JavaScript is disabled in your browser. Please enable JavaScript to view this website.
AB322896

Anti-Granzyme A antibody [RM2061]

  • 20ul selling size
  • BOND RX™ Validated
  • RabMAb
  • Recombinant
  • What is this?

Be the first to review this product! Submit a review

|

(0 Publication)

Rabbit Recombinant Multiclonal Granzyme A antibody. Suitable for Flow Cyt (Intra), WB, IHC-P, ICC/IF, IP and reacts with Transfected cell line - Human, Human samples.

View Alternative Names

CTLA3, HFSP, GZMA, Granzyme A, CTL tryptase, Cytotoxic T-lymphocyte proteinase 1, Fragmentin-1, Granzyme-1, Hanukkah factor, H factor, HF

13 Images
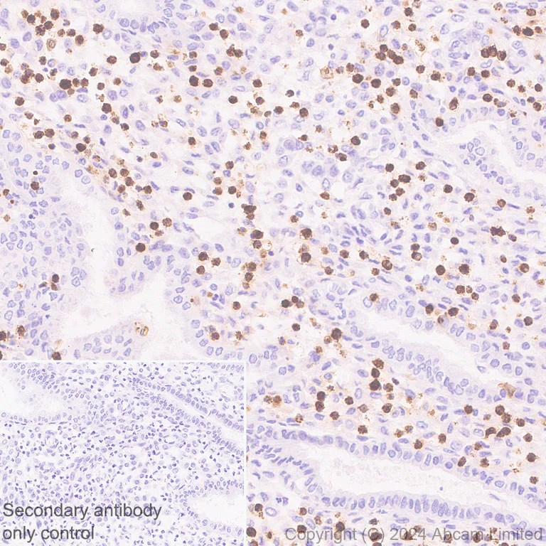
Immunohistochemistry (Formalin/PFA-fixed paraffin-embedded sections) - Anti-Granzyme A antibody [RM2061] (AB322896)
  • IHC-P

Supplier Data

Immunohistochemistry (Formalin/PFA-fixed paraffin-embedded sections) - Anti-Granzyme A antibody [RM2061] (AB322896)

Immunohistochemical analysis of paraffin-embedded Human endometrium tissue labeling Granzyme A with ab322896 at 1/1000 (0.493 ug/ml) dilution, followed by a ready to use LeicaDS9800 (Bond™ Polymer Refine Detection).

Positive staining in immune cells of human endometrium.
The section was incubated with ab322896 for 30 mins at room temperature.
The immunostaining was performed on a Leica Biosystems BOND® RX instrument

Counterstained with Hematoxylin.

Secondary antibody only control : Secondary antibody is a ready to use LeicaDS9800 (Bond™ Polymer Refine Detection).

Heat mediated antigen retrieval was performed with Tris-EDTA buffer (pH 9.0, Epitope Retrieval Solution2) for 20 mins

Flow Cytometry (Intracellular) - Anti-Granzyme A antibody [RM2061] (AB322896)
  • Flow Cyt (Intra)

Supplier Data

Flow Cytometry (Intracellular) - Anti-Granzyme A antibody [RM2061] (AB322896)

Flow cytometric analysis of 4% paraformaldehyde fixed 90% methanol permeabilized Isotype (Upper Left) / 293T (human embryonic kidney epithelial cell) transfected with an Granzyme A expression vector containing a myc-His-tag® (Upper Middle) / 293T cells transfected with an empty expression vector containing a myc-His-tag® (Upper Right) / 293T cells transfected with homologous human Granzyme expression vector (GrzmB, GrzmH, GrzmK, GrzmM) containing a myc-His-tag® (Lower). cells labelling Granzyme A with ab322896 at 1/50 dilution (1ug) compared with a Rabbit monoclonal IgG (ab172730) / Left isotype control and an unlabelled control (cells without incubation with primary antibody and secondary antibody).

Goat Anti-Rabbit IgG (Alexa Fluor® 488, ab150081) at 1/5000 dilution was used as the secondary antibody.

After fixation and permeability, cells were stained with anti-myc tag conjugated to Alexa Fluor® 647.
Crossreactivity with protein Granzyme B, Granzyme H, Granzyme K, Granzyme M were fully tested.

