JavaScript is disabled in your browser. Please enable JavaScript to view this website.
AB317745

Anti-GPX8 antibody [EPR28823-80] - BSA and Azide free

Be the first to review this product! Submit a review

|

(0 Publication)

Rabbit Recombinant Monoclonal GPX8 antibody. Carrier free. Suitable for ICC/IF, IP, WB and reacts with Human, Rat, Mouse, Transfected cell lysate - Human samples.

View Alternative Names

UNQ847/PRO1785, GPX8, Probable glutathione peroxidase 8, GPx-8, GSHPx-8

6 Images
Immunocytochemistry/ Immunofluorescence - Anti-GPX8 antibody [EPR28823-80] - BSA and Azide free (AB317745)
  • ICC/IF

Supplier Data

Immunocytochemistry/ Immunofluorescence - Anti-GPX8 antibody [EPR28823-80] - BSA and Azide free (AB317745)

This data was developed using ab317744, the same antibody clone in a different buffer formulation.

Immunofluorescent analysis of 4% Paraformaldehyde-fixed, 0.1% TritonX-100 permeabilized HeLa (human cervical adenocarcinoma epithelial cell) cells labelling GPX8 with ab317744 at 1/100 (5.1 ug/ml) dilution, followed by ab150081 Goat Anti-Rabbit IgG H&L (Alexa Fluor® 488) preadsorbed antibody at 1/1000 2 ug/ml dilution (Green).

Confocal image showing positive staining in Hela cell line (shown in green). The counterstain was observed in magenta. Nuclear DNA was labeled with DAPI (shown in blue).
Negative control : HepG2 (PMID : 32817494).
Image was taken with a confocal microscope (Leica-Microsystems, TCS SP8).

ab195889 Anti-alpha Tubulin mouse monoclonal antibody - Microtubule Marker (Alexa Fluor® 594) was used to counterstain tubulin at 1/200 2.5ug/ml dilution (Magenta). The Nuclear counterstain was DAPI (Blue).

Secondary antibody only control : Secondary antibody is ab150081 Goat Anti-Rabbit IgG H&L (Alexa Fluor® 488) preadsorbed at 1/1000 2 ug/ml dilution.

Immunoprecipitation - Anti-GPX8 antibody [EPR28823-80] - BSA and Azide free (AB317745)
  • IP

Supplier Data

Immunoprecipitation - Anti-GPX8 antibody [EPR28823-80] - BSA and Azide free (AB317745)

This data was developed using ab317744, the same antibody clone in a different buffer formulation.

GPX8 was immunoprecipitated from 0.35 mg HeLa (human cervical adenocarcinoma epithelial cell) whole cell lysate with ab317744 at 1/30 dilution (2ug in 0.35mg lysates). Western blot was performed on the immunoprecipitate using ab317744 at 1/1000 dilution. VeriBlot for IP secondary antibody(HRP)(ab131366) was used at 1/5000 dilution.

Lane 1 : HeLa (human cervical adenocarcinoma epithelial cell) whole cell lysate
Lane 2 : ab317744 IP in HeLa (human cervical adenocarcinoma epithelial cell) whole cell lysate
Lane 3 : Rabbit monoclonal IgG (ab172730) instead of ab317744 in HeLa whole cell lysate

All lanes:

Immunoprecipitation - Anti-GPX8 antibody [EPR28823-80] (<a href='/en-us/products/primary-antibodies/gpx8-antibody-epr28823-80-ab317744'>ab317744</a>) at 1/30 dilution

All lanes:

HeLa (human cervical adenocarcinoma epithelial cell) whole cell lysate

Secondary

All lanes:

Immunoprecipitation - VeriBlot for IP Detection Reagent (HRP) (<a href='/en-us/products/reagents/veriblot-for-ip-detection-reagent-hrp-ab131366'>ab131366</a>) at 1/5000 dilution

false

Exposure time: 10s

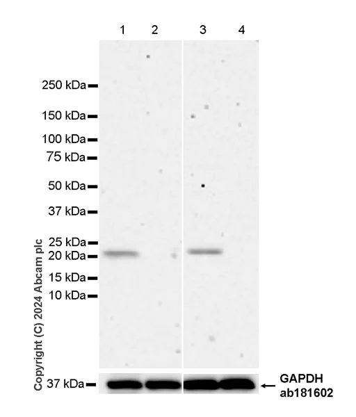
Western blot - Anti-GPX8 antibody [EPR28823-80] - BSA and Azide free (AB317745)
  • WB

Supplier Data

Western blot - Anti-GPX8 antibody [EPR28823-80] - BSA and Azide free (AB317745)

This data was developed using ab317744, the same antibody clone in a different buffer formulation.

