JavaScript is disabled in your browser. Please enable JavaScript to view this website.
AB324833

Anti-GPT2 antibody [EPR29176-18] - BSA and Azide free

  • Advanced Validation
  • RabMAb
  • Recombinant
  • BOND RX™ Validated
  • What is this?

Be the first to review this product! Submit a review

|

(0 Publication)

Rabbit Recombinant Monoclonal GPT2 antibody. Carrier free. Suitable for Dot, ICC/IF, IHC-P, mIHC, WB and reacts with Recombinant fragment - Human, Human, Mouse samples.

View Alternative Names

AAT2, ALT2, GPT2, Alanine aminotransferase 2, Glutamate pyruvate transaminase 2, Glutamic--alanine transaminase 2, Glutamic--pyruvic transaminase 2, GPT 2

12 Images
Immunohistochemistry (Formalin/PFA-fixed paraffin-embedded sections) - Anti-GPT2 antibody [EPR29176-18] - BSA and Azide free (AB324833)
  • IHC-P

Supplier Data

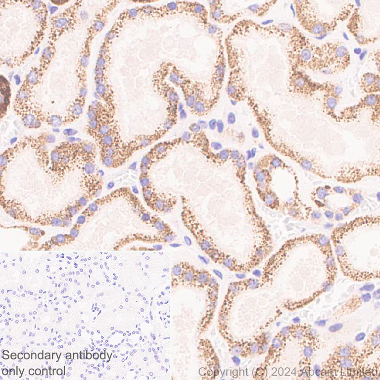
Immunohistochemistry (Formalin/PFA-fixed paraffin-embedded sections) - Anti-GPT2 antibody [EPR29176-18] - BSA and Azide free (AB324833)

This data was developed using ab322261, the same antibody clone in a different buffer formulation.

Immunohistochemical analysis of paraffin-embedded Human kidney tissue labeling GPT2 with ab322261 at 1/2000 (0.261 ug/ml) dilution, followed by a ready to use LeicaDS9800 (Bond™ Polymer Refine Detection).

Positive staining on human kidney.
The section was incubated with ab322261 for 30 mins at room temperature.
The immunostaining was performed on a Leica Biosystems BOND® RX instrument

Counterstained with Hematoxylin.

Secondary antibody only control : Secondary antibody is a ready to use LeicaDS9800 (Bond™ Polymer Refine Detection).

Heat mediated antigen retrieval was performed with Tris-EDTA buffer (pH 9.0, Epitope Retrieval Solution2) for 20 mins

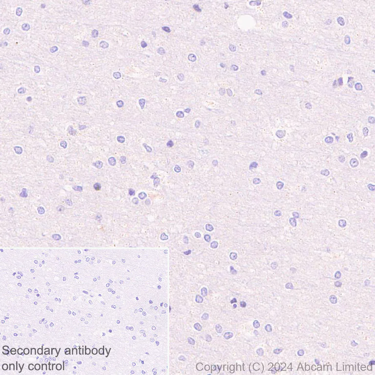
Immunohistochemistry (Formalin/PFA-fixed paraffin-embedded sections) - Anti-GPT2 antibody [EPR29176-18] - BSA and Azide free (AB324833)
  • IHC-P

Supplier Data

Immunohistochemistry (Formalin/PFA-fixed paraffin-embedded sections) - Anti-GPT2 antibody [EPR29176-18] - BSA and Azide free (AB324833)

This data was developed using ab322261, the same antibody clone in a different buffer formulation.

Immunohistochemical analysis of paraffin-embedded Human cerebrum tissue labeling GPT2 with ab322261 at 1/2000 (0.261 ug/ml) dilution, followed by a ready to use LeicaDS9800 (Bond™ Polymer Refine Detection).

Low expression : No staining on human cerebrum (PMID : 17826732).
The section was incubated with ab322261 for 30 mins at room temperature.
The immunostaining was performed on a Leica Biosystems BOND® RX instrument.