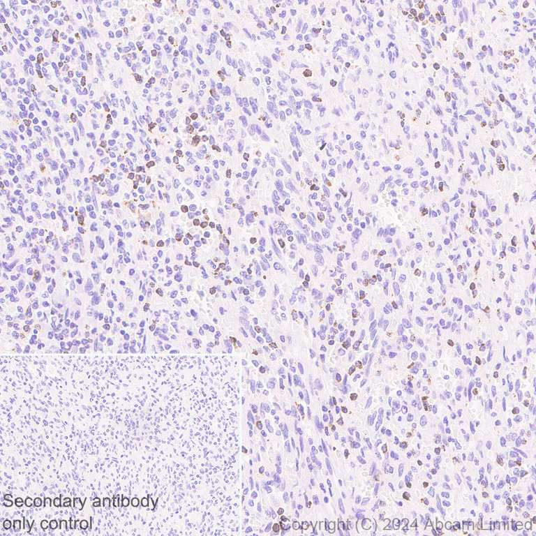
Immunohistochemistry (Formalin/PFA-fixed paraffin-embedded sections) - Anti-Granzyme A antibody [RM2061] (AB322896)
  • IHC-P

Supplier Data

Immunohistochemistry (Formalin/PFA-fixed paraffin-embedded sections) - Anti-Granzyme A antibody [RM2061] (AB322896)

Immunohistochemical analysis of paraffin-embedded Human ovarian cancer tissue labeling Granzyme A with ab322896 at 1/1000 (0.493 ug/ml) dilution, followed by a ready to use LeicaDS9800 (Bond™ Polymer Refine Detection).

Positive staining in immune cells of human ovarian cancer.
The section was incubated with ab322896 for 30 mins at room temperature.
The immunostaining was performed on a Leica Biosystems BOND® RX instrument

Counterstained with Hematoxylin.

Secondary antibody only control : Secondary antibody is a ready to use LeicaDS9800 (Bond™ Polymer Refine Detection).

Heat mediated antigen retrieval was performed with Tris-EDTA buffer (pH 9.0, Epitope Retrieval Solution2) for 20 mins

Immunocytochemistry/ Immunofluorescence - Anti-Granzyme A antibody [RM2061] (AB322896)
  • ICC/IF

Supplier Data

Immunocytochemistry/ Immunofluorescence - Anti-Granzyme A antibody [RM2061] (AB322896)

Immunofluorescent analysis of 4% Paraformaldehyde-fixed, 0.1% TritonX-100 permeabilized Human PBMC (Human primary peripheral blood mononuclear cell) cells labelling Granzyme A with ab322896 at 1/4000 (0.123 ug/ml) dilution, followed by ab150081 Goat Anti-Rabbit IgG H&L (Alexa Fluor® 488) preadsorbed antibody at 1/1000 2ug/ml dilution (Green).

Confocal image showing cytoplasmic staining in subsets of human PBMCs (shown in green). The counterstain was observed in magenta. Nuclear DNA was labelled with DAPI (shown in blue). Image was taken with a confocal microscope (Leica-Microsystems, TCS SP8).

ab195889 Anti-alpha Tubulin mouse monoclonal antibody - Microtubule Marker (Alexa Fluor® 594) was used to counterstain tubulin at 1/200 2.5ug/ml dilution (Magenta). The Nuclear counterstain was DAPI (Blue).

Secondary antibody only control : Secondary antibody is ab150081 Goat Anti-Rabbit IgG H&L (Alexa Fluor® 488) preadsorbed at 1/1000 2ug/ml dilution.

Flow Cytometry (Intracellular) - Anti-Granzyme A antibody [RM2061] (AB322896)
  • Flow Cyt (Intra)

Supplier Data

Flow Cytometry (Intracellular) - Anti-Granzyme A antibody [RM2061] (AB322896)

Flow cytometric analysis of 2% paraformaldehyde fixed 0.1% Tween-20 permeabilized Human PBMC(human peripheral blood mononuclear cell) cells labelling Granzyme A with ab322896 at 1/5000 dilution (0.01 ug) / Right compared with a Rabbit monoclonal IgG (ab172730) / Left isotype control and an unlabelled control (cells without incubation with primary antibody and secondary antibody).

