JavaScript is disabled in your browser. Please enable JavaScript to view this website.
AB302950

Anti-GPVI antibody [EPR25690-71]

  • BOND RX™ Validated
  • 20ul selling size
  • RabMAb
  • Recombinant
  • What is this?

Be the first to review this product! Submit a review

|

(0 Publication)

Rabbit Recombinant Monoclonal GPVI antibody. Suitable for WB, IHC-P, IHC-Fr, ICC/IF and reacts with Human, Mouse, Rat samples.

View Alternative Names

Platelet glycoprotein VI, GPVI, Glycoprotein 6, GP6

7 Images
Immunocytochemistry - Anti-GPVI antibody [EPR25690-71] (AB302950)
  • ICC

Supplier Data

Immunocytochemistry - Anti-GPVI antibody [EPR25690-71] (AB302950)

Immunofluorescent analysis of 4% Paraformaldehyde-fixed, 0.1% TritonX-100 permeabilized HEL (human erythroleukemia erythroblast) cells labelling GPVI with ab302950 at 1/100 (4.53 ug/ml) dilution, followed by ab150081 Goat Anti-Rabbit IgG H&L (Alexa Fluor® 488) preadsorbed antibody at 1/1000 2 ug/mL dilution (Green). Confocal image showing increased membranal and cytoplasmic staining in HEL cells treated with Phorbol-12-myristate-13-acetate (10 nM) for 48 hoursImage was taken with a confocal microscope (Leica-Microsystems, TCS SP8). is observed. ab195889 Anti-alpha Tubulin mouse monoclonal antibody - Microtubule Marker (Alexa Fluor® 594) was used to counterstain tubulin at 1/200 2.5 ug/mL dilution (Red). The Nuclear counterstain was DAPI (Blue). Secondary antibody only control : Secondary antibody is ab150081 Goat Anti-Rabbit IgG H&L (Alexa Fluor® 488) preadsorbed at 1/1000 2 ug/mL dilution.

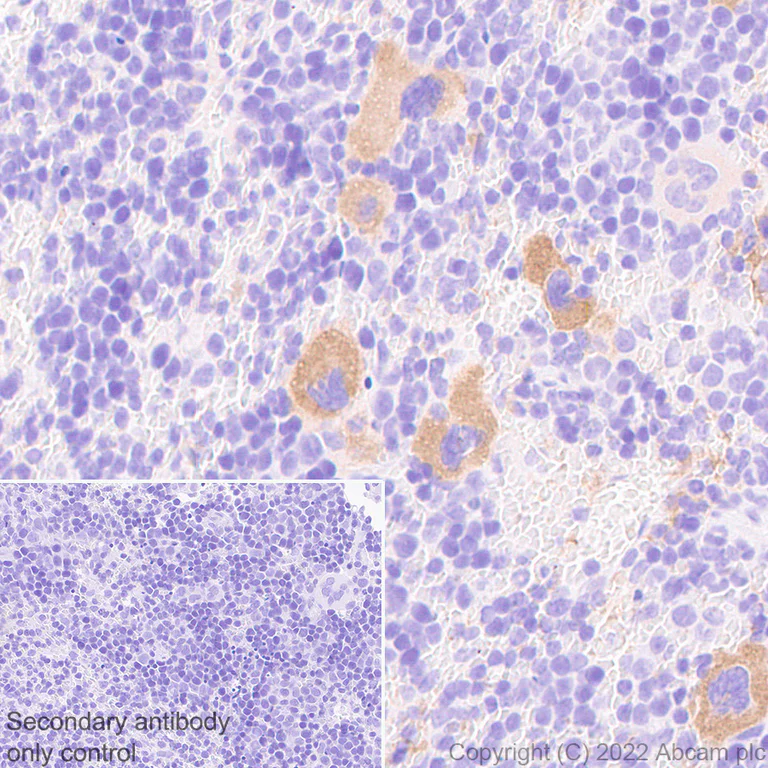
Immunohistochemistry - Anti-GPVI antibody [EPR25690-71] (AB302950)
  • IHC

Supplier Data

Immunohistochemistry - Anti-GPVI antibody [EPR25690-71] (AB302950)

Immunohistochemical analysis of paraffin-embedded Mouse spleen tissue labeling GPVI with ab302950 at 1/100 (4.53 ug/ml) followed by a LeicaDS9800 (Bond™ Polymer Refine Detection) was used at Ready to use dilution. Positive staining on megakaryocytes of mouse spleen. The section was incubated with ab302950 for 30 mins at room temperature.The immunostaining was performed on a Leica Biosystems BOND® RX instrument Counterstained with Hematoxylin. Secondary antibody only control : Secondary antibody is LeicaDS9800 (Bond™ Polymer Refine Detection) was used at Ready to use dilution. Heat mediated antigen retrieval with Tris-EDTA buffer (pH 9.0, epitope retrieval solution2) for 20 mins

