JavaScript is disabled in your browser. Please enable JavaScript to view this website.
AB208586

Anti-Granzyme B antibody [EPR20129-217]

  • BOND RX™ Validated
  • 20ul selling size
  • RabMAb
  • Advanced Validation
  • Recombinant
  • What is this?

Be the first to review this product! Submit a review

|

(10 Publications)

Anti-Granzyme B antibody [EPR20129-217] (ab208586) is a rabbit monoclonal antibody detecting Granzyme B in Western Blot, IHC-P, mIHC. Suitable for Human.

- Multiplex IHC validated on the Leica BOND® MAX using Opal reagents
- Biophysical QC for unrivalled batch-batch consistency

View Alternative Names

CGL1, CSPB, CTLA1, GRB, GZMB, Granzyme B, C11, CTLA-1, Cathepsin G-like 1, Cytotoxic T-lymphocyte proteinase 2, Fragmentin-2, Granzyme-2, Human lymphocyte protein, SECT, T-cell serine protease 1-3E, CTSGL1, Lymphocyte protease, HLP

9 Images
Multiplex immunohistochemistry - Anti-Granzyme B antibody [EPR20129-217] (AB208586)
  • mIHC

Collaborator

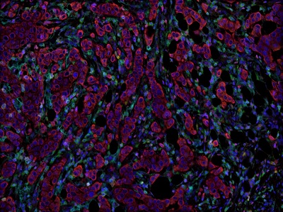
Multiplex immunohistochemistry - Anti-Granzyme B antibody [EPR20129-217] (AB208586)

Fluorescence multiplex immunohistochemical analysis of Human breast cancer tissue (formalin-fixed paraffin-embedded section).

Merged staining of Anti-PD-L1 (ab251611; cyan; Opal™ 520), Anti-Granzyme B (ab219803; yellow; Opal™ 540), Anti-PD1 (ab251613; magenta; Opal™ 570), Anti-pan Cytokeratin (ab264485; red; Opal™ 620), Anti-EpCAM (ab225894; red; Opal™ 620), Anti-CD8 alpha (ab251596; green; Opal™ 650) and Anti-FOXP3 (ab96048; orange; Opal™ 690). EpCAM and pan-cytokeratin share the same dye and color. Dyes are pseudo-colored for better contrast of the markers.

The immunostaining was performed on a Leica Biosystems BOND® MAX instrument with an Opal™ 6-Plex Detection Kit (NEL821001KT, Akoya Biosciences®).

The section was incubated in six rounds of staining; sequentially for ab251611 (1/750 dilution), ab219803 (1/250 dilution), ab251613 (1/750 dilution), ab264485 (0.5 μg/ml), ab225894 (1/1250 dilution), ab251596 (1/1500 dilution) and ab96048 (10 μg/ml); each using a separate fluorescent tyramide signal amplification system. EDTA based antigen retrieval (Leica Biosystems BOND® Epitope Retrieval Solution 2, pH 9.0, 20 minutes) was used in between rounds of tyramide signal amplification to remove the antibody from the previous round, to avoid any cross-reactivity. DAPI (dark blue) was used as a nuclear counter stain.
Microscopy and pseudocoloring of individual Opal™ dyes was performed using a Vectra 3 Imaging System (Akoya Biosciences®).

This data is courtesy of ImmunoAtlas and it can be found here.

This image is courtesy of ImmunoAtlas.

Immunohistochemistry (Formalin/PFA-fixed paraffin-embedded sections) - Anti-Granzyme B antibody [EPR20129-217] (AB208586)
  • IHC-P

Supplier Data

Immunohistochemistry (Formalin/PFA-fixed paraffin-embedded sections) - Anti-Granzyme B antibody [EPR20129-217] (AB208586)

Immunohistochemical analysis of paraffin-embedded human cervix cancer tissue labeling Granzyme B with ab208586 at 1/250 dilution, followed by Goat Anti-Rabbit IgG H&L (HRP) (ab97051) at 1/500 dilution. Cytoplasmic staining on neutrophils and stroma cells of human cervix cancer is observed [PMID : 14512315]. Counter stained with Hematoxylin.