Goat Anti-Rabbit IgG (Alexa Fluor® 488, ab150081) at 1/5000 dilution was used as the secondary antibody.

Cells were surface stained with anti-CD14 conjugated to Alexa Fluor®647. Then fixed with 2% PFA for 10min followed by intracellularly stained with isotype control (ab172730) or the antibody.

Flow Cytometry (Intracellular) - Anti-Granzyme A antibody [RM2061] (AB322896)
  • Flow Cyt (Intra)

Supplier Data

Flow Cytometry (Intracellular) - Anti-Granzyme A antibody [RM2061] (AB322896)

Flow cytometric analysis of 2% paraformaldehyde fixed 0.1% Tween-20 permeabilized Human PBMC(human peripheral blood mononuclear cell) cells labelling Granzyme A with ab322896 at 1/5000 dilution (0.01 ug) / Right compared with a Rabbit monoclonal IgG (ab172730) / Left isotype control and an unlabelled control (cells without incubation with primary antibody and secondary antibody).

Goat Anti-Rabbit IgG (Alexa Fluor® 488, ab150081) at 1/5000 dilution was used as the secondary antibody.

Cells were surface stained with anti-CD8 conjugated to Pacific Blue. Then fixed with 2% PFA for 10min followed by intracellularly stained with isotype control (ab172730) or the antibody.

Immunohistochemistry (Formalin/PFA-fixed paraffin-embedded sections) - Anti-Granzyme A antibody [RM2061] (AB322896)
  • IHC-P

Supplier Data

Immunohistochemistry (Formalin/PFA-fixed paraffin-embedded sections) - Anti-Granzyme A antibody [RM2061] (AB322896)

Immunohistochemical analysis of paraffin-embedded Human spleen tissue labeling Granzyme A with ab322896 at 1/1000 (0.493 ug/ml) dilution, followed by a ready to use LeicaDS9800 (Bond™ Polymer Refine Detection).

Positive staining in human spleen.
The section was incubated with ab322896 for 30 mins at room temperature.
The immunostaining was performed on a Leica Biosystems BOND® RX instrument

Counterstained with Hematoxylin.

Secondary antibody only control : Secondary antibody is a ready to use LeicaDS9800 (Bond™ Polymer Refine Detection).

Heat mediated antigen retrieval was performed with Tris-EDTA buffer (pH 9.0, Epitope Retrieval Solution2) for 20 mins

Immunocytochemistry/ Immunofluorescence - Anti-Granzyme A antibody [RM2061] (AB322896)
  • ICC/IF

Supplier Data

Immunocytochemistry/ Immunofluorescence - Anti-Granzyme A antibody [RM2061] (AB322896)

Immunofluorescent analysis of 4% Paraformaldehyde-fixed, 0.1% TritonX-100 permeabilized No-GFP-CD16.NK-92 (CD16 ectopically expressed natural killer(NK-92®) cell with no GFP tag) cells labelling Granzyme A with ab322896 at 1/4000 (0.123 ug/ml) dilution, followed by ab150081 Goat Anti-Rabbit IgG H&L (Alexa Fluor® 488) preadsorbed antibody at 1/1000 2ug/ml dilution (Green).

Confocal image showing cytoplasmic staining in No-GFP-CD16.NK-92 cell line (shown in green). The counterstain was observed in magenta. Nuclear DNA was labelled with DAPI (shown in blue).
Negative control : 293T.
Image was taken with a confocal microscope (Leica-Microsystems, TCS SP8).

ab195889 Anti-alpha Tubulin mouse monoclonal antibody - Microtubule Marker (Alexa Fluor® 594) was used to counterstain tubulin at 1/200 2.5ug/ml dilution (Magenta). The Nuclear counterstain was DAPI (Blue).

Secondary antibody only control : Secondary antibody is ab150081 Goat Anti-Rabbit IgG H&L (Alexa Fluor® 488) preadsorbed at 1/1000 2ug/ml dilution.