Immunohistochemistry - Anti-GPVI antibody [EPR25690-71] (AB302950)
  • IHC

Supplier Data

Immunohistochemistry - Anti-GPVI antibody [EPR25690-71] (AB302950)

Immunohistochemical analysis of paraffin-embedded Mouse pancreas tissue labeling GPVI with ab302950 at 1/100 (4.53 ug/ml) followed by a LeicaDS9800 (Bond™ Polymer Refine Detection) was used at Ready to use dilution. Negative control : no staining on mouse pancreas. The section was incubated with ab302950 for 30 mins at room temperature.The immunostaining was performed on a Leica Biosystems BOND® RX instrument Counterstained with Hematoxylin. Secondary antibody only control : Secondary antibody is LeicaDS9800 (Bond™ Polymer Refine Detection) was used at Ready to use dilution. Heat mediated antigen retrieval with Tris-EDTA buffer (pH 9.0, epitope retrieval solution2) for 20 mins

Immunohistochemistry (Frozen sections) - Anti-GPVI antibody [EPR25690-71] (AB302950)
  • IHC-Fr

Supplier Data

Immunohistochemistry (Frozen sections) - Anti-GPVI antibody [EPR25690-71] (AB302950)

Immunohistochemical analysis of 4% PFA-fixed, 0.2% Triton X-100 permeabilized frozen Mouse pancreas (fresh) tissue labeling GPVI with ab302950 at 1/500 (9.06 ug/ml) dilution followed by ab150081 Goat Anti-Rabbit IgG H&L (Alexa Fluor® 488) preadsorbed at 1/1000 2 ug/mL dilution (Green). Negative control : confocal image showing positive staining on mouse pancreas (PMID : 10961879). The nuclear counterstain was DAPI (Blue). The section was incubated with ab302950 for 60mins at room temperature. The section was then mounted using Fluoromount®.The immunostaining was performed on a Leica Biosystems BOND® RX instrument. Image was taken with a confocal microscope (Leica-Microsystems, TCS SP8). is observed. The nuclear counterstain was DAPI (Blue). Secondary antibody control : Secondary antibody is ab150081 Goat Anti-Rabbit IgG H&L (Alexa Fluor® 488) preadsorbedat 1/1000 2 ug/mL dilution.

Immunohistochemistry (Frozen sections) - Anti-GPVI antibody [EPR25690-71] (AB302950)
  • IHC-Fr

Supplier Data

Immunohistochemistry (Frozen sections) - Anti-GPVI antibody [EPR25690-71] (AB302950)

Immunohistochemical analysis of 4% PFA-fixed, 0.2% Triton X-100 permeabilized frozen Mouse spleen (fresh) tissue labeling GPVI with ab302950 at 1/500 (9.06 ug/ml) dilution followed by ab150081 Goat Anti-Rabbit IgG H&L (Alexa Fluor® 488) preadsorbed at 1/1000 2 ug/mL dilution (Green). Confocal image showing positive staining on megakaryocytes of mouse spleen. The nuclear counterstain was DAPI (Blue). The section was incubated with ab302950 for 60mins at room temperature. The section was then mounted using Fluoromount®.The immunostaining was performed on a Leica Biosystems BOND® RX instrument. Image was taken with a confocal microscope (Leica-Microsystems, TCS SP8). is observed. The nuclear counterstain was DAPI (Blue). Secondary antibody control : Secondary antibody is ab150081 Goat Anti-Rabbit IgG H&L (Alexa Fluor® 488) preadsorbedat 1/1000 2 ug/mL dilution.<\p> .

Western blot - Anti-GPVI antibody [EPR25690-71] (AB302950)
  • WB

Supplier Data

Western blot - Anti-GPVI antibody [EPR25690-71] (AB302950)

Blocking and diluting buffer and concentration : 5% NFDM/TBST

Negative control : human pancreas (human protein atlas database).

This blot was developed using a high sensitivity ECL substrate. The high-sensitivity ECL substrate used allows for the detection of proteins in the mid-femtogram range.

The identity of the lower MW band at approximately 45 kDa is unknown.