Secondary antibody only control : Used PBS instead of primary antibody, secondary antibody is Goat Anti-Rabbit IgG H&L (HRP) (ab97051) at 1/500 dilution.

Perform heat mediated antigen retrieval with Tris/EDTA buffer pH 9.0 before commencing with IHC staining protocol.

Immunohistochemistry (Formalin/PFA-fixed paraffin-embedded sections) - Anti-Granzyme B antibody [EPR20129-217] (AB208586)
  • IHC-P

Supplier Data

Immunohistochemistry (Formalin/PFA-fixed paraffin-embedded sections) - Anti-Granzyme B antibody [EPR20129-217] (AB208586)

Immunohistochemical analysis of paraffin-embedded human colon tissue labeling Granzyme B with ab208586 at 1/250 dilution, followed by Goat Anti-Rabbit IgG H&L (HRP) (ab97051) at 1/500 dilution. Cytoplasmic staining on some stromal cells of human colon is observed. Counter stained with Hematoxylin.

Secondary antibody only control : Used PBS instead of primary antibody, secondary antibody is Goat Anti-Rabbit IgG H&L (HRP) (ab97051) at 1/500 dilution.

Perform heat mediated antigen retrieval with Tris/EDTA buffer pH 9.0 before commencing with IHC staining protocol.

Multiplex immunohistochemistry - Anti-Granzyme B antibody [EPR20129-217] (AB208586)
  • mIHC

Collaborator

Multiplex immunohistochemistry - Anti-Granzyme B antibody [EPR20129-217] (AB208586)

Fluorescence multiplex immunohistochemical analysis of Human breast cancer tissue (formalin-fixed paraffin-embedded section).

Merged staining of Anti-PD-L1 (ab251611; cyan; Opal™ 520), Anti-Granzyme B (ab219803; yellow; Opal™ 540), Anti-PD1 (ab251613; magenta; Opal™ 570), Anti-pan Cytokeratin (ab264485; red; Opal™ 620), Anti-EpCAM (ab225894; red; Opal™ 620), Anti-CD8 alpha (ab251596; green; Opal™ 650) and Anti-FOXP3 (ab96048; orange; Opal™ 690). EpCAM and pan-cytokeratin share the same dye and color. Dyes are pseudo-colored for better contrast of the markers.

The immunostaining was performed on a Leica Biosystems BOND® MAX instrument with an Opal™ 6-Plex Detection Kit (NEL821001KT, Akoya Biosciences®).

The section was incubated in six rounds of staining; sequentially for ab251611 (1/750 dilution), ab219803 (1/250 dilution), ab251613 (1/750 dilution), ab264485 (0.5 μg/ml), ab225894 (1/1250 dilution), ab251596 (1/1500 dilution) and ab96048 (10 μg/ml); each using a separate fluorescent tyramide signal amplification system. EDTA based antigen retrieval (Leica Biosystems BOND® Epitope Retrieval Solution 2, pH 9.0, 20 minutes) was used in between rounds of tyramide signal amplification to remove the antibody from the previous round, to avoid any cross-reactivity. DAPI (dark blue) was used as a nuclear counter stain.
Microscopy and pseudocoloring of individual Opal™ dyes was performed using a Vectra 3 Imaging System (Akoya Biosciences®).

This data is courtesy of ImmunoAtlas and it can be found here.

This image is courtesy of ImmunoAtlas.

Multiplex immunohistochemistry - Anti-Granzyme B antibody [EPR20129-217] (AB208586)
  • mIHC

Collaborator

Multiplex immunohistochemistry - Anti-Granzyme B antibody [EPR20129-217] (AB208586)

Fluorescence multiplex immunohistochemical analysis of Human breast cancer tissue (formalin-fixed paraffin-embedded section).

Merged staining of Anti-PD-L1 (ab251611; cyan; Opal™ 520), Anti-Granzyme B (ab219803; yellow; Opal™ 540), Anti-PD1 (ab251613; magenta; Opal™ 570), Anti-pan Cytokeratin (ab264485; red; Opal™ 620), Anti-EpCAM (ab225894; red; Opal™ 620), Anti-CD8 alpha (ab251596; green; Opal™ 650) and Anti-FOXP3 (ab96048; orange; Opal™ 690). EpCAM and pan-cytokeratin share the same dye and color. Dyes are pseudo-colored for better contrast of the markers.

