JavaScript is disabled in your browser. Please enable JavaScript to view this website.
AB134933

Anti-Granzyme B antibody [EPR8260]

5

(2 Reviews)

|

(18 Publications)

Anti-Granzyme B antibody [EPR8260] (ab134933) is a rabbit monoclonal antibody detecting Granzyme B in Western Blot, Flow Cytometry, IHC-P. Suitable for Human.

- Biophysical QC for unrivalled batch-batch consistency
- Over 10 publications

View Alternative Names

CGL1, CSPB, CTLA1, GRB, GZMB, Granzyme B, C11, CTLA-1, Cathepsin G-like 1, Cytotoxic T-lymphocyte proteinase 2, Fragmentin-2, Granzyme-2, Human lymphocyte protein, SECT, T-cell serine protease 1-3E, CTSGL1, Lymphocyte protease, HLP

6 Images
Immunohistochemistry (Formalin/PFA-fixed paraffin-embedded sections) - Anti-Granzyme B antibody [EPR8260] (AB134933)
  • IHC-P

Lab

Immunohistochemistry (Formalin/PFA-fixed paraffin-embedded sections) - Anti-Granzyme B antibody [EPR8260] (AB134933)

Tissue Microarrays stained for "Anti-Granzyme B antibody [EPR8260]" using "ab134933"in immunohistochemical analysis. This table provides a detailed overview of positive (tick mark) and negative (cross mark) staining per sample type tested. The sections were pre-treated using Heat mediated antigen retrieval using Bond™ Epitope Retrieval Solution 2 (pH 9.0) for 20 minutes. The sections were incubated with ab134933 for 30 mins at room temperature followed by a ready to use Rabbit specific IHC polymer detection kit HRP/DAB (ab209101). The immunostaining was performed on a Leica Biosystems BOND® RX instrument.

Immunohistochemistry (Formalin/PFA-fixed paraffin-embedded sections) - Anti-Granzyme B antibody [EPR8260] (AB134933)
  • IHC-P

Unknown

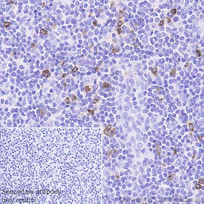
Immunohistochemistry (Formalin/PFA-fixed paraffin-embedded sections) - Anti-Granzyme B antibody [EPR8260] (AB134933)

Immunohistochemistry (Formalin/PFA-fixed paraffin-embedded sections) analysis of Human tonsil tissue sections labeling Granzyme B with Purified ab134933 at 1 : 250 dilution (2.96 μg/ml). Heat mediated antigen retrieval was performed using ab93684 (Tris/EDTA buffer, pH 9.0). ImmunoHistoProbe one step HRP Polymer (ready to use)was used as the secondary antibody. Negative control : PBS instead of the primary antibody. Hematoxylin was used as a counterstain.

Immunohistochemistry (Formalin/PFA-fixed paraffin-embedded sections) - Anti-Granzyme B antibody [EPR8260] (AB134933)
  • IHC-P

Unknown

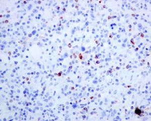
Immunohistochemistry (Formalin/PFA-fixed paraffin-embedded sections) - Anti-Granzyme B antibody [EPR8260] (AB134933)

Immunohistochemical analysis of paraffin-embedded, formalin-fixed Human Hodgkin's lymphoma tissue, labelling Granzyme B using unpurified ab134933 at a 1/100 dilution. Heat mediated antigen retrieval was performed with citrate buffer pH 6 before commencing with IHC staining protocol.

