JavaScript is disabled in your browser. Please enable JavaScript to view this website.
AB209205

Anti-Granzyme A antibody [EPR20161]

Be the first to review this product! Submit a review

|

(9 Publications)

Anti-Granzyme A antibody [EPR20161] (ab209205) is a rabbit monoclonal antibody detecting Granzyme A in Western Blot, IHC-P. Suitable for Human.

- Biophysical QC for unrivalled batch-batch consistency

View Alternative Names

CTLA3, HFSP, GZMA, Granzyme A, CTL tryptase, Cytotoxic T-lymphocyte proteinase 1, Fragmentin-1, Granzyme-1, Hanukkah factor, H factor, HF

4 Images
Immunohistochemistry (Formalin/PFA-fixed paraffin-embedded sections) - Anti-Granzyme A antibody [EPR20161] (AB209205)
  • IHC-P

Supplier Data

Immunohistochemistry (Formalin/PFA-fixed paraffin-embedded sections) - Anti-Granzyme A antibody [EPR20161] (AB209205)

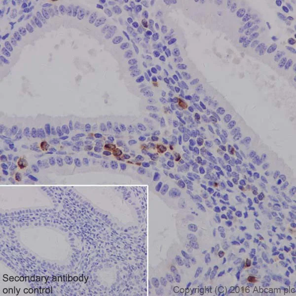
Immunohistochemical analysis of paraffin-embedded human endometrium tissue labeling Granzyme A with ab209205 at 1/100 dilution followed by Goat Anti-Rabbit IgG H&L (HRP) (ab97051) at 1/500 dilution.

Cytoplasmic staining on some stromal cells of human endometrium is observed.

Counter stained with Hematoxylin.

Secondary antibody only control : Used PBS instead of primary antibody secondary antibody is Goat Anti-Rabbit IgG H&L (HRP) (ab97051) at 1/500 dilution.

Perform heat mediated antigen retrieval with Tris/EDTA buffer pH 9.0 before commencing with IHC staining protocol.

Immunohistochemistry (Formalin/PFA-fixed paraffin-embedded sections) - Anti-Granzyme A antibody [EPR20161] (AB209205)
  • IHC-P

Supplier Data

Immunohistochemistry (Formalin/PFA-fixed paraffin-embedded sections) - Anti-Granzyme A antibody [EPR20161] (AB209205)

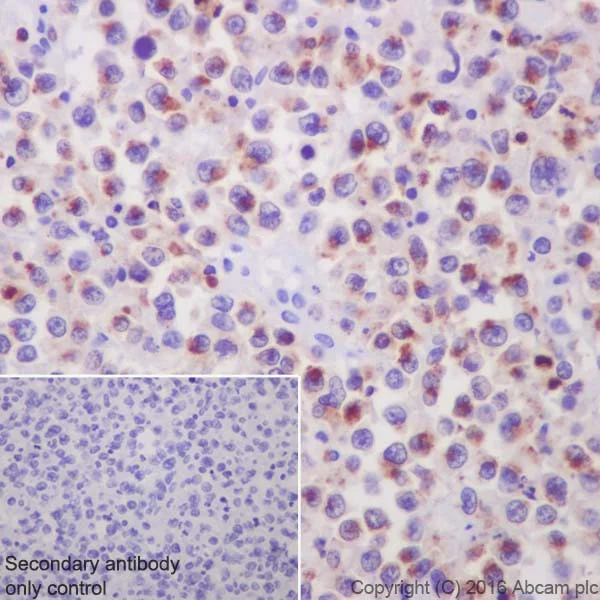
Immunohistochemical analysis of paraffin-embedded human spleen tissue labeling Granzyme A with ab209205 at 1/100 dilution followed by Goat Anti-Rabbit IgG H&L (HRP) (ab97051) at 1/500 dilution.

Cytoplasmic staining on human spleen is observed [PMID : 9637500].

Counter stained with Hematoxylin.