The immunostaining was performed on a Leica Biosystems BOND® MAX instrument with an Opal™ 6-Plex Detection Kit (NEL821001KT, Akoya Biosciences®).

The section was incubated in six rounds of staining; sequentially for ab251611 (1/750 dilution), ab219803 (1/250 dilution), ab251613 (1/750 dilution), ab264485 (0.5 μg/ml), ab225894 (1/1250 dilution), ab251596 (1/1500 dilution) and ab96048 (10 μg/ml); each using a separate fluorescent tyramide signal amplification system. EDTA based antigen retrieval (Leica Biosystems BOND® Epitope Retrieval Solution 2, pH 9.0, 20 minutes) was used in between rounds of tyramide signal amplification to remove the antibody from the previous round, to avoid any cross-reactivity. DAPI (dark blue) was used as a nuclear counter stain.
Microscopy and pseudocoloring of individual Opal™ dyes was performed using a Vectra 3 Imaging System (Akoya Biosciences®).

This data is courtesy of ImmunoAtlas and it can be found here.

This image is courtesy of ImmunoAtlas.

Multiplex immunohistochemistry - Anti-Granzyme B antibody [EPR20129-217] (AB208586)
  • mIHC

Collaborator

Multiplex immunohistochemistry - Anti-Granzyme B antibody [EPR20129-217] (AB208586)

Fluorescence multiplex immunohistochemical analysis of Human breast cancer tissue (formalin-fixed paraffin-embedded section).

Merged staining of Anti-PD-L1 (ab251611; cyan; Opal™ 520), Anti-Granzyme B (ab219803; yellow; Opal™ 540), Anti-PD1 (ab251613; magenta; Opal™ 570), Anti-pan Cytokeratin (ab264485; red; Opal™ 620), Anti-EpCAM (ab225894; red; Opal™ 620), Anti-CD8 alpha (ab251596; green; Opal™ 650) and Anti-FOXP3 (ab96048; orange; Opal™ 690). EpCAM and pan-cytokeratin share the same dye and color. Dyes are pseudo-colored for better contrast of the markers.

The immunostaining was performed on a Leica Biosystems BOND® MAX instrument with an Opal™ 6-Plex Detection Kit (NEL821001KT, Akoya Biosciences®).

The section was incubated in six rounds of staining; sequentially for ab251611 (1/750 dilution), ab219803 (1/250 dilution), ab251613 (1/750 dilution), ab264485 (0.5 μg/ml), ab225894 (1/1250 dilution), ab251596 (1/1500 dilution) and ab96048 (10 μg/ml); each using a separate fluorescent tyramide signal amplification system. EDTA based antigen retrieval (Leica Biosystems BOND® Epitope Retrieval Solution 2, pH 9.0, 20 minutes) was used in between rounds of tyramide signal amplification to remove the antibody from the previous round, to avoid any cross-reactivity. DAPI (dark blue) was used as a nuclear counter stain.
Microscopy and pseudocoloring of individual Opal™ dyes was performed using a Vectra 3 Imaging System (Akoya Biosciences®).

This data is courtesy of ImmunoAtlas and it can be found here.

This image is courtesy of ImmunoAtlas.

Immunohistochemistry (Formalin/PFA-fixed paraffin-embedded sections) - Anti-Granzyme B antibody [EPR20129-217] (AB208586)
  • IHC-P

Lab

Immunohistochemistry (Formalin/PFA-fixed paraffin-embedded sections) - Anti-Granzyme B antibody [EPR20129-217] (AB208586)

Tissue Microarrays stained for Anti-Granzyme B antibody [EPR20129-217] using ab208586 in immunohistochemical analysis. This table provides a detailed overview of positive (tick mark) and negative (cross mark) staining per sample type tested. The sections were pre-treated using Heat mediated antigen retrieval using Bond™ Epitope Retrieval Solution 2 (pH 9.0) for 20 minutes. The sections were incubated with ab208586 for 30 mins at room temperature followed by a ready to use Rabbit specific IHC polymer detection kit HRP/DAB (ab209101). The immunostaining was performed on a Leica Biosystems BOND® RX instrument.