Negative control : liver

In Western blot, Anti-GAPDH antibody [EPR16891] - Loading Control (ab181602) staining at 1/200000 dilution.

All lanes:

Western blot - Anti-GPX8 antibody [EPR28823-80] (<a href='/en-us/products/primary-antibodies/gpx8-antibody-epr28823-80-ab317744'>ab317744</a>) at 1/1000 dilution

Lane 1:

Human uterus tissue lysate at 20 µg

Lane 2:

Human liver tissue lysate at 20 µg

Lane 3:

Rat uterus tissue lysate at 20 µg

Lane 4:

Rat liver tissue lysate at 20 µg

Secondary

All lanes:

Western blot - Goat Anti-Rabbit IgG H&L (HRP) (<a href='/en-us/products/secondary-antibodies/goat-rabbit-igg-h-l-hrp-ab97051'>ab97051</a>) at 1/100000 dilution

Observed band size: 23 kDa,36 kDa

false

Exposure time: 180s

Western blot - Anti-GPX8 antibody [EPR28823-80] - BSA and Azide free (AB317745)
  • WB

Supplier Data

Western blot - Anti-GPX8 antibody [EPR28823-80] - BSA and Azide free (AB317745)

This data was developed using ab317744, the same antibody clone in a different buffer formulation.

Negative control : HepG2 (PMID : 32817494), Jurkat

Low expression : MCF7(PMID : 32817494)

In Western blot, Anti-GAPDH antibody [EPR16891] - Loading Control (ab181602) staining at 1/200000 dilution.

All lanes:

Western blot - Anti-GPX8 antibody [EPR28823-80] (<a href='/en-us/products/primary-antibodies/gpx8-antibody-epr28823-80-ab317744'>ab317744</a>) at 1/1000 dilution

Lane 1:

HeLa (human cervical adenocarcinoma epithelial cell) whole cell lysate at 20 µg

Lane 2:

HepG2 (human hepatocellar carcinoma epithelial cell) whole cell lysate 20 at 20 µg

Lane 3:

U-2 OS (human bone osteosarcoma epithelial cell) whole cell lysate at 20 µg

Lane 4:

MCF7 (human breast adenocarcinoma epithelial cell) whole cell lysate at 20 µg

Lane 5:

Jurkat (human T cell leukemia T lymphocyte from peripheral blood) whole cell lysate at 20 µg

Lane 6:

293T (human embryonic kidney epithelial cell) whole cell lysate at 20 µg

Secondary

All lanes:

Western blot - Goat Anti-Rabbit IgG H&L (HRP) (<a href='/en-us/products/secondary-antibodies/goat-rabbit-igg-h-l-hrp-ab97051'>ab97051</a>) at 1/100000 dilution

Observed band size: 23 kDa,36 kDa

false

Exposure time: 59s

Western blot - Anti-GPX8 antibody [EPR28823-80] - BSA and Azide free (AB317745)
  • WB

Supplier Data

Western blot - Anti-GPX8 antibody [EPR28823-80] - BSA and Azide free (AB317745)

This data was developed using ab317744, the same antibody clone in a different buffer formulation.

Low expression : Neuro-2a

In Western blot, Anti-GAPDH antibody [EPR16891] - Loading Control (ab181602) staining at 1/200000 dilution.

All lanes:

Western blot - Anti-GPX8 antibody [EPR28823-80] (<a href='/en-us/products/primary-antibodies/gpx8-antibody-epr28823-80-ab317744'>ab317744</a>) at 1/1000 dilution

Lane 1:

NIH/3T3 (mouse embryonic fibroblast) whole cell lysate at 20 µg

Lane 2:

C2C12 (mouse myoblast) whole cell lysate at 20 µg

Lane 3:

Neuro-2a (mouse neuroblastoma neuroblast) whole cell lysate at 20 µg

Secondary

All lanes:

Western blot - Goat Anti-Rabbit IgG H&L (HRP) (<a href='/en-us/products/secondary-antibodies/goat-rabbit-igg-h-l-hrp-ab97051'>ab97051</a>) at 1/100000 dilution

Observed band size: 23 kDa,36 kDa

false

Exposure time: 180s

Western blot - Anti-GPX8 antibody [EPR28823-80] - BSA and Azide free (AB317745)
  • WB

Supplier Data

Western blot - Anti-GPX8 antibody [EPR28823-80] - BSA and Azide free (AB317745)

This data was developed using ab317744, the same antibody clone in a different buffer formulation.

