JavaScript is disabled in your browser. Please enable JavaScript to view this website.
AB153986

Anti-GPS2 antibody

Be the first to review this product! Submit a review

|

(3 Publications)

Rabbit Polyclonal GPS2 antibody. Suitable for ICC/IF, WB, IHC-P and reacts with Human samples. Cited in 3 publications. Immunogen corresponding to Recombinant Fragment Protein within Human G protein pathway suppressor 2 aa 1-300.

View Alternative Names

G protein pathway suppressor 2, GPS-2, GPS2

3 Images
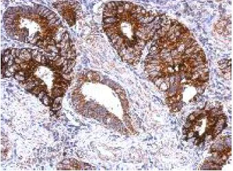
Immunohistochemistry (Formalin/PFA-fixed paraffin-embedded sections) - Anti-GPS2 antibody (AB153986)
  • IHC-P

Unknown

Immunohistochemistry (Formalin/PFA-fixed paraffin-embedded sections) - Anti-GPS2 antibody (AB153986)

Immunohistochemical analysis of paraffin embedded Gastric Carcinoma labeling GPS2 using ab153986 at 1/500 dilution.

Immunocytochemistry/ Immunofluorescence - Anti-GPS2 antibody (AB153986)
  • ICC/IF

Supplier Data

Immunocytochemistry/ Immunofluorescence - Anti-GPS2 antibody (AB153986)

Immunofluorescence analysis of HeLa cells fixed in 4% paraformaldehyde at RT for 15 min labelling GPS2 protein at cytoplasm and nucleus using ab153986 at a 1/500 dilution (Green).
phalloidin, a cytoskeleton marker, was stained at a 1/200 dilution (Red).

Western blot - Anti-GPS2 antibody (AB153986)
  • WB

Unknown

Western blot - Anti-GPS2 antibody (AB153986)

10% SDS PAGE

All lanes:

Western blot - Anti-GPS2 antibody (ab153986) at 1/500 dilution

Lane 1:

A431 cell lysate at 30 µg

Lane 2:

HeLa cell lysate at 30 µg

Predicted band size: 37 kDa

false

Key facts

Host species

Rabbit

Clonality

Polyclonal

Isotype

IgG

Carrier free

No

Reacts with

Human

Applications

WB, IHC-P, ICC/IF

applications

Immunogen

Recombinant Fragment Protein within Human G protein pathway suppressor 2 aa 1-300. The exact immunogen used to generate this antibody is proprietary information.

Q13227

Reactivity data

{ "title": "Reactivity Data", "filters": { "stats": ["", "Species", "Dilution Info", "Notes"], "tabs": { "all-applications": {"fullname" : "All Applications", "shortname": "All Applications"}, "ICCIF" : {"fullname" : "Immunocytochemistry/ Immunofluorescence", "shortname":"ICC/IF"}, "WB" : {"fullname" : "Western blot", "shortname":"WB"}, "IHCP" : {"fullname" : "Immunohistochemistry (Formalin/PFA-fixed paraffin-embedded sections)", "shortname":"IHC-P"} }, "product-promise": { "all": "all", "testedAndGuaranteed": "tested", "guaranteed": "expected", "predicted": "predicted", "notRecommended": "not-recommended" } }, "values": { "Human": { "ICCIF-species-checked": "testedAndGuaranteed", "ICCIF-species-dilution-info": "1/100 - 1/1000", "ICCIF-species-notes": "<p></p>", "WB-species-checked": "testedAndGuaranteed", "WB-species-dilution-info": "1/500 - 1/3000", "WB-species-notes": "<p></p>", "IHCP-species-checked": "testedAndGuaranteed", "IHCP-species-dilution-info": "1/100 - 1/1000", "IHCP-species-notes": "<p></p>" }, "Mouse": { "ICCIF-species-checked": "predicted", "ICCIF-species-dilution-info": "", "ICCIF-species-notes": "", "WB-species-checked": "predicted", "WB-species-dilution-info": "", "WB-species-notes": "", "IHCP-species-checked": "predicted", "IHCP-species-dilution-info": "", "IHCP-species-notes": "" }, "Rat": { "ICCIF-species-checked": "predicted", "ICCIF-species-dilution-info": "", "ICCIF-species-notes": "", "WB-species-checked": "predicted", "WB-species-dilution-info": "", "WB-species-notes": "", "IHCP-species-checked": "predicted", "IHCP-species-dilution-info": "", "IHCP-species-notes": "" }, "Cow": { "ICCIF-species-checked": "predicted", "ICCIF-species-dilution-info": "", "ICCIF-species-notes": "", "WB-species-checked": "predicted", "WB-species-dilution-info": "", "WB-species-notes": "", "IHCP-species-checked": "predicted", "IHCP-species-dilution-info": "", "IHCP-species-notes": "" } } }