Secondary antibody only control : Used PBS instead of primary antibody secondary antibody is Goat Anti-Rabbit IgG H&L (HRP) (ab97051) at 1/500 dilution.

Perform heat mediated antigen retrieval with Tris/EDTA buffer pH 9.0 before commencing with IHC staining protocol.

Immunohistochemistry (Formalin/PFA-fixed paraffin-embedded sections) - Anti-Granzyme A antibody [EPR20161] (AB209205)
  • IHC-P

Supplier Data

Immunohistochemistry (Formalin/PFA-fixed paraffin-embedded sections) - Anti-Granzyme A antibody [EPR20161] (AB209205)

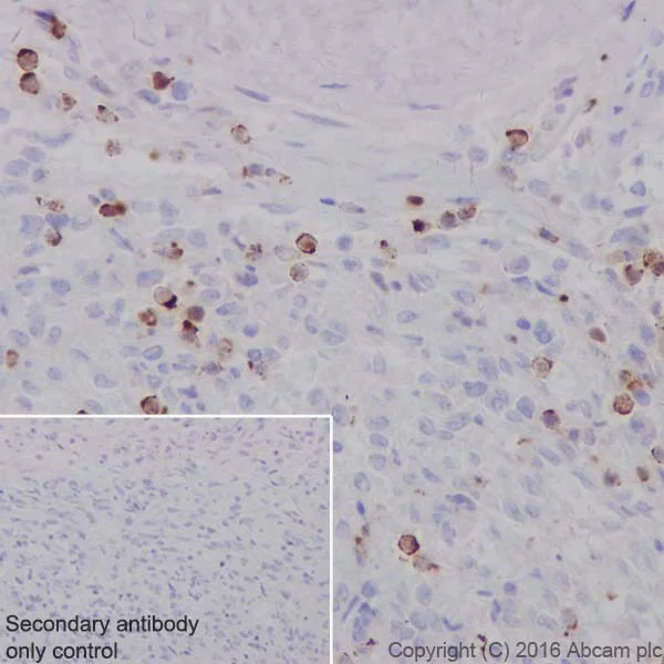
Immunohistochemical analysis of paraffin-embedded human NK/T lymphoma tissue labeling Granzyme A with ab209205 at 1/100 dilution followed by Goat Anti-Rabbit IgG H&L (HRP) (ab97051) at 1/500 dilution.

Cytoplasmic staining on human NK/T lymphoma is observed.

Counter stained with Hematoxylin.

Secondary antibody only control : Used PBS instead of primary antibody secondary antibody is Goat Anti-Rabbit IgG H&L (HRP) (ab97051) at 1/500 dilution.

Perform heat mediated antigen retrieval with Tris/EDTA buffer pH 9.0 before commencing with IHC staining protocol.

Western blot - Anti-Granzyme A antibody [EPR20161] (AB209205)
  • WB

Supplier Data

Western blot - Anti-Granzyme A antibody [EPR20161] (AB209205)

Blocking/Dilution buffer : 5% NFDM/TBST.

Exposure time : Lane 1 : 15 seconds, Lane 2 : 3 minutes, Lane 3 : 10 seconds, Lane 4 : 5 seconds.

All lanes:

Western blot - Anti-Granzyme A antibody [EPR20161] (ab209205) at 1/1000 dilution

Lane 1:

Human spleen lysate at 10 µg

Lane 2:

Human tonsil lysate at 10 µg

Lane 3:

Human lymph node lysate at 10 µg

Lane 4:

Human lung lysate at 20 µg

Secondary

Lanes 1 - 2:

Western blot - VeriBlot for IP Detection Reagent (HRP) (<a href='/en-us/products/reagents/veriblot-for-ip-detection-reagent-hrp-ab131366'>ab131366</a>) at 1/4000 dilution

Lanes 3 - 4:

Western blot - Goat Anti-Rabbit IgG H&L (HRP) (<a href='/en-us/products/secondary-antibodies/goat-rabbit-igg-h-l-hrp-ab97051'>ab97051</a>) at 1/100000 dilution

Predicted band size: 29 kDa

Observed band size: 28 kDa

false

  • Carrier free

    Anti-Granzyme A antibody [EPR20161] - BSA and Azide free

Key facts

Host species

Rabbit

Clonality

Monoclonal

Clone number

EPR20161

Isotype

IgG

Carrier free

No

Reacts with

Human

Applications

IHC-P, WB

applications

Immunogen

The exact immunogen used to generate this antibody is proprietary information.