Flow Cytometry - Anti-Granzyme B antibody [EPR8260] (AB134933)
  • Flow Cyt

Supplier Data

Flow Cytometry - Anti-Granzyme B antibody [EPR8260] (AB134933)

Flow cytometric analysis of 4% paraformaldehyde fixed No-GFP-CD16.NK-92 Human Natural Killer cells labeling Granzyme B with ab134933 at 1/100 dilution (Red) compared with an Isotype control Rabbit monoclonal IgG (ab172730) (Black) and an unlabelled control (cells without incubation with primary antibody and secondary antibody) (Blue). Goat anti rabbit IgG Alexa Fluor® 488 (ab150081), at 1/5000 dilution was used as the secondary antibody.

Western blot - Anti-Granzyme B antibody [EPR8260] (AB134933)
  • WB

Lab

Western blot - Anti-Granzyme B antibody [EPR8260] (AB134933)

Negative control : Jurkat (PMID : 18437383, 25168906).

Blocking and diluting buffer : 5% NFDM/TBST

All lanes:

Western blot - Anti-Granzyme B antibody [EPR8260] (ab134933) at 1/1000 dilution

Lane 1:

KARPAS-299 (human anaplastic large cell lymphoma), whole cell lysate at 20 µg

Lane 2:

Jurkat (human T cell leukemia T lymphocyte), whole cell lysate at 20 µg

Lane 3:

SR (human pleural effusion lymphoblast, whole cell lysate at 20 µg

Secondary

All lanes:

Western blot - Goat Anti-Rabbit IgG H&L (HRP) (<a href='/en-us/products/secondary-antibodies/goat-rabbit-igg-h-l-hrp-ab97051'>ab97051</a>) at 1/10000 dilution

Predicted band size: 28 kDa

Observed band size: 28 kDa

false

Exposure time: 48s

OI-RD Scanning - Anti-Granzyme B antibody [EPR8260] (AB134933)
  • OI-RD Scanning

Unknown

OI-RD Scanning - Anti-Granzyme B antibody [EPR8260] (AB134933)

We have systematically measured KD (the equilibrium dissociation constant between the antibody and its antigen), of more than 840 recombinant antibodies to assess not only their individual KD values but also to see the average affinity of antibody. Based on the comparison with published literature values for mouse monoclonal antibodies, Recombinant antibodies appear to be on average 1-2 order of magnitude higher affinity.

  • 565 Alexa Fluor® 555

    Alexa Fluor® 555 Anti-Granzyme B antibody [EPR8260]

  • 665 Alexa Fluor® 647

    Alexa Fluor® 647 Anti-Granzyme B antibody [EPR8260]

  • Carrier free

    Anti-Granzyme B antibody [EPR8260] - BSA and Azide free

  • 660 APC

    APC Anti-Granzyme B antibody [EPR8260]

  • HRP

    HRP Anti-Granzyme B antibody [EPR8260]

  • 617 Alexa Fluor® 594

    Alexa Fluor® 594 Anti-Granzyme B antibody [EPR8260]

  • 603 Alexa Fluor® 568

    Alexa Fluor® 568 Anti-Granzyme B antibody [EPR8260]

  • 578 PE

    PE Anti-Granzyme B antibody [EPR8260]

  • 519 Alexa Fluor® 488

    Alexa Fluor® 488 Anti-Granzyme B antibody [EPR8260]

Key facts

Host species

Rabbit

Clonality

Monoclonal

Clone number

EPR8260

Isotype

IgG

Carrier free

No

Reacts with

Human

Applications

IHC-P, WB, Flow Cyt

applications

Immunogen

The exact immunogen used to generate this antibody is proprietary information.