Exposure time :

Lane 1-3 : 10 seconds

Lane 4-5 : 48 seconds

All lanes:

Western blot - Anti-GPVI antibody [EPR25690-71] (ab302950) at 1/1000 dilution

Lane 1:

Human plasma at 40 µg

Lane 2:

Human testis tissue lysate at 40 µg

Lane 3:

Human pancreas tissue lysate at 40 µg

Lane 4:

Mouse testis tissue lysate at 40 µg

Lane 5:

Rat testis tissue lysate at 40 µg

Secondary

All lanes:

Goat Anti-Rabbit IgG (HRP) with minimal cross-reactivity with human IgG at 1/1000 dilution

Predicted band size: 37 kDa

Observed band size: 60 kDa

true

Western blot - Anti-GPVI antibody [EPR25690-71] (AB302950)
  • WB

Lab

Western blot - Anti-GPVI antibody [EPR25690-71] (AB302950)

Blocking and diluting buffer and concentration : 5% NFDM/TBST.

GPVI is expressed mainly on platelets (PMID : 30601137, PMID : 34496636).

All lanes:

Western blot - Anti-GPVI antibody [EPR25690-71] (ab302950) at 1/1000 dilution

Lane 1:

Mouse platelet tissue lysate at 20 µg

Lane 2:

Mouse testis tissue lysate at 20 µg

Lane 3:

Mouse bone marrow tissue lysate at 20 µg

Secondary

All lanes:

Goat Anti-Rabbit IgG (HRP) with minimal cross-reactivity with human IgG at 1/2000 dilution

Observed band size: 54 kDa

false

Exposure time: 180s

  • Carrier free

    Anti-GPVI antibody [EPR25690-71] (BSA and Azide free)

Key facts

Host species

Rabbit

Clonality

Monoclonal

Clone number

EPR25690-71

Isotype

IgG

Carrier free

No

Reacts with

Human, Mouse, Rat

Applications

WB, IHC-P, ICC/IF, IHC-Fr

applications

Immunogen

The exact immunogen used to generate this antibody is proprietary information.

Reactivity data

{ "title": "Reactivity Data", "filters": { "stats": ["", "Species", "Dilution Info", "Notes"], "tabs": { "all-applications": {"fullname" : "All Applications", "shortname": "All Applications"}, "WB" : {"fullname" : "Western blot", "shortname":"WB"}, "IHCP" : {"fullname" : "Immunohistochemistry (Formalin/PFA-fixed paraffin-embedded sections)", "shortname":"IHC-P"}, "IHCFr" : {"fullname" : "Immunohistochemistry (Frozen sections)", "shortname":"IHC-Fr"}, "ICCIF" : {"fullname" : "Immunocytochemistry/ Immunofluorescence", "shortname":"ICC/IF"}, "FlowCyt" : {"fullname" : "Flow Cytometry", "shortname":"Flow Cyt"}, "IP" : {"fullname" : "Immunoprecipitation", "shortname":"IP"} }, "product-promise": { "all": "all", "testedAndGuaranteed": "tested", "guaranteed": "expected", "predicted": "predicted", "notRecommended": "not-recommended" } }, "values": { "Human": { "WB-species-checked": "testedAndGuaranteed", "WB-species-dilution-info": "1/1000", "WB-species-notes": "<p></p>", "IHCP-species-checked": "notRecommended", "IHCP-species-dilution-info": "1/100", "IHCP-species-notes": "<p></p> Perform heat-mediated antigen retrieval with Tris/EDTA buffer pH 9.0 before commencing with IHC staining protocol.", "IHCFr-species-checked": "guaranteed", "IHCFr-species-dilution-info": "", "IHCFr-species-notes": "", "ICCIF-species-checked": "testedAndGuaranteed", "ICCIF-species-dilution-info": "1/100", "ICCIF-species-notes": "<p></p>", "FlowCyt-species-checked": "notRecommended", "FlowCyt-species-dilution-info": "", "FlowCyt-species-notes": "<p></p>", "IP-species-checked": "notRecommended", "IP-species-dilution-info": "", "IP-species-notes": "<p></p>" }, "Mouse": { "WB-species-checked": "testedAndGuaranteed", "WB-species-dilution-info": "1/1000", "WB-species-notes": "<p></p>", "IHCP-species-checked": "testedAndGuaranteed", "IHCP-species-dilution-info": "1/100", "IHCP-species-notes": "<p></p> Perform heat-mediated antigen retrieval with Tris/EDTA buffer pH 9.0 before commencing with IHC staining protocol.", "IHCFr-species-checked": "testedAndGuaranteed", "IHCFr-species-dilution-info": "1/500", "IHCFr-species-notes": "<p></p>", "ICCIF-species-checked": "guaranteed", "ICCIF-species-dilution-info": "", "ICCIF-species-notes": "", "FlowCyt-species-checked": "notRecommended", "FlowCyt-species-dilution-info": "", "FlowCyt-species-notes": "<p></p>", "IP-species-checked": "notRecommended", "IP-species-dilution-info": "", "IP-species-notes": "" }, "Rat": { "WB-species-checked": "testedAndGuaranteed", "WB-species-dilution-info": "1/1000", "WB-species-notes": "<p></p>", "IHCP-species-checked": "notRecommended", "IHCP-species-dilution-info": "1/100", "IHCP-species-notes": "<p></p> Perform heat-mediated antigen retrieval with Tris/EDTA buffer pH 9.0 before commencing with IHC staining protocol.", "IHCFr-species-checked": "guaranteed", "IHCFr-species-dilution-info": "", "IHCFr-species-notes": "", "ICCIF-species-checked": "guaranteed", "ICCIF-species-dilution-info": "", "ICCIF-species-notes": "", "FlowCyt-species-checked": "notRecommended", "FlowCyt-species-dilution-info": "", "FlowCyt-species-notes": "", "IP-species-checked": "notRecommended", "IP-species-dilution-info": "", "IP-species-notes": "" } } }

