JavaScript is disabled in your browser. Please enable JavaScript to view this website.
AB96257

Anti-GPx-7 antibody

Be the first to review this product! Submit a review

|

(2 Publications)

Rabbit Polyclonal GPx-7 antibody. Suitable for WB, IHC-P and reacts with Human samples. Cited in 2 publications. Immunogen corresponding to Recombinant Fragment Protein within Human GPX7 aa 1 to C-terminus.

View Alternative Names

GPX6, UNQ469/PRO828, GPX7, Glutathione peroxidase 7, GPx-7, GSHPx-7, CL683

2 Images
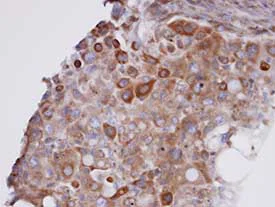
Immunohistochemistry (Formalin/PFA-fixed paraffin-embedded sections) - Anti-GPx-7 antibody (AB96257)
  • IHC-P

Unknown

Immunohistochemistry (Formalin/PFA-fixed paraffin-embedded sections) - Anti-GPx-7 antibody (AB96257)

Immunohistochemical analysis of paraffin-embedded H441, using ab96257 antibody at 1/100 dilution.

Western blot - Anti-GPx-7 antibody (AB96257)
  • WB

Unknown

Western blot - Anti-GPx-7 antibody (AB96257)

12% SDS-PAGE

All lanes:

Western blot - Anti-GPx-7 antibody (ab96257) at 1/500 dilution

Lane 1:

Non transfected 293T cell lysate

Lane 2:

GPx-7 transfected 293T cell lysate

Predicted band size: 21 kDa

false

Key facts

Host species

Rabbit

Clonality

Polyclonal

Isotype

IgG

Carrier free

No

Reacts with

Human

Applications

IHC-P, WB

applications

Immunogen

Recombinant Fragment Protein within Human GPX7 aa 1 to C-terminus. The exact immunogen used to generate this antibody is proprietary information.

Q96SL4

Reactivity data

{ "title": "Reactivity Data", "filters": { "stats": ["", "Species", "Dilution Info", "Notes"], "tabs": { "all-applications": {"fullname" : "All Applications", "shortname": "All Applications"}, "WB" : {"fullname" : "Western blot", "shortname":"WB"}, "IHCP" : {"fullname" : "Immunohistochemistry (Formalin/PFA-fixed paraffin-embedded sections)", "shortname":"IHC-P"} }, "product-promise": { "all": "all", "testedAndGuaranteed": "tested", "guaranteed": "expected", "predicted": "predicted", "notRecommended": "not-recommended" } }, "values": { "Human": { "WB-species-checked": "testedAndGuaranteed", "WB-species-dilution-info": "1/500 - 1/3000", "WB-species-notes": "<p></p>", "IHCP-species-checked": "testedAndGuaranteed", "IHCP-species-dilution-info": "1/100 - 1/1000", "IHCP-species-notes": "<p></p>" }, "Mouse": { "WB-species-checked": "predicted", "WB-species-dilution-info": "", "WB-species-notes": "", "IHCP-species-checked": "predicted", "IHCP-species-dilution-info": "", "IHCP-species-notes": "" }, "Rat": { "WB-species-checked": "predicted", "WB-species-dilution-info": "", "WB-species-notes": "", "IHCP-species-checked": "predicted", "IHCP-species-dilution-info": "", "IHCP-species-notes": "" }, "Cow": { "WB-species-checked": "predicted", "WB-species-dilution-info": "", "WB-species-notes": "", "IHCP-species-checked": "predicted", "IHCP-species-dilution-info": "", "IHCP-species-notes": "" }, "Monkey": { "WB-species-checked": "predicted", "WB-species-dilution-info": "", "WB-species-notes": "", "IHCP-species-checked": "predicted", "IHCP-species-dilution-info": "", "IHCP-species-notes": "" } } }

Properties and storage information

Form
Liquid
Purification technique
Affinity purification Immunogen
Storage buffer
pH: 7 Preservative: 0.01% Thimerosal (merthiolate) Constituents: 10% Glycerol (glycerin, glycerine), 1.21% Tris, 0.75% Glycine
Shipped at conditions
Blue Ice
Appropriate short-term storage conditions
+4°C
Appropriate long-term storage conditions
-20°C
Aliquoting information
Upon delivery aliquot
Storage information
Avoid freeze / thaw cycle

Supplementary information

This supplementary information is collated from multiple sources and compiled automatically.