Counterstained with Hematoxylin.

Secondary antibody only control : Secondary antibody is a ready to use LeicaDS9800 (Bond™ Polymer Refine Detection).

Heat mediated antigen retrieval was performed with Citrate buffer (pH 6.0, Epitope Retrieval Solution 1) for 20 mins

Multiplex immunohistochemistry - Anti-GPT2 antibody [EPR29176-18] - BSA and Azide free (AB324833)
  • mIHC

Lab

Multiplex immunohistochemistry - Anti-GPT2 antibody [EPR29176-18] - BSA and Azide free (AB324833)

This data was developed using ab322261, the same antibody clone in a different buffer formulation.

Multiplex immunohistochemistry analysis of formalin/PFA-fixed paraffin-embedded Human cardiac muscle staining of GPT2 with ab322261 at a 1/2000 (0.261 µg/ml) dilution and COX IV with ab202554 at 1/500 (0.228 µg/ml) dilution followed by a ready to use secondary antibody Opal Polymer HRP Ms + Rb.

Panel A : merged staining of anti-GPT2 (green; Opal™570) and anti-COX IV (magenta; Opal™520) on human cardiac muscle.
Panel B : anti-GPT2 showed granular staining in human cardiac muscle.
Panel C : ant-COX IV showed granular staining in human cardiac muscle.
Panel D : Nuclear DNA was labeled with DAPI (shown in blue).

The section was incubated in three rounds of staining : in the order of ab322261 and ab202554 for 30 mins at room temperature. Each round was followed by a separate fluorescent tyramide signal amplification system.

Heat mediated antigen retrieval with Tris-EDTA buffer (pH 9.0, epitope retrieval solution2) for 20 mins

Multiplex immunohistochemistry - Anti-GPT2 antibody [EPR29176-18] - BSA and Azide free (AB324833)
  • mIHC

Lab

Multiplex immunohistochemistry - Anti-GPT2 antibody [EPR29176-18] - BSA and Azide free (AB324833)

This data was developed using ab322261, the same antibody clone in a different buffer formulation.

Multiplex immunohistochemistry analysis of formalin/PFA-fixed paraffin-embedded Human kidney staining of GPT2 with ab322261 at a 1/2000 (0.261 µg/ml) dilution and COX IV with ab202554 at 1/500 (0.228 µg/ml) dilution followed by a ready to use secondary antibody Opal Polymer HRP Ms + Rb.

Panel A : merged staining of anti-GPT2 (green; Opal™570) and anti-COX IV (magenta; Opal™520) on human kidney.
Panel B : anti-GPT2 showed granular staining in human kidney.
Panel C : ant-COX IV showed granular staining in human kidney.
Panel D : Nuclear DNA was labeled with DAPI (shown in blue).

The section was incubated in three rounds of staining : in the order of ab322261 and ab202554 for 30 mins at room temperature. Each round was followed by a separate fluorescent tyramide signal amplification system.

Heat mediated antigen retrieval with Tris-EDTA buffer (pH 9.0, epitope retrieval solution2) for 20 mins

Immunocytochemistry/ Immunofluorescence - Anti-GPT2 antibody [EPR29176-18] - BSA and Azide free (AB324833)
  • ICC/IF

Supplier Data

Immunocytochemistry/ Immunofluorescence - Anti-GPT2 antibody [EPR29176-18] - BSA and Azide free (AB324833)

This data was developed using ab322261, the same antibody clone in a different buffer formulation.

Immunofluorescent analysis of 100% methanol-fixed, 0.1% TritonX-100 permeabilized HepG2 (human hepatocellular carcinoma epithelial cell) cells labelling GPT2 with ab322261 at 1/500 (1.044 ug/ml) dilution, followed by ab150081 Goat Anti-Rabbit IgG H&L (Alexa Fluor® 488) preadsorbed antibody at 1/1000 2 ug/ml dilution (Green).

