JavaScript is disabled in your browser. Please enable JavaScript to view this website.
AB188786

Anti-GPR84 antibody

Be the first to review this product! Submit a review

|

(1 Publication)

Rabbit Polyclonal GPR84 antibody. Suitable for IHC-P and reacts with Human samples. Cited in 1 publication. Immunogen corresponding to Synthetic Peptide within Human GPR84.

View Alternative Names

EX33, GPR84, G-protein coupled receptor 84, Inflammation-related G-protein coupled receptor EX33

1 Images
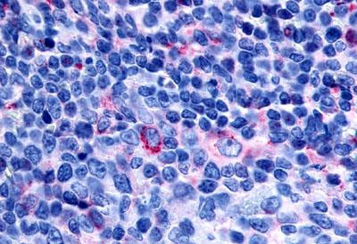
Immunohistochemistry (Formalin/PFA-fixed paraffin-embedded sections) - Anti-GPR84 antibody (AB188786)
  • IHC-P

Supplier Data

Immunohistochemistry (Formalin/PFA-fixed paraffin-embedded sections) - Anti-GPR84 antibody (AB188786)

Immunohistochemical analysis of formalin-fixed, paraffin-embedded Human brain tissue, labeling GPR84 with ab188786 at 106 μg/ml.

Key facts

Host species

Rabbit

Clonality

Polyclonal

Isotype

IgG

Carrier free

No

Reacts with

Human

Applications

IHC-P

applications

Immunogen

Synthetic Peptide within Human GPR84. The exact immunogen used to generate this antibody is proprietary information.

Q9NQS5

Reactivity data

{ "title": "Reactivity Data", "filters": { "stats": ["", "Species", "Dilution Info", "Notes"], "tabs": { "all-applications": {"fullname" : "All Applications", "shortname": "All Applications"}, "IHCP" : {"fullname" : "Immunohistochemistry (Formalin/PFA-fixed paraffin-embedded sections)", "shortname":"IHC-P"} }, "product-promise": { "all": "all", "testedAndGuaranteed": "tested", "guaranteed": "expected", "predicted": "predicted", "notRecommended": "not-recommended" } }, "values": { "Human": { "IHCP-species-checked": "testedAndGuaranteed", "IHCP-species-dilution-info": "53-106 µg/mL", "IHCP-species-notes": "<p></p> Perform heat-mediated antigen retrieval with citrate buffer pH 6 before commencing with IHC staining protocol." }, "Gorilla": { "IHCP-species-checked": "predicted", "IHCP-species-dilution-info": "", "IHCP-species-notes": "" }, "Monkey": { "IHCP-species-checked": "predicted", "IHCP-species-dilution-info": "", "IHCP-species-notes": "" } } }

Properties and storage information

Form
Liquid
Purification technique
Affinity purification Immunogen
Storage buffer
pH: 7.4 Preservative: 0.1% Sodium azide Constituents: PBS
Shipped at conditions
Blue Ice
Appropriate short-term storage duration
1-2 weeks
Appropriate short-term storage conditions
+4°C
Appropriate long-term storage conditions
-20°C
Aliquoting information
Upon delivery aliquot
Storage information
Avoid freeze / thaw cycle

Supplementary information

This supplementary information is collated from multiple sources and compiled automatically.

GPR84 also known as EX33 or GPCR4 is a G protein-coupled receptor with a molecular mass of approximately 41 kDa. It is expressed mainly in the immune system including neutrophils macrophages and microglia. Researchers have also found it in significant amounts in lymphoid tissues. The receptor couples with G proteins to transmit extracellular signals into the cells facilitating various cellular processes.
Biological function summary

GPR84 modulates immune responses and is involved in inflammation. It does not form a complex with other proteins but interacts independently to regulate the production of pro-inflammatory cytokines. The receptor has gained attention for its role in immune response specifically how it aids cells to react to fatty acids influencing both metabolism and inflammation.

Pathways

GPR84 participates in the lipid signaling pathway playing a role in fatty acid metabolism and immune regulation. It closely interacts with lipid molecules which activate the signaling cascades within inflammatory and metabolic contexts. Among related proteins it connects with other receptors such as GPR120 which is also involved in fatty acid signaling and inflammatory responses.

GPR84 has been implicated in the progression of inflammatory bowel disease (IBD) and multiple sclerosis. Its role in mediating inflammation ties it to other inflammatory proteins such as TNF-α a critical cytokine in these diseases. By influencing inflammatory responses GPR84 becomes a potential target for therapeutic interventions aimed at managing such immune-related disorders.

Product protocols

For this product, it's our understanding that no specific protocols are required. You can visit:

Target data

G protein-coupled receptor that responds endogenously to dietary fatty acids or nutrient, specifically medium-chain free fatty acid (FFA) with carbon chain lengths of C9 to C14. Capric acid (C10 : 0), undecanoic acid (C11 : 0) and lauric acid (C12 : 0) are the most potent agonists (PubMed : 16966319). In immune cells, functions as a pro-inflammatory receptor via 6-OAU and promotes the expression of pro-inflammatory mediators such as TNFalpha, IL-6 and IL-12B as well as stimulating chemotactic responses through activation of signaling mediators AKT, ERK and NF-kappa-B (By similarity). In addition, triggers increased bacterial adhesion and phagocytosis in macrophages and regulates pro-inflammatory function via enhancing NLRP3 inflammasome activation (By similarity). Plays also an important role in inflammation by modulating neutrophil functions (By similarity). Mechanistically, promotes neutrophil chemotaxis, reactive oxygen species (ROS) production and degranulation via LYN-AKT/ERK pathway (By similarity). To regulate ROS, communicates with the two formyl peptide receptors FPR2 and FPR1 to control the NADPH oxidase activity in neutrophils (PubMed : 33789297).
See full target information GPR84

Publications (1)

Recent publications for all applications. Explore the full list and refine your search

Journal of Cancer 15:3284-3296 PubMed38817876

2024

Identification of crucial genes through WGCNA in the progression of gastric cancer.

Applications

Unspecified application

Species

Unspecified reactive species

Rui Liu,Jie Liu,Qiang Cao,Yanpeng Chu,Hao Chi,Jun Zhang,Jiangping Fu,Tianchi Zhang,Linguang Fan,Chaozhong Liang,Xiufang Luo,Xiaoli Yang,Bo Li
View all publications

Product promise

We are committed to supporting your work with high-quality reagents, and we're here for you every step of the way. In the unlikely event that one of our products does not perform as expected, you're protected by our Product Promise.
For full details, please see our Terms & Conditions

Please note: All products are 'FOR RESEARCH USE ONLY. NOT FOR USE IN DIAGNOSTIC OR THERAPEUTIC PROCEDURES'.

For licensing inquiries, please contact partnerships@abcam.com