Reactivity data

{ "title": "Reactivity Data", "filters": { "stats": ["", "Species", "Dilution Info", "Notes"], "tabs": { "all-applications": {"fullname" : "All Applications", "shortname": "All Applications"}, "WB" : {"fullname" : "Western blot", "shortname":"WB"}, "IHCP" : {"fullname" : "Immunohistochemistry (Formalin/PFA-fixed paraffin-embedded sections)", "shortname":"IHC-P"} }, "product-promise": { "all": "all", "testedAndGuaranteed": "tested", "guaranteed": "expected", "predicted": "predicted", "notRecommended": "not-recommended" } }, "values": { "Human": { "WB-species-checked": "testedAndGuaranteed", "WB-species-dilution-info": "1/1000", "WB-species-notes": "<p></p>", "IHCP-species-checked": "testedAndGuaranteed", "IHCP-species-dilution-info": "1/100", "IHCP-species-notes": "<p></p>" } } }

Product details

What is this antibody validated in?
Anti-Granzyme A antibody [EPR20161] (ab209205) is a rabbit recombinant monoclonal antibody and is validated for use in Western Blot (WB), Immunohistochemistry (IHC-P) in Human samples.

What is the molecular weight of Granzyme A?
Anti-Granzyme A [EPR20161] (ab209205) specifically detects a band for Granzyme A (UniProt: P12544) at a molecular weight of 29kDa.

Trial sizes available!
Test your antibody or perform pre-screening before committing to a larger quantity. Sold in 10µl. Discover our selection of trial-size antibodies.

Other related products
We have a range of other formats of antibody clone [EPR20161] also available for your convenience: ab209205, Carrier free - ab251499

Patented technology
Our RabMAb® technology is a patented hybridoma-based technology for making rabbit monoclonal antibodies. For details on our patents, please refer to RabMAb® patents.

What are the advantages of a recombinant monoclonal antibody?
This product is a recombinant monoclonal antibody, which offers several advantages including:

  • - High batch-to-batch consistency and reproducibility
  • - Improved sensitivity and specificity
  • - Long-term security of supply
  • - Animal-free batch production

For more information, read more on recombinant antibodies.

Properties and storage information

Form
Liquid
Purification technique
Affinity purification Protein A
Storage buffer
pH: 7.2 - 7.4 Preservative: 0.01% Sodium azide Constituents: PBS, 40% Glycerol (glycerin, glycerine), 0.05% BSA
Shipped at conditions
Blue Ice
Appropriate short-term storage duration
1-2 weeks
Appropriate short-term storage conditions
+4°C
Appropriate long-term storage conditions
-20°C
Aliquoting information
Upon delivery aliquot
Storage information
Avoid freeze / thaw cycle

Supplementary information

This supplementary information is collated from multiple sources and compiled automatically.

Granzyme A also known as CTLA3 or GZMA is a serine protease with a role in immune cell-mediated cytotoxicity. It has a molecular weight of approximately 27 kDa. This protein is primarily expressed in the granules of cytotoxic T lymphocytes (CTLs) and natural killer (NK) cells. Granzyme A gets released into the immunological synapse upon recognition of target cells by these immune cells facilitating the induction of target cell death.
Biological function summary

Functions of Granzyme A extend to inducing apoptosis in target cells alongside its role in promoting inflammation. It operates independent of caspases and directly cleaves substrates in the cell to induce cell death making it different from the related Granzyme B. As part of the granzyme-perforin complex it enters target cells via perforin-created pores mediates reactions leading to substrate degradation and promotes DNA damage.