Reactivity data

{ "title": "Reactivity Data", "filters": { "stats": ["", "Species", "Dilution Info", "Notes"], "tabs": { "all-applications": {"fullname" : "All Applications", "shortname": "All Applications"}, "IHCP" : {"fullname" : "Immunohistochemistry (Formalin/PFA-fixed paraffin-embedded sections)", "shortname":"IHC-P"}, "FlowCyt" : {"fullname" : "Flow Cytometry", "shortname":"Flow Cyt"}, "WB" : {"fullname" : "Western blot", "shortname":"WB"} }, "product-promise": { "all": "all", "testedAndGuaranteed": "tested", "guaranteed": "expected", "predicted": "predicted", "notRecommended": "not-recommended" } }, "values": { "Human": { "IHCP-species-checked": "testedAndGuaranteed", "IHCP-species-dilution-info": "1/100 - 1/250", "IHCP-species-notes": "<p>For antigen retrieval: heat up to 98 degrees C, below boiling, and then let cool for 10-20 min. Use of an HRP/AP polymerized secondary antibody is recommended.</p> Perform heat-mediated antigen retrieval with citrate buffer pH 6 before commencing with IHC staining protocol.", "FlowCyt-species-checked": "testedAndGuaranteed", "FlowCyt-species-dilution-info": "1/100", "FlowCyt-species-notes": "<p></p>", "WB-species-checked": "testedAndGuaranteed", "WB-species-dilution-info": "1/1000", "WB-species-notes": "<p></p>" } } }

You may be interested in:

AB235635

Human Granzyme B ELISA Kit

0

0 Reviews

View product

We recommend this product because it’s often used in the same experiment or related research.

We advise that you always check the datasheet to ensure it fits your experiments, or contact ourtechnical teamfor help.

Product details

What is this antibody validated in?
Anti-Granzyme B antibody [EPR8260] (ab134933) is a rabbit recombinant monoclonal antibody and is validated for use in Western Blot (WB), Flow Cytometry (Flow Cyt), Immunohistochemistry (IHC-P) in Human samples.

What is the molecular weight of Granzyme B?
Anti-Granzyme B [EPR8260] (ab134933) specifically detects a band for Granzyme B (UniProt: P10144) at a molecular weight of 28kDa.

Trusted by the scientific community
Anti-Granzyme B [EPR8260] (ab134933) was first used in a scientific publication in 2012 and has been cited over 10 times in peer-reviewed journals.

Trial sizes available!
Test your antibody or perform pre-screening before committing to a larger quantity. Sold in 10µl. Discover our selection of trial-size antibodies.

Other related products
We have a range of other formats of antibody clone [EPR8260] also available for your convenience: ab134933, Carrier free - ab214443, Alexa Fluor® 647 - ab225185, Carrier free - ab226162, Alexa Fluor® 555 - ab280851, ab283315, Carrier free - ab283337, ab289888, Carrier free - ab289895, Carrier free - ab302863, PE - ab303034, APC - ab303035, HRP - ab303036, Alkaline Phosphatase - ab308998, Alexa Fluor® 594 - ab310771, Alexa Fluor® 568 - ab312793, Alexa Fluor® 488 - ab315854, Alexa Fluor® 750 - ab321091

Species reactivity
Mouse, Rat: We have preliminary internal testing data to indicate this antibody may not react with these species.
Please contact us for more information.

Patented technology
Our RabMAb® technology is a patented hybridoma-based technology for making rabbit monoclonal antibodies. For details on our patents, please refer to RabMAb® patents.

What are the advantages of a recombinant monoclonal antibody?
This product is a recombinant monoclonal antibody, which offers several advantages including:

  • - High batch-to-batch consistency and reproducibility
  • - Improved sensitivity and specificity
  • - Long-term security of supply
  • - Animal-free batch production

For more information, read more on recombinant antibodies.

Properties and storage information

Form
Liquid
Purification technique
Affinity purification Protein A
Storage buffer
pH: 7.2 - 7.4 Preservative: 0.01% Sodium azide Constituents: PBS, 40% Glycerol (glycerin, glycerine), 0.05% BSA
Shipped at conditions
Conditional Ambient
Appropriate short-term storage duration
1-2 weeks
Appropriate short-term storage conditions
+4°C
Appropriate long-term storage conditions
-20°C
Aliquoting information
Upon delivery aliquot
Storage information
Stable for 12 months at -20°C

Supplementary information

This supplementary information is collated from multiple sources and compiled automatically.

