JavaScript is disabled in your browser. Please enable JavaScript to view this website.
AB4059

Anti-Granzyme B antibody

4

(22 Reviews)

|

(165 Publications)

Anti-Granzyme B antibody (ab4059) is a rabbit polyclonal antibody detecting Granzyme B in IHC-P. Suitable for Human.

- Over 160 publications
- Trusted since 2003

View Alternative Names

CGL1, CSPB, CTLA1, GRB, GZMB, Granzyme B, C11, CTLA-1, Cathepsin G-like 1, Cytotoxic T-lymphocyte proteinase 2, Fragmentin-2, Granzyme-2, Human lymphocyte protein, SECT, T-cell serine protease 1-3E, CTSGL1, Lymphocyte protease, HLP

2 Images
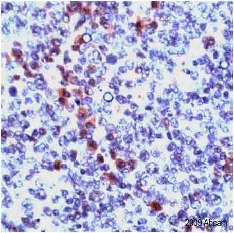
Immunohistochemistry (Formalin/PFA-fixed paraffin-embedded sections) - Anti-Granzyme B antibody (AB4059)
  • IHC-P

Unknown

Immunohistochemistry (Formalin/PFA-fixed paraffin-embedded sections) - Anti-Granzyme B antibody (AB4059)

Human tonsil tissue stained with anti-Granzyme B antibody (ab4059).

Immunohistochemistry (Formalin/PFA-fixed paraffin-embedded sections) - Anti-Granzyme B antibody (AB4059)
  • IHC-P

PubMed

Immunohistochemistry (Formalin/PFA-fixed paraffin-embedded sections) - Anti-Granzyme B antibody (AB4059)

Cytotoxic effector cells and regulatory T cells in human glioblastoma xenograft growing in immunocompetent rats.

Granzyme B-positive cytotoxic cells (ab4059 at a 1/75 dilution) in a GBM xenograft with rejection. Asterisks mark tissue lyzed by effector cells.

Huszthy et al PLoS One. 2015 Aug 20;10(8):e0136089. doi: 10.1371/journal.pone.0136089. eCollection 2015. Fig 5. Reproduced under the Creative Commons license http://creativecommons.org/licenses/by/4.0/

Key facts

Host species

Rabbit

Clonality

Polyclonal

Isotype

IgG

Carrier free

No

Reacts with

Human

Applications

IHC-P

applications

Immunogen

The exact immunogen used to generate this antibody is proprietary information.

Specificity

The immunogen used for this product shares 94% homology with Granzyme H. Cross-reactivity with this protein has not been confirmed experimentally.

Reactivity data

{ "title": "Reactivity Data", "filters": { "stats": ["", "Species", "Dilution Info", "Notes"], "tabs": { "all-applications": {"fullname" : "All Applications", "shortname": "All Applications"}, "IHCP" : {"fullname" : "Immunohistochemistry (Formalin/PFA-fixed paraffin-embedded sections)", "shortname":"IHC-P"} }, "product-promise": { "all": "all", "testedAndGuaranteed": "tested", "guaranteed": "expected", "predicted": "predicted", "notRecommended": "not-recommended" } }, "values": { "Human": { "IHCP-species-checked": "testedAndGuaranteed", "IHCP-species-dilution-info": "1/100", "IHCP-species-notes": "<p></p> Perform heat-mediated antigen retrieval before commencing with IHC staining protocol." }, "Mouse": { "IHCP-species-checked": "predicted", "IHCP-species-dilution-info": "", "IHCP-species-notes": "" }, "Rat": { "IHCP-species-checked": "predicted", "IHCP-species-dilution-info": "", "IHCP-species-notes": "" }, "Common marmoset": { "IHCP-species-checked": "predicted", "IHCP-species-dilution-info": "", "IHCP-species-notes": "" }, "Pig": { "IHCP-species-checked": "predicted", "IHCP-species-dilution-info": "", "IHCP-species-notes": "" } } }

Have you thought about this alternative?

AB208586

Anti-Granzyme B antibody [EPR20129-217]

0
0 Reviews
View product

We’re constantly upgrading our range to offer the highest quality products. We have selected this alternative product for your review because it gives improved performance, is easier and more convenient to use, or is available faster.

Product details

Properties and storage information

Form
Liquid
Purification technique
Affinity purification Immunogen
Storage buffer
pH: 7.6 Preservative: 0.1% Sodium azide Constituents: PBS, 1% BSA
Shipped at conditions
Blue Ice
Appropriate short-term storage conditions
+4°C
Appropriate long-term storage conditions
-20°C
Aliquoting information
Upon delivery aliquot
Storage information
Avoid freeze / thaw cycle

Supplementary information

This supplementary information is collated from multiple sources and compiled automatically.