Confocal image showing mitochondrial staining in HepG2 cells (shown in green). The counterstain was observed in magenta. Nuclear DNA was labelled with DAPI (shown in blue). Image was taken with a confocal microscope (Leica-Microsystems, TCS SP8).

anti-COX IV mouse monoclonal antibody - Mitochondrial Marker was used to counterstain tubulin at 1/500 dilution (Magenta). The Nuclear counterstain was DAPI (Blue).

-ve control 1 : ab322261 at 1/500 dilution, followed by ab150081 Goat Anti-Rabbit IgG H&L (Alexa Fluor® 488) antibody preadsorbed at 1/1000 2 ug/ml dilution -ve control 2 : anti-COX IV mouse monoclonal antibody - Mitochondrial Marker was used to counterstain tubulin at 1/500 5 ug/ml dilution , followed by ab150120 Goat Anti-Mouse IgG H&L (Alexa Fluor® 594) antibody at 1/1000 dilution.

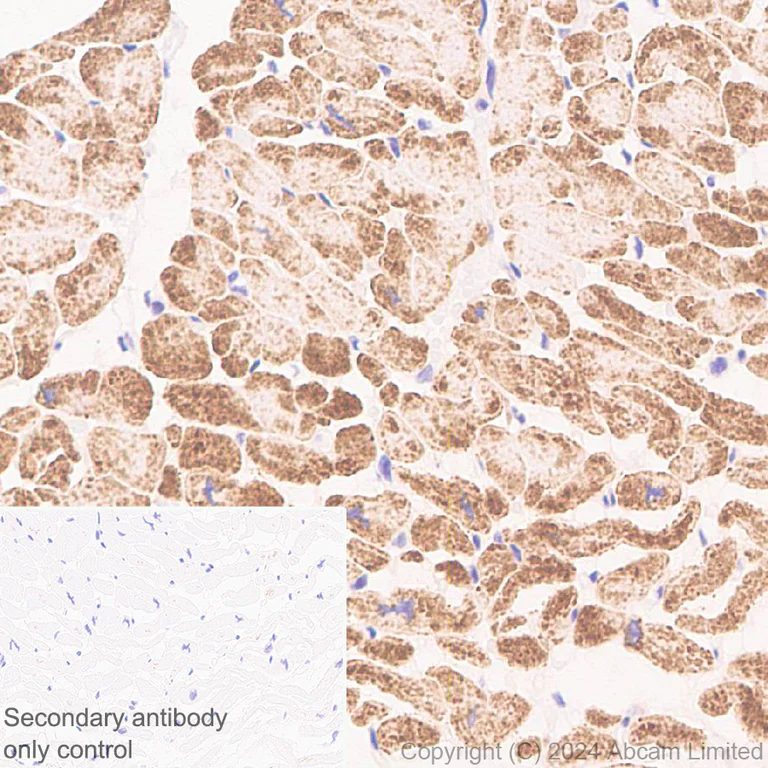
Immunohistochemistry (Formalin/PFA-fixed paraffin-embedded sections) - Anti-GPT2 antibody [EPR29176-18] - BSA and Azide free (AB324833)
  • IHC-P

Supplier Data

Immunohistochemistry (Formalin/PFA-fixed paraffin-embedded sections) - Anti-GPT2 antibody [EPR29176-18] - BSA and Azide free (AB324833)

This data was developed using ab322261, the same antibody clone in a different buffer formulation.

Immunohistochemical analysis of paraffin-embedded Human cardiac muscle tissue labeling GPT2 with ab322261 at 1/2000 (0.261 ug/ml) dilution, followed by a ready to use LeicaDS9800 (Bond™ Polymer Refine Detection).

Positive staining on human cardiac muscle (PMID : 17826732, PMID : 19360321).
The section was incubated with ab322261 for 30 mins at room temperature.
The immunostaining was performed on a Leica Biosystems BOND® RX instrument

Counterstained with Hematoxylin.

