JavaScript is disabled in your browser. Please enable JavaScript to view this website.
AB271984

Anti-Granulin antibody [EPR15864] - BSA and Azide free

Be the first to review this product! Submit a review

|

(0 Publication)

Rabbit Recombinant Monoclonal Granulin antibody. Carrier free. Suitable for IP, WB, IHC-P and reacts with Human samples.

View Alternative Names

Progranulin, PGRN, Acrogranin, Epithelin precursor, Glycoprotein of 88 Kda, Granulin precursor, PC cell-derived growth factor, Proepithelin, GP88, Glycoprotein 88, PCDGF, PEPI, GRN

10 Images
Immunohistochemistry (Formalin/PFA-fixed paraffin-embedded sections) - Anti-Granulin antibody [EPR15864] - BSA and Azide free (AB271984)
  • IHC-P

Supplier Data

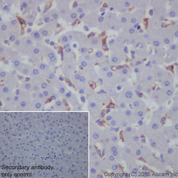
Immunohistochemistry (Formalin/PFA-fixed paraffin-embedded sections) - Anti-Granulin antibody [EPR15864] - BSA and Azide free (AB271984)

Immunohistochemical analysis of paraffin-embedded Human liver tissue labeling Granulin with ab208777 at 1/1000 dilution, followed by Goat Anti-Rabbit IgG H&L (HRP) (ab97051) at 1/500 dilution. Cytoplasm staining on Kupffer cells of Human liver is observed. Counter stained with Hematoxylin.

Secondary antibody only control : Used PBS instead of primary antibody, secondary antibody is ab97051 at 1/500 dilution.

Perform heat mediated antigen retrieval with Tris/EDTA buffer pH 9.0 before commencing with IHC staining protocol.

This data was developed using the same antibody clone in a different buffer formulation containing PBS, BSA, glycerol, and sodium azide (ab208777).

Immunohistochemistry (Formalin/PFA-fixed paraffin-embedded sections) - Anti-Granulin antibody [EPR15864] - BSA and Azide free (AB271984)
  • IHC-P

Supplier Data

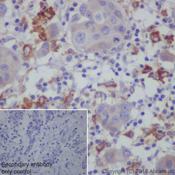
Immunohistochemistry (Formalin/PFA-fixed paraffin-embedded sections) - Anti-Granulin antibody [EPR15864] - BSA and Azide free (AB271984)

Immunohistochemical analysis of paraffin-embedded Human breast cancer tissue labeling Granulin with ab208777 at 1/1000 dilution, followed by Goat Anti-Rabbit IgG H&L (HRP) (ab97051) at 1/500 dilution. Cytoplasm staining on Human breast cancer is observed. Counter stained with Hematoxylin.

Secondary antibody only control : Used PBS instead of primary antibody, secondary antibody is ab97051 at 1/500 dilution.

Perform heat mediated antigen retrieval with Tris/EDTA buffer pH 9.0 before commencing with IHC staining protocol.

This data was developed using the same antibody clone in a different buffer formulation containing PBS, BSA, glycerol, and sodium azide (ab208777).

Immunohistochemistry (Formalin/PFA-fixed paraffin-embedded sections) - Anti-Granulin antibody [EPR15864] - BSA and Azide free (AB271984)
  • IHC-P

Supplier Data

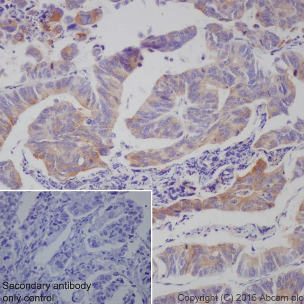
Immunohistochemistry (Formalin/PFA-fixed paraffin-embedded sections) - Anti-Granulin antibody [EPR15864] - BSA and Azide free (AB271984)

Immunohistochemical analysis of paraffin-embedded Human gastric cancer tissue labeling Granulin with ab208777 at 1/1000 dilution, followed by Goat Anti-Rabbit IgG H&L (HRP) (ab97051) at 1/500 dilution. Cytoplasm staining on Human gastric cancer is observed. Counter stained with Hematoxylin.