Granzyme B also known as GZMB GB11 or granzyme B protein is a serine protease with a molecular mass of approximately 32 kDa. It is expressed mainly in cytotoxic T lymphocytes and natural killer (NK) cells. This enzyme plays a mechanical role in inducing apoptosis in target cells serving as an effector protein in the immune system's defense against virally infected cells or transformed cancer cells. The activity of granzyme B relies on its ability to cleave after aspartate residues in substrate proteins leading to the activation of apoptotic pathways.
Biological function summary

Granzyme B participates prominently in the immune response by activating caspases particularly caspase-3 which promotes the breakdown of cellular components necessary for apoptosis. Granzyme B does not function in isolation but acts in concert with other immune system factors such as perforin to effectively induce cell death. Perforin creates pores in the target cell membrane allowing granzyme B to enter and instigate the apoptosis sequence. The enzyme also contributes to the processing of cytokines which enhances the immune response further.

Pathways

Studies have determined that granzyme B is critical in the apoptosis pathway particularly in the granule exocytosis pathway. It closely interacts with proteins such as perforin and other granzymes to mediate apoptosis in target cells. Granzyme B also plays a role in the inflammatory response and can influence pathways associated with cytotoxic T cell signaling. Its pathway interactions ensure effective elimination of damaged or infected cells maintaining tissue homeostasis.

Granzyme B has associations with autoimmune diseases and cancer. Abnormally high levels of granzyme B can contribute to tissue damage and inflammation in autoimmune conditions like rheumatoid arthritis. In the context of cancer granzyme B aids in tumor surveillance and destruction when functioning correctly but impaired granzyme B activity can lead to evasion of immune detection by cancerous cells. Perforin also plays a role in these conditions closely working with granzyme B to either protect against or drive disease progression.

Product protocols

For this product, it's our understanding that no specific protocols are required. You can visit:

Target data

Abundant protease in the cytosolic granules of cytotoxic T-cells and NK-cells which activates caspase-independent pyroptosis when delivered into the target cell through the immunological synapse (PubMed : 1985927, PubMed : 3262682, PubMed : 3263427). It cleaves after Asp (PubMed : 1985927, PubMed : 8258716). Once delivered into the target cell, acts by catalyzing cleavage of gasdermin-E (GSDME), releasing the pore-forming moiety of GSDME, thereby triggering pyroptosis and target cell death (PubMed : 31953257, PubMed : 32188940). Seems to be linked to an activation cascade of caspases (aspartate-specific cysteine proteases) responsible for apoptosis execution. Cleaves caspase-3, -9 and -10 (CASP3, CASP9 and CASP10, respectively) to give rise to active enzymes mediating apoptosis (PubMed : 9852092). Cleaves and activates CASP7 in response to bacterial infection, promoting plasma membrane repair (By similarity).
See full target information GZMB

Publications (165)

Recent publications for all applications. Explore the full list and refine your search

Nature biomedical engineering 8:345-360 PubMed38114742

2023

Analysis of off-tumour toxicities of T-cell-engaging bispecific antibodies via donor-matched intestinal organoids and tumouroids.

Applications

Unspecified application

Species

Unspecified reactive species

Marius F Harter,Timothy Recaldin,Regine Gerard,Blandine Avignon,Yannik Bollen,Cinzia Esposito,Karolina Guja-Jarosz,Kristina Kromer,Adrian Filip,Julien Aubert,Anneliese Schneider,Marina Bacac,Michael Bscheider,Nadine Stokar-Regenscheit,Salvatore Piscuoglio,Joep Beumer,Nikolche Gjorevski

Nature communications 14:7235 PubMed37945606

2023

Sphingomyelin-derived nanovesicles for the delivery of the IDO1 inhibitor epacadostat enhance metastatic and post-surgical melanoma immunotherapy.

Applications

Unspecified application

Species

Unspecified reactive species

Zhiren Wang,Wenpan Li,Yanhao Jiang,Tuyen Ba Tran,Leyla Estrella Cordova,Jinha Chung,Minhyeok Kim,Georg Wondrak,Jennifer Erdrich,Jianqin Lu

iScience 26:108353 PubMed38053639

2023

TIGIT contributes to the regulation of 4-1BB and does not define NK cell dysfunction in glioblastoma.

Applications

Unspecified application

Species

Unspecified reactive species

Kyle B Lupo,Sandra Torregrosa-Allen,Bennett D Elzey,Sagar Utturkar,Nadia A Lanman,Aaron A Cohen-Gadol,Veronika Slivova,MacKenzie McIntosh,Karen E Pollok,Sandro Matosevic

Nature communications 14:5665 PubMed37704631

2023

MYC Deregulation and PTEN Loss Model Tumor and Stromal Heterogeneity of Aggressive Triple-Negative Breast Cancer.

Applications

Unspecified application

Species

Unspecified reactive species

Zinab O Doha,Xiaoyan Wang,Nicholas L Calistri,Jennifer Eng,Colin J Daniel,Luke Ternes,Eun Na Kim,Carl Pelz,Michael Munks,Courtney Betts,Sunjong Kwon,Elmar Bucher,Xi Li,Trent Waugh,Zuzana Tatarova,Dylan Blumberg,Aaron Ko,Nell Kirchberger,Jennifer A Pietenpol,Melinda E Sanders,Ellen M Langer,Mu-Shui Dai,Gordon Mills,Koei Chin,Young Hwan Chang,Lisa M Coussens,Joe W Gray,Laura M Heiser,Rosalie C Sears

Biomedicines 11: PubMed37626777

2023

Combined Inhibition of Indolamine-2,3-Dioxygenase 1 and C-X-C Chemokine Receptor Type 2 Exerts Antitumor Effects in a Preclinical Model of Cervical Cancer.

