antibody [EPR26546-78] - BSA and Azide free (AB302910)

This data was developed using ab302909, the same antibody clone in a different buffer formulation. Immunohistochemical analysis of paraffin-embedded Human liver tissue labeling GPR56 with ab302909 at 1/500 (5.38 ug/ml) followed by a LeicaDS9800 (Bond™ Polymer Refine Detection) was used at Ready to use dilution. Negative control : No staining on human liver (PMID : 15674329). The section was incubated with ab302909 for 30 mins at room temperature.The immunostaining was performed on a Leica Biosystems BOND® RX instrument Counterstained with Hematoxylin. Secondary antibody only control : Secondary antibody is LeicaDS9800 (Bond™ Polymer Refine Detection) was used at Ready to use dilution. Heat mediated antigen retrieval with Tris-EDTA buffer (pH 9.0, epitope retrieval solution2) for 20 mins

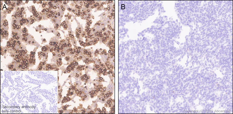
Immunohistochemistry - Anti-GPR56 antibody [EPR26546-78] - BSA and Azide free (AB302910)
  • IHC

Supplier Data

Immunohistochemistry - Anti-GPR56 antibody [EPR26546-78] - BSA and Azide free (AB302910)

This data was developed using ab302909, the same antibody clone in a different buffer formulation. Immunohistochemical analysis of paraffin-embedded (A) HEK-293T cells t tissue labeling GPR56 with ab302909 at 1/5000 (5.38 ug/ml) followed by a LeicaDS9800 (Bond™ Polymer Refine Detection) was used at Ready to use dilution. Positive staining on (A) HEK-293T cells transfected with a ADGRG1 expression vector containing a his tag. No staining on (B) HEK-293T cells transfected with empty vector containing a his tag.The section was incubated with ab302909 for 30 mins at room temperature.The immunostaining was performed on a Leica Biosystems BOND® RX instrument Counterstained with Hematoxylin. Secondary antibody only control : Secondary antibody is LeicaDS9800 (Bond™ Polymer Refine Detection) was used at Ready to use dilution. Heat mediated antigen retrieval with Tris-EDTA buffer (pH 9.0, epitope retrieval solution2) for 20 mins

Key facts

Host species

Rabbit

Clonality

Monoclonal

Clone number

EPR26546-78

Isotype

IgG

Carrier free

Yes

Reacts with

Human

Applications

WB, IHC-P

applications

Immunogen

The exact immunogen used to generate this antibody is proprietary information.

Reactivity data

{ "title": "Reactivity Data", "filters": { "stats": ["", "Species", "Dilution Info", "Notes"], "tabs": { "all-applications": {"fullname" : "All Applications", "shortname": "All Applications"}, "WB" : {"fullname" : "Western blot", "shortname":"WB"}, "IHCP" : {"fullname" : "Immunohistochemistry (Formalin/PFA-fixed paraffin-embedded sections)", "shortname":"IHC-P"}, "ICCIF" : {"fullname" : "Immunocytochemistry/ Immunofluorescence", "shortname":"ICC/IF"}, "FlowCyt" : {"fullname" : "Flow Cytometry", "shortname":"Flow Cyt"}, "IP" : {"fullname" : "Immunoprecipitation", "shortname":"IP"} }, "product-promise": { "all": "all", "testedAndGuaranteed": "tested", "guaranteed": "expected", "predicted": "predicted", "notRecommended": "not-recommended" } }, "values": { "Human": { "WB-species-checked": "testedAndGuaranteed", "WB-species-dilution-info": "", "WB-species-notes": "<p></p>", "IHCP-species-checked": "testedAndGuaranteed", "IHCP-species-dilution-info": "", "IHCP-species-notes": "<p></p>", "ICCIF-species-checked": "notRecommended", "ICCIF-species-dilution-info": "", "ICCIF-species-notes": "<p></p>", "FlowCyt-species-checked": "notRecommended", "FlowCyt-species-dilution-info": "", "FlowCyt-species-notes": "<p></p>", "IP-species-checked": "notRecommended", "IP-species-dilution-info": "", "IP-species-notes": "<p></p>" }, "Mouse": { "WB-species-checked": "notRecommended", "WB-species-dilution-info": "", "WB-species-notes": "<p></p>", "IHCP-species-checked": "notRecommended", "IHCP-species-dilution-info": "", "IHCP-species-notes": "<p></p>", "ICCIF-species-checked": "notRecommended", "ICCIF-species-dilution-info": "", "ICCIF-species-notes": "<p></p>", "FlowCyt-species-checked": "notRecommended", "FlowCyt-species-dilution-info": "", "FlowCyt-species-notes": "<p></p>", "IP-species-checked": "notRecommended", "IP-species-dilution-info": "", "IP-species-notes": "<p></p>" }, "Rat": { "WB-species-checked": "notRecommended", "WB-species-dilution-info": "", "WB-species-notes": "<p></p>", "IHCP-species-checked": "notRecommended", "IHCP-species-dilution-info": "", "IHCP-species-notes": "<p></p>", "ICCIF-species-checked": "notRecommended", "ICCIF-species-dilution-info": "", "ICCIF-species-notes": "<p></p>", "FlowCyt-species-checked": "notRecommended", "FlowCyt-species-dilution-info": "", "FlowCyt-species-notes": "<p></p>", "IP-species-checked": "notRecommended", "IP-species-dilution-info": "", "IP-species-notes": "<p></p>" } } }

Product details

Conjugation ready
Our carrier-free antibodies are typically supplied in a PBS-only formulation, purified and free of BSA, sodium azide and glycerol. This conjugation-ready format is designed for use with fluorochromes, metal isotopes, oligonucleotides, and enzymes, which makes them ideal for antibody labelling, functional and cell-based assays, flow-based assays (e.g. mass cytometry) and Multiplex Imaging applications.