Secondary antibody only control : Used PBS instead of primary antibody, secondary antibody is ab97051 at 1/500 dilution.

Perform heat mediated antigen retrieval with Tris/EDTA buffer pH 9.0 before commencing with IHC staining protocol.

This data was developed using the same antibody clone in a different buffer formulation containing PBS, BSA, glycerol, and sodium azide (ab208777).

Immunohistochemistry (Formalin/PFA-fixed paraffin-embedded sections) - Anti-Granulin antibody [EPR15864] - BSA and Azide free (AB271984)
  • IHC-P

Supplier Data

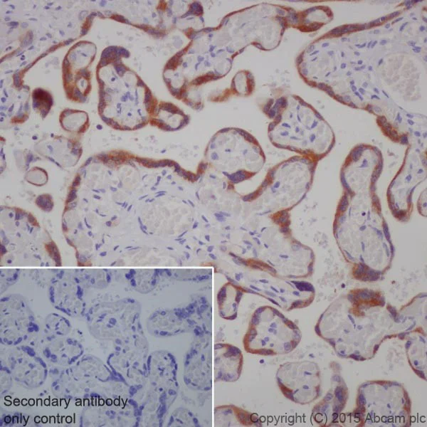
Immunohistochemistry (Formalin/PFA-fixed paraffin-embedded sections) - Anti-Granulin antibody [EPR15864] - BSA and Azide free (AB271984)

Immunohistochemical analysis of paraffin-embedded Human placenta tissue labeling Granulin with ab208777 at 1/1000 dilution, followed by Goat Anti-Rabbit IgG H&L (HRP) (ab97051) at 1/500 dilution. Cytoplasm staining on trophoblastic cells of Human placenta is observed. Counter stained with Hematoxylin.

Secondary antibody only control : Used PBS instead of primary antibody, secondary antibody is ab97051 at 1/500 dilution.

Perform heat mediated antigen retrieval with Tris/EDTA buffer pH 9.0 before commencing with IHC staining protocol.

This data was developed using the same antibody clone in a different buffer formulation containing PBS, BSA, glycerol, and sodium azide (ab208777).

Immunoprecipitation - Anti-Granulin antibody [EPR15864] - BSA and Azide free (AB271984)
  • IP

Supplier Data

Immunoprecipitation - Anti-Granulin antibody [EPR15864] - BSA and Azide free (AB271984)

Granulin was immunoprecipitated from 1mg of HeLa (Human epithelial cell line from cervix adenocarcinoma) whole cell lysate with ab208777 at 1/70 dilution.

Western blot was performed from the immunoprecipitate using ab208777 at 1/1000 dilution.

VeriBlot for IP Detection Reagent (HRP) (ab131366), was used for detection at 1/10000 dilution.

Lane 1 : HeLa whole cell lysate, 10μg (Input).

Lane 2 : ab208777 IP in HeLa whole cell lysate.

Lane 3 : Rabbit IgG,monoclonal -Isotype Control (ab172730) instead of ab208777 in HeLa whole cell lysate.

Blocking and dilution buffer and concentration : 5% NFDM/TBST.

Exposure time : 30 seconds.

This data was developed using the same antibody clone in a different buffer formulation containing PBS, BSA, glycerol, and sodium azide (ab208777).

All lanes:

Immunoprecipitation - Anti-Granulin antibody [EPR15864] (<a href='/en-us/products/primary-antibodies/granulin-antibody-epr15864-ab208777'>ab208777</a>)

Predicted band size: 64 kDa

false

Western blot - Anti-Granulin antibody [EPR15864] - BSA and Azide free (AB271984)
  • WB

Supplier Data

Western blot - Anti-Granulin antibody [EPR15864] - BSA and Azide free (AB271984)

This data was developed using the same antibody clone in a different buffer formulation containing PBS, BSA, glycerol, and sodium azide (ab208777).

Blocking/Dilution buffer : 5% NFDM/TBST.

