JavaScript is disabled in your browser. Please enable JavaScript to view this website.
AB64905

Anti-GPR88 antibody

Be the first to review this product! Submit a review

|

(1 Publication)

Rabbit Polyclonal GPR88 antibody. Suitable for IHC-P and reacts with Human samples. Cited in 1 publication.

View Alternative Names

STRG, GPR88, G protein-coupled receptor 88, Striatum-specific G-protein coupled receptor

1 Images
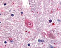
Immunohistochemistry (Formalin/PFA-fixed paraffin-embedded sections) - Anti-GPR88 antibody (AB64905)
  • IHC-P

Unknown

Immunohistochemistry (Formalin/PFA-fixed paraffin-embedded sections) - Anti-GPR88 antibody (AB64905)

Immunohistochemical analysis of formalin-fixed paraffin-embedded human brain caudate tisse using ab64905 at a dilution of 5 µg/ml.

Key facts

Host species

Rabbit

Clonality

Polyclonal

Isotype

IgG

Carrier free

No

Reacts with

Human

Applications

IHC-P

applications

Immunogen

The exact immunogen used to generate this antibody is proprietary information.

Reactivity data

{ "title": "Reactivity Data", "filters": { "stats": ["", "Species", "Dilution Info", "Notes"], "tabs": { "all-applications": {"fullname" : "All Applications", "shortname": "All Applications"}, "IHCP" : {"fullname" : "Immunohistochemistry (Formalin/PFA-fixed paraffin-embedded sections)", "shortname":"IHC-P"} }, "product-promise": { "all": "all", "testedAndGuaranteed": "tested", "guaranteed": "expected", "predicted": "predicted", "notRecommended": "not-recommended" } }, "values": { "Human": { "IHCP-species-checked": "testedAndGuaranteed", "IHCP-species-dilution-info": "5 µg/mL", "IHCP-species-notes": "<p></p>" }, "Mouse": { "IHCP-species-checked": "predicted", "IHCP-species-dilution-info": "", "IHCP-species-notes": "" }, "Rat": { "IHCP-species-checked": "predicted", "IHCP-species-dilution-info": "", "IHCP-species-notes": "" } } }

Properties and storage information

Form
Liquid
Purification technique
Affinity purification Immunogen
Storage buffer
pH: 7.4 Preservative: 0.1% Sodium azide Constituents: PBS
Shipped at conditions
Blue Ice
Appropriate short-term storage duration
1-2 weeks
Appropriate short-term storage conditions
+4°C
Appropriate long-term storage conditions
-20°C
Aliquoting information
Upon delivery aliquot
Storage information
Avoid freeze / thaw cycle

Supplementary information

This supplementary information is collated from multiple sources and compiled automatically.

GPR88 also known as Striatum-Expressed Orphan G-Protein-Coupled Receptor is a receptor protein weighing approximately 41 kDa. It is encoded by the GPR88 gene and is part of the G-protein-coupled receptor (GPCR) family. This receptor is mostly found in the striatum an important brain region involved in motor control and cognitive functions. GPR88 influences intracellular processes by interacting with cells' G proteins activating signaling pathways inside the cell.
Biological function summary

GPR88 plays a role in regulating neurotransmitter activity in the brain. It is not known to be part of any larger complex but affects various neurotransmitter systems including dopamine and gamma-aminobutyric acid (GABA) which are critical for maintaining balance in neuronal signaling. By doing so GPR88 helps modulate mood movement and reward pathways contributing to behavior regulation.

Pathways

GPR88 has involvement in dopaminergic and glutamatergic signaling pathways. It interacts with proteins linked to these pathways such as dopamine receptors D1R and D2R. Through these pathways GPR88 influences synaptic plasticity and neuron excitability. Therefore its function ties into key neurobiological systems that affect overall brain activity and function.

Research suggests a connection between GPR88 dysfunction and neuropsychiatric conditions such as schizophrenia and bipolar disorder. Aberrant signaling through pathways where GPR88 participates can affect dopamine levels which are often disrupted in these conditions. Moreover its interaction with other proteins such as D1R involves the pathophysiology of these disorders. Understanding GPR88's role further could lead to new therapeutic strategies for handling these complex diseases.

Product protocols

For this product, it's our understanding that no specific protocols are required. You can visit:

Target data

Orphan G protein-coupled receptor implicated in a large repertoire of behavioral responses that engage motor activities, spatial learning, and emotional processing (By similarity). May play a role in the regulation of cognitive and motor function (By similarity). Couples with the heterotrimeric G protein complex of the G(i) subfamily, consisting of GNAI1, GNB1 and GNG2, thereby acting through a G(i)-mediated pathway (PubMed : 35501348). Plays a role in the attenuation of D1 dopamine receptor (D1R)-mediated cAMP response in ciliated cells (PubMed : 23936473). In non-ciliated cells, involved in the inhibition of the beta-2 adrenergic receptor (B2AR) response (PubMed : 23936473).
See full target information GPR88

Publications (1)

Recent publications for all applications. Explore the full list and refine your search

Biology of reproduction 99:349-359 PubMed29425272

2018

Endometriosis alters brain electrophysiology, gene expression and increases pain sensitization, anxiety, and depression in female mice.

Applications

Unspecified application

Species

Unspecified reactive species

Tian Li,Ramanaiah Mamillapalli,Sheng Ding,Hao Chang,Zhong-Wu Liu,Xiao-Bing Gao,Hugh S Taylor
View all publications

Product promise

We are committed to supporting your work with high-quality reagents, and we're here for you every step of the way. In the unlikely event that one of our products does not perform as expected, you're protected by our Product Promise.
For full details, please see our Terms & Conditions

Please note: All products are 'FOR RESEARCH USE ONLY. NOT FOR USE IN DIAGNOSTIC OR THERAPEUTIC PROCEDURES'.

For licensing inquiries, please contact partnerships@abcam.com