Use our conjugation kits for antibody conjugates that are ready-to-use in as little as 20 minutes with 1 minute hands-on-time and 100% antibody recovery: available for fluorescent dyes, HRP, biotin and gold.

Compatibility
This product is compatible with the Maxpar® Antibody Labeling Kit from Fluidigm, without the need for antibody preparation. Maxpar® is a trademark of Fluidigm Canada Inc.

Patented technology
Our RabMAb® technology is a patented hybridoma-based technology for making rabbit monoclonal antibodies. For details on our patents, please refer to RabMAb® patents.

What are the advantages of a recombinant monoclonal antibody?
This product is a recombinant monoclonal antibody, which offers several advantages including:

  • - High batch-to-batch consistency and reproducibility
  • - Improved sensitivity and specificity
  • - Long-term security of supply
  • - Animal-free batch production

For more information, read more on recombinant antibodies.

Properties and storage information

Form
Liquid
Purification technique
Affinity purification Protein A
Storage buffer
pH: 7.2 - 7.4 Constituents: PBS
Shipped at conditions
Blue Ice
Appropriate short-term storage conditions
+4°C
Appropriate long-term storage conditions
+4°C
Storage information
Do Not Freeze

Supplementary information

This supplementary information is collated from multiple sources and compiled automatically.

GPR56 also known as ADGRG1 is a G protein-coupled receptor. It has a mass of around 75 kDa. It plays an essential role in cellular signaling. Found in various tissues GPR56 is expressed significantly in brain and prostate tissue. This receptor is part of the adhesion GPCR family characterized by its large N-terminal region which is involved in cell adhesion and interaction. The mechanical functions of GPR56 involve regulating cell communication which influences cellular growth and behavior.
Biological function summary

GPR56 participates in brain development particularly in the formation of the cerebral cortex. It interacts with extracellular matrix components like collagen III which impacts cell adhesion and migration processes. GPR56 does not commonly form complexes but interacts with other cell membrane molecules to carry out its biological roles. Research indicates its involvement in cellular processes such as cell signaling pathways and the maintenance of tissue integrity.

Pathways

GPR56 is involved in both the inside-out and outside-in signaling pathways. In these pathways GPR56 modulates cell adhesion and migration dynamics. Related proteins such as collagen III interact with GPR56 to facilitate these processes. Furthermore the receptor interacts with integrin signaling pathways that help regulate the homeostasis of the extracellular matrix proving critical in maintaining normal cellular physiology.

Mutations or dysregulation of GPR56 have been associated with brain malformations such as bilateral frontoparietal polymicrogyria. It also plays a role in certain cancers including melanoma where its function in cell adhesion contributes to metastasis. Researchers study its relationship with proteins like integrins which when altered may contribute to cancer progression. Understanding GPR56's roles could offer new insights into potential therapeutic targets for these conditions.

Product protocols

For this product, it's our understanding that no specific protocols are required. You can visit:

Target data

Receptor involved in cell adhesion and probably in cell-cell interactions. Mediates cell matrix adhesion in developing neurons and hematopoietic stem cells. Receptor for collagen III/COL3A1 in the developing brain and involved in regulation of cortical development, specifically in maintenance of the pial basement membrane integrity and in cortical lamination (By similarity). Binding to the COL3A1 ligand inhibits neuronal migration and activates the RhoA pathway by coupling to GNA13 and possibly GNA12 (PubMed : 22238662). Plays a role in the maintenance of hematopoietic stem cells and/or leukemia stem cells in bone marrow niche (By similarity). Plays a critical role in cancer progression by inhibiting VEGFA production threreby inhibiting angiogenesis through a signaling pathway mediated by PRKCA (PubMed : 16757564, PubMed : 21724588). Plays an essential role in testis development (By similarity).. ADGRG1 N-terminal fragment. Plays a critical role in cancer progression by activating VEGFA production and angiogenesis through a signaling pathway mediated by PRKCA (PubMed : 21724588).
See full target information ADGRG1

Product promise

We are committed to supporting your work with high-quality reagents, and we're here for you every step of the way. In the unlikely event that one of our products does not perform as expected, you're protected by our Product Promise.
For full details, please see our Terms & Conditions

Please note: All products are 'FOR RESEARCH USE ONLY. NOT FOR USE IN DIAGNOSTIC OR THERAPEUTIC PROCEDURES'.

For licensing inquiries, please contact partnerships@abcam.com