All lanes:

Western blot - Anti-Granulin antibody [EPR15864] - BSA and Azide free (ab271984) at 1/2000 dilution

All lanes:

Human fetal kidney lysate at 10 µg

Secondary

All lanes:

Anti-Rabbit IgG (HRP), specific to the non-reduced form of IgG at 1/1000 dilution

Predicted band size: 64 kDa

Observed band size: 74 kDa

false

Western blot - Anti-Granulin antibody [EPR15864] - BSA and Azide free (AB271984)
  • WB

Supplier Data

Western blot - Anti-Granulin antibody [EPR15864] - BSA and Azide free (AB271984)

This data was developed using the same antibody clone in a different buffer formulation containing PBS, BSA, glycerol, and sodium azide (ab208777).

Blocking/Dilution buffer : 5% NFDM/TBST.

All lanes:

Western blot - Anti-Granulin antibody [EPR15864] - BSA and Azide free (ab271984) at 1/2000 dilution

Lane 1:

A431 (Human epidermoid carcinoma cell line) whole cell lysate at 10 µg

Lane 2:

293T (Human epithelial cell line from embryonic kidney) whole cell lysate at 10 µg

Secondary

All lanes:

Goat Anti-Rabbit IgG, (H+L), Peroxidase conjugated at 1/1000 dilution

Predicted band size: 64 kDa

Observed band size: 74 kDa

false

Western blot - Anti-Granulin antibody [EPR15864] - BSA and Azide free (AB271984)
  • WB

Supplier Data

Western blot - Anti-Granulin antibody [EPR15864] - BSA and Azide free (AB271984)

This data was developed using the same antibody clone in a different buffer formulation containing PBS, BSA, glycerol, and sodium azide (ab208777).

Lanes 1 - 3 : Merged signal (red and green). Green - ab208777 observed at 64 kDa. Red - loading control, ab8245, observed at 37 kDa.

ab208777 was shown to specifically react with Granulin in wild-type HAP1 cells as signal was lost in GRN (Granulin) knockout cells. Wild-type and GRN (Granulin) knockout samples were subjected to SDS-PAGE. ab208777 and ab8245 (Mouse anti GAPDH loading control) were incubated overnight at 4°C at 1/2000 dilution and 1/10000 dilution respectively. Blots were developed with Goat anti-Rabbit IgG H&L (IRDye® 800CW) preabsorbed ab216773 and Goat anti-Mouse IgG H&L (IRDye® 680RD) preabsorbed ab216776 secondary antibodies at 1/10000 dilution for 1 hour at room temperature before imaging.

All lanes:

Western blot - Anti-Granulin antibody [EPR15864] - BSA and Azide free (ab271984) at 1/2000 dilution

Lane 1:

Wild-type HAP1 whole cell lysate at 20 µg

Lane 2:

GRN (Granulin) knockout HAP1 whole cell lysate at 20 µg

Lane 3:

HepG2 whole cell lysate at 20 µg

Predicted band size: 64 kDa

false

Western blot - Anti-Granulin antibody [EPR15864] - BSA and Azide free (AB271984)
  • WB

Supplier Data

Western blot - Anti-Granulin antibody [EPR15864] - BSA and Azide free (AB271984)

This data was developed using the same antibody clone in a different buffer formulation containing PBS, BSA, glycerol, and sodium azide (ab208777).

Lanes 1-4 : Merged signal (red and green). Green - ab208777 observed at 74 kDa. Red - loading control ab8245 observed at 36 kDa.

ab208777 Anti-Granulin antibody [EPR15864] was shown to specifically react with Granulin in wild-type HEK293T cells. Loss of signal was observed when knockout cell line ab266738 (knockout cell lysate ab257235) was used. Wild-type and Granulin knockout samples were subjected to SDS-PAGE. ab208777 and Anti-GAPDH antibody [6C5] - Loading Control (ab8245) were incubated at room temperature for 2.5 hours at 1 in 1000 dilution and 1 in 20000 dilution respectively. Blots were developed with Goat anti-Rabbit IgG H&L (IRDye® 800CW) preadsorbed (ab216773) and Goat anti-Mouse IgG H&L (IRDye® 680RD) preadsorbed (ab216776) secondary antibodies at 1 in 20000 dilution for 1 hour at room temperature before imaging.