Secondary antibody only control : Secondary antibody is a ready to use LeicaDS9800 (Bond™ Polymer Refine Detection).

Heat mediated antigen retrieval was performed with Tris-EDTA buffer (pH 9.0, Epitope Retrieval Solution2) for 20 mins

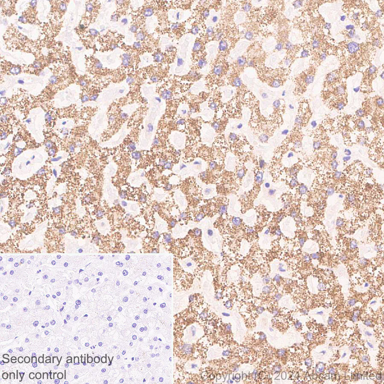
Immunohistochemistry (Formalin/PFA-fixed paraffin-embedded sections) - Anti-GPT2 antibody [EPR29176-18] - BSA and Azide free (AB324833)
  • IHC-P

Supplier Data

Immunohistochemistry (Formalin/PFA-fixed paraffin-embedded sections) - Anti-GPT2 antibody [EPR29176-18] - BSA and Azide free (AB324833)

This data was developed using ab322261, the same antibody clone in a different buffer formulation.

Immunohistochemical analysis of paraffin-embedded Human liver tissue labeling GPT2 with ab322261 at 1/2000 (0.261 ug/ml) dilution, followed by a ready to use LeicaDS9800 (Bond™ Polymer Refine Detection).

Positive staining on human liver.
The section was incubated with ab322261 for 30 mins at room temperature.
The immunostaining was performed on a Leica Biosystems BOND® RX instrument

Counterstained with Hematoxylin.

Secondary antibody only control : Secondary antibody is a ready to use LeicaDS9800 (Bond™ Polymer Refine Detection).

Heat mediated antigen retrieval was performed with Tris-EDTA buffer (pH 9.0, Epitope Retrieval Solution2) for 20 mins

Immunocytochemistry/ Immunofluorescence - Anti-GPT2 antibody [EPR29176-18] - BSA and Azide free (AB324833)
  • ICC/IF

Supplier Data

Immunocytochemistry/ Immunofluorescence - Anti-GPT2 antibody [EPR29176-18] - BSA and Azide free (AB324833)

This data was developed using ab322261, the same antibody clone in a different buffer formulation.

Immunofluorescent analysis of 100% methanol-fixed, 0.1% TritonX-100 permeabilized C2C12 (mouse myoblast) cells labelling GPT2 with ab322261 at 1/500 (1.044 ug/ml) dilution, followed by ab150081 Goat Anti-Rabbit IgG H&L (Alexa Fluor® 488) preadsorbed antibody at 1/1000 2 ug/ml dilution (Green).

Confocal image showing mitochondrial staining in C2C12 cells (shown in green). The counterstain was observed in magenta. Nuclear DNA was labelled with DAPI (shown in blue). Image was taken with a confocal microscope (Leica-Microsystems, TCS SP8).

anti-COX IV mouse monoclonal antibody - Mitochondrial Marker was used to counterstain tubulin at 1/500 dilution (Magenta). The Nuclear counterstain was DAPI (Blue).

-ve control 1 : ab322261 at 1/500 dilution, followed by ab150081 Goat Anti-Rabbit IgG H&L (Alexa Fluor® 488) antibody preadsorbed at 1/1000 2 ug/ml dilution -ve control 2 : anti-COX IV mouse monoclonal antibody - Mitochondrial Marker was used to counterstain tubulin at 1/500 5 ug/ml dilution , followed by ab150120 Goat Anti-Mouse IgG H&L (Alexa Fluor® 594) antibody at 1/1000 dilution.

