JavaScript is disabled in your browser. Please enable JavaScript to view this website.
AB289964

Anti-GPVI antibody [EPR25283-14]

Be the first to review this product! Submit a review

|

(0 Publication)

Rabbit Recombinant Monoclonal GPVI antibody. Suitable for IP, Flow Cyt, WB, IHC-P, IHC-Fr and reacts with Mouse samples.

View Alternative Names

Platelet glycoprotein VI, GPVI, Glycoprotein 5, Gp6

8 Images
Flow Cytometry - Anti-GPVI antibody [EPR25283-14] (AB289964)
  • Flow Cyt

Lab

Flow Cytometry - Anti-GPVI antibody [EPR25283-14] (AB289964)

Flow cytometric analysis of Mouse blood cells cells labelling GPVI with ab289964 at 1/500 dilution (0.1μg)(Right) compared with a Rabbit monoclonal IgG (ab172730) isotype control (Left). Goat Anti-Rabbit IgG (Alexa Fluor® 488, ab150081) was used as secondary antibody at 1/2000 dilution. Cells were stained with rabbit IgG or ab289964. Then stained with anti-CD41 conjμgated to APC. Gated on viable cells.

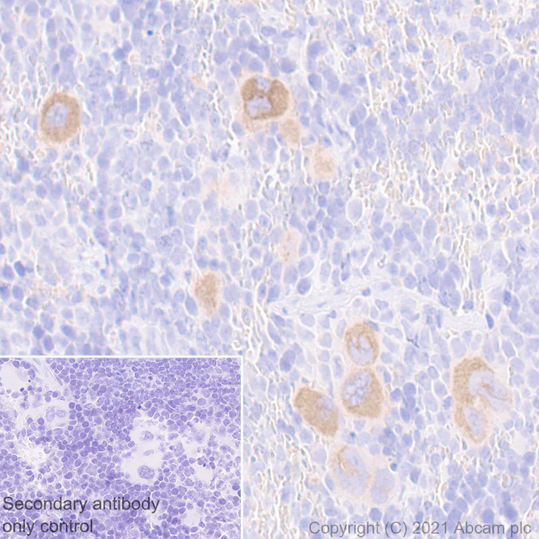
Immunohistochemistry (Formalin/PFA-fixed paraffin-embedded sections) - Anti-GPVI antibody [EPR25283-14] (AB289964)
  • IHC-P

Lab

Immunohistochemistry (Formalin/PFA-fixed paraffin-embedded sections) - Anti-GPVI antibody [EPR25283-14] (AB289964)

Immunohistochemical analysis of paraffin-embedded Mouse spleen tissue labelling GPVI with ab289964 at 1/500 dilution followed by a ready to use Goat Anti-Rabbit IgG H&L (HRP polymer). Cytoplasmic staining on megakaryocytes and platelets of mouse spleen. The section was incubated with ab289964 at 4°C overnight. Counterstained with Hematoxylin.

Secondary antibody only control : Secondary antibody is a ready to use Goat Anti-Rabbit IgG H&L (HRP polymer).

Heat mediated antigen retrieval using ab93678 (citrate buffer, pH 6.0).

Immunohistochemistry (Frozen sections) - Anti-GPVI antibody [EPR25283-14] (AB289964)
  • IHC-Fr

Lab

Immunohistochemistry (Frozen sections) - Anti-GPVI antibody [EPR25283-14] (AB289964)

Immunohistochemical analysis of 4% PFA-fixed, 0.2% Triton X-100 permeabilized frozen Mouse spleen (fresh) tissue labeling GPVI with ab289964 at 1/100 dilution followed by ab150081 Goat Anti-Rabbit IgG H&L (Alexa Fluor® 488) preadsorbed at 1/1000 dilution (Green). Positive staining in megakaryocytes of mouse spleen is observed. The nuclear counterstain was DAPI (Blue).

Secondary antibody control : Secondary antibody is ab150081 Goat Anti-Rabbit IgG H&L (Alexa Fluo 488) preadsorbed at 1/1000 dilution.