Applications

Unspecified application

Species

Unspecified reactive species

Solangy Lizcano-Meneses,Rogelio Hernández-Pando,Ian García-Aguirre,José Bonilla-Delgado,Víctor Manuel Alvarado-Castro,Bulmaro Cisneros,Patricio Gariglio,Enoc Mariano Cortés-Malagón

Journal of experimental & clinical cancer research : CR 42:192 PubMed37537587

2023

Lysosome blockade induces divergent metabolic programs in macrophages and tumours for cancer immunotherapy.

Applications

Unspecified application

Species

Unspecified reactive species

Jing Ma,Ruijuan Ma,Xueke Zeng,Liming Zhang,Jianing Liu,Wei Zhang,Tao Li,Hanjing Niu,Guochen Bao,Chaojie Wang,Peng George Wang,Jiajia Wang,Xia Li,Taotao Zou,Songqiang Xie

Cancer immunology, immunotherapy : CII 72:3593-3608 PubMed37526659

2023

Reovirus combined with a STING agonist enhances anti-tumor immunity in a mouse model of colorectal cancer.

Applications

Unspecified application

Species

Unspecified reactive species

Naomi Sugimura,Eiji Kubota,Yoshinori Mori,Mineyoshi Aoyama,Mamoru Tanaka,Takaya Shimura,Satoshi Tanida,Randal N Johnston,Hiromi Kataoka

Frontiers in cellular and infection microbiology 13:1165790 PubMed37180444

2023

Intratumoral microbiome impacts immune infiltrates in tumor microenvironment and predicts prognosis in esophageal squamous cell carcinoma patients.

Applications

Unspecified application

Species

Unspecified reactive species

Shuyue Zhang,Shuishen Zhang,Xiaofan Ma,Jing Zhan,Chuqing Pan,Huizhong Zhang,Xiuying Xie,Jing Wen,Xuan Xie

Journal of cellular physiology 238:1507-1519 PubMed37062941

2023

IFI16/Ifi202 released from breast cancer induces secretion of inflammatory cytokines from macrophages and promotes tumor growth.

Applications

Unspecified application

Species

Unspecified reactive species

Ga Young Lim,Sun Wook Cho,Na-Lee Ka,Kyung-Hun Lee,Seock-Ah Im,Seung-Su Kim,Sewon Hwang,Mi-Ock Lee

MedComm 4:e242 PubMed37009412

2023

Macrophages facilitate tumor cell PD-L1 expression via an IL-1β-centered loop to attenuate immune checkpoint blockade.

Applications

Unspecified application

Species

Unspecified reactive species

Cheng Xu,Yu Xia,Bai-Wei Zhang,Emmanuel Kwateng Drokow,Hua-Yi Li,Sen Xu,Zhen Wang,Si-Yuan Wang,Ping Jin,Tian Fang,Xiao-Ming Xiong,Pu Huang,Ning Jin,Jia-Hong Tan,Qing Zhong,Yu-Xin Chen,Qi Zhang,Yong Fang,Fei Ye,Qing-Lei Gao
View all publications

Product promise

We are committed to supporting your work with high-quality reagents, and we're here for you every step of the way. In the unlikely event that one of our products does not perform as expected, you're protected by our Product Promise.
For full details, please see our Terms & Conditions

Associated Products

Select an associated product type
Alternative Product
Primary Antibodies

AB243879

Anti-Granzyme B antibody [BLR022E]

primary-antibodies

granzyme-b-antibody-blr022e-ab243879

0

(0 reviews)

Alternative Product
Primary Antibodies

AB225185

Alexa Fluor® 647 Anti-Granzyme B antibody [EPR8260]

primary-antibodies

alexa-fluor-647-granzyme-b-antibody-epr8260-ab225185

0

(0 reviews)

Alternative Product
Primary Antibodies

AB134933

Anti-Granzyme B antibody [EPR8260]

primary-antibodies

granzyme-b-antibody-epr8260-ab134933

5

(2 reviews)

Alternative Product
Primary Antibodies

AB219803

Anti-Granzyme B antibody [EPR20129-217] - BSA and Azide free

primary-antibodies

granzyme-b-antibody-epr20129-217-bsa-and-azide-free-ab219803

4

(4 reviews)

Alternative Product
Primary Antibodies

AB214443

Anti-Granzyme B antibody [EPR8260] - Low endotoxin, Azide free

primary-antibodies

granzyme-b-antibody-epr8260-low-endotoxin-azide-free-ab214443

0

(0 reviews)

Please note: All products are 'FOR RESEARCH USE ONLY. NOT FOR USE IN DIAGNOSTIC OR THERAPEUTIC PROCEDURES'.

For licensing inquiries, please contact partnerships@abcam.com