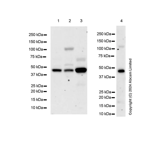
Western blot - Anti-GPT2 antibody [EPR29176-18] - BSA and Azide free (AB324833)
  • WB

Supplier Data

Western blot - Anti-GPT2 antibody [EPR29176-18] - BSA and Azide free (AB324833)

This data was developed using ab322261, the same antibody clone in a different buffer formulation.

Blocking and diluting buffer and concentration : 5% NFDM/TBST.

In lane 3, this blot was developed using a high-sensitivity ECL substrate, allowing for the detection of proteins in the mid-femtogram range.

In Western blot, Anti-GAPDH antibody [EPR16891] - Loading Control (ab181602) staining at 1/200000 dilution.

Exposure time : Lanes 1-2 : 37 seconds, Lane 3 : 114 seconds

All lanes:

Western blot - Anti-GPT2 antibody [EPR29176-18] (<a href='/en-us/products/primary-antibodies/gpt2-antibody-epr29176-18-ab322261'>ab322261</a>) at 1/1000 dilution

Lane 1:

HepG2 (human hepatocelullar carcinoma epithelial cell) transfected with scrambled siRNA control whole cell lysate at 20 µg

Lane 2:

HepG2 transfected with siRNA specifically targeting GPT2 whole cell lysate at 20 µg

Lane 3:

HT-29 (human colorectal adenocarcinoma epithelial cell) whole cell lysate at 20 µg

Secondary

All lanes:

Western blot - Goat Anti-Rabbit IgG H&L (HRP) (<a href='/en-us/products/secondary-antibodies/goat-rabbit-igg-h-l-hrp-ab97051'>ab97051</a>) at 1/100000 dilution

Observed band size: 58 kDa,36 kDa

false

Western blot - Anti-GPT2 antibody [EPR29176-18] - BSA and Azide free (AB324833)
  • WB

Supplier Data

Western blot - Anti-GPT2 antibody [EPR29176-18] - BSA and Azide free (AB324833)

This data was developed using ab322261, the same antibody clone in a different buffer formulation.

Blocking and diluting buffer and concentration : 5% NFDM/TBST.

The identity of the higher MW bands in lanes 2-4 are unknown.

All lanes:

Western blot - Anti-GPT2 antibody [EPR29176-18] (<a href='/en-us/products/primary-antibodies/gpt2-antibody-epr29176-18-ab322261'>ab322261</a>) at 1/1000 dilution

Lane 1:

Mouse kidney tissue lysate at 20 µg

Lane 2:

Mouse skeletal muscle tissue lysate at 20 µg

Lane 3:

Mouse heart tissue lysate at 20 µg

Lane 4:

Human heart tissue lysate at 20 µg

Secondary

All lanes:

Goat Anti-Rabbit IgG (HRP) with minimal cross-reactivity with human IgG at 1/2000 dilution

Observed band size: 46 kDa

false

Exposure time: 136s

Western blot - Anti-GPT2 antibody [EPR29176-18] - BSA and Azide free (AB324833)
  • WB

Supplier Data

Western blot - Anti-GPT2 antibody [EPR29176-18] - BSA and Azide free (AB324833)

This data was developed using ab322261, the same antibody clone in a different buffer formulation.

Blocking and diluting buffer and concentration : 5% NFDM/TBST.

In Western blot, Anti-GAPDH antibody [EPR16891] - Loading Control (ab181602) staining at 1/200000 dilution.

Exposure time : Lanes 1-2 : 8 seconds, Lanes 3-4 : 10 seconds

All lanes:

Western blot - Anti-GPT2 antibody [EPR29176-18] (<a href='/en-us/products/primary-antibodies/gpt2-antibody-epr29176-18-ab322261'>ab322261</a>) at 1/1000 dilution

Lane 1:

HEK-293 (human embryonic kidney epithelial cell) transfected with scrambled siRNA control whole cell lysate at 20 µg

Lane 2:

HEK-293 transfected with siRNA specifically targeting GPT2 whole cell lysate at 20 µg

Lane 3:

Mouse liver tissue lysate at 20 µg

Lane 4:

C2C12 (mouse myoblast) whole cell lysate at 20 µg

Secondary

All lanes:

Western blot - Goat Anti-Rabbit IgG H&L (HRP) (<a href='/en-us/products/secondary-antibodies/goat-rabbit-igg-h-l-hrp-ab97051'>ab97051</a>) at 1/20000 dilution

Observed band size: 58 kDa,36 kDa

false

Dot Blot - Anti-GPT2 antibody [EPR29176-18] - BSA and Azide free (AB324833)
  • Dot

Supplier Data

Dot Blot - Anti-GPT2 antibody [EPR29176-18] - BSA and Azide free (AB324833)

This data was developed using ab322261, the same antibody clone in a different buffer formulation.

Dot blot analysis of GPT2 using ab322261 at 1 : 1000 (0.522 ug/ml) followed by a Goat Anti-Rabbit IgG, (H+L), Peroxidase conjugated (ab97051) at 1 : 100,000 dilution.

Lane1 : His-tagged human GPT1 fragment
Lane2 : His-tagged human GPT2 fragment

Exposure time : 180 seconds.

Blocking and diluting buffer and concentration : 5% NFDM/TBST.

This antibody does not cross-react with human GPT1.

#In Dot Blot, Anti-6X His tag® antibody [EPR20547] - ChIP Grade (ab213204) staining at 1/5000 dilution.

All lanes:

Dot Blot - Anti-GPT2 antibody [EPR29176-18] (<a href='/en-us/products/primary-antibodies/gpt2-antibody-epr29176-18-ab322261'>ab322261</a>) at 1/1000 dilution

Lane 1:

His-tagged human GPT1 fragment

Lane 2:

His-tagged human GPT2 fragment

Secondary

All lanes:

Dot Blot - Goat Anti-Rabbit IgG H&L (HRP) (<a href='/en-us/products/secondary-antibodies/goat-rabbit-igg-h-l-hrp-ab97051'>ab97051</a>) at 1/100000 dilution

false

Exposure time: 180s

Key facts

Host species

Rabbit

Clonality

Monoclonal

Clone number

EPR29176-18

Isotype

IgG

Carrier free

Yes

Reacts with

Human, Mouse

Applications

Dot, WB, IHC-P, ICC/IF, mIHC

applications

Immunogen

The exact immunogen used to generate this antibody is proprietary information.