Granzyme B also known as GZMB GB11 or granzyme B protein is a serine protease with a molecular mass of approximately 32 kDa. It is expressed mainly in cytotoxic T lymphocytes and natural killer (NK) cells. This enzyme plays a mechanical role in inducing apoptosis in target cells serving as an effector protein in the immune system's defense against virally infected cells or transformed cancer cells. The activity of granzyme B relies on its ability to cleave after aspartate residues in substrate proteins leading to the activation of apoptotic pathways.
Biological function summary

Granzyme B participates prominently in the immune response by activating caspases particularly caspase-3 which promotes the breakdown of cellular components necessary for apoptosis. Granzyme B does not function in isolation but acts in concert with other immune system factors such as perforin to effectively induce cell death. Perforin creates pores in the target cell membrane allowing granzyme B to enter and instigate the apoptosis sequence. The enzyme also contributes to the processing of cytokines which enhances the immune response further.

Pathways

Studies have determined that granzyme B is critical in the apoptosis pathway particularly in the granule exocytosis pathway. It closely interacts with proteins such as perforin and other granzymes to mediate apoptosis in target cells. Granzyme B also plays a role in the inflammatory response and can influence pathways associated with cytotoxic T cell signaling. Its pathway interactions ensure effective elimination of damaged or infected cells maintaining tissue homeostasis.

Granzyme B has associations with autoimmune diseases and cancer. Abnormally high levels of granzyme B can contribute to tissue damage and inflammation in autoimmune conditions like rheumatoid arthritis. In the context of cancer granzyme B aids in tumor surveillance and destruction when functioning correctly but impaired granzyme B activity can lead to evasion of immune detection by cancerous cells. Perforin also plays a role in these conditions closely working with granzyme B to either protect against or drive disease progression.

Product protocols

For this product, it's our understanding that no specific protocols are required. You can visit:

Target data

Abundant protease in the cytosolic granules of cytotoxic T-cells and NK-cells which activates caspase-independent pyroptosis when delivered into the target cell through the immunological synapse (PubMed : 1985927, PubMed : 3262682, PubMed : 3263427). It cleaves after Asp (PubMed : 1985927, PubMed : 8258716). Once delivered into the target cell, acts by catalyzing cleavage of gasdermin-E (GSDME), releasing the pore-forming moiety of GSDME, thereby triggering pyroptosis and target cell death (PubMed : 31953257, PubMed : 32188940). Seems to be linked to an activation cascade of caspases (aspartate-specific cysteine proteases) responsible for apoptosis execution. Cleaves caspase-3, -9 and -10 (CASP3, CASP9 and CASP10, respectively) to give rise to active enzymes mediating apoptosis (PubMed : 9852092). Cleaves and activates CASP7 in response to bacterial infection, promoting plasma membrane repair (By similarity).
See full target information GZMB

Publications (18)

Recent publications for all applications. Explore the full list and refine your search

iScience 26:107693 PubMed37680482

2023

Identification of S1PR4 as an immune modulator for favorable prognosis in HNSCC through machine learning.

Applications

Unspecified application

Species

Unspecified reactive species

Chenshen Huang,Fengshuo Zhu,Hao Zhang,Ning Wang,Qi Huang

Theranostics 12:7788-7803 PubMed36451856

2022

A Novel Her2/VEGFR2/CD3 trispecific antibody with an optimal structural design showed improved T-cell-redirecting antitumor efficacy.

Applications

Unspecified application

Species

Unspecified reactive species

Dong Liu,Xuexiu Qi,Xiaoyi Wei,Lijun Zhao,Xuechun Wang,Shuhong Li,Zhidong Wang,Licai Shi,Jiean Xu,Mei Hong,Zhong Liu,Lili Zhao,Xiankun Wang,Bo Zhang,Yuhan Zhang,Feng Wang,Yu J Cao

Frontiers in oncology 12:1012058 PubMed36338744

2022

Multi-spectral immunofluorescence evaluation of the myeloid, T cell, and natural killer cell tumor immune microenvironment in chordoma may guide immunotherapeutic strategies.