Flow Cytometry (Intracellular) - Anti-Granzyme A antibody [RM2061] (AB322896)
  • Flow Cyt (Intra)

Supplier Data

Flow Cytometry (Intracellular) - Anti-Granzyme A antibody [RM2061] (AB322896)

Flow cytometric analysis of 2% paraformaldehyde fixed 0.1% Tween-20 permeabilized Human PBMC(human peripheral blood mononuclear cell) cells labelling Granzyme A with ab322896 at 1/5000 dilution (0.01 ug) / Right compared with a Rabbit monoclonal IgG (ab172730) / Left isotype control and an unlabelled control (cells without incubation with primary antibody and secondary antibody).

Goat Anti-Rabbit IgG (Alexa Fluor® 488, ab150081) at 1/5000 dilution was used as the secondary antibody.

Cells were surface stained with anti-CD56 conjugated to PE. Then fixed with 2% PFA for 10min followed by intracellularly stained with isotype control (ab172730) or the antibody.

Flow Cytometry (Intracellular) - Anti-Granzyme A antibody [RM2061] (AB322896)
  • Flow Cyt (Intra)

Supplier Data

Flow Cytometry (Intracellular) - Anti-Granzyme A antibody [RM2061] (AB322896)

Flow cytometric analysis of 4% paraformaldehyde fixed 90% methanol permeabilized NK-92(human malignant non-Hodgkin's lymphoma natural killer cell, Right) / 293T(human embryonic kidney epithelial cell, Left) cells labelling Granzyme A with ab322896 at 1/5000 dilution (0.01 ug) / Right compared with a Rabbit monoclonal IgG (ab172730) / Left isotype control and an unlabelled control (cells without incubation with primary antibody and secondary antibody).

Goat Anti-Rabbit IgG (Alexa Fluor® 488, ab150081) at 1/5000 dilution was used as the secondary antibody.

Negative control : 293T.

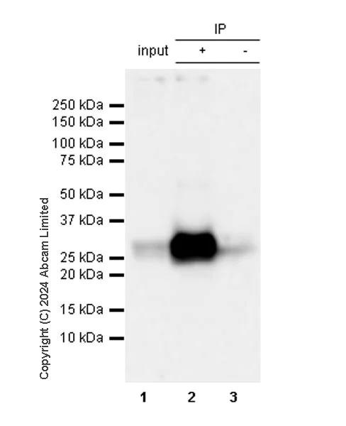
Immunoprecipitation - Anti-Granzyme A antibody [RM2061] (AB322896)
  • IP

Supplier Data

Immunoprecipitation - Anti-Granzyme A antibody [RM2061] (AB322896)

Granzyme A was immunoprecipitated from 0.35 mg No-GFP-CD16.NK-92 (CD16 ectopically expressed natural killer(NK-92®) cell with no GFP tag) whole cell lysate with ab322896 at 1/30 dilution (2ug in 0.35mg lysates). Western blot was performed on the immunoprecipitate using ab322896 at 1000 dilution. VeriBlot for IP secondary antibody(HRP)(ab131366) was used at 1/5000 dilution.

Lane 1 : No-GFP-CD16.NK-92 (CD16 ectopically expressed natural killer(NK-92®) cell with no GFP tag) whole cell lysate
Lane 2 : ab322896 IP in No-GFP-CD16.NK-92 (CD16 ectopically expressed natural killer(NK-92®) cell with no GFP tag) whole cell lysate
Lane 3 : Rabbit monoclonal IgG (ab172730) instead of ab322896 in No-GFP-CD16.NK-92 whole cell lysate

Blocking and dilution buffer and concentration : 5% NFDM/TBST

All lanes:

Immunoprecipitation - Anti-Granzyme A antibody [RM2061] (ab322896) at 1/30 dilution

All lanes:

No-GFP-CD16.NK-92 (CD16 ectopically expressed natural killer(NK-92®) cell with no GFP tag) whole cell lysate

Secondary

All lanes:

Immunoprecipitation - VeriBlot for IP Detection Reagent (HRP) (<a href='/en-us/products/reagents/veriblot-for-ip-detection-reagent-hrp-ab131366'>ab131366</a>) at 1/5000 dilution

false

Exposure time: 3s

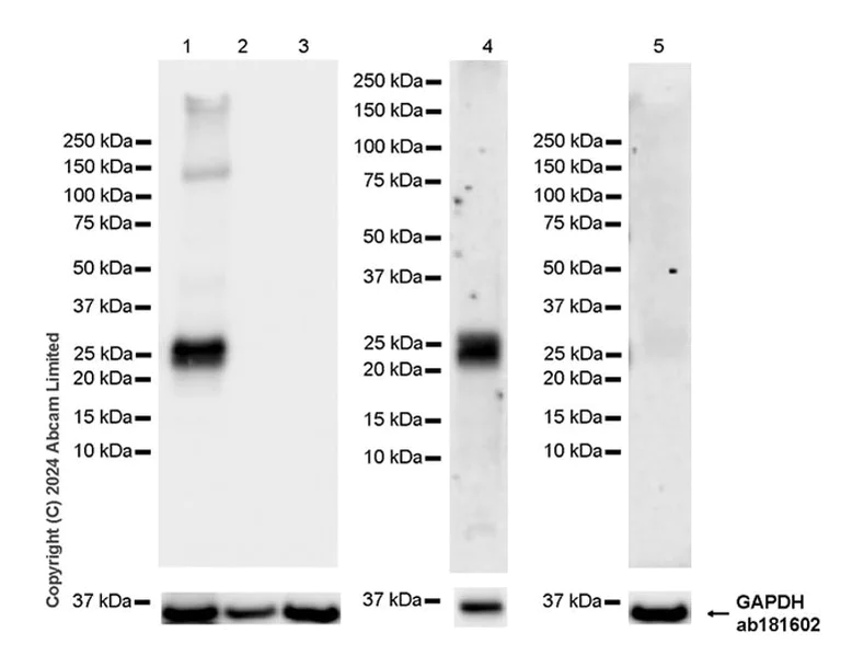
Western blot - Anti-Granzyme A antibody [RM2061] (AB322896)
  • WB

Supplier Data

Western blot - Anti-Granzyme A antibody [RM2061] (AB322896)

Blocking and diluting buffer and concentration : 5% NFDM/TBST.

Negative control : 293T, HeLa.

Negative control : cerebellum.

The expression profile/ molecular weight observed is consistent with what has been described in the literature (PMID : 10411926).

In Western blot, Anti-GAPDH antibody [EPR16891] - Loading Control (ab181602) staining at 1/200000 dilution.

Exposure time : Lanes 1-3 : 1 second, lanes 4-5 : 180 seconds

All lanes:

Western blot - Anti-Granzyme A antibody [RM2061] (ab322896) at 1/1000 dilution

Lane 1:

No-GFP-CD16.NK-92 (CD16 ectopically expressed natural killer(NK-92®) cell with no GFP tag) whole cell lysate at 20 µg

Lane 2:

293T (human embryonic kidney epithelial cell) whole cell lysate at 20 µg

Lane 3:

HeLa (human cervical adenocarcinoma epithelial cell) whole cell lysate at 20 µg

Lane 4:

Human spleen tissue lysate at 20 µg

Lane 5:

Human cerebellum tissue lysate at 20 µg

Secondary

All lanes:

Western blot - Goat Anti-Rabbit IgG H&L (HRP) (<a href='/en-us/products/secondary-antibodies/goat-rabbit-igg-h-l-hrp-ab97051'>ab97051</a>) at 1/100000 dilution