Specificity

Not suitable for mouse IHC-P

Reactivity data

{ "title": "Reactivity Data", "filters": { "stats": ["", "Species", "Dilution Info", "Notes"], "tabs": { "all-applications": {"fullname" : "All Applications", "shortname": "All Applications"}, "Dot" : {"fullname" : "Dot Blot", "shortname":"Dot"}, "ICCIF" : {"fullname" : "Immunocytochemistry/ Immunofluorescence", "shortname":"ICC/IF"}, "IHCP" : {"fullname" : "Immunohistochemistry (Formalin/PFA-fixed paraffin-embedded sections)", "shortname":"IHC-P"}, "mIHC" : {"fullname" : "Multiplex immunohistochemistry", "shortname":"mIHC"}, "WB" : {"fullname" : "Western blot", "shortname":"WB"} }, "product-promise": { "all": "all", "testedAndGuaranteed": "tested", "guaranteed": "expected", "predicted": "predicted", "notRecommended": "not-recommended" } }, "values": { "Human": { "Dot-species-checked": "guaranteed", "Dot-species-dilution-info": "", "Dot-species-notes": "", "ICCIF-species-checked": "testedAndGuaranteed", "ICCIF-species-dilution-info": "", "ICCIF-species-notes": "<p></p>", "IHCP-species-checked": "testedAndGuaranteed", "IHCP-species-dilution-info": "", "IHCP-species-notes": "<p></p> Perform heat-mediated antigen retrieval with Tris/EDTA buffer pH 9.0 before commencing with IHC staining protocol.", "mIHC-species-checked": "testedAndGuaranteed", "mIHC-species-dilution-info": "", "mIHC-species-notes": "<p></p>", "WB-species-checked": "testedAndGuaranteed", "WB-species-dilution-info": "", "WB-species-notes": "<p></p>" }, "Mouse": { "Dot-species-checked": "guaranteed", "Dot-species-dilution-info": "", "Dot-species-notes": "", "ICCIF-species-checked": "testedAndGuaranteed", "ICCIF-species-dilution-info": "", "ICCIF-species-notes": "<p></p>", "IHCP-species-checked": "notRecommended", "IHCP-species-dilution-info": "", "IHCP-species-notes": "<p></p>", "mIHC-species-checked": "guaranteed", "mIHC-species-dilution-info": "", "mIHC-species-notes": "", "WB-species-checked": "testedAndGuaranteed", "WB-species-dilution-info": "", "WB-species-notes": "<p></p>" }, "Recombinant fragment - Human": { "Dot-species-checked": "testedAndGuaranteed", "Dot-species-dilution-info": "", "Dot-species-notes": "<p></p>", "ICCIF-species-checked": "notRecommended", "ICCIF-species-dilution-info": "", "ICCIF-species-notes": "", "IHCP-species-checked": "notRecommended", "IHCP-species-dilution-info": "", "IHCP-species-notes": "", "mIHC-species-checked": "notRecommended", "mIHC-species-dilution-info": "", "mIHC-species-notes": "", "WB-species-checked": "notRecommended", "WB-species-dilution-info": "", "WB-species-notes": "" } } }

Product details

ab324833 is the carrier-free version of ab322261.

Patented technology
Our RabMAb® technology is a patented hybridoma-based technology for making rabbit monoclonal antibodies. For details on our patents, please refer to RabMAb® patents.

What are the advantages of a recombinant monoclonal antibody?
This product is a recombinant monoclonal antibody, which offers several advantages including:

  • - High batch-to-batch consistency and reproducibility
  • - Improved sensitivity and specificity
  • - Long-term security of supply
  • - Animal-free batch production

For more information, read more on recombinant antibodies.

Conjugation ready
Our carrier-free antibodies are typically supplied in a PBS-only formulation, purified and free of BSA, sodium azide and glycerol. This conjugation-ready format is designed for use with fluorochromes, metal isotopes, oligonucleotides, and enzymes, which makes them ideal for antibody labelling, functional and cell-based assays, flow-based assays (e.g. mass cytometry) and Multiplex Imaging applications.

Use our conjugation kits for antibody conjugates that are ready-to-use in as little as 20 minutes with 1 minute hands-on-time and 100% antibody recovery: available for fluorescent dyes, HRP, biotin and gold.

Compatibility
This product is compatible with the Maxpar® Antibody Labeling Kit from Fluidigm, without the need for antibody preparation. Maxpar® is a trademark of Fluidigm Canada Inc.

Properties and storage information

Form
Liquid
Purification technique
Affinity purification Protein A
Storage buffer
pH: 7.2 - 7.4 Constituents: PBS
Shipped at conditions
Blue Ice
Appropriate short-term storage conditions
+4°C
Appropriate long-term storage conditions
+4°C

Product protocols

For this product, it's our understanding that no specific protocols are required. You can visit:

Target data

Catalyzes the reversible transamination between alanine and 2-oxoglutarate to form pyruvate and glutamate.
See full target information GPT2

Product promise

We are committed to supporting your work with high-quality reagents, and we're here for you every step of the way. In the unlikely event that one of our products does not perform as expected, you're protected by our Product Promise.
For full details, please see our Terms & Conditions

Please note: All products are 'FOR RESEARCH USE ONLY. NOT FOR USE IN DIAGNOSTIC OR THERAPEUTIC PROCEDURES'.

For licensing inquiries, please contact partnerships@abcam.com