This antibody does not cross-react with human GPX7.

In Western blot, Anti-GAPDH antibody [EPR16891] - Loading Control (ab181602) staining at 1/200000 dilution.

In Western blot, Anti-6X His tag antibody [EPR20547]-CHIP Grade (ab213204) staining at 1/5000 dilution.

All lanes:

Western blot - Anti-GPX8 antibody [EPR28823-80] (<a href='/en-us/products/primary-antibodies/gpx8-antibody-epr28823-80-ab317744'>ab317744</a>) at 1/1000 dilution

Lane 1:

293T cells transfected with an empty vector containing a His-tag, whole cell lysate at 20 µg

Lane 2:

293T cells transfected with a human GPX7 expression vector containing a His-tag, whole cell lysate at 20 µg

Lane 3:

293T cells transfected with a human GPX8 expression vector containing a His-tag, whole cell lysate at 20 µg

Secondary

All lanes:

Western blot - Goat Anti-Rabbit IgG H&L (HRP) (<a href='/en-us/products/secondary-antibodies/goat-rabbit-igg-h-l-hrp-ab97051'>ab97051</a>) at 1/200000 dilution

Observed band size: 30 kDa,36 kDa

false

Exposure time: 6s

Key facts

Host species

Rabbit

Clonality

Monoclonal

Clone number

EPR28823-80

Isotype

IgG

Carrier free

Yes

Reacts with

Human, Mouse, Rat

Applications

ICC/IF, WB, IP

applications

Immunogen

The exact immunogen used to generate this antibody is proprietary information.

Specificity

Unsuitable for mouse ICC

Reactivity data

{ "title": "Reactivity Data", "filters": { "stats": ["", "Species", "Dilution Info", "Notes"], "tabs": { "all-applications": {"fullname" : "All Applications", "shortname": "All Applications"}, "ICCIF" : {"fullname" : "Immunocytochemistry/ Immunofluorescence", "shortname":"ICC/IF"}, "IP" : {"fullname" : "Immunoprecipitation", "shortname":"IP"}, "WB" : {"fullname" : "Western blot", "shortname":"WB"}, "IHCP" : {"fullname" : "Immunohistochemistry (Formalin/PFA-fixed paraffin-embedded sections)", "shortname":"IHC-P"}, "FlowCyt" : {"fullname" : "Flow Cytometry", "shortname":"Flow Cyt"} }, "product-promise": { "all": "all", "testedAndGuaranteed": "tested", "guaranteed": "expected", "predicted": "predicted", "notRecommended": "not-recommended" } }, "values": { "Human": { "ICCIF-species-checked": "testedAndGuaranteed", "ICCIF-species-dilution-info": "", "ICCIF-species-notes": "<p></p>", "IP-species-checked": "testedAndGuaranteed", "IP-species-dilution-info": "", "IP-species-notes": "<p></p>", "WB-species-checked": "testedAndGuaranteed", "WB-species-dilution-info": "", "WB-species-notes": "<p></p>", "IHCP-species-checked": "notRecommended", "IHCP-species-dilution-info": "", "IHCP-species-notes": "<p></p>", "FlowCyt-species-checked": "notRecommended", "FlowCyt-species-dilution-info": "", "FlowCyt-species-notes": "<p></p>" }, "Mouse": { "ICCIF-species-checked": "notRecommended", "ICCIF-species-dilution-info": "", "ICCIF-species-notes": "<p></p>", "IP-species-checked": "guaranteed", "IP-species-dilution-info": "", "IP-species-notes": "", "WB-species-checked": "testedAndGuaranteed", "WB-species-dilution-info": "", "WB-species-notes": "<p></p>", "IHCP-species-checked": "notRecommended", "IHCP-species-dilution-info": "", "IHCP-species-notes": "<p></p>", "FlowCyt-species-checked": "notRecommended", "FlowCyt-species-dilution-info": "", "FlowCyt-species-notes": "" }, "Rat": { "ICCIF-species-checked": "guaranteed", "ICCIF-species-dilution-info": "", "ICCIF-species-notes": "", "IP-species-checked": "guaranteed", "IP-species-dilution-info": "", "IP-species-notes": "", "WB-species-checked": "testedAndGuaranteed", "WB-species-dilution-info": "", "WB-species-notes": "<p></p>", "IHCP-species-checked": "notRecommended", "IHCP-species-dilution-info": "", "IHCP-species-notes": "<p></p>", "FlowCyt-species-checked": "notRecommended", "FlowCyt-species-dilution-info": "", "FlowCyt-species-notes": "" }, "Transfected cell lysate - Human": { "ICCIF-species-checked": "notRecommended", "ICCIF-species-dilution-info": "", "ICCIF-species-notes": "", "IP-species-checked": "notRecommended", "IP-species-dilution-info": "", "IP-species-notes": "", "WB-species-checked": "testedAndGuaranteed", "WB-species-dilution-info": "", "WB-species-notes": "<p></p>", "IHCP-species-checked": "notRecommended", "IHCP-species-dilution-info": "", "IHCP-species-notes": "", "FlowCyt-species-checked": "notRecommended", "FlowCyt-species-dilution-info": "", "FlowCyt-species-notes": "" } } }