Properties and storage information

Form
Liquid
Purification technique
Affinity purification Immunogen
Storage buffer
pH: 7 Preservative: 0.01% Thimerosal (merthiolate) Constituents: PBS, 20% Glycerol (glycerin, glycerine), 1% BSA
Shipped at conditions
Blue Ice
Appropriate short-term storage conditions
+4°C
Appropriate long-term storage conditions
-20°C
Aliquoting information
Upon delivery aliquot
Storage information
Avoid freeze / thaw cycle

Supplementary information

This supplementary information is collated from multiple sources and compiled automatically.

GPS2 also known as G protein pathway suppressor 2 carries out significant functions at the molecular level. This protein has a mass of approximately 37 kDa and is expressed in various tissues including the liver heart and muscles. GPS2 acts in cellular environments by interacting with other proteins to regulate signaling and gene expression. It impacts cellular communication by linking receptors to downstream effectors. Several forms of this protein exist which are involved in different cellular processes demonstrating its versatility.
Biological function summary

GPS2 serves key roles in regulating transcriptional activity. It forms part of the corepressor complex which is essential in modifying chromatin structure to control gene expression. By restricting activation of certain genes GPS2 helps maintain cellular homeostasis and prevent excessive cellular responses. Through its actions GPS2 ensures that cells respond appropriately to external stimuli and can adapt to changing conditions.

Pathways

GPS2 integrates into the MAPK and NF-kB signaling pathways. It interacts with other proteins like HDAC3 and NCoR which assist in regulating gene transcription linked to these pathways. This relationship helps modulate responses to stress and inflammatory signals providing balance in cell growth and death processes. GPS2's participation in these pathways indicates its importance in signal transduction and cellular defense mechanisms.

GPS2 plays a part in metabolic syndrome and certain cancers. Disruptions in GPS2 function can lead to improper lipid metabolism and insulin resistance contributing to the metabolic syndrome. In the context of cancer GPS2's interactions with proteins like NCoR can influence tumor progression by altering the expression of genes involved in cell proliferation. Understanding GPS2's connection in these conditions provides insights into potential therapeutic targets for related diseases.

Product protocols

For this product, it's our understanding that no specific protocols are required. You can visit:

Target data

Key regulator of inflammation, lipid metabolism and mitochondrion homeostasis that acts by inhibiting the activity of the ubiquitin-conjugating enzyme UBE2N/Ubc13, thereby inhibiting 'Lys-63'-linked ubiquitination (By similarity). In the nucleus, can both acts as a corepressor and coactivator of transcription, depending on the context (PubMed : 24943844). Acts as a transcription coactivator in adipocytes by promoting the recruitment of PPARG to promoters : acts by inhibiting the activity of the ubiquitin-conjugating enzyme UBE2N/Ubc13, leading to stabilization of KDM4A and subsequent histone H3 'Lys-9' (H3K9) demethylation (By similarity). Promotes cholesterol efflux by acting as a transcription coactivator (PubMed : 19481530). Acts as a regulator of B-cell development by inhibiting UBE2N/Ubc13, thereby restricting the activation of Toll-like receptors (TLRs) and B-cell antigen receptors (BCRs) signaling pathways (By similarity). Acts as a key mediator of mitochondrial stress response : in response to mitochondrial depolarization, relocates from the mitochondria to the nucleus following desumoylation and specifically promotes expression of nuclear-encoded mitochondrial genes (PubMed : 29499132). Promotes transcription of nuclear-encoded mitochondrial genes by inhibiting UBE2N/Ubc13 (PubMed : 29499132). Can also act as a corepressor as part of the N-Cor repressor complex by repressing active PPARG (PubMed : 19858209, PubMed : 24943844). Plays an anti-inflammatory role in macrophages and is required for insulin sensitivity by acting as a corepressor (By similarity). Plays an anti-inflammatory role during the hepatic acute phase response by interacting with sumoylated NR1H2 and NR5A2 proteins, thereby preventing N-Cor corepressor complex dissociation (PubMed : 20159957). In the cytosol, also plays a non-transcriptional role by regulating insulin signaling and pro-inflammatory pathways (By similarity). In the cytoplasm, acts as a negative regulator of inflammation by inhibiting the pro-inflammatory TNF pathway; acts by repressing UBE2N/Ubc13 activity (By similarity). In the cytoplasm of adipocytes, restricts the activation of insulin signaling via inhibition of UBE2N/Ubc13-mediated ubiquitination of AKT (By similarity). Able to suppress G-protein- and mitogen-activated protein kinase-mediated signal transduction (PubMed : 8943324). Acts as a tumor-suppressor in liposarcoma (PubMed : 27460081).. (Microbial infection) Required for efficient replication of hepatitis C virus (HCV) by promoting the interaction between VAPA and HCV virus protein NS5A.
See full target information G protein pathway suppressor 2

Publications (3)

Recent publications for all applications. Explore the full list and refine your search

Journal of cancer research and clinical oncology 149:3349-3360 PubMed35941228

2022

Genome-wide CRISPR knockout screening identified G protein pathway suppressor 2 as a novel tumor suppressor for uveal melanoma metastasis.

Applications

Unspecified application

Species

Unspecified reactive species

Shuangshuang Shi,Haojie Chen,Hanqing Wang,JianFeng Wan,Yi Shi,Jia Li,Shuo Wang,Jie Shi,Jianying Lv,Tong Wu,Longlong Wang,Fengyuan Sun

Reproductive biology and endocrinology : RB&E 19:167 PubMed34740363

2021

Circ_0043532 regulates miR-182/SGK3 axis to promote granulosa cell progression in polycystic ovary syndrome.

Applications

Unspecified application

Species

Unspecified reactive species

Lishuang Xu,Fang Xiong,Yinyang Bai,Juxia Xiao,Yun Zhang,Jie Chen,Qiuping Li

Cancer cell 37:834-849.e13 PubMed32442403

2020

SETD5-Coordinated Chromatin Reprogramming Regulates Adaptive Resistance to Targeted Pancreatic Cancer Therapy.

Applications

Unspecified application

Species

Unspecified reactive species

Zhentian Wang,Simone Hausmann,Ruitu Lyu,Tie-Mei Li,Shane M Lofgren,Natasha M Flores,Mary E Fuentes,Marcello Caporicci,Ze Yang,Matthew Joseph Meiners,Marcus Adrian Cheek,Sarah Ann Howard,Lichao Zhang,Joshua Eric Elias,Michael P Kim,Anirban Maitra,Huamin Wang,Michael Cory Bassik,Michael-Christopher Keogh,Julien Sage,Or Gozani,Pawel K Mazur
View all publications

Product promise

We are committed to supporting your work with high-quality reagents, and we're here for you every step of the way. In the unlikely event that one of our products does not perform as expected, you're protected by our Product Promise.
For full details, please see our Terms & Conditions

Please note: All products are 'FOR RESEARCH USE ONLY. NOT FOR USE IN DIAGNOSTIC OR THERAPEUTIC PROCEDURES'.

For licensing inquiries, please contact partnerships@abcam.com