All lanes:

Western blot - Anti-Granulin antibody [EPR15864] - BSA and Azide free (ab271984) at 1/1000 dilution

Lane 1:

Wild-type HEK293T cell lysate at 20 µg

Lane 2:

GRN knockout HEK293T cell lysate at 20 µg

Lane 3:

HepG2 cell lysate at 20 µg

Lane 4:

HAP1 cell lysate at 20 µg

Secondary

All lanes:

Western blot - Goat anti-Rabbit IgG H&L (IRDye® 800CW) preadsorbed (<a href='/en-us/products/secondary-antibodies/goat-rabbit-igg-h-l-irdye-800cw-preadsorbed-ab216773'>ab216773</a>) at 1/10000 dilution

Predicted band size: 64 kDa

Observed band size: 74 kDa

false

Western blot - Anti-Granulin antibody [EPR15864] - BSA and Azide free (AB271984)
  • WB

Lab

Western blot - Anti-Granulin antibody [EPR15864] - BSA and Azide free (AB271984)

This data was developed using the same antibody clone in a different buffer formulation containing PBS, BSA, glycerol, and sodium azide (ab208777).

Blocking/Dilution buffer : 5% NFDM/TBST.

All lanes:

Western blot - Anti-Granulin antibody [EPR15864] - BSA and Azide free (ab271984) at 1/1000 dilution

All lanes:

Human GRN full-length recombinant protein with GST-tag at N-terminal, 0.01 ug

Secondary

All lanes:

Goat Anti-Rabbit IgG, (H+L), Peroxidase conjugated at 1/1000 dilution

Predicted band size: 64 kDa

Observed band size: 90 kDa

false

  • Unconjugated

    Anti-Granulin antibody [EPR15864]

  • Carrier free

    Anti-Granulin antibody [EPR15864] - Low endotoxin, Azide free

Key facts

Host species

Rabbit

Clonality

Monoclonal

Clone number

EPR15864

Isotype

IgG

Carrier free

Yes

Reacts with

Human

Applications

IP, WB, IHC-P

applications

Immunogen

The exact immunogen used to generate this antibody is proprietary information.

Reactivity data

{ "title": "Reactivity Data", "filters": { "stats": ["", "Species", "Dilution Info", "Notes"], "tabs": { "all-applications": {"fullname" : "All Applications", "shortname": "All Applications"}, "IP" : {"fullname" : "Immunoprecipitation", "shortname":"IP"}, "WB" : {"fullname" : "Western blot", "shortname":"WB"}, "IHCP" : {"fullname" : "Immunohistochemistry (Formalin/PFA-fixed paraffin-embedded sections)", "shortname":"IHC-P"} }, "product-promise": { "all": "all", "testedAndGuaranteed": "tested", "guaranteed": "expected", "predicted": "predicted", "notRecommended": "not-recommended" } }, "values": { "Human": { "IP-species-checked": "testedAndGuaranteed", "IP-species-dilution-info": "", "IP-species-notes": "<p></p>", "WB-species-checked": "testedAndGuaranteed", "WB-species-dilution-info": "", "WB-species-notes": "<p></p>", "IHCP-species-checked": "testedAndGuaranteed", "IHCP-species-dilution-info": "", "IHCP-species-notes": "<p></p>" } } }

Product details

ab271984 is the carrier-free version of ab208777.

Patented technology
Our RabMAb® technology is a patented hybridoma-based technology for making rabbit monoclonal antibodies. For details on our patents, please refer to RabMAb® patents.

What are the advantages of a recombinant monoclonal antibody?
This product is a recombinant monoclonal antibody, which offers several advantages including:

  • - High batch-to-batch consistency and reproducibility
  • - Improved sensitivity and specificity
  • - Long-term security of supply
  • - Animal-free batch production

For more information, read more on recombinant antibodies.

Conjugation ready
Our carrier-free antibodies are typically supplied in a PBS-only formulation, purified and free of BSA, sodium azide and glycerol. This conjugation-ready format is designed for use with fluorochromes, metal isotopes, oligonucleotides, and enzymes, which makes them ideal for antibody labelling, functional and cell-based assays, flow-based assays (e.g. mass cytometry) and Multiplex Imaging applications.