Multiplex immunohistochemistry - Anti-Granzyme B antibody [EPR20129-217] (AB208586)
  • mIHC

Collaborator

Multiplex immunohistochemistry - Anti-Granzyme B antibody [EPR20129-217] (AB208586)

Fluorescence multiplex immunohistochemical analysis of Human breast cancer tissue (formalin-fixed paraffin-embedded section).

Merged staining of Anti-PD-L1 (ab251611; cyan; Opal™ 520), Anti-Granzyme B (ab219803; yellow; Opal™ 540), Anti-PD1 (ab251613; magenta; Opal™ 570), Anti-pan Cytokeratin (ab264485; red; Opal™ 620), Anti-EpCAM (ab225894; red; Opal™ 620), Anti-CD8 alpha (ab251596; green; Opal™ 650) and Anti-FOXP3 (ab96048; orange; Opal™ 690). EpCAM and pan-cytokeratin share the same dye and color. Dyes are pseudo-colored for better contrast of the markers.

The immunostaining was performed on a Leica Biosystems BOND® MAX instrument with an Opal™ 6-Plex Detection Kit (NEL821001KT, Akoya Biosciences®).

The section was incubated in six rounds of staining; sequentially for ab251611 (1/750 dilution), ab219803 (1/250 dilution), ab251613 (1/750 dilution), ab264485 (0.5 μg/ml), ab225894 (1/1250 dilution), ab251596 (1/1500 dilution) and ab96048 (10 μg/ml); each using a separate fluorescent tyramide signal amplification system. EDTA based antigen retrieval (Leica Biosystems BOND® Epitope Retrieval Solution 2, pH 9.0, 20 minutes) was used in between rounds of tyramide signal amplification to remove the antibody from the previous round, to avoid any cross-reactivity. DAPI (dark blue) was used as a nuclear counter stain.
Microscopy and pseudocoloring of individual Opal™ dyes was performed using a Vectra 3 Imaging System (Akoya Biosciences®).

This data is courtesy of ImmunoAtlas and it can be found here.

This image is courtesy of ImmunoAtlas.

Western blot - Anti-Granzyme B antibody [EPR20129-217] (AB208586)
  • WB

Supplier Data

Western blot - Anti-Granzyme B antibody [EPR20129-217] (AB208586)

Blocking/Dilution buffer : 5% NFDM/TBST.

Human Granzyme B and human Granzyme H recombinant protein contain aa21-247 and aa21-246 with a His-tag. These two recombinant proteins were made in house.

All lanes:

Western blot - Anti-Granzyme B antibody [EPR20129-217] (ab208586) at 1/10000 dilution

Lane 1:

Human Granzyme B recombinant protein at 0.01 µg

Lane 2:

Human Granzyme H recombinant protein at 0.01 µg

Secondary

All lanes:

Western blot - Goat Anti-Rabbit IgG H&L (HRP) (<a href='/en-us/products/secondary-antibodies/goat-rabbit-igg-h-l-hrp-ab97051'>ab97051</a>) at 1/100000 dilution

Predicted band size: 28 kDa

Observed band size: 26 kDa

false

Exposure time: 1s

  • 578 PE

    PE Anti-Granzyme B antibody [EPR20129-217]

  • 519 Alexa Fluor® 488

    Alexa Fluor® 488 Anti-Granzyme B antibody [EPR20129-217]

  • 665 Alexa Fluor® 647

    Alexa Fluor® 647 Anti-Granzyme B antibody [EPR20129-217]

  • Carrier free

    Anti-Granzyme B antibody [EPR20129-217] - BSA and Azide free

  • Carrier free

    Anti-Granzyme B antibody [EPR20129-217] - BSA and Azide free (Detector)

Key facts

Host species

Rabbit

Clonality

Monoclonal

Clone number

EPR20129-217

Isotype

IgG

Carrier free

No

Reacts with

Human

Applications

IHC-P, WB, mIHC

applications

Immunogen

The exact immunogen used to generate this antibody is proprietary information.