Observed band size: 24 kDa,26 kDa,36 kDa

false

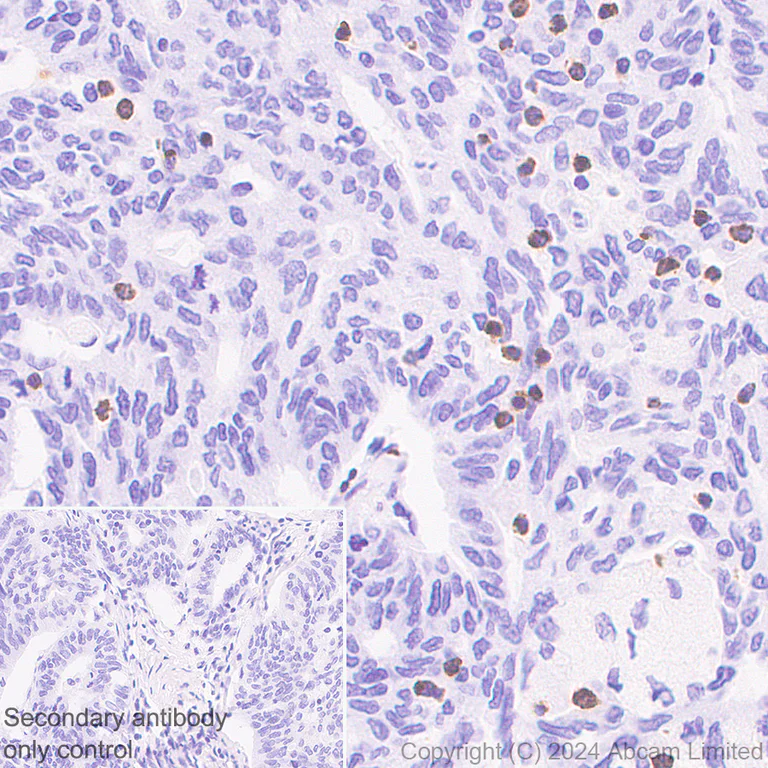
Immunohistochemistry (Formalin/PFA-fixed paraffin-embedded sections) - Anti-Granzyme A antibody [RM2061] (AB322896)
  • IHC-P

Supplier Data

Immunohistochemistry (Formalin/PFA-fixed paraffin-embedded sections) - Anti-Granzyme A antibody [RM2061] (AB322896)

Immunohistochemical analysis of paraffin-embedded Human cerebrum tissue labeling Granzyme A with ab322896 at 1/1000 (0.493 ug/ml) dilution, followed by a ready to use LeicaDS9800 (Bond™ Polymer Refine Detection).

Negative control : No staining in human cerebrum.
The section was incubated with ab322896 for 30 mins at room temperature.
The immunostaining was performed on a Leica Biosystems BOND® RX instrument

Counterstained with Hematoxylin.

Secondary antibody only control : Secondary antibody is a ready to use LeicaDS9800 (Bond™ Polymer Refine Detection).

Heat mediated antigen retrieval was performed with Tris-EDTA buffer (pH 9.0, Epitope Retrieval Solution2) for 20 mins

Key facts

Host species

Rabbit

Clonality

Multiclonal

Clone number

RM2061

Isotype

IgG

Carrier free

No

Reacts with

Human

Applications

IP, Flow Cyt (Intra), ICC/IF, IHC-P, WB

applications

Immunogen

The exact immunogen used to generate this antibody is proprietary information.