Immunoprecipitation - Anti-GPVI antibody [EPR25283-14] (AB289964)
  • IP

Lab

Immunoprecipitation - Anti-GPVI antibody [EPR25283-14] (AB289964)

GPVI was immunoprecipitated from Mouse platelet lysate with ab289964 at 1/30 dilution (2μg in 0.35mg lysates). Western blot was performed on the immunoprecipitate using ab289964 at 1/1000 dilution. VeriBlot for IP secondary antibody(HRP)(ab131366) was used at 1/5000 dilution.

Lane 1 : Mouse platelet lysate 10 μg

Lane 2 : ab289964 IP in Mouse platelet lysate

Lane 3 : Rabbit monoclonal IgG (ab172730) instead of ab289964 in mouse platelet lysate

Blocking and dilution buffer and concentration : 5% NFDM/TBST.

Exposure time : 15 seconds

The expression profile/ molecμlar weight observed is consistent with what has been described in the literature (PMID : 23112346, PMID : 9295288 ).

All lanes:

Immunoprecipitation - Anti-GPVI antibody [EPR25283-14] (ab289964)

Predicted band size: 37 kDa

Observed band size: 58 kDa

false

Western blot - Anti-GPVI antibody [EPR25283-14] (AB289964)
  • WB

Lab

Western blot - Anti-GPVI antibody [EPR25283-14] (AB289964)

Blocking and diluting buffer and concentration : 5% NFDM/TBST.

The expression profile/ molecular weight observed is consistent with what has been described in the literature (PMID : 23112346, 16014566).

Negative control : cerebellum. (PMID : 10961879).

Exposure time : 70 seconds.

All lanes:

Western blot - Anti-GPVI antibody [EPR25283-14] (ab289964) at 1/1000 dilution

Lane 1:

Mouse platelet lysate at 20 µg

Lane 2:

Mouse cerebellum tissue lysate at 20 µg

Secondary

All lanes:

Goat Anti-Rabbit IgG, (H+L), Peroxidase conjugated (<a href='/en-us/products/secondary-antibodies/goat-rabbit-igg-h-l-hrp-ab97051'>ab97051</a>) at 1/50000 dilution

Predicted band size: 37 kDa

Observed band size: 58 kDa

false

Western blot - Anti-GPVI antibody [EPR25283-14] (AB289964)
  • WB

Lab

Western blot - Anti-GPVI antibody [EPR25283-14] (AB289964)

Blocking and diluting buffer and concentration : 5% NFDM/TBST.

The expression profile/ molecular weight observed is consistent with what has been described in the literature (PMID : Â 23112346, PMID : Â 16014566 ).

Exposure time : 114 seconds.

All lanes:

Western blot - Anti-GPVI antibody [EPR25283-14] (ab289964) at 1/1000 dilution

Lane 1:

Mouse platelet treated with PNGase F lysate at 20 µg

Lane 2:

Mouse platelet lysate at 20 µg

Secondary

All lanes:

Goat Anti-Rabbit IgG, (H+L), Peroxidase conjugated (<a href='/en-us/products/secondary-antibodies/goat-rabbit-igg-h-l-hrp-ab97051'>ab97051</a>) at 1/50000 dilution

Predicted band size: 37 kDa

Observed band size: 34 kDa,58 kDa

false

Immunohistochemistry (Frozen sections) - Anti-GPVI antibody [EPR25283-14] (AB289964)
  • IHC-Fr

Lab

Immunohistochemistry (Frozen sections) - Anti-GPVI antibody [EPR25283-14] (AB289964)

Immunohistochemical analysis of 4% PFA-fixed, 0.2% Triton X-100 permeabilized frozen Mouse cerebellum (fresh) tissue labeling GPVI with ab289964 at 1/100 dilution followed by ab150081 Goat Anti-Rabbit IgG H&L (Alexa Fluor® 488) preadsorbed at 1/1000 dilution (Green). Negative control (PMID : 10961879). No staining on mouse cerebellum is observed. The nuclear counterstain was DAPI (Blue).

Secondary antibody control : Secondary antibody is ab150081 Goat Anti-Rabbit IgG H&L (Alexa Fluo 488) preadsorbed at 1/1000 dilution.