Reactivity data

{ "title": "Reactivity Data", "filters": { "stats": ["", "Species", "Dilution Info", "Notes"], "tabs": { "all-applications": {"fullname" : "All Applications", "shortname": "All Applications"}, "FlowCyt" : {"fullname" : "Flow Cytometry", "shortname":"Flow Cyt"}, "WB" : {"fullname" : "Western blot", "shortname":"WB"}, "mIHC" : {"fullname" : "Multiplex immunohistochemistry", "shortname":"mIHC"}, "IHCP" : {"fullname" : "Immunohistochemistry (Formalin/PFA-fixed paraffin-embedded sections)", "shortname":"IHC-P"} }, "product-promise": { "all": "all", "testedAndGuaranteed": "tested", "guaranteed": "expected", "predicted": "predicted", "notRecommended": "not-recommended" } }, "values": { "Human": { "FlowCyt-species-checked": "notRecommended", "FlowCyt-species-dilution-info": "", "FlowCyt-species-notes": "<p></p>", "WB-species-checked": "testedAndGuaranteed", "WB-species-dilution-info": "1/10000", "WB-species-notes": "<p></p>", "mIHC-species-checked": "testedAndGuaranteed", "mIHC-species-dilution-info": "", "mIHC-species-notes": "<p></p>", "IHCP-species-checked": "testedAndGuaranteed", "IHCP-species-dilution-info": "1/250", "IHCP-species-notes": "<p></p> Perform heat-mediated antigen retrieval with Tris/EDTA buffer pH 9.0 before commencing with IHC staining protocol." }, "Recombinant full length protein - Human": { "FlowCyt-species-checked": "notRecommended", "FlowCyt-species-dilution-info": "", "FlowCyt-species-notes": "", "WB-species-checked": "testedAndGuaranteed", "WB-species-dilution-info": "1/10000", "WB-species-notes": "<p></p>", "mIHC-species-checked": "notRecommended", "mIHC-species-dilution-info": "", "mIHC-species-notes": "", "IHCP-species-checked": "notRecommended", "IHCP-species-dilution-info": "", "IHCP-species-notes": "" } } }

Product details

What is this antibody validated in?
Anti-Granzyme B antibody [EPR20129-217] (ab208586) is a rabbit recombinant monoclonal antibody and is validated for use in Western Blot (WB), Immunohistochemistry (IHC-P), Multiplex IHC (mIHC) in Human samples.

What is the molecular weight of Granzyme B?
Anti-Granzyme B [EPR20129-217] (ab208586) specifically detects a band for Granzyme B (UniProt: P10144) at a molecular weight of 28kDa.

Trial sizes available!
Test your antibody or perform pre-screening before committing to a larger quantity. Sold in 10µl. Discover our selection of trial-size antibodies.

Other related products
We have a range of other formats of antibody clone [EPR20129-217] also available for your convenience: ab208586, Carrier free - ab219803, PE - ab225471, Alexa Fluor® 488 - ab225472, Alexa Fluor® 647 - ab225473, Carrier free - ab245038, Carrier free - ab307493

Patented technology
Our RabMAb® technology is a patented hybridoma-based technology for making rabbit monoclonal antibodies. For details on our patents, please refer to RabMAb® patents.

What are the advantages of a recombinant monoclonal antibody?
This product is a recombinant monoclonal antibody, which offers several advantages including:

  • - High batch-to-batch consistency and reproducibility
  • - Improved sensitivity and specificity
  • - Long-term security of supply
  • - Animal-free batch production

For more information, read more on recombinant antibodies.

Properties and storage information

Form
Liquid
Purification technique
Affinity purification Protein A
Storage buffer
pH: 7.2 - 7.4 Preservative: 0.01% Sodium azide Constituents: PBS, 40% Glycerol (glycerin, glycerine), 0.05% BSA
Shipped at conditions
Blue Ice
Appropriate short-term storage duration
1-2 weeks
Appropriate short-term storage conditions
+4°C
Appropriate long-term storage conditions
-20°C
Aliquoting information
Upon delivery aliquot
Storage information
Avoid freeze / thaw cycle

Supplementary information

This supplementary information is collated from multiple sources and compiled automatically.