Pathways

Granzyme A gets involved in the granule exocytosis pathway which constitutes an important mechanism for CTLs and NK cells to kill infected or cancerous cells. The protein is also linked to the inflammatory response pathways where it can interact with other serine proteases. Related proteins like perforin and Granzyme B also engage in these pathways and they collectively work to trigger apoptosis and modulate immune responses.

Impairments or dysregulation of Granzyme A function can contribute to autoimmune diseases and certain viral infections. Autoimmune diseases such as lupus may demonstrate altered levels or activity of Granzyme A associated with tissue damage and inflammation. During viral infections Granzyme A in conjunction with perforin and Granzyme B aids in eliminating infected cells but alterations in this balance could lead to ineffective immune responses or excessive tissue damage.

Product protocols

For this product, it's our understanding that no specific protocols are required. You can visit:

Target data

Abundant protease in the cytosolic granules of cytotoxic T-cells and NK-cells which activates caspase-independent pyroptosis when delivered into the target cell through the immunological synapse (PubMed : 12819770, PubMed : 32299851, PubMed : 3257574, PubMed : 3262682, PubMed : 3263427). It cleaves after Lys or Arg (PubMed : 12819770, PubMed : 32299851). Once delivered into the target cell, acts by catalyzing cleavage of gasdermin-B (GSDMB), releasing the pore-forming moiety of GSDMB, thereby triggering pyroptosis and target cell death (PubMed : 32299851, PubMed : 34022140, PubMed : 36157507, PubMed : 36899106). Cleaves APEX1 after 'Lys-31' and destroys its oxidative repair activity (PubMed : 12524539). Cleaves the nucleosome assembly protein SET after 'Lys-189', which disrupts its nucleosome assembly activity and allows the SET complex to translocate into the nucleus to nick and degrade the DNA (PubMed : 11555662, PubMed : 12628186, PubMed : 16818237).
See full target information GZMA

Publications (9)

Recent publications for all applications. Explore the full list and refine your search

Experimental & molecular medicine 56:2631-2641 PubMed39617789

2024

Distribution and impact of p16 senescent cells in elderly tissues: a focus on senescent immune cell and epithelial dysfunction.

Applications

Unspecified application

Species

Unspecified reactive species

Soon Sang Park,Young-Kyoung Lee,Young Hwa Kim,So Hyun Park,Hee Young Kang,Jin Cheol Kim,Dong Jun Kim,Su Bin Lim,Gyesoon Yoon,Jang-Hee Kim,Yong Won Choi,Tae Jun Park

BMC cancer 24:869 PubMed39030523

2024

Association of CD8TILs co-expressing granzyme A and interferon-γ with colon cancer cells in the tumor microenvironment.

Applications

Unspecified application

Species

Unspecified reactive species

Jiayi Yang,Xinyi Ding,Zhang Fang,Shaoxian Wu,Maoling Yuan,Rongzhang Chen,Qinlan Xu,Xinran Gao,Haoyu Wu,Lujun Chen,Xiao Zheng,Jingting Jiang

Journal of inflammation research 16:5865-5879 PubMed38076335

2023

Identification of Key Genes for Pyroptosis-Induced Salivary Gland Inflammation in Sjogren's Syndrome Based on Microarray Data and Immunohistochemistry Analysis.

Applications

Unspecified application

Species

Unspecified reactive species

Kaiyuan Zhang,Ziyue Luo,Xinchao Zhu,Xinyi Yao,Dingqi Lu,Liying Chen,Tao Hong,Yating Ren,Xinchang Wang

Molecular medicine (Cambridge, Mass.) 29:145 PubMed37884883

2023

Leveraging a disulfidptosis-related signature to predict the prognosis and immunotherapy effectiveness of cutaneous melanoma based on machine learning.