Applications

Unspecified application

Species

Unspecified reactive species

Diana C Lopez,Yvette L Robbins,Joshua T Kowalczyk,Wiem Lassoued,James L Gulley,Markku M Miettinen,Gary L Gallia,Clint T Allen,James W Hodge,Nyall R London

Cancers 14: PubMed36230570

2022

CXCR6+ Tumor-Associated Macrophages Identify Immunosuppressive Colon Cancer Patients with Poor Prognosis but Favorable Response to Adjuvant Chemotherapy.

Applications

Unspecified application

Species

Unspecified reactive species

Jiang Chang,Songbin Lin,Yihao Mao,Yuqiu Xu,Zhiyuan Zhang,Qi Wu,Yijiao Chen,Ye Wei,Qingyang Feng,Jianmin Xu

Life science alliance 5: PubMed36271507

2022

Mechanistic and pharmacodynamic studies of DuoBody-CD3x5T4 in preclinical tumor models.

Applications

Unspecified application

Species

Unspecified reactive species

Kristel Kemper,Ellis Gielen,Peter Boross,Mischa Houtkamp,Theo S Plantinga,Stefanie Ah de Poot,Saskia M Burm,Maarten L Janmaat,Louise A Koopman,Edward N van den Brink,Rik Rademaker,Dennis Verzijl,Patrick J Engelberts,David Satijn,A Kate Sasser,Esther Cw Breij

Research (Washington, D.C.) 2022:9816272 PubMed36157510

2022

Photothermal Nano-Vaccine Promoting Antigen Presentation and Dendritic Cells Infiltration for Enhanced Immunotherapy of Melanoma via Transdermal Microneedles Delivery.

Applications

Unspecified application

Species

Unspecified reactive species

Jiaojiao Zhu,Ruimin Chang,Benliang Wei,Yao Fu,Xiang Chen,Hong Liu,Wenhu Zhou

European journal of haematology 109:513-518 PubMed35871391

2022

Loss of LEF-1 expression as a diagnostic indicator for extranodal NK/T-cell lymphoma: An immunohistochemical study of 88 cases.

Applications

Unspecified application

Species

Unspecified reactive species

Cen Qiu,Guangye Du

Cancer cell international 21:528 PubMed34641864

2021

Exosomal lncRNA SNHG10 derived from colorectal cancer cells suppresses natural killer cell cytotoxicity by upregulating INHBC.

Applications

Unspecified application

Species

Unspecified reactive species

Yiwen Huang,Yanbo Luo,Wentao Ou,Yuanyuan Wang,Dong Dong,Xiaowen Peng,Yuqi Luo

International immunopharmacology 100:108155 PubMed34543981

2021

Functional role of galectin-9 in directing human innate immune reactions to Gram-negative bacteria and T cell apoptosis.

Applications

Unspecified application

Species

Unspecified reactive species

Stephanie Schlichtner,N Helge Meyer,Inna M Yasinska,Nijas Aliu,Steffen M Berger,Bernhard F Gibbs,Elizaveta Fasler-Kan,Vadim V Sumbayev

3 Biotech 11:313 PubMed34109098

2021

Acute lymphoblastic leukemia-derived exosome inhibits cytotoxicity of natural killer cells by TGF-β signaling pathway.