Reactivity data

{ "title": "Reactivity Data", "filters": { "stats": ["", "Species", "Dilution Info", "Notes"], "tabs": { "all-applications": {"fullname" : "All Applications", "shortname": "All Applications"}, "FlowCytIntra" : {"fullname" : "Flow Cytometry (Intracellular)", "shortname":"Flow Cyt (Intra)"}, "WB" : {"fullname" : "Western blot", "shortname":"WB"}, "IHCP" : {"fullname" : "Immunohistochemistry (Formalin/PFA-fixed paraffin-embedded sections)", "shortname":"IHC-P"}, "ICCIF" : {"fullname" : "Immunocytochemistry/ Immunofluorescence", "shortname":"ICC/IF"}, "IP" : {"fullname" : "Immunoprecipitation", "shortname":"IP"} }, "product-promise": { "all": "all", "testedAndGuaranteed": "tested", "guaranteed": "expected", "predicted": "predicted", "notRecommended": "not-recommended" } }, "values": { "Human": { "FlowCytIntra-species-checked": "testedAndGuaranteed", "FlowCytIntra-species-dilution-info": "1/5000", "FlowCytIntra-species-notes": "<p></p>", "WB-species-checked": "testedAndGuaranteed", "WB-species-dilution-info": "1/1000", "WB-species-notes": "<p></p>", "IHCP-species-checked": "testedAndGuaranteed", "IHCP-species-dilution-info": "1/1000", "IHCP-species-notes": "<p></p> Perform heat-mediated antigen retrieval with Tris/EDTA buffer pH 9.0 before commencing with IHC staining protocol.", "ICCIF-species-checked": "testedAndGuaranteed", "ICCIF-species-dilution-info": "1/4000", "ICCIF-species-notes": "<p></p>", "IP-species-checked": "testedAndGuaranteed", "IP-species-dilution-info": "1/30", "IP-species-notes": "<p></p>" }, "Transfected cell line - Human": { "FlowCytIntra-species-checked": "testedAndGuaranteed", "FlowCytIntra-species-dilution-info": "1/50", "FlowCytIntra-species-notes": "<p></p>", "WB-species-checked": "notRecommended", "WB-species-dilution-info": "", "WB-species-notes": "", "IHCP-species-checked": "notRecommended", "IHCP-species-dilution-info": "", "IHCP-species-notes": "", "ICCIF-species-checked": "notRecommended", "ICCIF-species-dilution-info": "", "ICCIF-species-notes": "", "IP-species-checked": "notRecommended", "IP-species-dilution-info": "", "IP-species-notes": "" } } }

Product details

What are recombinant multiclonals?
Recombinant multiclonals are a mixture of recombinant antibodies co-expressed from a library of heavy and light chains. They offer several advantages including:

  • - The sensitivity of polyclonal antibodies by recognising multiple epitopes
  • - High batch-to-batch consistency and reproducibility
  • - Improved sensitivity and specificity
  • - Long-term security of supply
  • - Animal-free batch production

View our range of recombinant multiclonal antibodies.

Patented technology
Our RabMAb® technology is a patented hybridoma-based technology for making rabbit monoclonal antibodies. For details on our patents, please refer to RabMAb® patents.

Properties and storage information

Form
Liquid
Purification technique
Affinity purification Protein A
Storage buffer
pH: 7.2 - 7.4 Preservative: 0.01% Sodium azide Constituents: PBS, 40% Glycerol (glycerin, glycerine), 0.05% BSA
Shipped at conditions
Blue Ice
Appropriate short-term storage duration
1-2 weeks
Appropriate short-term storage conditions
+4°C
Appropriate long-term storage conditions
-20°C
Aliquoting information
Upon delivery aliquot
Storage information
Avoid freeze / thaw cycle

Product protocols

For this product, it's our understanding that no specific protocols are required. You can visit:

Target data

Abundant protease in the cytosolic granules of cytotoxic T-cells and NK-cells which activates caspase-independent pyroptosis when delivered into the target cell through the immunological synapse (PubMed : 12819770, PubMed : 32299851, PubMed : 3257574, PubMed : 3262682, PubMed : 3263427). It cleaves after Lys or Arg (PubMed : 12819770, PubMed : 32299851). Once delivered into the target cell, acts by catalyzing cleavage of gasdermin-B (GSDMB), releasing the pore-forming moiety of GSDMB, thereby triggering pyroptosis and target cell death (PubMed : 32299851, PubMed : 34022140, PubMed : 36157507, PubMed : 36899106). Cleaves APEX1 after 'Lys-31' and destroys its oxidative repair activity (PubMed : 12524539). Cleaves the nucleosome assembly protein SET after 'Lys-189', which disrupts its nucleosome assembly activity and allows the SET complex to translocate into the nucleus to nick and degrade the DNA (PubMed : 11555662, PubMed : 12628186, PubMed : 16818237).
See full target information GZMA

Product promise

We are committed to supporting your work with high-quality reagents, and we're here for you every step of the way. In the unlikely event that one of our products does not perform as expected, you're protected by our Product Promise.
For full details, please see our Terms & Conditions

Please note: All products are 'FOR RESEARCH USE ONLY. NOT FOR USE IN DIAGNOSTIC OR THERAPEUTIC PROCEDURES'.

For licensing inquiries, please contact partnerships@abcam.com