The glutathione peroxidase 7 (GPx-7) is an enzyme that plays a significant role in protecting cells from oxidative damage. Also known as PHGPx or GPX7 this enzyme belongs to the glutathione peroxidase family. It is involved in reducing hydrogen peroxide and organic hydroperoxides into less reactive molecules using glutathione as a substrate. GPx-7 has a molecular mass of approximately 23 kDa. Expression of GPx-7 is widespread with notable presence in the epithelial cells of the gastrointestinal tract and liver highlighting its potential role in detoxification processes.
Biological function summary

GPx-7 mediates the detoxification of oxidative stress within cells and contributes to maintaining cellular redox balance. It does not act as part of a major protein complex but functions independently to scavenge free radicals and prevent cellular damage. Through its peroxidase activity it helps in preventing the accumulation of harmful peroxides ensuring cellular integrity and stability. This protective mechanism is essential for normal cellular function and survival in oxidative environments.

Pathways

GPx-7 is involved in the glutathione metabolism pathway and the response to oxidative stress pathway. It works closely with other enzymes in the glutathione peroxidase family notably GPx-1 to facilitate the reduction of peroxides using glutathione. These pathways are critical for detoxifying hydrogen peroxide and play an essential role in cellular defense against oxidative damage. GPx-7's cooperation with related family members signifies a coordinated effort in antioxidant defense mechanisms within the cell.

GPx-7 is associated with cancer and neurodegenerative diseases. Abnormal expression and function of GPx-7 can contribute to the progression of these conditions as oxidative stress is a known factor in pathogenesis. In cancer reduced activity or expression of GPx-7 might lead to increased oxidative stress contributing to tumorigenesis. Similarly in neurodegenerative diseases impaired antioxidant defense due to dysfunctional GPx-7 can accelerate neuronal damage. Proteins such as GPx-3 and GPx-8 also relate to these disease mechanisms interacting within similar oxidative pathways further emphasizing the importance of the GPx enzyme family in disease outcomes.

Product protocols

For this product, it's our understanding that no specific protocols are required. You can visit:

Target data

It protects esophageal epithelia from hydrogen peroxide-induced oxidative stress. It suppresses acidic bile acid-induced reactive oxygen species (ROS) and protects against oxidative DNA damage and double-strand breaks.
See full target information GPX7

Publications (2)

Recent publications for all applications. Explore the full list and refine your search

BMC complementary medicine and therapies 23:131 PubMed37098557

2023

Sodium selenite preserves rBM-MSCs' stemness, differentiation potential, and immunophenotype and protects them against oxidative stress via activation of the Nrf2 signaling pathway.

Applications

Unspecified application

Species

Unspecified reactive species

Bahareh Rahimi,Mohammad Panahi,Hajie Lotfi,Mostafa Khalili,Astireh Salehi,Neda Saraygord-Afshari,Effat Alizadeh

Nature communications 8:423 PubMed28871080

2017

Genetically engineered red cells expressing single domain camelid antibodies confer long-term protection against botulinum neurotoxin.

Applications

Unspecified application

Species

Unspecified reactive species

Nai-Jia Huang,Novalia Pishesha,Jean Mukherjee,Sicai Zhang,Rhogerry Deshycka,Valentino Sudaryo,Min Dong,Charles B Shoemaker,Harvey F Lodish
View all publications

Product promise

We are committed to supporting your work with high-quality reagents, and we're here for you every step of the way. In the unlikely event that one of our products does not perform as expected, you're protected by our Product Promise.
For full details, please see our Terms & Conditions

Please note: All products are 'FOR RESEARCH USE ONLY. NOT FOR USE IN DIAGNOSTIC OR THERAPEUTIC PROCEDURES'.

For licensing inquiries, please contact partnerships@abcam.com