Product details

ab317745 is the carrier-free version of ab317744.

Patented technology
Our RabMAb® technology is a patented hybridoma-based technology for making rabbit monoclonal antibodies. For details on our patents, please refer to RabMAb® patents.

What are the advantages of a recombinant monoclonal antibody?
This product is a recombinant monoclonal antibody, which offers several advantages including:

  • - High batch-to-batch consistency and reproducibility
  • - Improved sensitivity and specificity
  • - Long-term security of supply
  • - Animal-free batch production

For more information, read more on recombinant antibodies.

Conjugation ready
Our carrier-free antibodies are typically supplied in a PBS-only formulation, purified and free of BSA, sodium azide and glycerol. This conjugation-ready format is designed for use with fluorochromes, metal isotopes, oligonucleotides, and enzymes, which makes them ideal for antibody labelling, functional and cell-based assays, flow-based assays (e.g. mass cytometry) and Multiplex Imaging applications.

Use our conjugation kits for antibody conjugates that are ready-to-use in as little as 20 minutes with 1 minute hands-on-time and 100% antibody recovery: available for fluorescent dyes, HRP, biotin and gold.

Compatibility
This product is compatible with the Maxpar® Antibody Labeling Kit from Fluidigm, without the need for antibody preparation. Maxpar® is a trademark of Fluidigm Canada Inc.

Properties and storage information

Form
Liquid
Purification technique
Affinity purification Protein A
Storage buffer
pH: 7.2 - 7.4 Constituents: PBS
Shipped at conditions
Blue Ice
Appropriate short-term storage conditions
+4°C
Appropriate long-term storage conditions
+4°C

Supplementary information

This supplementary information is collated from multiple sources and compiled automatically.

GPX8 also known as Glutathione Peroxidase 8 is an enzyme important in cellular antioxidant defense reducing hydrogen peroxide to water. It has a molecular mass of approximately 28 kDa. GPX8 localizes prominently within the endoplasmic reticulum membrane contributing to cellular redox homeostasis. This enzyme expresses in various tissue types with significant levels observed in the liver and kidney indicating its role in detoxifying reactive oxygen species.
Biological function summary

This enzyme plays an important role in maintaining cellular oxidative balance. It does not form part of a large complex but associates with other proteins in a network that mitigates oxidative damage. By catalyzing the reduction of peroxides it protects cellular components from oxidative stress-induced damage. GPX8's activity in reducing lipid peroxides underlines its importance in maintaining cellular membrane integrity particularly under stress conditions.

Pathways

GPX8 integrates into the cellular antioxidant defense system and the redox signaling pathways. It significantly contributes to the Glutathione metabolism pathway partnering with other GPX family members like GPX1. In the context of redox signaling it interacts indirectly with proteins influencing cellular responses to oxidative stress. These interactions facilitate the modulation of signaling cascades important for maintaining cellular homeostasis under oxidative conditions.

GPX8 is associated with oxidative stress-related conditions such as cancer and neurodegenerative diseases. For instance aberrant expression or activity can correlate with increased susceptibility to Hepatocellular Carcinoma where reactive oxygen species play a pivotal role. In neurodegenerative contexts this protein might interact with misfolded protein aggregates potentially implicating pathways linked to Parkinson's disease. As part of this disorder's complex oxidative stress mechanisms GPX8 could interact with proteins like Parkinson-associated DJ-1 highlighting a pathophysiological connection to the disease.

Product protocols

For this product, it's our understanding that no specific protocols are required. You can visit:

Product promise

We are committed to supporting your work with high-quality reagents, and we're here for you every step of the way. In the unlikely event that one of our products does not perform as expected, you're protected by our Product Promise.
For full details, please see our Terms & Conditions

Please note: All products are 'FOR RESEARCH USE ONLY. NOT FOR USE IN DIAGNOSTIC OR THERAPEUTIC PROCEDURES'.

For licensing inquiries, please contact partnerships@abcam.com