Immunohistochemistry (Formalin/PFA-fixed paraffin-embedded sections) - Anti-GPVI antibody [EPR25283-14] (AB289964)
  • IHC-P

Lab

Immunohistochemistry (Formalin/PFA-fixed paraffin-embedded sections) - Anti-GPVI antibody [EPR25283-14] (AB289964)

Immunohistochemical analysis of paraffin-embedded Mouse cerebrum tissue labelling GPVI with ab289964 at 1/500 dilution, followed by a ready to use Goat Anti-Rabbit IgG H&L (HRP polymer). Negative control : no staining on mouse cerebrum PMID 10961879). The section was incubated with ab289964 at 4°C overnight. Counterstained with Hematoxylin.

Secondary antibody only control : Secondary antibody is a ready to use Goat Anti-Rabbit IgG H&L (HRP polymer).

Heat mediated antigen retrieval using ab93678 (citrate buffer, pH 6.0).

  • Carrier free

    Anti-GPVI antibody [EPR25283-14] - BSA and Azide free

Key facts

Host species

Rabbit

Clonality

Monoclonal

Clone number

EPR25283-14

Isotype

IgG

Carrier free

No

Reacts with

Mouse

Applications

Flow Cyt, WB, IP, IHC-P, IHC-Fr

applications

Immunogen

The exact immunogen used to generate this antibody is proprietary information.

Reactivity data

{ "title": "Reactivity Data", "filters": { "stats": ["", "Species", "Dilution Info", "Notes"], "tabs": { "all-applications": {"fullname" : "All Applications", "shortname": "All Applications"}, "IP" : {"fullname" : "Immunoprecipitation", "shortname":"IP"}, "FlowCyt" : {"fullname" : "Flow Cytometry", "shortname":"Flow Cyt"}, "WB" : {"fullname" : "Western blot", "shortname":"WB"}, "IHCP" : {"fullname" : "Immunohistochemistry (Formalin/PFA-fixed paraffin-embedded sections)", "shortname":"IHC-P"}, "IHCFr" : {"fullname" : "Immunohistochemistry (Frozen sections)", "shortname":"IHC-Fr"} }, "product-promise": { "all": "all", "testedAndGuaranteed": "tested", "guaranteed": "expected", "predicted": "predicted", "notRecommended": "not-recommended" } }, "values": { "Human": { "IP-species-checked": "notRecommended", "IP-species-dilution-info": "", "IP-species-notes": "", "FlowCyt-species-checked": "notRecommended", "FlowCyt-species-dilution-info": "", "FlowCyt-species-notes": "", "WB-species-checked": "notRecommended", "WB-species-dilution-info": "1/1000", "WB-species-notes": "<p></p>", "IHCP-species-checked": "notRecommended", "IHCP-species-dilution-info": "1/500", "IHCP-species-notes": "<p></p>", "IHCFr-species-checked": "notRecommended", "IHCFr-species-dilution-info": "", "IHCFr-species-notes": "" }, "Mouse": { "IP-species-checked": "testedAndGuaranteed", "IP-species-dilution-info": "1/30", "IP-species-notes": "<p></p>", "FlowCyt-species-checked": "testedAndGuaranteed", "FlowCyt-species-dilution-info": "1/500", "FlowCyt-species-notes": "<p></p>", "WB-species-checked": "testedAndGuaranteed", "WB-species-dilution-info": "1/1000", "WB-species-notes": "<p></p>", "IHCP-species-checked": "testedAndGuaranteed", "IHCP-species-dilution-info": "1/500", "IHCP-species-notes": "<p></p>", "IHCFr-species-checked": "testedAndGuaranteed", "IHCFr-species-dilution-info": "1/100", "IHCFr-species-notes": "<p></p>" }, "Rat": { "IP-species-checked": "notRecommended", "IP-species-dilution-info": "", "IP-species-notes": "", "FlowCyt-species-checked": "notRecommended", "FlowCyt-species-dilution-info": "", "FlowCyt-species-notes": "", "WB-species-checked": "notRecommended", "WB-species-dilution-info": "1/1000", "WB-species-notes": "<p></p>", "IHCP-species-checked": "notRecommended", "IHCP-species-dilution-info": "1/500", "IHCP-species-notes": "<p></p>", "IHCFr-species-checked": "notRecommended", "IHCFr-species-dilution-info": "", "IHCFr-species-notes": "" } } }

You may be interested in:

AB315044

Human GPVI ELISA Kit

0

0 Reviews

View product

We recommend this product because it’s often used in the same experiment or related research.