Use our conjugation kits for antibody conjugates that are ready-to-use in as little as 20 minutes with 1 minute hands-on-time and 100% antibody recovery: available for fluorescent dyes, HRP, biotin and gold.

Compatibility
This product is compatible with the Maxpar® Antibody Labeling Kit from Fluidigm, without the need for antibody preparation. Maxpar® is a trademark of Fluidigm Canada Inc.

Properties and storage information

Form
Liquid
Purification technique
Affinity purification Protein A
Storage buffer
pH: 7.2 - 7.4 Constituents: PBS
Shipped at conditions
Blue Ice
Appropriate short-term storage conditions
+4°C
Appropriate long-term storage conditions
+4°C
Storage information
Do Not Freeze

Supplementary information

This supplementary information is collated from multiple sources and compiled automatically.

Granulin also known as progranulin or GRN is a protein with a molecular mass of approximately 68 kDa. This protein is encoded by the GRN gene and is involved in various cellular processes. Granulin is expressed widely within the body particularly in epithelial cells immune cells and neurons. Researchers have developed methods like GRN ELISA and progranulin ELISA to quantitatively measure the levels of granulin in biological samples aiding in further understanding of its role in health and disease.
Biological function summary

Granulin functions as a growth factor involved in tissue repair cell proliferation and inflammation. It does not function as part of a larger protein complex but acts individually in exerting its effects on cells. Granulin influences various aspects of cellular architecture and signaling pathways making it important for maintaining cellular homeostasis. Additionally the granulin protein participates in regulating networks that involve cytokines and growth factors impacting both the innate and adaptive immune responses.

Pathways

Granulin plays significant roles in the MAPK and NF-kB signaling pathways. These pathways critically manage cellular reactions to stress inflammation and other external stimuli. Granulin modulates these processes often interacting with proteins like TNF receptors and interleukins to affect the downstream signaling events. Interactions between granulin and other signaling molecules allow it to integrate into broader networks that oversee various biological responses.

Significant links exist between granulin mutations and frontotemporal dementia (FTD) and Alzheimer's disease. Mutations in the GRN gene often lead to reduced granulin levels contributing to neurodegenerative conditions. These mutations affect the protein's normal function promoting pathological mechanisms associated with neuronal deterioration. Granulin interacts with proteins such as TDP-43 in neurodegenerative diseases where alterations might result in protein aggregation and neurotoxicity. Understanding these connections can lead to potential therapeutic interventions targeting granulin-related pathways.

Product protocols

For this product, it's our understanding that no specific protocols are required. You can visit:

Target data

Secreted protein that acts as a key regulator of lysosomal function and as a growth factor involved in inflammation, wound healing and cell proliferation (PubMed : 12526812, PubMed : 18378771, PubMed : 28073925, PubMed : 28453791, PubMed : 28541286). Regulates protein trafficking to lysosomes, and also the activity of lysosomal enzymes (PubMed : 28453791, PubMed : 28541286). Also facilitates the acidification of lysosomes, causing degradation of mature CTSD by CTSB (PubMed : 28073925). In addition, functions as a wound-related growth factor that acts directly on dermal fibroblasts and endothelial cells to promote division, migration and the formation of capillary-like tubule structures (By similarity). Also promotes epithelial cell proliferation by blocking TNF-mediated neutrophil activation preventing release of oxidants and proteases (PubMed : 12526812). Moreover, modulates inflammation in neurons by preserving neurons survival, axonal outgrowth and neuronal integrity (PubMed : 18378771).. Granulin-4. Promotes proliferation of the epithelial cell line A431 in culture.. Granulin-3. Inhibits epithelial cell proliferation and induces epithelial cells to secrete IL-8.. Granulin-7. Stabilizes CTSD through interaction with CTSD leading to maintain its aspartic-type peptidase activity.
See full target information GRN

Product promise

We are committed to supporting your work with high-quality reagents, and we're here for you every step of the way. In the unlikely event that one of our products does not perform as expected, you're protected by our Product Promise.
For full details, please see our Terms & Conditions

Please note: All products are 'FOR RESEARCH USE ONLY. NOT FOR USE IN DIAGNOSTIC OR THERAPEUTIC PROCEDURES'.

For licensing inquiries, please contact partnerships@abcam.com