Applications

Unspecified application

Species

Unspecified reactive species

Yi Zhao,Yanjun Wei,Lingjia Fan,Yuanliu Nie,Jianan Li,Renya Zeng,Jixian Li,Xiang Zhan,Lingli Lei,Zhichao Kang,Jiaxin Li,Wentao Zhang,Zhe Yang

Cell death & disease 14:553 PubMed37620327

2023

Clinical-mediated discovery of pyroptosis in CD8 T cell and NK cell reveals melanoma heterogeneity by single-cell and bulk sequence.

Applications

Unspecified application

Species

Unspecified reactive species

Ying Zhang,Yun Bai,Xiao-Xuan Ma,Jian-Kun Song,Yue Luo,Xiao-Ya Fei,Yi Ru,Ying Luo,Jing-Si Jiang,Zhan Zhang,Dan Yang,Ting-Ting Xue,Hui-Ping Zhang,Tai-Yi Liu,Yan-Wei Xiang,Le Kuai,Ye-Qiang Liu,Bin Li

Nature communications 14:505 PubMed36720864

2023

Proteogenomics of diffuse gliomas reveal molecular subtypes associated with specific therapeutic targets and immune-evasion mechanisms.

Applications

Unspecified application

Species

Unspecified reactive species

Yunzhi Wang,Rongkui Luo,Xuan Zhang,Hang Xiang,Bing Yang,Jinwen Feng,Mengjie Deng,Peng Ran,Akesu Sujie,Fan Zhang,Jiajun Zhu,Subei Tan,Tao Xie,Pin Chen,Zixiang Yu,Yan Li,Dongxian Jiang,Xiaobiao Zhang,Jian-Yuan Zhao,Yingyong Hou,Chen Ding

Nature communications 13:1158 PubMed35241665

2022

Single-cell transcriptomics links malignant T cells to the tumor immune landscape in cutaneous T cell lymphoma.

Applications

Unspecified application

Species

Unspecified reactive species

Xiangjun Liu,Shanzhao Jin,Simeng Hu,Ruoyan Li,Haihao Pan,Yi Liu,Pan Lai,Deshu Xu,Jingru Sun,Ziyang Liu,Yumei Gao,Yifan Zhao,Fengjie Liu,Yu Xiao,Yingyi Li,Yujie Wen,Zhuojing Chen,Bufang Xu,Yuchieh Lin,Menglong Ran,Qianxi Li,Shuxia Yang,Hang Li,Ping Tu,Muzlifah Haniffa,Sarah A Teichmann,Fan Bai,Yang Wang

Journal of medicinal chemistry 63:3359-3369 PubMed32142286

2020

Detection of Active Granzyme A in NK92 Cells with Fluorescent Activity-Based Probe.

Applications

Unspecified application

Species

Unspecified reactive species

Sonia Kołt,Tomasz Janiszewski,Dion Kaiserman,Sylwia Modrzycka,Scott J Snipas,Guy Salvesen,Marcin Dra G,Phillip I Bird,Paulina Kasperkiewicz

Anticancer research 38:6631-6638 PubMed30504371

2018

Cytolytic Activity (CYT) Score Is a Prognostic Biomarker Reflecting Host Immune Status in Hepatocellular Carcinoma (HCC).

Applications

Unspecified application

Species

Unspecified reactive species

Hiroaki Wakiyama,Takaaki Masuda,Yushi Motomura,Qingjiang Hu,Taro Tobo,Hidetoshi Eguchi,Katsumi Sakamoto,Masakazu Hirakawa,Hiroshi Honda,Koshi Mimori
View all publications

Product promise

We are committed to supporting your work with high-quality reagents, and we're here for you every step of the way. In the unlikely event that one of our products does not perform as expected, you're protected by our Product Promise.
For full details, please see our Terms & Conditions

Please note: All products are 'FOR RESEARCH USE ONLY. NOT FOR USE IN DIAGNOSTIC OR THERAPEUTIC PROCEDURES'.

For licensing inquiries, please contact partnerships@abcam.com