Product details

Want a custom formulation?
This antibody clone is manufactured by Abcam. If you require a custom buffer formulation or conjugation for your experiments, please contact orders@abcam.com

Patented technology
Our RabMAb® technology is a patented hybridoma-based technology for making rabbit monoclonal antibodies. For details on our patents, please refer to RabMAb® patents.

What are the advantages of a recombinant monoclonal antibody?
This product is a recombinant monoclonal antibody, which offers several advantages including:

  • - High batch-to-batch consistency and reproducibility
  • - Improved sensitivity and specificity
  • - Long-term security of supply
  • - Animal-free batch production

For more information, read more on recombinant antibodies.

Properties and storage information

Form
Liquid
Purification technique
Affinity purification Protein A
Storage buffer
pH: 7.2 - 7.4 Preservative: 0.01% Sodium azide Constituents: PBS, 40% Glycerol (glycerin, glycerine), 0.05% BSA
Shipped at conditions
Blue Ice
Appropriate short-term storage duration
1-2 weeks
Appropriate short-term storage conditions
+4°C
Appropriate long-term storage conditions
-20°C
Aliquoting information
Upon delivery aliquot
Storage information
Avoid freeze / thaw cycle

Supplementary information

This supplementary information is collated from multiple sources and compiled automatically.

GPVI or glycoprotein VI functions mechanically as a collagen receptor on the surface of platelets. With a molecular mass around 62 kDa it is expressed mainly on megakaryocytes and platelets. GPVI plays an important role in platelet adhesion and activation by binding to collagen exposed at sites of vascular injury. This interaction initiates a cascade of platelet activation essential for normal hemostasis.
Biological function summary

The target participates in the formation of platelet activation complexes. GPVI partners with the Fc receptor γ-chain to transmit activation signals upon collagen binding. This process results in platelet shape change granule secretion and aggregation which are all critical steps for clot formation. By interacting with collagen GPVI ensures that platelets can effectively respond to vascular damage particularly in arterial vessels where high shear forces prevail.

Pathways

The glycoprotein VI contributes significantly to the immune and coagulation pathways. It activates the enzyme Syk kinase following collagen binding which further triggers the downstream signaling pathways like the MAPK pathway leading to platelet activation. GPVI works closely with other receptors like integrin α2β1 and the glycoprotein Ib/V/IX complex reinforcing platelet-collagen interactions and stabilizing the platelet plug formation during thrombus growth.

Glycoprotein VI shows relevance in cardiovascular diseases and immune thrombocytopenia. Abnormal GPVI function or expression can exacerbate conditions such as myocardial infarction by promoting excessive platelet activation and thrombosis. Conversely reduced GPVI levels relate to bleeding disorders due to impaired platelet function. Studies have also linked GPVI to autoimmune conditions where antibodies may target it similar to responses in immune thrombocytopenia.

Product protocols

For this product, it's our understanding that no specific protocols are required. You can visit:

Target data

Collagen receptor involved in collagen-induced platelet adhesion and activation. Plays a key role in platelet procoagulant activity and subsequent thrombin and fibrin formation. This procoagulant function may contribute to arterial and venous thrombus formation. The signaling pathway involves the FcR gamma-chain, the Src kinases (likely FYN or LYN) and SYK, the adapter protein LAT and leads to the activation of PLCG2.
See full target information GP6

Product promise

We are committed to supporting your work with high-quality reagents, and we're here for you every step of the way. In the unlikely event that one of our products does not perform as expected, you're protected by our Product Promise.
For full details, please see our Terms & Conditions

Please note: All products are 'FOR RESEARCH USE ONLY. NOT FOR USE IN DIAGNOSTIC OR THERAPEUTIC PROCEDURES'.

For licensing inquiries, please contact partnerships@abcam.com