Applications

Unspecified application

Species

Unspecified reactive species

Huijun Yu,Tingting Huang,Daming Wang,Lei Chen,Xi Lan,Xintong Liu,Keyan Chen,Haihong He,Shaobo Li,Yiwen Zhou,Jiansheng Xie
View all publications

Product promise

We are committed to supporting your work with high-quality reagents, and we're here for you every step of the way. In the unlikely event that one of our products does not perform as expected, you're protected by our Product Promise.
For full details, please see our Terms & Conditions

Associated Products

Select an associated product type
Alternative Product
Primary Antibodies

AB103159

Anti-Granzyme B antibody [CLB-GB11]

primary-antibodies

granzyme-b-antibody-clb-gb11-ab103159

0

(0 reviews)

Alternative Product
Primary Antibodies

AB243879

Anti-Granzyme B antibody [BLR022E]

primary-antibodies

granzyme-b-antibody-blr022e-ab243879

0

(0 reviews)

Alternative Product
Primary Antibodies

AB4059

Anti-Granzyme B antibody

primary-antibodies

granzyme-b-antibody-ab4059

4

(22 reviews)

Alternative Product
Primary Antibodies

AB255598

Anti-Granzyme B antibody [EPR22645-206]

primary-antibodies

granzyme-b-antibody-epr22645-206-ab255598

4

(3 reviews)

Alternative Product
Primary Antibodies

AB255599

Anti-Granzyme B antibody [EPR22645-244]

primary-antibodies

granzyme-b-antibody-epr22645-244-ab255599

0

(0 reviews)

Alternative Product
Primary Antibodies

AB255869

Anti-Granzyme B antibody [EPR22645-244] - BSA and Azide free

primary-antibodies

granzyme-b-antibody-epr22645-244-bsa-and-azide-free-ab255869

0

(0 reviews)

Alternative Product
Primary Antibodies

AB255868

Anti-Granzyme B antibody [EPR22645-206] - BSA and Azide free

primary-antibodies

granzyme-b-antibody-epr22645-206-bsa-and-azide-free-ab255868

5

(1 reviews)

Alternative Product
Primary Antibodies

AB219803

Anti-Granzyme B antibody [EPR20129-217] - BSA and Azide free

primary-antibodies

granzyme-b-antibody-epr20129-217-bsa-and-azide-free-ab219803

4

(4 reviews)

Alternative Product
Primary Antibodies

AB53097

Anti-Granzyme B antibody

primary-antibodies

granzyme-b-antibody-ab53097

4

(5 reviews)

Alternative Product
Primary Antibodies

AB237847

Anti-Granzyme B antibody [GZMB/2403] - BSA and Azide free

primary-antibodies

granzyme-b-antibody-gzmb-2403-bsa-and-azide-free-ab237847

0

(0 reviews)

Alternative Product
Primary Antibodies

AB208586

Anti-Granzyme B antibody [EPR20129-217]

primary-antibodies

granzyme-b-antibody-epr20129-217-ab208586

0

(0 reviews)

Alternative Version
Primary Antibodies

AB289895

Anti-Granzyme B antibody [EPR8260] - Rat IgG2a (Chimeric) - BSA and Azide free

primary-antibodies

granzyme-b-antibody-epr8260-rat-igg2a-chimeric-bsa-and-azide-free-ab289895

0

(0 reviews)

Alternative Version
Primary Antibodies

AB214443

Anti-Granzyme B antibody [EPR8260] - Low endotoxin, Azide free

primary-antibodies

granzyme-b-antibody-epr8260-low-endotoxin-azide-free-ab214443

0

(0 reviews)

Alternative Version
Primary Antibodies

AB283315

Anti-Granzyme B antibody [EPR8260] - Mouse IgG1 (Chimeric)

primary-antibodies

granzyme-b-antibody-epr8260-mouse-igg1-chimeric-ab283315

0

(0 reviews)

Alternative Version
Primary Antibodies

AB289888

Anti-Granzyme B antibody [EPR8260] - Rat IgG2a (Chimeric)

primary-antibodies

granzyme-b-antibody-epr8260-rat-igg2a-chimeric-ab289888

0

(0 reviews)

Please note: All products are 'FOR RESEARCH USE ONLY. NOT FOR USE IN DIAGNOSTIC OR THERAPEUTIC PROCEDURES'.

For licensing inquiries, please contact partnerships@abcam.com