We advise that you always check the datasheet to ensure it fits your experiments, or contact ourtechnical teamfor help.

Product details

Patented technology
Our RabMAb® technology is a patented hybridoma-based technology for making rabbit monoclonal antibodies. For details on our patents, please refer to RabMAb® patents.

What are the advantages of a recombinant monoclonal antibody?
This product is a recombinant monoclonal antibody, which offers several advantages including:

  • - High batch-to-batch consistency and reproducibility
  • - Improved sensitivity and specificity
  • - Long-term security of supply
  • - Animal-free batch production

For more information, read more on recombinant antibodies.

Properties and storage information

Form
Liquid
Purification technique
Affinity purification Protein A
Storage buffer
pH: 7.2 - 7.4 Preservative: 0.01% Sodium azide Constituents: 59% PBS, 40% Glycerol (glycerin, glycerine), 0.05% BSA
Shipped at conditions
Blue Ice
Appropriate short-term storage duration
1-2 weeks
Appropriate short-term storage conditions
+4°C
Appropriate long-term storage conditions
-20°C
Aliquoting information
Upon delivery aliquot
Storage information
Avoid freeze / thaw cycle

Supplementary information

This supplementary information is collated from multiple sources and compiled automatically.

GPVI or glycoprotein VI functions mechanically as a collagen receptor on the surface of platelets. With a molecular mass around 62 kDa it is expressed mainly on megakaryocytes and platelets. GPVI plays an important role in platelet adhesion and activation by binding to collagen exposed at sites of vascular injury. This interaction initiates a cascade of platelet activation essential for normal hemostasis.
Biological function summary

The target participates in the formation of platelet activation complexes. GPVI partners with the Fc receptor γ-chain to transmit activation signals upon collagen binding. This process results in platelet shape change granule secretion and aggregation which are all critical steps for clot formation. By interacting with collagen GPVI ensures that platelets can effectively respond to vascular damage particularly in arterial vessels where high shear forces prevail.

Pathways

The glycoprotein VI contributes significantly to the immune and coagulation pathways. It activates the enzyme Syk kinase following collagen binding which further triggers the downstream signaling pathways like the MAPK pathway leading to platelet activation. GPVI works closely with other receptors like integrin α2β1 and the glycoprotein Ib/V/IX complex reinforcing platelet-collagen interactions and stabilizing the platelet plug formation during thrombus growth.

Glycoprotein VI shows relevance in cardiovascular diseases and immune thrombocytopenia. Abnormal GPVI function or expression can exacerbate conditions such as myocardial infarction by promoting excessive platelet activation and thrombosis. Conversely reduced GPVI levels relate to bleeding disorders due to impaired platelet function. Studies have also linked GPVI to autoimmune conditions where antibodies may target it similar to responses in immune thrombocytopenia.

Product protocols

For this product, it's our understanding that no specific protocols are required. You can visit:

Target data

Collagen receptor involved in collagen-induced platelet adhesion and activation (PubMed : 16139873, PubMed : 24368846). Plays a key role in platelet procoagulant activity and subsequent thrombin and fibrin formation. This procoagulant function may contribute to arterial and venous thrombus formation. The signaling pathway involves the FcR gamma-chain, the Src kinases (likely FYN or LYN) and SYK, the adapter protein LAT and leads to the activation of PLCG2.
See full target information Gp6

Product promise

We are committed to supporting your work with high-quality reagents, and we're here for you every step of the way. In the unlikely event that one of our products does not perform as expected, you're protected by our Product Promise.
For full details, please see our Terms & Conditions

Please note: All products are 'FOR RESEARCH USE ONLY. NOT FOR USE IN DIAGNOSTIC OR THERAPEUTIC PROCEDURES'.

For licensing inquiries, please contact partnerships@abcam.com