Granzyme B also known as GZMB GB11 or granzyme B protein is a serine protease with a molecular mass of approximately 32 kDa. It is expressed mainly in cytotoxic T lymphocytes and natural killer (NK) cells. This enzyme plays a mechanical role in inducing apoptosis in target cells serving as an effector protein in the immune system's defense against virally infected cells or transformed cancer cells. The activity of granzyme B relies on its ability to cleave after aspartate residues in substrate proteins leading to the activation of apoptotic pathways.
Biological function summary

Granzyme B participates prominently in the immune response by activating caspases particularly caspase-3 which promotes the breakdown of cellular components necessary for apoptosis. Granzyme B does not function in isolation but acts in concert with other immune system factors such as perforin to effectively induce cell death. Perforin creates pores in the target cell membrane allowing granzyme B to enter and instigate the apoptosis sequence. The enzyme also contributes to the processing of cytokines which enhances the immune response further.

Pathways

Studies have determined that granzyme B is critical in the apoptosis pathway particularly in the granule exocytosis pathway. It closely interacts with proteins such as perforin and other granzymes to mediate apoptosis in target cells. Granzyme B also plays a role in the inflammatory response and can influence pathways associated with cytotoxic T cell signaling. Its pathway interactions ensure effective elimination of damaged or infected cells maintaining tissue homeostasis.

Granzyme B has associations with autoimmune diseases and cancer. Abnormally high levels of granzyme B can contribute to tissue damage and inflammation in autoimmune conditions like rheumatoid arthritis. In the context of cancer granzyme B aids in tumor surveillance and destruction when functioning correctly but impaired granzyme B activity can lead to evasion of immune detection by cancerous cells. Perforin also plays a role in these conditions closely working with granzyme B to either protect against or drive disease progression.

Product protocols

For this product, it's our understanding that no specific protocols are required. You can visit:

Target data

Abundant protease in the cytosolic granules of cytotoxic T-cells and NK-cells which activates caspase-independent pyroptosis when delivered into the target cell through the immunological synapse (PubMed : 1985927, PubMed : 3262682, PubMed : 3263427). It cleaves after Asp (PubMed : 1985927, PubMed : 8258716). Once delivered into the target cell, acts by catalyzing cleavage of gasdermin-E (GSDME), releasing the pore-forming moiety of GSDME, thereby triggering pyroptosis and target cell death (PubMed : 31953257, PubMed : 32188940). Seems to be linked to an activation cascade of caspases (aspartate-specific cysteine proteases) responsible for apoptosis execution. Cleaves caspase-3, -9 and -10 (CASP3, CASP9 and CASP10, respectively) to give rise to active enzymes mediating apoptosis (PubMed : 9852092). Cleaves and activates CASP7 in response to bacterial infection, promoting plasma membrane repair (By similarity).
See full target information GZMB

Publications (10)

Recent publications for all applications. Explore the full list and refine your search

Kidney diseases (Basel, Switzerland) 11:543-559 PubMed41064102

2025

Dihydroquercetin/Taxifolin Inhibits METTL3/mA/PIM2 Expression by Suppressing RIPK2 Phosphorylation Mediated NF-κB p65 Signaling Pathway to Alleviates Renal Ischemia-Reperfusion Injury in Mice.

Applications

Unspecified application

Species

Unspecified reactive species

Sheng Shen,Xiao Wang,Zhongda Li,Jinyang Zhuang,Keqin Zhang

Frontiers in immunology 16:1616715 PubMed40761801

2025

Development of Z- granzyme B immunoaffitoxin: dual mechanisms targeting hpv16-positive cervical cancer through epithelial-mesenchymal transition inhibition and cell death.

Applications

Unspecified application

Species

Unspecified reactive species

Xiaochun Tan,Jiani Yang,Yanheng Li,Kairong Wan,Sicong Feng,Xishang Jing,Zhenyun Xie,Lifang Zhang,Wenshu Li

Nature communications 16:6009 PubMed40593805

2025

Spatial and single cell mapping of castleman disease reveals key stromal cell types and cytokine pathways.

Applications

Unspecified application

Species

Unspecified reactive species

David Smith,Anna Eichinger,Éanna Fennell,Zijun Y Xu-Monette,Andrew Rech,Julia Wang,Eduardo Esteva,Arta Seyedian,Xiaoxu Yang,Mei Zhang,Dan Martinez,Kai Tan,Minjie Luo,Katherine J Young,Paul G Murray,Christopher Park,Boris Reizis,Vinodh Pillai

Cancer immunology, immunotherapy : CII 73:24 PubMed38280010

2024

Characterization of T cell receptor repertoire in penile cancer.

Applications

Unspecified application

Species

Unspecified reactive species

Junying Zhang,Yapeng Wang,Yiqiang Huang,Xintao Tan,Jing Xu,Qian Yan,Jiao Tan,Yao Zhang,Jun Zhang,Qiang Ma,Hailin Zhu,Jin Ye,Zhaojing Zhu,Weihua Lan

Cancer immunology research 11:674-686 PubMed36807510

2023

Reverse Translation Identifies the Synergistic Role of Immune Checkpoint Blockade and IL15 to Enhance Immunotherapy of Ovarian Cancer.

Applications

Unspecified application

Species

Unspecified reactive species

Martin Felices,Erin Wesley,Laura E Bendzick,Behiye Kodal,Rachel Hopps,Bartosz Grzywacz,Peter Hinderlie,Jeffrey S Miller,Melissa A Geller

Cancer immunology, immunotherapy : CII 72:1169-1181 PubMed36357599

2022

Combined pembrolizumab and bevacizumab therapy effectively inhibits non-small-cell lung cancer growth and prevents postoperative recurrence and metastasis in humanized mouse model.

Applications

Unspecified application

Species

Unspecified reactive species

Tianyun Qiao,Jinbo Zhao,Xiangbing Xin,Yanlu Xiong,Wenwen Guo,Fancheng Meng,Hui Li,Yangbo Feng,Hui Xu,Changhong Shi,Yong Han

Frontiers in pharmacology 13:774440 PubMed35496272

2022

Triggers Antitumor Immunity by Restricting PD-1 Expression of CD8 T Cells in Local Tumor Microenvironment.

Applications

Unspecified application

Species

Unspecified reactive species

Ruijie Yang,Tianli Pei,Ruifei Huang,Yue Xiao,Jiangna Yan,Jinglin Zhu,Chunli Zheng,Wei Xiao,Chao Huang

Frontiers in oncology 11:632364 PubMed33859941

2021

Inhibition of LDH-A by Oxamate Enhances the Efficacy of Anti-PD-1 Treatment in an NSCLC Humanized Mouse Model.

Applications

Unspecified application

Species

Unspecified reactive species

Tianyun Qiao,Yanlu Xiong,Yangbo Feng,Wenwen Guo,Yongsheng Zhou,Jinbo Zhao,Tao Jiang,Changhong Shi,Yong Han

The Journal of investigative dermatology 141:427-429.e10 PubMed32621823

2020

The Possible Linkage of Granzyme B-Producing Skin T Cells with the Disease Prognosis of Alopecia Areata.

Applications

Unspecified application

Species

Unspecified reactive species

Hanako Koguchi-Yoshioka,Rei Watanabe,Yutaka Matsumura,Naoko Okiyama,Yosuke Ishitsuka,Yoshiyuki Nakamura,Yasuhiro Fujisawa,Manabu Fujimoto

The Journal of biological chemistry 295:9567-9582 PubMed32439802

2020

Noninvasive optical detection of granzyme B from natural killer cells with enzyme-activated fluorogenic probes.

Applications

Unspecified application

Species

Unspecified reactive species

Tomasz Janiszewski,Sonia Kołt,Dion Kaiserman,Scott J Snipas,Shuang Li,Julita Kulbacka,Jolanta Saczko,Niels Bovenschen,Guy Salvesen,Marcin Drąg,Phillip I Bird,Paulina Kasperkiewicz
View all publications

Product promise

We are committed to supporting your work with high-quality reagents, and we're here for you every step of the way. In the unlikely event that one of our products does not perform as expected, you're protected by our Product Promise.
For full details, please see our Terms & Conditions

Please note: All products are 'FOR RESEARCH USE ONLY. NOT FOR USE IN DIAGNOSTIC OR THERAPEUTIC PROCEDURES'.

For licensing inquiries, please contact partnerships@abcam.com